万千商家帮你免费找货
0 人在求购买到急需产品
- 详细信息
- 技术资料
- 库存:
大量
- 靶点:
TRAF4
- 克隆性:
多克隆
- 抗原来源:
Rabbit
- 抗体英文名:
Anti-TRAF4/CART 1
- 抗体名:
肿瘤坏死因子受体相关蛋白4抗体
- 宿主:
人,兔,羊,牛,狗等
- 适应物种:
Human, Mouse, Rat, Dog, Cow, Horse, Rabbit
- 免疫原:
KLH conjugated synthetic peptide derived from human TRAF4
- 亚型:
IgG
- 形态:
冻干或液体
- 应用范围:
WB,ELISA,IP,ICC等
- 浓度:
1mg/1ml
- 保存条件:
-20 °C
- 规格:
0.1ml/100μg0.2ml/200μg
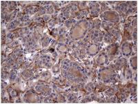
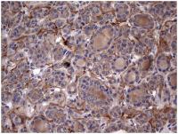
肿瘤坏死因子受体相关蛋白4抗体产品信息:
英文名称 Anti-TRAF4/CART 1
中文名称 肿瘤坏死因子受体相关蛋白4抗体
别 名 CART 1; CART1; TRAF 4; TRAF-4; TRAF4_HUMAN; cysteine rich domain associated with ring and TRAF domain; Cysteine rich domain associated with RING and Traf domains protein 1; Malignant 62; metastatic lymph node gene 62 protein; MLN 62; MLN62; RING finger protein 83; RNF 83; RNF83; TNF receptor associated factor 4; TRAF 4; tumor necrosis receptor-associated factor 4A.
浓 度 1mg/1ml
规 格 0.1ml/100μg 0.2ml/200μg
抗体来源 Rabbit
克隆类型 polyclonal
交叉反应 Human, Mouse, Rat, Dog, Cow, Horse, Rabbit
产品类型 一抗
研究领域 肿瘤 细胞生物 免疫学 染色质和核信号 信号转导 生长因子和激素
蛋白分子量 predicted molecular weight:35kDa
性 状 Lyophilized or Liquid
免 疫 原 KLH conjugated synthetic peptide derived from human TRAF4
亚 型 IgG
纯化方法 affinity purified by Protein A
储 存 液 0.01M PBS, pH 7.4 with 10 mg/ml BSA and 0.1% Sodium azide
产品应用 WB=1:100-500 ELISA=1:500-1000 IP=1:20-100 IHC-P=1:100-500 IHC-F=1:100-500 IF=1:100-500
肿瘤坏死因子受体相关蛋白4抗体订购说明:
※关于产品的详细说明书、价格信息,请来电获取;
※关于运输,我司支持各种快递,具体采用什么快递,我们会满足客户的要求,此外,我们还会根据产品的性状采取特殊的保护方式,以减少运输途中的损坏情况;
※关于产品包装,我司支持进口原装,也能按照客户的要求进行分装;
※关于售后,客户在收到货后,先检查产品包装情况,有无破损情况,然后可以按照严格的操作流程,在无菌环境下检测产品质量本身,如有上述疑似情况,请及时联系我司销售部;
※关于技术服务,我司可为您提供抗体标记服务,以及其他检测服务,此外,如遇技术问题,我司还能为您提供答疑解惑的咨询服务。
抗体的生物素化标记:
1.将待生物素化的蛋白质用0.1mol/L碳酸氢钠缓冲液(pH8.0)或0.5mol/L硼酸缓冲液(pH8.6)稀释到1mg般实验室应用的生物素化体积为1-2.5ml;
2.交互用0.1mo1/L碳酸氢钠缓冲液(pH8.0)或0.5mol/L硼酸缓冲液(pH8.6),对蛋白质充分透析;
3.用 1m1 DMS0溶解 NHSB Img;
4.向1m1蛋白质溶液(即含蛋白质1mg)加入120u1NHSB溶液(即含NHSB120g);
5.在室温下持续搅拌,保温2-4小时;
6.加入9.6μL1mol/LNH41(每25μ g NHSB加1u1),在室温下搅拌10分钟;
7.在4℃,对PBS充分透析,以除去游离的生物素;
8.将样品上1ml的分子筛柱,以PBS缓慢洗脱,收集1ml/管,蛋白质在1-3m1之间洗下;
9.最后,样品加入叠氮钠(终浓度0.5g/L)及1.0g/LBSA。将结合产物置4℃,避光保存,亦可加入50%重蒸甘油,置一20℃保存。
肿瘤坏死因子受体相关蛋白4抗体相关的其他产品:
263357 兔抗CACNA22多克隆抗体
英文名:Anti-CACNA22 rabbit polyclonal antiboy
冷冻(-20℃) 避光
162632 兔抗ZFP30多克隆抗体
英文名:Anti-ZFP30 rabbit polyclonal antiboy
冷冻(-20℃) 避光
161026 兔抗LCN2多克隆抗体
英文名:Anti-LCN2 rabbit polyclonal antiboy
冷冻(-20℃) 避光
190702 小鼠抗LRRFIP1单克隆抗体
英文名:Anti-LRRFIP1 mouse monoclonal antiboy
冷冻(-20℃)
220336 兔抗CAMK2B多克隆抗体
英文名:Anti-CAMK2B rabbit polyclonal antiboy
冷冻(-20℃) 避光
23395 兔抗TPSB2多克隆抗体
英文名:Anti-TPSB2 rabbit polyclonal antiboy
冷冻(-20℃) 避光
261930 兔抗MV多克隆抗体
英文名:Anti-MV rabbit polyclonal antiboy
冷冻(-20℃) 避光
52347 兔抗RBP5多克隆抗体
英文名:Anti-RBP5 rabbit polyclonal antiboy
冷冻(-20℃) 避光
肿瘤坏死因子受体相关蛋白4抗体Schiff试剂 100ml 瓶
2,6-二氯-4,8-二子嘧并[5,4-D]嘧分子式:367.282英文名称:2,6- two -4,8- two chlorine piperidino pyrimidine pyrimidine and [5,4-D]CAS号:1913545分子量: C16H20Cl2N6
革兰氏染色液试剂盒 4×10ml 盒
2-恶唑分子式:84.08英文名称:2恶唑CAS号:4570-45-0分子量: C3H4N2O
Ammonium Persulfate 过硫酸铵 25g 瓶
偶氮蓝英文名称:Azo blue分子式:726.69分子量: C34H24N4Na2O8S2CAS号:6059-34-3
Magnoflorine chloride 木兰花碱 88273 20mg
5-苄硫四氮唑分子式:192.24英文名称:5- benzylthio tetrazolineCAS号:21871-47-6分子量: C3H6N4S
英文名称 Anti-TRAF4/CART 1
中文名称 肿瘤坏死因子受体相关蛋白4抗体
别 名 CART 1; CART1; TRAF 4; TRAF-4; TRAF4_HUMAN; cysteine rich domain associated with ring and TRAF domain; Cysteine rich domain associated with RING and Traf domains protein 1; Malignant 62; metastatic lymph node gene 62 protein; MLN 62; MLN62; RING finger protein 83; RNF 83; RNF83; TNF receptor associated factor 4; TRAF 4; tumor necrosis receptor-associated factor 4A.
浓 度 1mg/1ml
规 格 0.1ml/100μg 0.2ml/200μg
抗体来源 Rabbit
克隆类型 polyclonal
交叉反应 Human, Mouse, Rat, Dog, Cow, Horse, Rabbit
产品类型 一抗
研究领域 肿瘤 细胞生物 免疫学 染色质和核信号 信号转导 生长因子和激素
蛋白分子量 predicted molecular weight:35kDa
性 状 Lyophilized or Liquid
免 疫 原 KLH conjugated synthetic peptide derived from human TRAF4
亚 型 IgG
纯化方法 affinity purified by Protein A
储 存 液 0.01M PBS, pH 7.4 with 10 mg/ml BSA and 0.1% Sodium azide
产品应用 WB=1:100-500 ELISA=1:500-1000 IP=1:20-100 IHC-P=1:100-500 IHC-F=1:100-500 IF=1:100-500
肿瘤坏死因子受体相关蛋白4抗体订购说明:
※关于产品的详细说明书、价格信息,请来电获取;
※关于运输,我司支持各种快递,具体采用什么快递,我们会满足客户的要求,此外,我们还会根据产品的性状采取特殊的保护方式,以减少运输途中的损坏情况;
※关于产品包装,我司支持进口原装,也能按照客户的要求进行分装;
※关于售后,客户在收到货后,先检查产品包装情况,有无破损情况,然后可以按照严格的操作流程,在无菌环境下检测产品质量本身,如有上述疑似情况,请及时联系我司销售部;
※关于技术服务,我司可为您提供抗体标记服务,以及其他检测服务,此外,如遇技术问题,我司还能为您提供答疑解惑的咨询服务。
抗体的生物素化标记:
1.将待生物素化的蛋白质用0.1mol/L碳酸氢钠缓冲液(pH8.0)或0.5mol/L硼酸缓冲液(pH8.6)稀释到1mg般实验室应用的生物素化体积为1-2.5ml;
2.交互用0.1mo1/L碳酸氢钠缓冲液(pH8.0)或0.5mol/L硼酸缓冲液(pH8.6),对蛋白质充分透析;
3.用 1m1 DMS0溶解 NHSB Img;
4.向1m1蛋白质溶液(即含蛋白质1mg)加入120u1NHSB溶液(即含NHSB120g);
5.在室温下持续搅拌,保温2-4小时;
6.加入9.6μL1mol/LNH41(每25μ g NHSB加1u1),在室温下搅拌10分钟;
7.在4℃,对PBS充分透析,以除去游离的生物素;
8.将样品上1ml的分子筛柱,以PBS缓慢洗脱,收集1ml/管,蛋白质在1-3m1之间洗下;
9.最后,样品加入叠氮钠(终浓度0.5g/L)及1.0g/LBSA。将结合产物置4℃,避光保存,亦可加入50%重蒸甘油,置一20℃保存。
肿瘤坏死因子受体相关蛋白4抗体相关的其他产品:
263357 兔抗CACNA22多克隆抗体
英文名:Anti-CACNA22 rabbit polyclonal antiboy
冷冻(-20℃) 避光
162632 兔抗ZFP30多克隆抗体
英文名:Anti-ZFP30 rabbit polyclonal antiboy
冷冻(-20℃) 避光
161026 兔抗LCN2多克隆抗体
英文名:Anti-LCN2 rabbit polyclonal antiboy
冷冻(-20℃) 避光
190702 小鼠抗LRRFIP1单克隆抗体
英文名:Anti-LRRFIP1 mouse monoclonal antiboy
冷冻(-20℃)
220336 兔抗CAMK2B多克隆抗体
英文名:Anti-CAMK2B rabbit polyclonal antiboy
冷冻(-20℃) 避光
23395 兔抗TPSB2多克隆抗体
英文名:Anti-TPSB2 rabbit polyclonal antiboy
冷冻(-20℃) 避光
261930 兔抗MV多克隆抗体
英文名:Anti-MV rabbit polyclonal antiboy
冷冻(-20℃) 避光
52347 兔抗RBP5多克隆抗体
英文名:Anti-RBP5 rabbit polyclonal antiboy
冷冻(-20℃) 避光
肿瘤坏死因子受体相关蛋白4抗体Schiff试剂 100ml 瓶
2,6-二氯-4,8-二子嘧并[5,4-D]嘧分子式:367.282英文名称:2,6- two -4,8- two chlorine piperidino pyrimidine pyrimidine and [5,4-D]CAS号:1913545分子量: C16H20Cl2N6
革兰氏染色液试剂盒 4×10ml 盒
2-恶唑分子式:84.08英文名称:2恶唑CAS号:4570-45-0分子量: C3H4N2O
Ammonium Persulfate 过硫酸铵 25g 瓶
偶氮蓝英文名称:Azo blue分子式:726.69分子量: C34H24N4Na2O8S2CAS号:6059-34-3
Magnoflorine chloride 木兰花碱 88273 20mg
5-苄硫四氮唑分子式:192.24英文名称:5- benzylthio tetrazolineCAS号:21871-47-6分子量: C3H6N4S
风险提示:丁香通仅作为第三方平台,为商家信息发布提供平台空间。用户咨询产品时请注意保护个人信息及财产安全,合理判断,谨慎选购商品,商家和用户对交易行为负责。对于医疗器械类产品,请先查证核实企业经营资质和医疗器械产品注册证情况。
技术资料暂无技术资料 索取技术资料
肿瘤坏死因子受体相关蛋白4抗体
询价









