万千商家帮你免费找货
0 人在求购买到急需产品
- 详细信息
- 技术资料
- 库存:
大量
- 靶点:
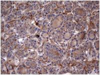
RASGEF1A
- 克隆性:
多克隆
- 抗原来源:
Rabbit
- 抗体英文名:
Anti-RASGEF1A
- 抗体名:
鸟嘌呤核苷酸交换因子rasgef1a抗体
- 标记物:
HRP,AKP
- 宿主:
人,兔,羊,牛,狗等
- 适应物种:
Human, Mouse, Rat, Dog, Pig, Cow, Horse, Guinea Pig
- 免疫原:
KLH conjugated synthetic peptide derived from human RASGEF1A
- 亚型:
IgG
- 形态:
冻干或液体
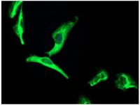
- 应用范围:
WB,ELISA,IP,ICC等
- 浓度:
1mg/1ml
- 保存条件:
-20 °C
- 规格:
0.2ml/200μg
鸟嘌呤核苷酸交换因子rasgef1a抗体产品资料:
英文名称 Anti-RASGEF1A
中文名称 鸟嘌呤核苷酸交换因子rasgef1a抗体
别 名 CG4853 gene product; Ras-GEF domain-containing family member 1A; RasGEF domain family, member 1A; rasgef1a; RGF1A_HUMAN; RASGEF 1A; RASGEF1A.
浓 度 1mg/1ml
规 格 0.2ml/200μg
抗体来源 Rabbit
克隆类型 polyclonal
交叉反应 Human, Mouse, Rat, Dog, Pig, Cow, Horse, Guinea Pig
产品类型 一抗
研究领域 肿瘤 信号转导 细胞凋亡 转录调节因子 G蛋白偶联受体
蛋白分子量 predicted molecular weight:53kDa
性 状 Lyophilized or Liquid
免 疫 原 KLH conjugated synthetic peptide derived from human RASGEF1A
亚 型 IgG
纯化方法 affinity purified by Protein A
储 存 液 0.01M PBS, pH 7.4 with 10 mg/ml BSA and 0.1% Sodium azide
产品应用 WB=1:100-500 ELISA=1:500-1000 IP=1:20-100 IHC-P=1:100-500 IHC-F=1:100-500 IF=1:100-500
公司优势:
★专业营销进口或国产品牌的抗体试剂,种类齐全,数量繁多,涵盖各种生命科研项目,具体有一抗二抗,单抗多抗,标记抗体以及其他各种类型的抗体;
★服务经验丰富,我们提供标记服务,各种标本、种属、具体指标齐全,资深的专业背景和高素质的技术团队,准能让您感受到我们的专业水准;
★关于鸟嘌呤核苷酸交换因子rasgef1a抗体更多详情,请来电咨询!
抗体的酶标记法:
一、抗体与过氧化物偶联
1.将5ng抗体与10ng酶在总体积1ml的0.1mol/L磷酸钾缓冲液(pH6.8)混合;
2.在4℃对0.1mol/L磷酸钾缓冲液(pH6.8)透析过夜;
3.用0.1mol/L磷酸钾缓冲液(pH6.8)稀释戊二醛至1%;
4.透析混合液中加入50μ1稀释过的戊二醛,在室温下轻1轻搅拌三小时;
5.加入2mol/L甘氨酸液使最终浓度达到0.1mol/L,混合液室温放置2小时,以封闭残存的醛基;
6.混合液在4℃对PBS透析过夜;
7.10000×g4℃离心30分;
8.将上清移入另一管中,按体积1:1加入甘油,使终浓度达50%;
9.置-20℃保存;
二、抗体与ARP偶联
1.将5mng抗体与10mng酶在总体积2ml的0.1mol/L磷酸钾缓冲液(pH6.8)混合;
2.其它操作同HRP标记法;
三.抗体与荷萄氧化喜偶联
按HRP偶联法操作,仅加入的1%二醛改为150u1;
抗体与β一D一半乳着苷豪偶联,按HRP偶联法操作,但见偶联反应总体积改为2m1,1%戊二醛用量改为的100u1。
鸟嘌呤核苷酸交换因子rasgef1a抗体相关产品:
Phospho-PPAR Gamma (ser112) 磷酸化过氧化酶活化增生受体γ抗体规格: 0.1ml
OSTM1 骨硬化病相关跨膜蛋白1抗体规格: 0.2ml
LI-cadherin 肝肠钙粘连蛋白抗体规格: 0.1ml
phospho-IL-7Ra(Tyr449) 磷酸化白细胞介素-7受体a抗体规格: 0.1ml
Phospho-eNOS(Thr495) 磷酸化一氧化氮合成酶3抗体(内皮型)规格: 0.1ml
FRA2/FOSL2 FRA2/FOSL2抗体规格: 0.1ml
phospho-c-Jun(Thr91+Thr93) 磷酸化原基因c-Jun抗体 0.1ml
TSPAN13/NET-6 四分子交联体13抗体(四旋蛋白)规格: 0.2ml
SLC24A5 可溶性载质转运蛋白SLC24A5抗体规格: 0.1ml
MSH6 错配修复蛋白6抗体规格: 0.1ml
鸟嘌呤核苷酸交换因子rasgef1a抗体煌橙英文名称:Brilliant orange分子式:350.32分子量: C16H11N2NaO4SCAS号:1934-20-9
3--2-氯-5-甲吡分子式:142.59英文名称:3- amino -2- -5-CAS号:34552-13-1分子量: C6H7ClN2
5-硝水醛英文名称:5- nitro group分子式:167.12分子量: C7H5NO4CAS号:97-51-8
甲磺酚妥拉明英文名称:Phentolamine mesylate分子式:377.46分子量: C18H23N3O4SCAS号:65-28-1
聚四乙烯磁力搅拌子C-10 个 个
2-氯-3-氟-6-甲吡分子式:145.56英文名称:2- chloride -3- -6-CAS号:374633-32-6分子量: C6H5ClFN
麦迪康 口罩 50只/盒 粉色 盒
氟戊菊酯英文名称:Fluoride and cyanide分子式:451.46分子量: C26H23F2NO4CAS号:70124-77-5
英文名称 Anti-RASGEF1A
中文名称 鸟嘌呤核苷酸交换因子rasgef1a抗体
别 名 CG4853 gene product; Ras-GEF domain-containing family member 1A; RasGEF domain family, member 1A; rasgef1a; RGF1A_HUMAN; RASGEF 1A; RASGEF1A.
浓 度 1mg/1ml
规 格 0.2ml/200μg
抗体来源 Rabbit
克隆类型 polyclonal
交叉反应 Human, Mouse, Rat, Dog, Pig, Cow, Horse, Guinea Pig
产品类型 一抗
研究领域 肿瘤 信号转导 细胞凋亡 转录调节因子 G蛋白偶联受体
蛋白分子量 predicted molecular weight:53kDa
性 状 Lyophilized or Liquid
免 疫 原 KLH conjugated synthetic peptide derived from human RASGEF1A
亚 型 IgG
纯化方法 affinity purified by Protein A
储 存 液 0.01M PBS, pH 7.4 with 10 mg/ml BSA and 0.1% Sodium azide
产品应用 WB=1:100-500 ELISA=1:500-1000 IP=1:20-100 IHC-P=1:100-500 IHC-F=1:100-500 IF=1:100-500
公司优势:
★专业营销进口或国产品牌的抗体试剂,种类齐全,数量繁多,涵盖各种生命科研项目,具体有一抗二抗,单抗多抗,标记抗体以及其他各种类型的抗体;
★服务经验丰富,我们提供标记服务,各种标本、种属、具体指标齐全,资深的专业背景和高素质的技术团队,准能让您感受到我们的专业水准;
★关于鸟嘌呤核苷酸交换因子rasgef1a抗体更多详情,请来电咨询!
抗体的酶标记法:
一、抗体与过氧化物偶联
1.将5ng抗体与10ng酶在总体积1ml的0.1mol/L磷酸钾缓冲液(pH6.8)混合;
2.在4℃对0.1mol/L磷酸钾缓冲液(pH6.8)透析过夜;
3.用0.1mol/L磷酸钾缓冲液(pH6.8)稀释戊二醛至1%;
4.透析混合液中加入50μ1稀释过的戊二醛,在室温下轻1轻搅拌三小时;
5.加入2mol/L甘氨酸液使最终浓度达到0.1mol/L,混合液室温放置2小时,以封闭残存的醛基;
6.混合液在4℃对PBS透析过夜;
7.10000×g4℃离心30分;
8.将上清移入另一管中,按体积1:1加入甘油,使终浓度达50%;
9.置-20℃保存;
二、抗体与ARP偶联
1.将5mng抗体与10mng酶在总体积2ml的0.1mol/L磷酸钾缓冲液(pH6.8)混合;
2.其它操作同HRP标记法;
三.抗体与荷萄氧化喜偶联
按HRP偶联法操作,仅加入的1%二醛改为150u1;
抗体与β一D一半乳着苷豪偶联,按HRP偶联法操作,但见偶联反应总体积改为2m1,1%戊二醛用量改为的100u1。
鸟嘌呤核苷酸交换因子rasgef1a抗体相关产品:
Phospho-PPAR Gamma (ser112) 磷酸化过氧化酶活化增生受体γ抗体规格: 0.1ml
OSTM1 骨硬化病相关跨膜蛋白1抗体规格: 0.2ml
LI-cadherin 肝肠钙粘连蛋白抗体规格: 0.1ml
phospho-IL-7Ra(Tyr449) 磷酸化白细胞介素-7受体a抗体规格: 0.1ml
Phospho-eNOS(Thr495) 磷酸化一氧化氮合成酶3抗体(内皮型)规格: 0.1ml
FRA2/FOSL2 FRA2/FOSL2抗体规格: 0.1ml
phospho-c-Jun(Thr91+Thr93) 磷酸化原基因c-Jun抗体 0.1ml
TSPAN13/NET-6 四分子交联体13抗体(四旋蛋白)规格: 0.2ml
SLC24A5 可溶性载质转运蛋白SLC24A5抗体规格: 0.1ml
MSH6 错配修复蛋白6抗体规格: 0.1ml
鸟嘌呤核苷酸交换因子rasgef1a抗体煌橙英文名称:Brilliant orange分子式:350.32分子量: C16H11N2NaO4SCAS号:1934-20-9
3--2-氯-5-甲吡分子式:142.59英文名称:3- amino -2- -5-CAS号:34552-13-1分子量: C6H7ClN2
5-硝水醛英文名称:5- nitro group分子式:167.12分子量: C7H5NO4CAS号:97-51-8
甲磺酚妥拉明英文名称:Phentolamine mesylate分子式:377.46分子量: C18H23N3O4SCAS号:65-28-1
聚四乙烯磁力搅拌子C-10 个 个
2-氯-3-氟-6-甲吡分子式:145.56英文名称:2- chloride -3- -6-CAS号:374633-32-6分子量: C6H5ClFN
麦迪康 口罩 50只/盒 粉色 盒
氟戊菊酯英文名称:Fluoride and cyanide分子式:451.46分子量: C26H23F2NO4CAS号:70124-77-5
风险提示:丁香通仅作为第三方平台,为商家信息发布提供平台空间。用户咨询产品时请注意保护个人信息及财产安全,合理判断,谨慎选购商品,商家和用户对交易行为负责。对于医疗器械类产品,请先查证核实企业经营资质和医疗器械产品注册证情况。
技术资料暂无技术资料 索取技术资料
鸟嘌呤核苷酸交换因子rasgef1a抗体
询价









