万千商家帮你免费找货
0 人在求购买到急需产品
- 详细信息
- 技术资料
- 库存:
大量
- 靶点:
TrkA
- 克隆性:
多克隆
- 抗原来源:
Rabbit
- 抗体英文名:
Anti-TrkA
- 抗体名:
酪氨酸激酶受体A抗体
- 标记物:
HRP,AKP
- 宿主:
人,兔,羊,牛,狗等
- 适应物种:
Human, Mouse, Rat, Pig, Cow, Horse, Sheep
- 免疫原:
KLH conjugated synthetic peptide derived from human TrkA
- 亚型:
IgG
- 形态:
冻干或液体
- 应用范围:
WB,ELISA,IP,ICC等
- 浓度:
1mg/1ml
- 保存条件:
-20 °C
- 规格:
0.2ml/200μg
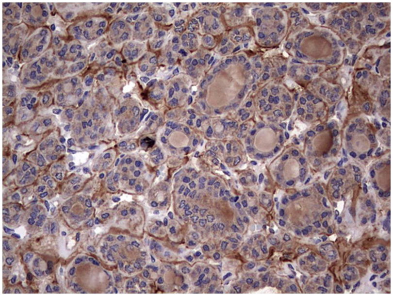
酪氨酸激酶受体A抗体产品资料:
英文名称 Anti-TrkA
中文名称 酪氨酸激酶受体A抗体
别 名 CIPA; CIPA; DKFZp781I14186; gp140trk; High affinity nerve growth factor receptor; High affinity nerve growth factor receptor precursor; High affinity nerve growth factor receptor precursor; MTC; MTC; neurotrophic tyrosine kinase receptor type 1; neurotrophic tyrosine kinase receptor type 1; Ntrk 1; Ntrk1; Ntrk1; NTRK1_HUMAN; Oncogene TRK; Oncogene TRK; p140 TrkA; p140-TrkA; TRK 1; Trk A; TRK; TRK; Trk-A; TRK1; TRK1 transforming tyrosine kinase protein; TRK1-transforming tyrosine kinase protein; Tropomyosin-related kinase A; Tyrosine kinase receptor A; Tyrosine kinase receptor; Tyrosine Receptor Kinase A.
浓 度 1mg/1ml
规 格 0.2ml/200μg
抗体来源 Rabbit
克隆类型 polyclonal
交叉反应 Human, Mouse, Rat, Pig, Cow, Horse, Sheep
产品类型 一抗
研究领域
蛋白分子量 predicted molecular weight:84kDa
性 状 Lyophilized or Liquid
免 疫 原 KLH conjugated synthetic peptide derived from human TrkA
亚 型 IgG
纯化方法 affinity purified by Protein A
储 存 液 Preservative: 15mM Sodium Azide, Constituents: 1% BSA, 0.01M PBS, pH 7.4
产品应用 WB=1:100-500 ELISA=1:500-1000 IP=1:20-100 IHC-P=1:100-500 IHC-F=1:100-500 Flow-Cyt=1:100-500 ICC=1:100-500 IF=1:100-500
公司优势:
★专业营销进口或国产品牌的抗体试剂,种类齐全,数量繁多,涵盖各种生命科研项目,具体有一抗二抗,单抗多抗,标记抗体以及其他各种类型的抗体;
★服务经验丰富,我们提供标记服务,各种标本、种属、具体指标齐全,资深的专业背景和高素质的技术团队,准能让您感受到我们的专业水准;
★关于酪氨酸激酶受体A抗体更多详情,请来电咨询!
抗体的酶标记法:
一、抗体与过氧化物偶联
1.将5ng抗体与10ng酶在总体积1ml的0.1mol/L磷酸钾缓冲液(pH6.8)混合;
2.在4℃对0.1mol/L磷酸钾缓冲液(pH6.8)透析过夜;
3.用0.1mol/L磷酸钾缓冲液(pH6.8)稀释戊二醛至1%;
4.透析混合液中加入50μ1稀释过的戊二醛,在室温下轻1轻搅拌三小时;
5.加入2mol/L甘氨酸液使最终浓度达到0.1mol/L,混合液室温放置2小时,以封闭残存的醛基;
6.混合液在4℃对PBS透析过夜;
7.10000×g4℃离心30分;
8.将上清移入另一管中,按体积1:1加入甘油,使终浓度达50%;
9.置-20℃保存;
二、抗体与ARP偶联
1.将5mng抗体与10mng酶在总体积2ml的0.1mol/L磷酸钾缓冲液(pH6.8)混合;
2.其它操作同HRP标记法;
三.抗体与荷萄氧化喜偶联
按HRP偶联法操作,仅加入的1%二醛改为150u1;
抗体与β一D一半乳着苷豪偶联,按HRP偶联法操作,但见偶联反应总体积改为2m1,1%戊二醛用量改为的100u1。
酪氨酸激酶受体A抗体相关产品:
220663 兔抗LGALS2多克隆抗体
英文名:Anti-LGALS2 rabbit polyclonal antiboy
冷冻(-20℃) 避光
23752 兔抗RSPH1多克隆抗体
英文名:Anti-RSPH1 rabbit polyclonal antiboy
冷冻(-20℃)
262179 兔抗SEPN1多克隆抗体
英文名:Anti-SEPN1 rabbit polyclonal antiboy
冷冻(-20℃) 避光
52573 兔抗STON1多克隆抗体
英文名:Anti-STON1 rabbit polyclonal antiboy
冷冻(-20℃) 避光
155291 兔抗TFP1多克隆抗体
英文名:Anti-TFP1 rabbit polyclonal antiboy
冷冻(-20℃) 避光
163387 Anti-CBLN3 rabbit polyclonal antiboy
英文名:Anti-CBLN3 rabbit polyclonal antiboy
冷冻(-20℃) 避光
21084 兔抗MAP2K5多克隆抗体
英文名:Anti-MAP2K5 rabbit polyclonal antiboy
冷冻(-20℃) 避光
225255 兔抗MRM1多克隆抗体
英文名:Anti-MRM1 rabbit polyclonal antiboy
冷冻(-20℃) 避光
酪氨酸激酶受体A抗体粘土壤杆菌 Agrobacterium viscosumCa Ski, 人宫颈细胞
黑木耳 Auricularia auricula鼠李糖杆菌 Lactobacillus rhamnosus
中分子量单一蛋白Marker(66 kD)苏云金芽孢杆菌 Bacillus thuringiensis
小鼠直肠平滑肌细胞完全培养基UACC-812(人腺导管瘤细胞)
葡萄球菌属 Staphylococcus sp.小肠结肠炎耶尔森氏菌 Yersinia enterocolitica
费氏中华根瘤菌 Sinorhizobium fredii弗氏链霉菌* Streptomyces fradiae
MX-1(人腺细胞)淋巴白血病
山夫顿堡沙门氏菌 Salmonella senftenbergmRTEC, 小鼠肾小管上皮细胞
草菇 Volvariella bombycina异常汉逊酵母异常变种 Hansenula anomala var. anomala
英文名称 Anti-TrkA
中文名称 酪氨酸激酶受体A抗体
别 名 CIPA; CIPA; DKFZp781I14186; gp140trk; High affinity nerve growth factor receptor; High affinity nerve growth factor receptor precursor; High affinity nerve growth factor receptor precursor; MTC; MTC; neurotrophic tyrosine kinase receptor type 1; neurotrophic tyrosine kinase receptor type 1; Ntrk 1; Ntrk1; Ntrk1; NTRK1_HUMAN; Oncogene TRK; Oncogene TRK; p140 TrkA; p140-TrkA; TRK 1; Trk A; TRK; TRK; Trk-A; TRK1; TRK1 transforming tyrosine kinase protein; TRK1-transforming tyrosine kinase protein; Tropomyosin-related kinase A; Tyrosine kinase receptor A; Tyrosine kinase receptor; Tyrosine Receptor Kinase A.
浓 度 1mg/1ml
规 格 0.2ml/200μg
抗体来源 Rabbit
克隆类型 polyclonal
交叉反应 Human, Mouse, Rat, Pig, Cow, Horse, Sheep
产品类型 一抗
研究领域
蛋白分子量 predicted molecular weight:84kDa
性 状 Lyophilized or Liquid
免 疫 原 KLH conjugated synthetic peptide derived from human TrkA
亚 型 IgG
纯化方法 affinity purified by Protein A
储 存 液 Preservative: 15mM Sodium Azide, Constituents: 1% BSA, 0.01M PBS, pH 7.4
产品应用 WB=1:100-500 ELISA=1:500-1000 IP=1:20-100 IHC-P=1:100-500 IHC-F=1:100-500 Flow-Cyt=1:100-500 ICC=1:100-500 IF=1:100-500
公司优势:
★专业营销进口或国产品牌的抗体试剂,种类齐全,数量繁多,涵盖各种生命科研项目,具体有一抗二抗,单抗多抗,标记抗体以及其他各种类型的抗体;
★服务经验丰富,我们提供标记服务,各种标本、种属、具体指标齐全,资深的专业背景和高素质的技术团队,准能让您感受到我们的专业水准;
★关于酪氨酸激酶受体A抗体更多详情,请来电咨询!
抗体的酶标记法:
一、抗体与过氧化物偶联
1.将5ng抗体与10ng酶在总体积1ml的0.1mol/L磷酸钾缓冲液(pH6.8)混合;
2.在4℃对0.1mol/L磷酸钾缓冲液(pH6.8)透析过夜;
3.用0.1mol/L磷酸钾缓冲液(pH6.8)稀释戊二醛至1%;
4.透析混合液中加入50μ1稀释过的戊二醛,在室温下轻1轻搅拌三小时;
5.加入2mol/L甘氨酸液使最终浓度达到0.1mol/L,混合液室温放置2小时,以封闭残存的醛基;
6.混合液在4℃对PBS透析过夜;
7.10000×g4℃离心30分;
8.将上清移入另一管中,按体积1:1加入甘油,使终浓度达50%;
9.置-20℃保存;
二、抗体与ARP偶联
1.将5mng抗体与10mng酶在总体积2ml的0.1mol/L磷酸钾缓冲液(pH6.8)混合;
2.其它操作同HRP标记法;
三.抗体与荷萄氧化喜偶联
按HRP偶联法操作,仅加入的1%二醛改为150u1;
抗体与β一D一半乳着苷豪偶联,按HRP偶联法操作,但见偶联反应总体积改为2m1,1%戊二醛用量改为的100u1。
酪氨酸激酶受体A抗体相关产品:
220663 兔抗LGALS2多克隆抗体
英文名:Anti-LGALS2 rabbit polyclonal antiboy
冷冻(-20℃) 避光
23752 兔抗RSPH1多克隆抗体
英文名:Anti-RSPH1 rabbit polyclonal antiboy
冷冻(-20℃)
262179 兔抗SEPN1多克隆抗体
英文名:Anti-SEPN1 rabbit polyclonal antiboy
冷冻(-20℃) 避光
52573 兔抗STON1多克隆抗体
英文名:Anti-STON1 rabbit polyclonal antiboy
冷冻(-20℃) 避光
155291 兔抗TFP1多克隆抗体
英文名:Anti-TFP1 rabbit polyclonal antiboy
冷冻(-20℃) 避光
163387 Anti-CBLN3 rabbit polyclonal antiboy
英文名:Anti-CBLN3 rabbit polyclonal antiboy
冷冻(-20℃) 避光
21084 兔抗MAP2K5多克隆抗体
英文名:Anti-MAP2K5 rabbit polyclonal antiboy
冷冻(-20℃) 避光
225255 兔抗MRM1多克隆抗体
英文名:Anti-MRM1 rabbit polyclonal antiboy
冷冻(-20℃) 避光
酪氨酸激酶受体A抗体粘土壤杆菌 Agrobacterium viscosumCa Ski, 人宫颈细胞
黑木耳 Auricularia auricula鼠李糖杆菌 Lactobacillus rhamnosus
中分子量单一蛋白Marker(66 kD)苏云金芽孢杆菌 Bacillus thuringiensis
小鼠直肠平滑肌细胞完全培养基UACC-812(人腺导管瘤细胞)
葡萄球菌属 Staphylococcus sp.小肠结肠炎耶尔森氏菌 Yersinia enterocolitica
费氏中华根瘤菌 Sinorhizobium fredii弗氏链霉菌* Streptomyces fradiae
MX-1(人腺细胞)淋巴白血病
山夫顿堡沙门氏菌 Salmonella senftenbergmRTEC, 小鼠肾小管上皮细胞
草菇 Volvariella bombycina异常汉逊酵母异常变种 Hansenula anomala var. anomala
风险提示:丁香通仅作为第三方平台,为商家信息发布提供平台空间。用户咨询产品时请注意保护个人信息及财产安全,合理判断,谨慎选购商品,商家和用户对交易行为负责。对于医疗器械类产品,请先查证核实企业经营资质和医疗器械产品注册证情况。
技术资料暂无技术资料 索取技术资料
酪氨酸激酶受体A抗体
询价









