相关产品推荐更多 >
万千商家帮你免费找货
0 人在求购买到急需产品
- 详细信息
- 技术资料
- 库存:
大量
- 靶点:
Rho GTPase
- 克隆性:
多克隆
- 抗原来源:
Rabbit
- 抗体英文名:
Anti-Rho GTPase activating protein 29
- 抗体名:
RhoGTP酶激活蛋白29抗体
- 标记物:
HRP,AKP
- 宿主:
人,兔,羊,牛,狗等
- 适应物种:
Human, Mouse, Rat, Dog, Pig, Cow, Horse, Rabbit
- 免疫原:
KLH conjugated synthetic peptide derived from human PARG1
- 亚型:
IgG
- 形态:
冻干或液体
- 应用范围:
WB,ELISA,IP,ICC等
- 浓度:
1mg/1ml
- 保存条件:
-20 °C
- 规格:
0.2ml/200μg
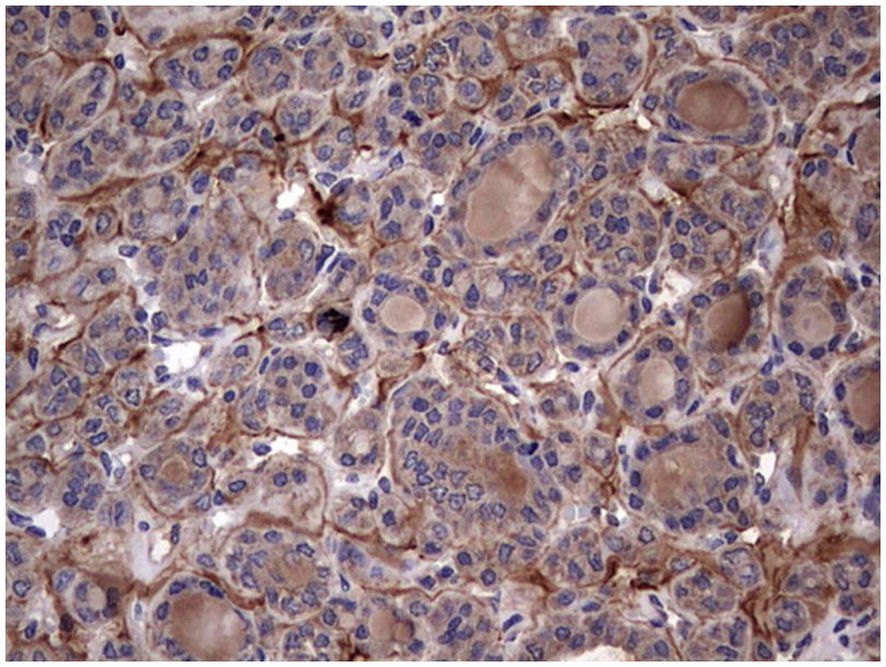
RhoGTP酶激活蛋白29抗体产品介绍:
英文名称 Anti-Rho GTPase activating protein 29
中文名称 RhoGTP酶激活蛋白29抗体
别 名 ARHGAP 29; ARHGAP29; ARHGAP29 protein; MGC166097; PARG 1; PARG1; PTPL1 associated RhoGAP 1; PTPL1-associated RhoGAP protein 1; RHG29_HUMAN; Rho GTPase acti ating protein 29; Rho GTPase acti ating protein 29 isoform CRA_a; Rho GTPase acti ating protein 29 isoform CRA_b; Rho GTPase-acti ating protein 29; Rho-type GTPase-acti ating protein 29.
浓 度 1mg/1ml
规 格 0.2ml/200μg
抗体来源 Rabbit
克隆类型 polyclonal
交叉反应 Human, Mouse, Rat, Dog, Pig, Cow, Horse, Rabbit
产品类型 一抗
研究领域 肿瘤 信号转导 G蛋白信号
蛋白分子量 predicted molecular weight:142kDa
性 状 Lyophilized or Liquid
免 疫 原 KLH conjugated synthetic peptide derived from human PARG1
亚 型 IgG
纯化方法 affinity purified by Protein A
储 存 液 0.01M PBS, pH 7.4 with 10 mg/ml BSA and 0.1% Sodium azide
产品应用 WB=1:100-500 ELISA=1:500-1000 IP=1:20-100 IHC-P=1:100-500 IHC-F=1:100-500 IF=1:100-500
RhoGTP酶激活蛋白29抗体订购说明:
※关于产品的详细说明书、价格信息,请来电获取;
※关于运输,我司支持各种快递,具体采用什么快递,我们会满足客户的要求,此外,我们还会根据产品的性状采取特殊的保护方式,以减少运输途中的损坏情况;
※关于产品包装,我司支持进口原装,也能按照客户的要求进行分装;
※关于售后,客户在收到货后,先检查产品包装情况,有无破损情况,然后可以按照严格的操作流程,在无菌环境下检测产品质量本身,如有上述疑似情况,请及时联系我司销售部;
※关于技术服务,我司可为您提供抗体标记服务,以及其他检测服务,此外,如遇技术问题,我司还能为您提供答疑解惑的咨询服务。
抗体分子标记技术:
一、氯胺T法
1.用1.5 mi Ependof管,加10u1抗体及pH7.5的0.5mo1/L磷酸钠缓冲液总体积至25μ1
2.加500uCi的Na125I,混匀;
3.加25u12mg/ml氯胺T液,混匀;
4.在室温下培养1分钟;
5.加入50μ1氯胺T反应终止缓冲液;
6.通过凝胶过滤层析分离将碘化抗体与碘化酪氨酸分离;
7.收集、合并含碘化抗体的各管;
8.将1251标记的抗体管放入同位素保护管中,置4℃保存;
二、Iodogen-包被试管法
1. Iodogen以0.5μg/mnl溶于lv仿;
2.将100u1 Iodogen液移入合用的玻璃试管中;
3.试管置通风橱中过夜,在室温下让lv仿蒸发;
4.加入50u1抗体;
5.加500 u ci Na125I到加有抗体的 Iodogen-包被管中,室温保温2分钟;
6.将管中反应液转入1.5 nl eppendof管;
7.通过凝胶过滤层析,将碘化抗体与碘化酪氨酸分离;
8.收集、混合含碘化抗体的各管;
9.将125I标记的抗体置同位素保护管中,放4℃保存。
RhoGTP酶激活蛋白29抗体更多相关产品:
C6orf120 6号染色体开放阅读框120抗体规格: 0.2ml
Phospho-HER2(Tyr1248) 磷酸化HER2受体抗体规格: 0.1ml
CXCR7/RDC1 细胞表面趋化因子受体7抗体规格: 0.1ml
Goat Anti-Mouse IgM/PE-Cy3 PE-Cy3标记的羊抗小鼠IgM规格: 0.1ml
Donkey Anti-Goat IgG/RBITC 罗丹明标记的驴抗羊IgG规格: 0.1ml
phospho-c-Jun(Ser63) 磷酸化原基因c-Jun抗体规格: 0.1ml
Gigaxonin 巨轴索神经病蛋白GAN抗体规格: 0.2ml
TSHR (CT) 促甲状素受体抗体(C端)规格: 0.1ml
RbAp48 视网膜母细胞瘤结合蛋白P48抗体规格: 0.2ml
ADAM28 去整合素样金属蛋白酶28抗体规格: 0.2ml
RhoGTP酶激活蛋白29抗体4-Hydroxy-3-methoxybenzyl alcohol-Vanillicalcohol 香草醇 498-00-0 20mg
6-溴异喹啉分子式:208.05英文名称:6- bromideCAS号:34784-05-9分子量: C9H6BrN
1M Tris-HCl(PH=7.5) 100ml 瓶
3-甲氧羰-3-亚砜分子式:176.19英文名称:3-, -3-, a carbonyl groupCAS号:67488-50-0分子量: C6H8O4S
硅烷101白担体/硅烷102白担体/硅烷202红担体英文名称:Silane 101 white / silane / silane 102 white / silane / silane 202分子式:分子量:CAS号:
Xylene Cyanol FF 二甲苯青FF 1g 瓶
聚(L-乳酸钴-己内酯-乙交酯钴)分子式:英文名称:Poly (L- lactic acid co caprolactone co glycolide)CAS号:134490-19-0分子量:
小鼠脏器组织淋巴细胞分离液试剂盒 200ml/KIT 盒
英文名称 Anti-Rho GTPase activating protein 29
中文名称 RhoGTP酶激活蛋白29抗体
别 名 ARHGAP 29; ARHGAP29; ARHGAP29 protein; MGC166097; PARG 1; PARG1; PTPL1 associated RhoGAP 1; PTPL1-associated RhoGAP protein 1; RHG29_HUMAN; Rho GTPase acti ating protein 29; Rho GTPase acti ating protein 29 isoform CRA_a; Rho GTPase acti ating protein 29 isoform CRA_b; Rho GTPase-acti ating protein 29; Rho-type GTPase-acti ating protein 29.
浓 度 1mg/1ml
规 格 0.2ml/200μg
抗体来源 Rabbit
克隆类型 polyclonal
交叉反应 Human, Mouse, Rat, Dog, Pig, Cow, Horse, Rabbit
产品类型 一抗
研究领域 肿瘤 信号转导 G蛋白信号
蛋白分子量 predicted molecular weight:142kDa
性 状 Lyophilized or Liquid
免 疫 原 KLH conjugated synthetic peptide derived from human PARG1
亚 型 IgG
纯化方法 affinity purified by Protein A
储 存 液 0.01M PBS, pH 7.4 with 10 mg/ml BSA and 0.1% Sodium azide
产品应用 WB=1:100-500 ELISA=1:500-1000 IP=1:20-100 IHC-P=1:100-500 IHC-F=1:100-500 IF=1:100-500
RhoGTP酶激活蛋白29抗体订购说明:
※关于产品的详细说明书、价格信息,请来电获取;
※关于运输,我司支持各种快递,具体采用什么快递,我们会满足客户的要求,此外,我们还会根据产品的性状采取特殊的保护方式,以减少运输途中的损坏情况;
※关于产品包装,我司支持进口原装,也能按照客户的要求进行分装;
※关于售后,客户在收到货后,先检查产品包装情况,有无破损情况,然后可以按照严格的操作流程,在无菌环境下检测产品质量本身,如有上述疑似情况,请及时联系我司销售部;
※关于技术服务,我司可为您提供抗体标记服务,以及其他检测服务,此外,如遇技术问题,我司还能为您提供答疑解惑的咨询服务。
抗体分子标记技术:
一、氯胺T法
1.用1.5 mi Ependof管,加10u1抗体及pH7.5的0.5mo1/L磷酸钠缓冲液总体积至25μ1
2.加500uCi的Na125I,混匀;
3.加25u12mg/ml氯胺T液,混匀;
4.在室温下培养1分钟;
5.加入50μ1氯胺T反应终止缓冲液;
6.通过凝胶过滤层析分离将碘化抗体与碘化酪氨酸分离;
7.收集、合并含碘化抗体的各管;
8.将1251标记的抗体管放入同位素保护管中,置4℃保存;
二、Iodogen-包被试管法
1. Iodogen以0.5μg/mnl溶于lv仿;
2.将100u1 Iodogen液移入合用的玻璃试管中;
3.试管置通风橱中过夜,在室温下让lv仿蒸发;
4.加入50u1抗体;
5.加500 u ci Na125I到加有抗体的 Iodogen-包被管中,室温保温2分钟;
6.将管中反应液转入1.5 nl eppendof管;
7.通过凝胶过滤层析,将碘化抗体与碘化酪氨酸分离;
8.收集、混合含碘化抗体的各管;
9.将125I标记的抗体置同位素保护管中,放4℃保存。
RhoGTP酶激活蛋白29抗体更多相关产品:
C6orf120 6号染色体开放阅读框120抗体规格: 0.2ml
Phospho-HER2(Tyr1248) 磷酸化HER2受体抗体规格: 0.1ml
CXCR7/RDC1 细胞表面趋化因子受体7抗体规格: 0.1ml
Goat Anti-Mouse IgM/PE-Cy3 PE-Cy3标记的羊抗小鼠IgM规格: 0.1ml
Donkey Anti-Goat IgG/RBITC 罗丹明标记的驴抗羊IgG规格: 0.1ml
phospho-c-Jun(Ser63) 磷酸化原基因c-Jun抗体规格: 0.1ml
Gigaxonin 巨轴索神经病蛋白GAN抗体规格: 0.2ml
TSHR (CT) 促甲状素受体抗体(C端)规格: 0.1ml
RbAp48 视网膜母细胞瘤结合蛋白P48抗体规格: 0.2ml
ADAM28 去整合素样金属蛋白酶28抗体规格: 0.2ml
RhoGTP酶激活蛋白29抗体4-Hydroxy-3-methoxybenzyl alcohol-Vanillicalcohol 香草醇 498-00-0 20mg
6-溴异喹啉分子式:208.05英文名称:6- bromideCAS号:34784-05-9分子量: C9H6BrN
1M Tris-HCl(PH=7.5) 100ml 瓶
3-甲氧羰-3-亚砜分子式:176.19英文名称:3-, -3-, a carbonyl groupCAS号:67488-50-0分子量: C6H8O4S
硅烷101白担体/硅烷102白担体/硅烷202红担体英文名称:Silane 101 white / silane / silane 102 white / silane / silane 202分子式:分子量:CAS号:
Xylene Cyanol FF 二甲苯青FF 1g 瓶
聚(L-乳酸钴-己内酯-乙交酯钴)分子式:英文名称:Poly (L- lactic acid co caprolactone co glycolide)CAS号:134490-19-0分子量:
小鼠脏器组织淋巴细胞分离液试剂盒 200ml/KIT 盒
风险提示:丁香通仅作为第三方平台,为商家信息发布提供平台空间。用户咨询产品时请注意保护个人信息及财产安全,合理判断,谨慎选购商品,商家和用户对交易行为负责。对于医疗器械类产品,请先查证核实企业经营资质和医疗器械产品注册证情况。
技术资料暂无技术资料 索取技术资料
RhoGTP酶激活蛋白29抗体
询价









