万千商家帮你免费找货
0 人在求购买到急需产品
- 详细信息
- 技术资料
- 库存:
大量
- 靶点:
TRIP1
- 克隆性:
多克隆
- 抗原来源:
Rabbit
- 抗体英文名:
Anti-TRIP1/PSMC5
- 抗体名:
甲状腺受体相互作用蛋白1抗体
- 标记物:
HRP,AKP
- 宿主:
人,兔,羊,牛,狗等
- 适应物种:
Human, Mouse, Rat, Chicken, Rabbit
- 免疫原:
KLH conjugated synthetic peptide derived from human TRIP1/PSMC5
- 亚型:
IgG
- 形态:
冻干或液体
- 应用范围:
WB,ELISA,IP,ICC等
- 浓度:
1mg/1ml
- 保存条件:
-20 °C
- 规格:
0.2ml/200μg
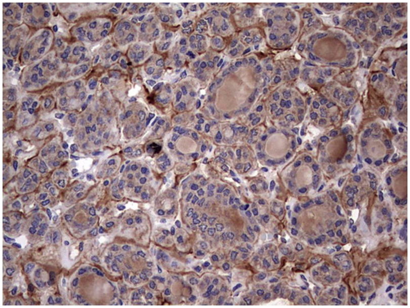
甲状腺受体相互作用蛋白1抗体产品介绍:
英文名称 Anti-TRIP1/PSMC5
中文名称 甲状腺受体相互作用蛋白1抗体
别 名 26S protease regulatory subunit 8; Cim3; MSUG1 protein; p45 antibody p45/SUG; Proteasome (prosome macropain) 26S subunit ATPase 5; Proteasome 26S ATPase subunit 5; Proteasome 26S subunit ATPase 5; Proteasome prosome macropain 26S subunit ATPase 5; Proteasome subunit p45; PSMC 5; PSMC5; Rpt6; S8 antibody SUG 1; SUG1; Tat binding protein homolog 10; TBP 10; TBP10; Thyroid hormone receptor interacting protein 1; Thyroid receptor interactor 1; TRIP 1; TRIP1; TRIP1(SUG1).
浓 度 1mg/1ml
规 格 0.2ml/200μg
抗体来源 Rabbit
克隆类型 polyclonal
交叉反应 Human, Mouse, Rat, Chicken, Rabbit
产品类型 一抗
研究领域 细胞生物 细胞膜受体
蛋白分子量 predicted molecular weight:45kDa
性 状 Lyophilized or Liquid
免 疫 原 KLH conjugated synthetic peptide derived from human TRIP1/PSMC5
亚 型 IgG
纯化方法 affinity purified by Protein A
储 存 液 Preservative: 15mM Sodium Azide, Constituents: 1% BSA, 0.01M PBS, pH 7.4
产品应用 WB=1:100-500 ELISA=1:500-1000 IP=1:20-100 IHC-P=1:100-500 IHC-F=1:100-500 IF=1:100-500
甲状腺受体相互作用蛋白1抗体订购说明:
※关于产品的详细说明书、价格信息,请来电获取;
※关于运输,我司支持各种快递,具体采用什么快递,我们会满足客户的要求,此外,我们还会根据产品的性状采取特殊的保护方式,以减少运输途中的损坏情况;
※关于产品包装,我司支持进口原装,也能按照客户的要求进行分装;
※关于售后,客户在收到货后,先检查产品包装情况,有无破损情况,然后可以按照严格的操作流程,在无菌环境下检测产品质量本身,如有上述疑似情况,请及时联系我司销售部;
※关于技术服务,我司可为您提供抗体标记服务,以及其他检测服务,此外,如遇技术问题,我司还能为您提供答疑解惑的咨询服务。
抗体分子标记技术:
一、氯胺T法
1.用1.5 mi Ependof管,加10u1抗体及pH7.5的0.5mo1/L磷酸钠缓冲液总体积至25μ1
2.加500uCi的Na125I,混匀;
3.加25u12mg/ml氯胺T液,混匀;
4.在室温下培养1分钟;
5.加入50μ1氯胺T反应终止缓冲液;
6.通过凝胶过滤层析分离将碘化抗体与碘化酪氨酸分离;
7.收集、合并含碘化抗体的各管;
8.将1251标记的抗体管放入同位素保护管中,置4℃保存;
二、Iodogen-包被试管法
1. Iodogen以0.5μg/mnl溶于lv仿;
2.将100u1 Iodogen液移入合用的玻璃试管中;
3.试管置通风橱中过夜,在室温下让lv仿蒸发;
4.加入50u1抗体;
5.加500 u ci Na125I到加有抗体的 Iodogen-包被管中,室温保温2分钟;
6.将管中反应液转入1.5 nl eppendof管;
7.通过凝胶过滤层析,将碘化抗体与碘化酪氨酸分离;
8.收集、混合含碘化抗体的各管;
9.将125I标记的抗体置同位素保护管中,放4℃保存。
甲状腺受体相互作用蛋白1抗体更多相关产品:
160963 兔抗ANPEP多克隆抗体
英文名:Anti-ANPEP rabbit polyclonal antiboy
冷冻(-20℃) 避光
190659 小鼠抗SIRT2单克隆抗体
英文名:Anti-SIRT2 mouse monoclonal antiboy
冷冻(-20℃)
220263 兔抗RAP1A多克隆抗体
英文名:Anti-RAP1A rabbit polyclonal antiboy
冷冻(-20℃) 避光
23297 兔抗TBX18多克隆抗体
英文名:Anti-TBX18 rabbit ployclonal antiboy
冷冻(-20℃) 避光
261875 兔抗MAGEA11多克隆抗体
英文名:Anti-MAGEA11 rabbit ployclonal antiboy
冷冻(-20℃) 避光
52206 兔抗WBP11 ?多克隆抗体
英文名:Anti-WBP11(TM) rabbit polyclonal antiboy
冷冻(-20℃) 避光
155052 兔抗MAPT (Phospho-Ser404)多克隆抗体
英文名:Anti-MAPT (Phospho-Ser404) rabbit polyclonal antiboy
冷冻(-20℃) 避光
163048 兔抗KCNA3多克隆抗体
英文名:Anti-KCNA3 rabbit polyclonal antiboy
冷冻(-20℃) 避光
甲状腺受体相互作用蛋白1抗体细胞周期与细胞凋亡检测试剂盒玉蜀黍赤霉 Gibberella zeae
EPC, 大鼠血管内皮祖细胞人肺细胞
烟曲霉 Aspergillus fumigatus酿酒酵母 Saccharomyces cerevisiae
大豆慢生根瘤菌 Bradyrhizobium japonicum地衣芽孢杆菌 Bacillus licheniformis
LM/TK(小鼠胸腺激酶缺陷细胞)苏云金芽胞杆菌多窝亚种 Bacillus thuringiensis subsp. tolwerthi
泡盛曲霉 Aspergillus awamori小鼠肺动脉成纤维细胞完全培养基
酸链球菌 Lactococcus lactis纤细正青霉 Eupenicillium gracilentum
HCT 116(人结肠细胞)香菇 Lentinula edodes
酿酒酵母 Saccharomyces cerevisiae6-10B, 人鼻咽细胞系
英文名称 Anti-TRIP1/PSMC5
中文名称 甲状腺受体相互作用蛋白1抗体
别 名 26S protease regulatory subunit 8; Cim3; MSUG1 protein; p45 antibody p45/SUG; Proteasome (prosome macropain) 26S subunit ATPase 5; Proteasome 26S ATPase subunit 5; Proteasome 26S subunit ATPase 5; Proteasome prosome macropain 26S subunit ATPase 5; Proteasome subunit p45; PSMC 5; PSMC5; Rpt6; S8 antibody SUG 1; SUG1; Tat binding protein homolog 10; TBP 10; TBP10; Thyroid hormone receptor interacting protein 1; Thyroid receptor interactor 1; TRIP 1; TRIP1; TRIP1(SUG1).
浓 度 1mg/1ml
规 格 0.2ml/200μg
抗体来源 Rabbit
克隆类型 polyclonal
交叉反应 Human, Mouse, Rat, Chicken, Rabbit
产品类型 一抗
研究领域 细胞生物 细胞膜受体
蛋白分子量 predicted molecular weight:45kDa
性 状 Lyophilized or Liquid
免 疫 原 KLH conjugated synthetic peptide derived from human TRIP1/PSMC5
亚 型 IgG
纯化方法 affinity purified by Protein A
储 存 液 Preservative: 15mM Sodium Azide, Constituents: 1% BSA, 0.01M PBS, pH 7.4
产品应用 WB=1:100-500 ELISA=1:500-1000 IP=1:20-100 IHC-P=1:100-500 IHC-F=1:100-500 IF=1:100-500
甲状腺受体相互作用蛋白1抗体订购说明:
※关于产品的详细说明书、价格信息,请来电获取;
※关于运输,我司支持各种快递,具体采用什么快递,我们会满足客户的要求,此外,我们还会根据产品的性状采取特殊的保护方式,以减少运输途中的损坏情况;
※关于产品包装,我司支持进口原装,也能按照客户的要求进行分装;
※关于售后,客户在收到货后,先检查产品包装情况,有无破损情况,然后可以按照严格的操作流程,在无菌环境下检测产品质量本身,如有上述疑似情况,请及时联系我司销售部;
※关于技术服务,我司可为您提供抗体标记服务,以及其他检测服务,此外,如遇技术问题,我司还能为您提供答疑解惑的咨询服务。
抗体分子标记技术:
一、氯胺T法
1.用1.5 mi Ependof管,加10u1抗体及pH7.5的0.5mo1/L磷酸钠缓冲液总体积至25μ1
2.加500uCi的Na125I,混匀;
3.加25u12mg/ml氯胺T液,混匀;
4.在室温下培养1分钟;
5.加入50μ1氯胺T反应终止缓冲液;
6.通过凝胶过滤层析分离将碘化抗体与碘化酪氨酸分离;
7.收集、合并含碘化抗体的各管;
8.将1251标记的抗体管放入同位素保护管中,置4℃保存;
二、Iodogen-包被试管法
1. Iodogen以0.5μg/mnl溶于lv仿;
2.将100u1 Iodogen液移入合用的玻璃试管中;
3.试管置通风橱中过夜,在室温下让lv仿蒸发;
4.加入50u1抗体;
5.加500 u ci Na125I到加有抗体的 Iodogen-包被管中,室温保温2分钟;
6.将管中反应液转入1.5 nl eppendof管;
7.通过凝胶过滤层析,将碘化抗体与碘化酪氨酸分离;
8.收集、混合含碘化抗体的各管;
9.将125I标记的抗体置同位素保护管中,放4℃保存。
甲状腺受体相互作用蛋白1抗体更多相关产品:
160963 兔抗ANPEP多克隆抗体
英文名:Anti-ANPEP rabbit polyclonal antiboy
冷冻(-20℃) 避光
190659 小鼠抗SIRT2单克隆抗体
英文名:Anti-SIRT2 mouse monoclonal antiboy
冷冻(-20℃)
220263 兔抗RAP1A多克隆抗体
英文名:Anti-RAP1A rabbit polyclonal antiboy
冷冻(-20℃) 避光
23297 兔抗TBX18多克隆抗体
英文名:Anti-TBX18 rabbit ployclonal antiboy
冷冻(-20℃) 避光
261875 兔抗MAGEA11多克隆抗体
英文名:Anti-MAGEA11 rabbit ployclonal antiboy
冷冻(-20℃) 避光
52206 兔抗WBP11 ?多克隆抗体
英文名:Anti-WBP11(TM) rabbit polyclonal antiboy
冷冻(-20℃) 避光
155052 兔抗MAPT (Phospho-Ser404)多克隆抗体
英文名:Anti-MAPT (Phospho-Ser404) rabbit polyclonal antiboy
冷冻(-20℃) 避光
163048 兔抗KCNA3多克隆抗体
英文名:Anti-KCNA3 rabbit polyclonal antiboy
冷冻(-20℃) 避光
甲状腺受体相互作用蛋白1抗体细胞周期与细胞凋亡检测试剂盒玉蜀黍赤霉 Gibberella zeae
EPC, 大鼠血管内皮祖细胞人肺细胞
烟曲霉 Aspergillus fumigatus酿酒酵母 Saccharomyces cerevisiae
大豆慢生根瘤菌 Bradyrhizobium japonicum地衣芽孢杆菌 Bacillus licheniformis
LM/TK(小鼠胸腺激酶缺陷细胞)苏云金芽胞杆菌多窝亚种 Bacillus thuringiensis subsp. tolwerthi
泡盛曲霉 Aspergillus awamori小鼠肺动脉成纤维细胞完全培养基
酸链球菌 Lactococcus lactis纤细正青霉 Eupenicillium gracilentum
HCT 116(人结肠细胞)香菇 Lentinula edodes
酿酒酵母 Saccharomyces cerevisiae6-10B, 人鼻咽细胞系
风险提示:丁香通仅作为第三方平台,为商家信息发布提供平台空间。用户咨询产品时请注意保护个人信息及财产安全,合理判断,谨慎选购商品,商家和用户对交易行为负责。对于医疗器械类产品,请先查证核实企业经营资质和医疗器械产品注册证情况。
技术资料暂无技术资料 索取技术资料
甲状腺受体相互作用蛋白1抗体
询价









