万千商家帮你免费找货
0 人在求购买到急需产品
- 详细信息
- 文献和实验
- 技术资料
- 靶点:
SPRN
- 克隆性:
多克隆
- 抗体英文名:
Anti-SPRN
- 抗体名:
新朊蛋白抗体
- 免疫原:
KLH conjugated synthetic peptide derived from mouse Shadow C-terminus
- 亚型:
IgG
- 形态:
冻干或液体
- 应用范围:
WB,ELISA,IP,ICC等
- 浓度:
1mg/1ml
- 保存条件:
-20 °C
- 规格:
0.2ml/200μg
英文名称 新朊蛋白抗体
中文名称 Anti-SPRN
别 名 rCG47959; shadow of prion protein; SHO; Protein shadoo; bA108K14.1; C630041J07; FLJ41197; SPRN; Shadow of prion protein precursor; SPRN_MOUSE; SHADOO.
浓 度 1mg/1ml
规 格 0.2ml/200μg
抗体来源 Rabbit
克隆类型 polyclonal
交叉反应 Mouse, Rat
产品类型 一抗
研究领域 细胞生物 免疫学 细胞凋亡 细菌及
蛋白分子量 predicted molecular weight:12kDa
性 状 Lyophilized or Liquid
免 疫 原 KLH conjugated synthetic peptide derived from mouse Shadow C-terminus
亚 型 IgG
纯化方法 affinity purified by Protein A
储 存 液 0.01M PBS, pH 7.4 with 10 mg/ml BSA and 0.1% Sodium azide
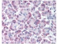
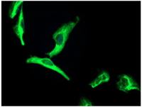
产品应用 WB=1:100-500 ELISA=1:500-1000 IP=1:20-100 IHC-P=1:100-500 IHC-F=1:100-500 IF=1:100-500
新朊蛋白抗体产品优势:
表面抗体阳性的基本概述:
乙肝表面抗体是人体的保护性的抗体,主要是乙肝病毒表面抗原刺激人体免疫系统而产生的抗体。它的出现,能中和掉人体内的乙肝病毒。具体保护人体的作用。其英文简写为HBsAb。
1、单项抗-HBs阳性
(1)接种乙肝疫苗成功的标志。
(2)抗-HBs阳性单价格低,有时为非特异性反应。
2、与抗-HBc、抗-HBe同时阳性
3、与HBsAg同时阳性
(1)感染了不同的乙肝病毒亚型。
(2)感染了S基因变异的乙肝病毒。
(3)免疫功能低下,抗-HBs不能清除HBsAg。
4、正处于抗原-抗体动态平衡阶段
4种IgG抗体亚型的区别:
如需订购新朊蛋白抗体,敬请咨询我们,其他相关产品:
兔抗HRH2多克隆抗体
英文名:Anti-HRH2rabbitpolyclonalantiboy
冷冻(-20℃)避光
兔抗JAK2(Phospho-Tyr221)多克隆抗体
英文名:Anti-JAK2(Phospho-Tyr221)rabbitpolyclonalantiboy
冷冻(-20℃)避光
兔抗CAF7多克隆抗体
英文名:Anti-CAF7rabbitpolyclonalantiboy
冷冻(-20℃)避光
FRS2 成纤维细胞生因子受体底物2抗体规格: 0.2ml
兔抗NOTCH4多克隆抗体
英文名:Anti-NOTCH4rabbitpolyclonalantiboy
冷冻(-20℃)避光
英文名:Anti-GPR17rabbitpolyclonalantiboy
冷冻(-20℃)避光
兔抗GF15多克隆抗体
英文名:Anti-GF15rabbitpolyclonalantiboy
冷冻(-20℃)避光
新朊蛋白抗体大鼠支气管上细胞完全培养基100mL
mEPC, 小鼠内祖细胞-骨髓gersion
3% NaC1V-P半固体发酵管BR20支国产/进口
嗜热栖热菌 Thermus thermophilus苏云金芽胞杆菌苏云金变种 Bacillus thuringeinsis subsp. thuringeinsis
小鼠白血病细胞G-CSF依赖性巨大芽胞杆菌 Bacillus megaterium
链孢囊菌 Streptosporangium sp.天狼星红染色试剂盒
田菇属 Agrocybe sp.屎肠球菌 Enterococcus faecium
小肠结肠炎耶尔森氏菌 Yersinia enterocolitica酿酒酵母 Saccharomyces cerevisiae
风险提示:丁香通仅作为第三方平台,为商家信息发布提供平台空间。用户咨询产品时请注意保护个人信息及财产安全,合理判断,谨慎选购商品,商家和用户对交易行为负责。对于医疗器械类产品,请先查证核实企业经营资质和医疗器械产品注册证情况。
文献和实验存在于正常人血清中,但并不引起疾病。该种抗体可能对于清除损伤了的表皮细胞有一定的作用,银屑病中角朊细胞的过度增生可能与这种抗体的沉积有关。与抗角质层自身抗体有关的疾病尚有类风湿关节 炎、关节 病型银屑病、外伤等。 制备的抗角蛋白抗体:近10年来,应用免疫动物的方法制备了多种抗角蛋白多抗或单抗,可以针对不同分子量的角蛋白成分。角蛋白是上皮细胞的中间丝成份,抗角蛋白抗体可以作为上皮组织和由上皮组织起源的肿瘤的有用标记之一。 二、对天疱疮的研究 天疱疮是一类
存在于正常人血清中,但并不引起疾病。该种抗体可能对于清除损伤了的表皮细胞有一定的作用,银屑病中角朊细胞的过度增生可能与这种抗体的沉积有关。与抗角质层自身抗体有关的疾病尚有类风湿关节 炎、关节 病型银屑病、外伤等。 制备的抗角蛋白抗体:近10年来,应用免疫动物的方法制备了多种抗角蛋白多抗或单抗,可以针对不同分子量的角蛋白成分。角蛋白是上皮细胞的中间丝成份,抗角蛋白抗体可以作为上皮组织和由上皮组织起源的肿瘤的有用标记之一。 二、对天疱疮的研究 天疱疮是一类
于正常人血清中,但并不引起疾病。该种抗体可能对于清除损伤了的表皮细胞有一定的作用,银屑病中角朊细胞的过度增生可能与这种抗体的沉积有关。与抗角质层自身抗体有关的疾病尚有类风湿关节 炎、关节 病型银屑病、外伤等。 制备的抗角蛋白抗体:近10年来,应用免疫动物的方法制备了多种抗角蛋白多抗或单抗,可以针对不同分子量的角蛋白成分。角蛋白是上皮细胞的中间丝成份,抗角蛋白抗体可以作为上皮组织和由上皮组织起源的肿瘤的有用标记之一。 二、对天疱疮的研究 天疱疮是一类 自身免
技术资料暂无技术资料 索取技术资料









