万千商家帮你免费找货
0 人在求购买到急需产品
- 详细信息
- 技术资料
- 供应商:
上海莼试
- 库存:
15
- 靶点:
COUP-TF1
- 克隆性:
多克隆
- 保质期:
详见说明书
- 抗体英文名:
Anti-COUP-TF1
- 抗体名:
转录因子COUP1抗体
- 标记物:
HRP等
- 宿主:
鼠,牛,马,兔,羊等
- 适应物种:
Human, Mouse, Rat等
- 亚型:
IgG
- 形态:
液体或固体
- 应用范围:
WB IHC-P IHC-F IF
- 浓度:
10mg/ml
- 保存条件:
密封保存
- 规格:
100ul
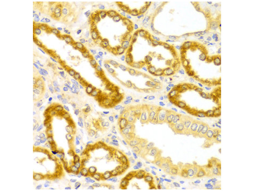
产品名称:转录因子COUP1抗体
英文名称:Anti-COUP-TF1
库存地:上海库
货期:现货
价格:以咨询为准!
用途:仅供高校实验室以及科研单位使用
公司优势:
1.拥有一批专业高效的团队,专门解决客户在实验过程中遇到的各种难题;
2.多年的应用经验积累;
3. 转录因子COUP1抗体规格牌号齐全,满足不同客户的使用需求;
4.库存充足,供货周期短,能解决客户的急需问题;
5.我们秉承诚信至上、务实做事的信条,是客户值得信赖的合作伙伴。
免疫组化结果分析:
1、首先要确定免疫组化技术是否合格,合格的染色结果应该是背景颜色浅淡或无着色,而阳性标志物清晰和定位明确。
切片中的正常组织可以作为最简便的对照来判断染色结果的可靠与否,例如用Vimentin抗体,间质成纤维细胞利血管壁平滑肌细胞胞浆应呈阳性。肯定为阳性的对照组织却呈阴性,待测组织的染色结果也就不可靠;这现象常是由于抗体失效或过度稀释、组织中抗原严重丢失等。
2、不仅要判断所检组织中有或无阳性标记物,还要注意阳性信号的分布部位和形态特征。
一般说来,阳性信号应与被测抗原所在的部位一致,大部分细胞抗原位于胞质内,其中亦有区别,有的阳性颗粒弥散于整个细胞的胞质,有的则呈斑块状局限于胞浆某处。还有些抗原同时分布于胞质和胞膜(如胃肠腺癌细胞的EMA),或核与胞质(如S-100、HMB-45)。同一种抗原在不同类型的细胞可定位不同,因而分布的特点也有一定的鉴别意义。
转录因子COUP1抗体相关的其他优势产品:
多器官癌组织芯片 进口/国产
乳腺癌组织芯片 进口/国产
肺癌组织芯片 进口/国产
胃癌组织芯片 进口/国产
结肠腺癌组织芯片 进口/国产
DNA修复酶相互作用蛋白抗体 Anti-APLF WB IHC-P IHC-F IF 100ul
脂肪细胞膜相关蛋白抗体 Anti-APMAP WB IHC-P IHC-F IF 100ul
载脂蛋白A1结合蛋白抗体抗体 Anti-APOA1BP/AI-BP WB IHC-P IHC-F IF 100ul
载脂蛋白B-mRNA编辑酶复合物1抗体 Anti-APOBEC1 WB IHC-P IHC-F IF 100ul
载脂蛋白B-mRNA编辑酶复合物2抗体 Anti-APOBEC2 WB IHC-P IHC-F IF 100ul
丝裂原活化蛋白激酶激酶2抗体 Anti-MEK2 WB IHC-P IHC-F IF 100ul
蛋白裂解酶抗体 Anti-Matriptase WB IHC-P IHC-F IF 100ul
髓鞘碱性蛋白/磷脂碱性蛋白抗体 Anti-MBP WB IHC-P IHC-F IF 100ul
黑色素瘤相关抗原抗体/黑色素-A抗体 Anti-MelanA WB IHC-P IHC-F IF 100ul
巨噬细胞克隆刺激因子抗体 Anti-MCSF WB IHC-P IHC-F IF 100ul
小鼠纤溶抑制因子(TAFI)ELISA试剂盒 ,英文名: TAFI ELISA Kit
兔β淀粉样蛋白1-40(Aβ1-40)ELISA检测试剂盒Rabbitamyloidbetapeptide1-40,Aβ1-40ELISAKit 96T/48T
牛胰岛素样生长因子结合蛋白3(IGFBP-3)免疫试剂盒 bovine Insulin-like growth factor binding protein 3,IGFBP-3 ELISA kit
英文名称HumanIgEELISAKit人免疫球蛋白E(IgE)规格:96T/48T
蛋白质转印印迹膜萘酚蓝黑(NBB)染色试剂盒20次
RatNeuroophin4,-4ELISA试剂盒大鼠神经营养因子4(-4)ELISA试剂盒规格:96T/48T
转录因子COUP1抗体小鼠CD19分子(CD19)ELISA试剂盒 ,英文名: CD19 ELISA Kit
大鼠白细胞分化抗原44(CD44)ELISA检测试剂盒RatclusterOfdiffereiation,CD44ELISAKit 96T/48T
人CD82分子(CD82)免疫试剂盒 Human CD82 ELISA Kit
英文名称MousetelomeraseELISAKit小鼠端粒酶(telomerase)规格:96T/48T
冰冻切片平滑肌组织染色试剂盒50次
RatAquaporin0,AQP-0ELISA试剂盒大鼠水通道蛋白0(AQP-0)ELISA试剂盒规格:96T/48T
英文名称:Anti-COUP-TF1
库存地:上海库
货期:现货
价格:以咨询为准!
用途:仅供高校实验室以及科研单位使用
公司优势:
1.拥有一批专业高效的团队,专门解决客户在实验过程中遇到的各种难题;
2.多年的应用经验积累;
3. 转录因子COUP1抗体规格牌号齐全,满足不同客户的使用需求;
4.库存充足,供货周期短,能解决客户的急需问题;
5.我们秉承诚信至上、务实做事的信条,是客户值得信赖的合作伙伴。
免疫组化结果分析:
1、首先要确定免疫组化技术是否合格,合格的染色结果应该是背景颜色浅淡或无着色,而阳性标志物清晰和定位明确。
切片中的正常组织可以作为最简便的对照来判断染色结果的可靠与否,例如用Vimentin抗体,间质成纤维细胞利血管壁平滑肌细胞胞浆应呈阳性。肯定为阳性的对照组织却呈阴性,待测组织的染色结果也就不可靠;这现象常是由于抗体失效或过度稀释、组织中抗原严重丢失等。
2、不仅要判断所检组织中有或无阳性标记物,还要注意阳性信号的分布部位和形态特征。
一般说来,阳性信号应与被测抗原所在的部位一致,大部分细胞抗原位于胞质内,其中亦有区别,有的阳性颗粒弥散于整个细胞的胞质,有的则呈斑块状局限于胞浆某处。还有些抗原同时分布于胞质和胞膜(如胃肠腺癌细胞的EMA),或核与胞质(如S-100、HMB-45)。同一种抗原在不同类型的细胞可定位不同,因而分布的特点也有一定的鉴别意义。
转录因子COUP1抗体相关的其他优势产品:
多器官癌组织芯片 进口/国产
乳腺癌组织芯片 进口/国产
肺癌组织芯片 进口/国产
胃癌组织芯片 进口/国产
结肠腺癌组织芯片 进口/国产
DNA修复酶相互作用蛋白抗体 Anti-APLF WB IHC-P IHC-F IF 100ul
脂肪细胞膜相关蛋白抗体 Anti-APMAP WB IHC-P IHC-F IF 100ul
载脂蛋白A1结合蛋白抗体抗体 Anti-APOA1BP/AI-BP WB IHC-P IHC-F IF 100ul
载脂蛋白B-mRNA编辑酶复合物1抗体 Anti-APOBEC1 WB IHC-P IHC-F IF 100ul
载脂蛋白B-mRNA编辑酶复合物2抗体 Anti-APOBEC2 WB IHC-P IHC-F IF 100ul
丝裂原活化蛋白激酶激酶2抗体 Anti-MEK2 WB IHC-P IHC-F IF 100ul
蛋白裂解酶抗体 Anti-Matriptase WB IHC-P IHC-F IF 100ul
髓鞘碱性蛋白/磷脂碱性蛋白抗体 Anti-MBP WB IHC-P IHC-F IF 100ul
黑色素瘤相关抗原抗体/黑色素-A抗体 Anti-MelanA WB IHC-P IHC-F IF 100ul
巨噬细胞克隆刺激因子抗体 Anti-MCSF WB IHC-P IHC-F IF 100ul
小鼠纤溶抑制因子(TAFI)ELISA试剂盒 ,英文名: TAFI ELISA Kit
兔β淀粉样蛋白1-40(Aβ1-40)ELISA检测试剂盒Rabbitamyloidbetapeptide1-40,Aβ1-40ELISAKit 96T/48T
牛胰岛素样生长因子结合蛋白3(IGFBP-3)免疫试剂盒 bovine Insulin-like growth factor binding protein 3,IGFBP-3 ELISA kit
英文名称HumanIgEELISAKit人免疫球蛋白E(IgE)规格:96T/48T
蛋白质转印印迹膜萘酚蓝黑(NBB)染色试剂盒20次
RatNeuroophin4,-4ELISA试剂盒大鼠神经营养因子4(-4)ELISA试剂盒规格:96T/48T
转录因子COUP1抗体小鼠CD19分子(CD19)ELISA试剂盒 ,英文名: CD19 ELISA Kit
大鼠白细胞分化抗原44(CD44)ELISA检测试剂盒RatclusterOfdiffereiation,CD44ELISAKit 96T/48T
人CD82分子(CD82)免疫试剂盒 Human CD82 ELISA Kit
英文名称MousetelomeraseELISAKit小鼠端粒酶(telomerase)规格:96T/48T
冰冻切片平滑肌组织染色试剂盒50次
RatAquaporin0,AQP-0ELISA试剂盒大鼠水通道蛋白0(AQP-0)ELISA试剂盒规格:96T/48T
风险提示:丁香通仅作为第三方平台,为商家信息发布提供平台空间。用户咨询产品时请注意保护个人信息及财产安全,合理判断,谨慎选购商品,商家和用户对交易行为负责。对于医疗器械类产品,请先查证核实企业经营资质和医疗器械产品注册证情况。
技术资料暂无技术资料 索取技术资料
转录因子COUP1抗体
询价









