万千商家帮你免费找货
0 人在求购买到急需产品
- 详细信息
- 技术资料
- 库存:
大量
- 靶点:
STOM
- 克隆性:
多克隆
- 抗原来源:
Rabbit
- 抗体英文名:
Anti-STOM/Stomatin
- 抗体名:
红细胞膜蛋白STOM抗体
- 标记物:
HRP,AKP
- 宿主:
人,兔,羊,牛,狗等
- 适应物种:
Human, Mouse, Rat, Chicken, Dog, Pig, Cow, Horse, Rabbit, Sheep
- 免疫原:
KLH conjugated synthetic peptide derived from human STOM/Stomatin (166-203aa)
- 亚型:
IgG
- 形态:
冻干或液体
- 应用范围:
WB,ELISA,IP,ICC等
- 浓度:
1mg/1ml
- 保存条件:
-20 °C
- 规格:
0.2ml/200μg
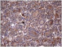
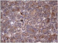
红细胞膜蛋白STOM抗体产品资料:
英文名称 Anti-STOM/Stomatin
中文名称 红细胞膜蛋白STOM抗体
别 名 BND7; EPB7; EPB72; Erythrocyte band 7 integral membrane protein; Erythrocyte membrane protein band 7.2 (stomatin); Protein 7.2b; STOM; STOM_HUMAN; Stomatin.
浓 度 1mg/1ml
规 格 0.2ml/200μg
抗体来源 Rabbit
克隆类型 polyclonal
交叉反应 Human, Mouse, Rat, Chicken, Dog, Pig, Cow, Horse, Rabbit, Sheep
产品类型 一抗
研究领域 细胞生物 神经生物学 通道蛋白 细胞膜受体
蛋白分子量 predicted molecular weight:32kDa
性 状 Lyophilized or Liquid
免 疫 原 KLH conjugated synthetic peptide derived from human STOM/Stomatin (166-203aa)
亚 型 IgG
纯化方法 affinity purified by Protein A
储 存 液 Preservative: 15mM Sodium Azide, Constituents: 1% BSA, 0.01M PBS, pH 7.4
产品应用 WB=1:100-500 ELISA=1:500-1000 IHC-P=1:100-500 IHC-F=1:100-500 ICC=1:100-500 IF=1:100-500
公司优势:
★专业营销进口或国产品牌的抗体试剂,种类齐全,数量繁多,涵盖各种生命科研项目,具体有一抗二抗,单抗多抗,标记抗体以及其他各种类型的抗体;
★服务经验丰富,我们提供标记服务,各种标本、种属、具体指标齐全,资深的专业背景和高素质的技术团队,准能让您感受到我们的专业水准;
★关于红细胞膜蛋白STOM抗体更多详情,请来电咨询!
抗体的酶标记法:
一、抗体与过氧化物偶联
1.将5ng抗体与10ng酶在总体积1ml的0.1mol/L磷酸钾缓冲液(pH6.8)混合;
2.在4℃对0.1mol/L磷酸钾缓冲液(pH6.8)透析过夜;
3.用0.1mol/L磷酸钾缓冲液(pH6.8)稀释戊二醛至1%;
4.透析混合液中加入50μ1稀释过的戊二醛,在室温下轻1轻搅拌三小时;
5.加入2mol/L甘氨酸液使最终浓度达到0.1mol/L,混合液室温放置2小时,以封闭残存的醛基;
6.混合液在4℃对PBS透析过夜;
7.10000×g4℃离心30分;
8.将上清移入另一管中,按体积1:1加入甘油,使终浓度达50%;
9.置-20℃保存;
二、抗体与ARP偶联
1.将5mng抗体与10mng酶在总体积2ml的0.1mol/L磷酸钾缓冲液(pH6.8)混合;
2.其它操作同HRP标记法;
三.抗体与荷萄氧化喜偶联
按HRP偶联法操作,仅加入的1%二醛改为150u1;
抗体与β一D一半乳着苷豪偶联,按HRP偶联法操作,但见偶联反应总体积改为2m1,1%戊二醛用量改为的100u1。
红细胞膜蛋白STOM抗体相关产品:
199623 小鼠抗ARHGAP25单克隆抗体
英文名:Anti-ARHGAP25 mouse monoclonal antiboy
冷冻(-20℃) 避光
221813 兔抗MAPK15多克隆抗体
英文名:Anti-MAPK15 rabbit polyclonal antiboy
冷冻(-20℃) 避光
25525 兔抗PCSK5多克隆抗体
英文名:Anti-PCSK5 rabbit polyclonal antiboy
冷冻(-20℃) 避光
263178 兔抗NHEJ1多克隆抗体
英文名:Anti-NHEJ1 rabbit polyclonal antiboy
级别级XLF
154076 兔抗C3多克隆抗体
英文名:Anti-C3 rabbit polyclonal antiboy
冷冻(-20℃) 避光
160924 兔抗MAP3K2多克隆抗体
英文名:Anti-MAP3K2 rabbit polyclonal antiboy
冷冻(-20℃) 避光
190633 小鼠抗HSPA1A/HSPA1B(N-term)单克隆抗体
英文名:Anti-HSPA1A/HSPA1B(N-term) mouse monoclonal antiboy
冷冻(-20℃)
220229 兔抗KRT18多克隆抗体
英文名:Anti-KRT18 rabbit polyclonal antiboy
冷冻(-20℃) 避光
红细胞膜蛋白STOM抗体B16(小鼠黑色素瘤细胞)酿酒酵母 Saccharomyces cerevisiae
鸭沙门氏菌 Salmonella anatum米曲霉 Aspergillus oryzae
苜蓿中华根瘤菌 Sinorhizobium meliloti大鼠脑动脉血管内皮细胞完全培养基
Primary Antibody Diluent/一抗稀释液(绿色)酸球菌亚种 Lactococcus lactis subsp.lactis
窄脊正青霉 Eupenicillium angustiporcatum米根霉
黑木耳 Auricularia auricula小鼠骨肉瘤
中华鳖肺来源细胞5-8F, 人高转移鼻咽细胞系
小鼠子宫内膜上皮细胞完全培养基鼠李糖杆菌 Lactobacillus rhamnosus
平菇 Pleurotus ostreatus戊糖杆菌 Lactobacillus pentosus
英文名称 Anti-STOM/Stomatin
中文名称 红细胞膜蛋白STOM抗体
别 名 BND7; EPB7; EPB72; Erythrocyte band 7 integral membrane protein; Erythrocyte membrane protein band 7.2 (stomatin); Protein 7.2b; STOM; STOM_HUMAN; Stomatin.
浓 度 1mg/1ml
规 格 0.2ml/200μg
抗体来源 Rabbit
克隆类型 polyclonal
交叉反应 Human, Mouse, Rat, Chicken, Dog, Pig, Cow, Horse, Rabbit, Sheep
产品类型 一抗
研究领域 细胞生物 神经生物学 通道蛋白 细胞膜受体
蛋白分子量 predicted molecular weight:32kDa
性 状 Lyophilized or Liquid
免 疫 原 KLH conjugated synthetic peptide derived from human STOM/Stomatin (166-203aa)
亚 型 IgG
纯化方法 affinity purified by Protein A
储 存 液 Preservative: 15mM Sodium Azide, Constituents: 1% BSA, 0.01M PBS, pH 7.4
产品应用 WB=1:100-500 ELISA=1:500-1000 IHC-P=1:100-500 IHC-F=1:100-500 ICC=1:100-500 IF=1:100-500
公司优势:
★专业营销进口或国产品牌的抗体试剂,种类齐全,数量繁多,涵盖各种生命科研项目,具体有一抗二抗,单抗多抗,标记抗体以及其他各种类型的抗体;
★服务经验丰富,我们提供标记服务,各种标本、种属、具体指标齐全,资深的专业背景和高素质的技术团队,准能让您感受到我们的专业水准;
★关于红细胞膜蛋白STOM抗体更多详情,请来电咨询!
抗体的酶标记法:
一、抗体与过氧化物偶联
1.将5ng抗体与10ng酶在总体积1ml的0.1mol/L磷酸钾缓冲液(pH6.8)混合;
2.在4℃对0.1mol/L磷酸钾缓冲液(pH6.8)透析过夜;
3.用0.1mol/L磷酸钾缓冲液(pH6.8)稀释戊二醛至1%;
4.透析混合液中加入50μ1稀释过的戊二醛,在室温下轻1轻搅拌三小时;
5.加入2mol/L甘氨酸液使最终浓度达到0.1mol/L,混合液室温放置2小时,以封闭残存的醛基;
6.混合液在4℃对PBS透析过夜;
7.10000×g4℃离心30分;
8.将上清移入另一管中,按体积1:1加入甘油,使终浓度达50%;
9.置-20℃保存;
二、抗体与ARP偶联
1.将5mng抗体与10mng酶在总体积2ml的0.1mol/L磷酸钾缓冲液(pH6.8)混合;
2.其它操作同HRP标记法;
三.抗体与荷萄氧化喜偶联
按HRP偶联法操作,仅加入的1%二醛改为150u1;
抗体与β一D一半乳着苷豪偶联,按HRP偶联法操作,但见偶联反应总体积改为2m1,1%戊二醛用量改为的100u1。
红细胞膜蛋白STOM抗体相关产品:
199623 小鼠抗ARHGAP25单克隆抗体
英文名:Anti-ARHGAP25 mouse monoclonal antiboy
冷冻(-20℃) 避光
221813 兔抗MAPK15多克隆抗体
英文名:Anti-MAPK15 rabbit polyclonal antiboy
冷冻(-20℃) 避光
25525 兔抗PCSK5多克隆抗体
英文名:Anti-PCSK5 rabbit polyclonal antiboy
冷冻(-20℃) 避光
263178 兔抗NHEJ1多克隆抗体
英文名:Anti-NHEJ1 rabbit polyclonal antiboy
级别级XLF
154076 兔抗C3多克隆抗体
英文名:Anti-C3 rabbit polyclonal antiboy
冷冻(-20℃) 避光
160924 兔抗MAP3K2多克隆抗体
英文名:Anti-MAP3K2 rabbit polyclonal antiboy
冷冻(-20℃) 避光
190633 小鼠抗HSPA1A/HSPA1B(N-term)单克隆抗体
英文名:Anti-HSPA1A/HSPA1B(N-term) mouse monoclonal antiboy
冷冻(-20℃)
220229 兔抗KRT18多克隆抗体
英文名:Anti-KRT18 rabbit polyclonal antiboy
冷冻(-20℃) 避光
红细胞膜蛋白STOM抗体B16(小鼠黑色素瘤细胞)酿酒酵母 Saccharomyces cerevisiae
鸭沙门氏菌 Salmonella anatum米曲霉 Aspergillus oryzae
苜蓿中华根瘤菌 Sinorhizobium meliloti大鼠脑动脉血管内皮细胞完全培养基
Primary Antibody Diluent/一抗稀释液(绿色)酸球菌亚种 Lactococcus lactis subsp.lactis
窄脊正青霉 Eupenicillium angustiporcatum米根霉
黑木耳 Auricularia auricula小鼠骨肉瘤
中华鳖肺来源细胞5-8F, 人高转移鼻咽细胞系
小鼠子宫内膜上皮细胞完全培养基鼠李糖杆菌 Lactobacillus rhamnosus
平菇 Pleurotus ostreatus戊糖杆菌 Lactobacillus pentosus
风险提示:丁香通仅作为第三方平台,为商家信息发布提供平台空间。用户咨询产品时请注意保护个人信息及财产安全,合理判断,谨慎选购商品,商家和用户对交易行为负责。对于医疗器械类产品,请先查证核实企业经营资质和医疗器械产品注册证情况。
技术资料暂无技术资料 索取技术资料
红细胞膜蛋白STOM抗体
询价









