万千商家帮你免费找货
0 人在求购买到急需产品
- 详细信息
- 文献和实验
- 技术资料
- 靶点:
TSPAN4
- 克隆性:
多克隆
- 抗体英文名:
Anti-TSPAN4
- 抗体名:
四分子交联体4抗体(四旋蛋白)
- 免疫原:
KLH conjugated synthetic peptide derived from human TSPAN4
- 亚型:
IgG
- 形态:
冻干或液体
- 应用范围:
WB,ELISA,IP,ICC等
- 浓度:
1mg/1ml
- 保存条件:
-20 °C
- 规格:
0.2ml/200μg
英文名称 四分子交联体4抗体(四旋蛋白)
中文名称 Anti-TSPAN4
别 名 AG 2; NAG-2; NAG2; Novel antigen 2; Tetraspan; Tetraspan TM4SF; Tetraspanin 4; Tetraspanin-4; Tetraspanin4; TM4SF7; TM4SF 7; TM4SF-7; Transmembrane 4 superfamily member 7; TSN4_HUMAN; TSPAN 4; Tspan-4; TSPAN4.
浓 度 1mg/1ml
规 格 0.2ml/200μg
抗体来源 Rabbit
克隆类型 polyclonal
交叉反应 Human, Mouse, Rat, Chicken, Dog, Pig, Cow, Sheep
产品类型 一抗
研究领域 细胞生物 细胞分化
蛋白分子量 predicted molecular weight:26kDa
性 状 Lyophilized or Liquid
免 疫 原 KLH conjugated synthetic peptide derived from human TSPAN4
亚 型 IgG
纯化方法 affinity purified by Protein A
储 存 液 Preservative: 15mM Sodium Azide, Constituents: 1% BSA, 0.01M PBS, pH 7.4
产品应用 WB=1:100-500 ELISA=1:500-1000 IHC-P=1:100-500 IHC-F=1:100-500 Flow-Cyt=1:100-500 ICC=1:100-500 IF=1:50-200
四分子交联体4抗体(四旋蛋白)产品优势:
表面抗体阳性的基本概述:
乙肝表面抗体是人体的保护性的抗体,主要是乙肝病毒表面抗原刺激人体免疫系统而产生的抗体。它的出现,能中和掉人体内的乙肝病毒。具体保护人体的作用。其英文简写为HBsAb。
1、单项抗-HBs阳性
(1)接种乙肝疫苗成功的标志。
(2)抗-HBs阳性单价格低,有时为非特异性反应。
2、与抗-HBc、抗-HBe同时阳性
3、与HBsAg同时阳性
(1)感染了不同的乙肝病毒亚型。
(2)感染了S基因变异的乙肝病毒。
(3)免疫功能低下,抗-HBs不能清除HBsAg。
4、正处于抗原-抗体动态平衡阶段
4种IgG抗体亚型的区别:
如需订购四分子交联体4抗体(四旋蛋白),敬请咨询我们,其他相关产品:
Cyclophilin F 亲环蛋白(亲环素)PPIF抗体规格: 0.2ml
兔抗BRAF多克隆抗体
英文名:Anti-BRAFrabbitpolyclonalantiboy
冷冻(-20℃)避光
兔抗TIMP4多克隆抗体
英文名:Anti-TIMP4rabbitpolyclonalantiboy
冷冻(-20℃)避光
神经生长因子-β抗体规格: 0.1mlAnti-NGF-β
小鼠抗MMP13单克隆抗体
英文名:Anti-MMP13mousemonoclonalantiboy
冷冻(-20℃)避光
CYP2C19 细胞色素P450 2C19抗体规格: 0.2ml
兔抗PRSS1多克隆抗体
英文名:Anti-PRSS1rabbitpolyclonalantiboy
冷冻(-20℃)避光
四分子交联体4抗体(四旋蛋白)指状青霉 Penicillium digitatum小鼠子宫平滑肌细胞完全培养基
糙皮侧耳 Pleurotus ostreatusMuM-2C(人眼脉络黑色素瘤细胞)
人视网膜色素上皮细胞完全培养基小鼠巨噬细胞
大丽轮枝菌 Verticillium dahliea Kleb人成纤维肉瘤细胞
酿酒酵母 Saccharomyces cerevisiaeRA, 大鼠星形胶质细胞
TSCCa(人舌鳞细胞)鼠李糖杆菌 Lactobacillus rhamnosus
苏木素伊红(HE)染色试剂盒沟肠杆菌 Enterobacter cloacae
豇豆慢生根瘤菌 Bradyrhizobium vigna酿酒酵母 Saccharomyces cerevisiae
风险提示:丁香通仅作为第三方平台,为商家信息发布提供平台空间。用户咨询产品时请注意保护个人信息及财产安全,合理判断,谨慎选购商品,商家和用户对交易行为负责。对于医疗器械类产品,请先查证核实企业经营资质和医疗器械产品注册证情况。
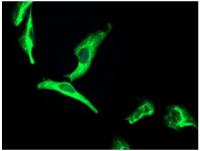
文献和实验大鼠海马体神经元和活体大鼠脑注射 α 突触核蛋白后做的免疫细胞化学和免疫组化分析。 原代大鼠海马体神经元被 1 型突触核蛋白前体原纤维(SPR-322)4 µg/mL(D-F)处理后显示路易体内含物的形成,而当被 2 型突触核蛋白前体原纤维(SPR-317)4 µg/mL(A-C)处理时没有路易体内含物形成。组织:原代海马体神经元,物种:斯普拉-道来氏大鼠,固定:由 PFA 制作的 4% 甲醛。一抗:小鼠抗 pSer129 抗体, 稀释度 1:1,000,4 °C 下处理 24 小时;二抗
外泌体(Exosomes)是一种细胞分泌到胞外的囊泡,其大小为 30-150 nm,呈茶托状结构,内部含有核酸(DNA 和 RNA)、蛋白质、脂质等多种分子。外泌体参与细胞间的沟通,可以将其装载的分子传递给不同细胞,改变受体细胞内部一些分子的含量,从而影响受体细胞的状态和功能。 图一 图片来自于丁香园 随着我们对外泌体深入的了解,外泌体在液体活检中的诊断价值逐渐显现。谈到液体活检,我们最先想到的是循环肿瘤细胞(CTC)和循环肿瘤 DNA(ctDNA),而外泌体作为一种新的液体活检方式,正在
Nature:施一 / 高福团队揭示埃博拉病毒聚合酶工作的分子机制
(VP24)结合,并被基质蛋白(VP40)环绕,进一步与病毒表面刺突糖蛋白(GP)形成完整病毒颗粒。病毒表面 GP 蛋白在细胞入侵和免疫逃逸方面发挥着重要作用。目前已上市的两款针对扎伊尔型埃博拉病毒的抗体药物,其作用靶点就是埃博拉病毒表面 GP 蛋白。但是抗体药物在制造成本、存储和使用便利性上面具有局限性,而且病毒 GP 蛋白在宿主免疫压力下容易发生免疫逃逸,造成抗体药物效果变差甚至无效。此外由于抗体药物的特异性,无法用于治疗其他类型埃博拉病毒以及马尔堡病毒等丝状病毒。因此,开发有效安全的广谱性抗病
技术资料暂无技术资料 索取技术资料










