相关产品推荐更多 >
万千商家帮你免费找货
0 人在求购买到急需产品
- 详细信息
- 技术资料
- 库存:
大量
- 靶点:
707
- 克隆性:
多克隆
- 抗原来源:
Rabbit
- 抗体英文名:
Anti-Phospho-TrkA (Tyr674/675)/TrkB (Tyr706/707)
- 抗体名:
磷酸化酪氨酸激酶A抗体
- 标记物:
HRP,AKP
- 宿主:
人,兔,羊,牛,狗等
- 适应物种:
Human, Mouse, Rat
- 免疫原:
KLH conjugated Synthesised phosphopeptide derived from human TrkA around the phosphorylation site of Tyr674/675
- 亚型:
IgG
- 形态:
冻干或液体
- 应用范围:
WB,ELISA,IP,ICC等
- 浓度:
1mg/1ml
- 保存条件:
-20 °C
- 规格:
0.1ml/100μg
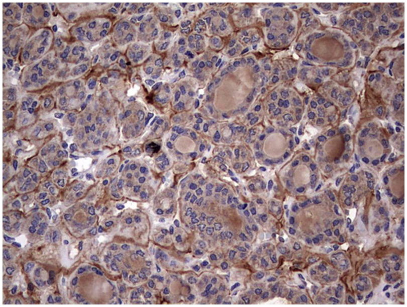
磷酸化酪氨酸激酶A抗体产品介绍:
英文名称 Anti-Phospho-TrkA (Tyr674/675)/TrkB (Tyr706/707)
中文名称 磷酸化酪氨酸激酶A抗体
别 名 TrkA (Phospho-Tyr674/675); TrkA (Phospho Tyr674/675); TrkA (Phospho-Y674/675); p-TrkA(Tyr674/675); TrkB (Phospho-Tyr706/707); TrkB (Phospho Tyr706/707); TrkB (Phospho-Tyr706/707); p-TrkB(Tyr706/707); CIPA; CIPA; DKFZp781I14186; gp140trk; High affinity nerve growth factor receptor; High affinity nerve growth factor receptor precursor; High affinity nerve growth factor receptor precursor; MTC; MTC; neurotrophic tyrosine kinase receptor type 1; neurotrophic tyrosine kinase receptor type 1; Ntrk 1; Ntrk1; Ntrk1; NTRK1_HUMAN; Oncogene TRK; Oncogene TRK; p140 TrkA; p140-TrkA; TRK 1; Trk A; TRK; TRK; Trk-A; TRK1; TRK1 transforming tyrosine kinase protein; TRK1-transforming tyrosine kinase protein; Tropomyosin-related kinase A; Tyrosine kinase receptor A; Tyrosine kinase receptor; Tyrosine Receptor Kinase A.
浓 度 1mg/1ml
规 格 0.1ml/100μg
抗体来源 Rabbit
克隆类型 polyclonal
交叉反应 Human, Mouse, Rat
产品类型 一抗 磷酸化抗体
研究领域 细胞生物 免疫学 神经生物学 激酶和磷酸酶
蛋白分子量 predicted molecular weight:90kDa
性 状 Lyophilized or Liquid
免 疫 原 KLH conjugated Synthesised phosphopeptide derived from human TrkA around the phosphorylation site of Tyr674/675
亚 型 IgG
纯化方法 affinity purified by Protein A
储 存 液 0.01M PBS, pH 7.4 with 10 mg/ml BSA and 0.1% Sodium azide
产品应用 WB=1:100-500 ELISA=1:500-1000 IP=1:20-100 IHC-P=1:100-500 IHC-F=1:100-500 IF=1:100-500
磷酸化酪氨酸激酶A抗体订购说明:
※关于产品的详细说明书、价格信息,请来电获取;
※关于运输,我司支持各种快递,具体采用什么快递,我们会满足客户的要求,此外,我们还会根据产品的性状采取特殊的保护方式,以减少运输途中的损坏情况;
※关于产品包装,我司支持进口原装,也能按照客户的要求进行分装;
※关于售后,客户在收到货后,先检查产品包装情况,有无破损情况,然后可以按照严格的操作流程,在无菌环境下检测产品质量本身,如有上述疑似情况,请及时联系我司销售部;
※关于技术服务,我司可为您提供抗体标记服务,以及其他检测服务,此外,如遇技术问题,我司还能为您提供答疑解惑的咨询服务。
抗体分子标记技术:
一、氯胺T法
1.用1.5 mi Ependof管,加10u1抗体及pH7.5的0.5mo1/L磷酸钠缓冲液总体积至25μ1
2.加500uCi的Na125I,混匀;
3.加25u12mg/ml氯胺T液,混匀;
4.在室温下培养1分钟;
5.加入50μ1氯胺T反应终止缓冲液;
6.通过凝胶过滤层析分离将碘化抗体与碘化酪氨酸分离;
7.收集、合并含碘化抗体的各管;
8.将1251标记的抗体管放入同位素保护管中,置4℃保存;
二、Iodogen-包被试管法
1. Iodogen以0.5μg/mnl溶于lv仿;
2.将100u1 Iodogen液移入合用的玻璃试管中;
3.试管置通风橱中过夜,在室温下让lv仿蒸发;
4.加入50u1抗体;
5.加500 u ci Na125I到加有抗体的 Iodogen-包被管中,室温保温2分钟;
6.将管中反应液转入1.5 nl eppendof管;
7.通过凝胶过滤层析,将碘化抗体与碘化酪氨酸分离;
8.收集、混合含碘化抗体的各管;
9.将125I标记的抗体置同位素保护管中,放4℃保存。
磷酸化酪氨酸激酶A抗体更多相关产品:
Rabbit Anti-Guinea pig IgG/Cy7 Cy7标记的兔抗豚鼠IgG规格: 0.1ml
AQP4 水通道蛋白-4抗体规格: 0.1ml
HDL/high density lipoprotein 高密度脂蛋白抗体规格: 0.1ml
Mouse Anti-human IgM/Cy3 Cy3标记的小鼠抗人IgM规格: 0.1ml
C1orf125 1号染色体开放阅读框125抗体规格: 0.2ml
SDCCAG10 结肠抗原10抗体规格: 0.2ml
Gibberellins 牛磺酸/β-氨基乙磺酸抗体 0.1ml
GNG2 G蛋白γ2抗体/鸟嘌呤核苷酸结合蛋白γ2抗体规格: 0.2mlCKLFSF2/CMTM2 趋化素样因子超家族成员2抗体规格: 0.2ml
SCYL1BP1 SCYL结合蛋白1抗体规格: 0.1mlGoat Anti-rabbit IgG/Cy5.5 Cy5.5标记的羊抗兔IgG规格: 0.1ml
MAGEL2 黑色素瘤抗原样基因2抗体规格: 0.2mlphospho-c-Raf(Ser494) 磷酸化原基因c-Raf抗体规格: 0.1ml
磷酸化酪氨酸激酶A抗体香蒲新苷英文名称:Typhaneoside分子式:770.68528分子量:C34H42O20CAS号:104472-68-6
MS培养基(不含琼脂和蔗糖) 250g 瓶
二甲粉橙英文名称:Two a powder orange分子式:分子量:CAS号:
Giemsa stain 姬姆萨染料 1g 瓶
硫酸铬钾分子式:499.4英文名称:Potassium chromium sulfateCAS号:7788-99-0分子量: CrKO8S2.12H2O
L-Tryptophan L-色氨酸 5g 瓶
华酥毒英文名称:Cinobufagin分子式:148.16分子量:C9H8O2CAS号:470-37-1
2-氯-5-碘甲分子式:252.48英文名称:2- chloride -5-CAS号:116632-41-8分子量: C7H6ClI
英文名称 Anti-Phospho-TrkA (Tyr674/675)/TrkB (Tyr706/707)
中文名称 磷酸化酪氨酸激酶A抗体
别 名 TrkA (Phospho-Tyr674/675); TrkA (Phospho Tyr674/675); TrkA (Phospho-Y674/675); p-TrkA(Tyr674/675); TrkB (Phospho-Tyr706/707); TrkB (Phospho Tyr706/707); TrkB (Phospho-Tyr706/707); p-TrkB(Tyr706/707); CIPA; CIPA; DKFZp781I14186; gp140trk; High affinity nerve growth factor receptor; High affinity nerve growth factor receptor precursor; High affinity nerve growth factor receptor precursor; MTC; MTC; neurotrophic tyrosine kinase receptor type 1; neurotrophic tyrosine kinase receptor type 1; Ntrk 1; Ntrk1; Ntrk1; NTRK1_HUMAN; Oncogene TRK; Oncogene TRK; p140 TrkA; p140-TrkA; TRK 1; Trk A; TRK; TRK; Trk-A; TRK1; TRK1 transforming tyrosine kinase protein; TRK1-transforming tyrosine kinase protein; Tropomyosin-related kinase A; Tyrosine kinase receptor A; Tyrosine kinase receptor; Tyrosine Receptor Kinase A.
浓 度 1mg/1ml
规 格 0.1ml/100μg
抗体来源 Rabbit
克隆类型 polyclonal
交叉反应 Human, Mouse, Rat
产品类型 一抗 磷酸化抗体
研究领域 细胞生物 免疫学 神经生物学 激酶和磷酸酶
蛋白分子量 predicted molecular weight:90kDa
性 状 Lyophilized or Liquid
免 疫 原 KLH conjugated Synthesised phosphopeptide derived from human TrkA around the phosphorylation site of Tyr674/675
亚 型 IgG
纯化方法 affinity purified by Protein A
储 存 液 0.01M PBS, pH 7.4 with 10 mg/ml BSA and 0.1% Sodium azide
产品应用 WB=1:100-500 ELISA=1:500-1000 IP=1:20-100 IHC-P=1:100-500 IHC-F=1:100-500 IF=1:100-500
磷酸化酪氨酸激酶A抗体订购说明:
※关于产品的详细说明书、价格信息,请来电获取;
※关于运输,我司支持各种快递,具体采用什么快递,我们会满足客户的要求,此外,我们还会根据产品的性状采取特殊的保护方式,以减少运输途中的损坏情况;
※关于产品包装,我司支持进口原装,也能按照客户的要求进行分装;
※关于售后,客户在收到货后,先检查产品包装情况,有无破损情况,然后可以按照严格的操作流程,在无菌环境下检测产品质量本身,如有上述疑似情况,请及时联系我司销售部;
※关于技术服务,我司可为您提供抗体标记服务,以及其他检测服务,此外,如遇技术问题,我司还能为您提供答疑解惑的咨询服务。
抗体分子标记技术:
一、氯胺T法
1.用1.5 mi Ependof管,加10u1抗体及pH7.5的0.5mo1/L磷酸钠缓冲液总体积至25μ1
2.加500uCi的Na125I,混匀;
3.加25u12mg/ml氯胺T液,混匀;
4.在室温下培养1分钟;
5.加入50μ1氯胺T反应终止缓冲液;
6.通过凝胶过滤层析分离将碘化抗体与碘化酪氨酸分离;
7.收集、合并含碘化抗体的各管;
8.将1251标记的抗体管放入同位素保护管中,置4℃保存;
二、Iodogen-包被试管法
1. Iodogen以0.5μg/mnl溶于lv仿;
2.将100u1 Iodogen液移入合用的玻璃试管中;
3.试管置通风橱中过夜,在室温下让lv仿蒸发;
4.加入50u1抗体;
5.加500 u ci Na125I到加有抗体的 Iodogen-包被管中,室温保温2分钟;
6.将管中反应液转入1.5 nl eppendof管;
7.通过凝胶过滤层析,将碘化抗体与碘化酪氨酸分离;
8.收集、混合含碘化抗体的各管;
9.将125I标记的抗体置同位素保护管中,放4℃保存。
磷酸化酪氨酸激酶A抗体更多相关产品:
Rabbit Anti-Guinea pig IgG/Cy7 Cy7标记的兔抗豚鼠IgG规格: 0.1ml
AQP4 水通道蛋白-4抗体规格: 0.1ml
HDL/high density lipoprotein 高密度脂蛋白抗体规格: 0.1ml
Mouse Anti-human IgM/Cy3 Cy3标记的小鼠抗人IgM规格: 0.1ml
C1orf125 1号染色体开放阅读框125抗体规格: 0.2ml
SDCCAG10 结肠抗原10抗体规格: 0.2ml
Gibberellins 牛磺酸/β-氨基乙磺酸抗体 0.1ml
GNG2 G蛋白γ2抗体/鸟嘌呤核苷酸结合蛋白γ2抗体规格: 0.2mlCKLFSF2/CMTM2 趋化素样因子超家族成员2抗体规格: 0.2ml
SCYL1BP1 SCYL结合蛋白1抗体规格: 0.1mlGoat Anti-rabbit IgG/Cy5.5 Cy5.5标记的羊抗兔IgG规格: 0.1ml
MAGEL2 黑色素瘤抗原样基因2抗体规格: 0.2mlphospho-c-Raf(Ser494) 磷酸化原基因c-Raf抗体规格: 0.1ml
磷酸化酪氨酸激酶A抗体香蒲新苷英文名称:Typhaneoside分子式:770.68528分子量:C34H42O20CAS号:104472-68-6
MS培养基(不含琼脂和蔗糖) 250g 瓶
二甲粉橙英文名称:Two a powder orange分子式:分子量:CAS号:
Giemsa stain 姬姆萨染料 1g 瓶
硫酸铬钾分子式:499.4英文名称:Potassium chromium sulfateCAS号:7788-99-0分子量: CrKO8S2.12H2O
L-Tryptophan L-色氨酸 5g 瓶
华酥毒英文名称:Cinobufagin分子式:148.16分子量:C9H8O2CAS号:470-37-1
2-氯-5-碘甲分子式:252.48英文名称:2- chloride -5-CAS号:116632-41-8分子量: C7H6ClI
风险提示:丁香通仅作为第三方平台,为商家信息发布提供平台空间。用户咨询产品时请注意保护个人信息及财产安全,合理判断,谨慎选购商品,商家和用户对交易行为负责。对于医疗器械类产品,请先查证核实企业经营资质和医疗器械产品注册证情况。
技术资料暂无技术资料 索取技术资料
磷酸化酪氨酸激酶A抗体
询价









