相关产品推荐更多 >
万千商家帮你免费找货
0 人在求购买到急需产品
- 详细信息
- 技术资料
- 库存:
大量
- 靶点:
T Beta 10
- 克隆性:
多克隆
- 抗原来源:
Rabbit
- 抗体英文名:
Anti-T Beta 10
- 抗体名:
胸腺素β10抗体
- 标记物:
HRP,AKP
- 宿主:
人,兔,羊,牛,狗等
- 适应物种:
Human, Mouse, Rat, Chicken, Dog, Pig, Cow, Horse
- 免疫原:
KLH conjugated synthetic peptide derived from human T Beta 10
- 亚型:
IgG
- 形态:
冻干或液体
- 应用范围:
WB,ELISA,IP,ICC等
- 浓度:
1mg/1ml
- 保存条件:
-20 °C
- 规格:
0.1ml/100μg0.2ml/200μg
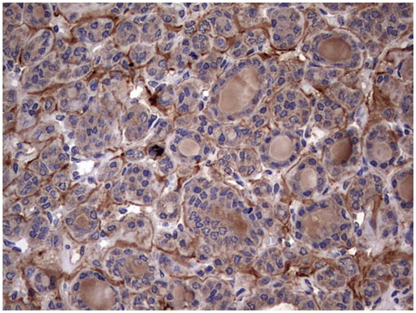
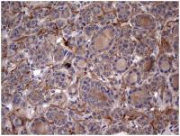
胸腺素β10抗体产品介绍:
英文名称 Anti-T Beta 10
中文名称 胸腺素β10抗体
别 名 thymosin beta 10; MIG 12; MIG12; TB 10; TB10; Thyb 10; Thyb10; TMSB10; TYB10_HUMAN.
浓 度 1mg/1ml
规 格 0.1ml/100μg 0.2ml/200μg
抗体来源 Rabbit
克隆类型 polyclonal
交叉反应 Human, Mouse, Rat, Chicken, Dog, Pig, Cow, Horse
产品类型 一抗
研究领域 肿瘤 免疫学 生长因子和激素
蛋白分子量 predicted molecular weight:4.9kDa
性 状 Lyophilized or Liquid
免 疫 原 KLH conjugated synthetic peptide derived from human T Beta 10
亚 型 IgG
纯化方法 affinity purified by Protein A
储 存 液 0.01M PBS, pH 7.4 with 10 mg/ml BSA and 0.1% Sodium azide
产品应用 ELISA=1:500-1000 IHC-P=1:100-500 IHC-F=1:100-500 IF=1:100-500
胸腺素β10抗体订购说明:
※关于产品的详细说明书、价格信息,请来电获取;
※关于运输,我司支持各种快递,具体采用什么快递,我们会满足客户的要求,此外,我们还会根据产品的性状采取特殊的保护方式,以减少运输途中的损坏情况;
※关于产品包装,我司支持进口原装,也能按照客户的要求进行分装;
※关于售后,客户在收到货后,先检查产品包装情况,有无破损情况,然后可以按照严格的操作流程,在无菌环境下检测产品质量本身,如有上述疑似情况,请及时联系我司销售部;
※关于技术服务,我司可为您提供抗体标记服务,以及其他检测服务,此外,如遇技术问题,我司还能为您提供答疑解惑的咨询服务。
抗体分子标记技术:
一、氯胺T法
1.用1.5 mi Ependof管,加10u1抗体及pH7.5的0.5mo1/L磷酸钠缓冲液总体积至25μ1
2.加500uCi的Na125I,混匀;
3.加25u12mg/ml氯胺T液,混匀;
4.在室温下培养1分钟;
5.加入50μ1氯胺T反应终止缓冲液;
6.通过凝胶过滤层析分离将碘化抗体与碘化酪氨酸分离;
7.收集、合并含碘化抗体的各管;
8.将1251标记的抗体管放入同位素保护管中,置4℃保存;
二、Iodogen-包被试管法
1. Iodogen以0.5μg/mnl溶于lv仿;
2.将100u1 Iodogen液移入合用的玻璃试管中;
3.试管置通风橱中过夜,在室温下让lv仿蒸发;
4.加入50u1抗体;
5.加500 u ci Na125I到加有抗体的 Iodogen-包被管中,室温保温2分钟;
6.将管中反应液转入1.5 nl eppendof管;
7.通过凝胶过滤层析,将碘化抗体与碘化酪氨酸分离;
8.收集、混合含碘化抗体的各管;
9.将125I标记的抗体置同位素保护管中,放4℃保存。
胸腺素β10抗体更多相关产品:
phospho-NDEL1(Ser242) 磷酸化中心粒蛋白Nudel抗体规格: 0.1mlC3a Receptor/C3aR 过敏毒素C3受体/补体C3受体抗体 0.2ml
Rabbit Anti-human sIgA/HRP 辣根过氧化物酶标记兔抗人IgA规格: 0.1mlTIF1 Alpha/TRIM24 转录中介因子Tif1α抗体规格: 0.2ml
TRAF4/CART 1 瘤坏死因子受体相关蛋白4抗体规格: 0.1mlCEP55 中心体蛋白55kDa抗体规格: 0.2ml
ANKRD26 锚蛋白重复结构域蛋白26抗体规格: 0.2mlPLC β2/Phospholipase C beta 2 磷酯酶Cβ2抗体规格: 0.2ml
phospho-c-Abl(Tyr283) 磷酸化非受体酪氨酸激酶c-Abl抗体 0.1mlRabbit Anti-rat IgG/PE-Cy5.5 PE-Cy5.5标记的兔抗大鼠IgG规格: 0.1ml
phospho-CBL2(Tyr731) 磷酸化原蛋白CBL2抗体规格: 0.1mlKIF3A 驱动蛋白家族蛋白3抗体规格: 0.2ml
COX4/COX IV-1 细胞色素c氧化酶IV亚型1抗体规格: 0.2mlRNF25 环指蛋白25抗体规格: 0.2ml
γ-taxilin/LSR5 脂多糖相关反应蛋白5抗体 0.2mlIFRD1 干扰素相关发育调节蛋白1抗体(神经生因子诱导蛋白PC4)规格: 0.2ml
Goat Anti-rat IgG/PE-Cy3 PE-Cy3标记的羊抗大鼠IgG规格: 0.1mlphospho-FADD(Ser194) 磷酸化Fas死亡结构域相关蛋白抗体规格: 0.1ml
SPON2/M spondin/Mindin 细胞外基质底物反应蛋白2抗体规格: 0.2mlPARL 骨骼肌细胞线粒体膜蛋白PARL抗体规格: 0.2ml
胸腺素β10抗体6-三氟甲尿嘧分子式:180.09英文名称:6- three fluorine uracilCAS号:672-45-7分子量: C5H3F3N2O2
瑞氏-姬姆萨复合染液 100ml 瓶
芦荟甙英文名称:Aloe分子式:418.39分子量:C21H22O9CAS号:1415-73-2
Acridine Orange 吖啶橙 1g 瓶
2-甲并噻唑分子式:149.21英文名称:2- MethylbenzothiazoleCAS号:120-75-2分子量: C8H7NS
201×7凝胶型强碱性阴离子树脂 500g 瓶
3-氟-2-硝甲分子式:155.126英文名称:3- -2- nitro tolueneCAS号:3013-27-2分子量: C7H6FNO2
Xylene Cyanol FF 二甲苯青FF 5g 瓶
英文名称 Anti-T Beta 10
中文名称 胸腺素β10抗体
别 名 thymosin beta 10; MIG 12; MIG12; TB 10; TB10; Thyb 10; Thyb10; TMSB10; TYB10_HUMAN.
浓 度 1mg/1ml
规 格 0.1ml/100μg 0.2ml/200μg
抗体来源 Rabbit
克隆类型 polyclonal
交叉反应 Human, Mouse, Rat, Chicken, Dog, Pig, Cow, Horse
产品类型 一抗
研究领域 肿瘤 免疫学 生长因子和激素
蛋白分子量 predicted molecular weight:4.9kDa
性 状 Lyophilized or Liquid
免 疫 原 KLH conjugated synthetic peptide derived from human T Beta 10
亚 型 IgG
纯化方法 affinity purified by Protein A
储 存 液 0.01M PBS, pH 7.4 with 10 mg/ml BSA and 0.1% Sodium azide
产品应用 ELISA=1:500-1000 IHC-P=1:100-500 IHC-F=1:100-500 IF=1:100-500
胸腺素β10抗体订购说明:
※关于产品的详细说明书、价格信息,请来电获取;
※关于运输,我司支持各种快递,具体采用什么快递,我们会满足客户的要求,此外,我们还会根据产品的性状采取特殊的保护方式,以减少运输途中的损坏情况;
※关于产品包装,我司支持进口原装,也能按照客户的要求进行分装;
※关于售后,客户在收到货后,先检查产品包装情况,有无破损情况,然后可以按照严格的操作流程,在无菌环境下检测产品质量本身,如有上述疑似情况,请及时联系我司销售部;
※关于技术服务,我司可为您提供抗体标记服务,以及其他检测服务,此外,如遇技术问题,我司还能为您提供答疑解惑的咨询服务。
抗体分子标记技术:
一、氯胺T法
1.用1.5 mi Ependof管,加10u1抗体及pH7.5的0.5mo1/L磷酸钠缓冲液总体积至25μ1
2.加500uCi的Na125I,混匀;
3.加25u12mg/ml氯胺T液,混匀;
4.在室温下培养1分钟;
5.加入50μ1氯胺T反应终止缓冲液;
6.通过凝胶过滤层析分离将碘化抗体与碘化酪氨酸分离;
7.收集、合并含碘化抗体的各管;
8.将1251标记的抗体管放入同位素保护管中,置4℃保存;
二、Iodogen-包被试管法
1. Iodogen以0.5μg/mnl溶于lv仿;
2.将100u1 Iodogen液移入合用的玻璃试管中;
3.试管置通风橱中过夜,在室温下让lv仿蒸发;
4.加入50u1抗体;
5.加500 u ci Na125I到加有抗体的 Iodogen-包被管中,室温保温2分钟;
6.将管中反应液转入1.5 nl eppendof管;
7.通过凝胶过滤层析,将碘化抗体与碘化酪氨酸分离;
8.收集、混合含碘化抗体的各管;
9.将125I标记的抗体置同位素保护管中,放4℃保存。
胸腺素β10抗体更多相关产品:
phospho-NDEL1(Ser242) 磷酸化中心粒蛋白Nudel抗体规格: 0.1mlC3a Receptor/C3aR 过敏毒素C3受体/补体C3受体抗体 0.2ml
Rabbit Anti-human sIgA/HRP 辣根过氧化物酶标记兔抗人IgA规格: 0.1mlTIF1 Alpha/TRIM24 转录中介因子Tif1α抗体规格: 0.2ml
TRAF4/CART 1 瘤坏死因子受体相关蛋白4抗体规格: 0.1mlCEP55 中心体蛋白55kDa抗体规格: 0.2ml
ANKRD26 锚蛋白重复结构域蛋白26抗体规格: 0.2mlPLC β2/Phospholipase C beta 2 磷酯酶Cβ2抗体规格: 0.2ml
phospho-c-Abl(Tyr283) 磷酸化非受体酪氨酸激酶c-Abl抗体 0.1mlRabbit Anti-rat IgG/PE-Cy5.5 PE-Cy5.5标记的兔抗大鼠IgG规格: 0.1ml
phospho-CBL2(Tyr731) 磷酸化原蛋白CBL2抗体规格: 0.1mlKIF3A 驱动蛋白家族蛋白3抗体规格: 0.2ml
COX4/COX IV-1 细胞色素c氧化酶IV亚型1抗体规格: 0.2mlRNF25 环指蛋白25抗体规格: 0.2ml
γ-taxilin/LSR5 脂多糖相关反应蛋白5抗体 0.2mlIFRD1 干扰素相关发育调节蛋白1抗体(神经生因子诱导蛋白PC4)规格: 0.2ml
Goat Anti-rat IgG/PE-Cy3 PE-Cy3标记的羊抗大鼠IgG规格: 0.1mlphospho-FADD(Ser194) 磷酸化Fas死亡结构域相关蛋白抗体规格: 0.1ml
SPON2/M spondin/Mindin 细胞外基质底物反应蛋白2抗体规格: 0.2mlPARL 骨骼肌细胞线粒体膜蛋白PARL抗体规格: 0.2ml
胸腺素β10抗体6-三氟甲尿嘧分子式:180.09英文名称:6- three fluorine uracilCAS号:672-45-7分子量: C5H3F3N2O2
瑞氏-姬姆萨复合染液 100ml 瓶
芦荟甙英文名称:Aloe分子式:418.39分子量:C21H22O9CAS号:1415-73-2
Acridine Orange 吖啶橙 1g 瓶
2-甲并噻唑分子式:149.21英文名称:2- MethylbenzothiazoleCAS号:120-75-2分子量: C8H7NS
201×7凝胶型强碱性阴离子树脂 500g 瓶
3-氟-2-硝甲分子式:155.126英文名称:3- -2- nitro tolueneCAS号:3013-27-2分子量: C7H6FNO2
Xylene Cyanol FF 二甲苯青FF 5g 瓶
风险提示:丁香通仅作为第三方平台,为商家信息发布提供平台空间。用户咨询产品时请注意保护个人信息及财产安全,合理判断,谨慎选购商品,商家和用户对交易行为负责。对于医疗器械类产品,请先查证核实企业经营资质和医疗器械产品注册证情况。
技术资料暂无技术资料 索取技术资料
胸腺素β10抗体
询价









