相关产品推荐更多 >
万千商家帮你免费找货
0 人在求购买到急需产品
- 详细信息
- 文献和实验
- 技术资料
- 供应商:
上海莼试
- 库存:
15
- 靶点:
ABCB7
- 克隆性:
多克隆
- 抗体英文名:
Anti-ABCB7
- 抗体名:
ATP结合蛋白家族7抗体
- 标记物:
HRP等
- 宿主:
鼠,牛,马,兔,羊等
- 适应物种:
Human, Mouse, Rat等
- 亚型:
IgG
- 形态:
液体或固体
- 应用范围:
WB IHC-P IHC-F IF
- 浓度:
10mg/ml
- 保存条件:
-20℃冻存
- 规格:
100ul
产品名称:ATP结合蛋白家族7抗体
英文名称:Anti-ABCB7
库存地:上海库
货期:现货
价格:以咨询为准!
用途:仅供高校实验室以及科研单位使用
公司优势:
1.拥有一批专业高效的团队,专门解决客户在实验过程中遇到的各种难题;
2.多年的应用经验积累;
3. ATP结合蛋白家族7抗体规格牌号齐全,满足不同客户的使用需求;
4.库存充足,供货周期短,能解决客户的急需问题;
5.我们秉承诚信至上、务实做事的信条,是客户值得信赖的合作伙伴。
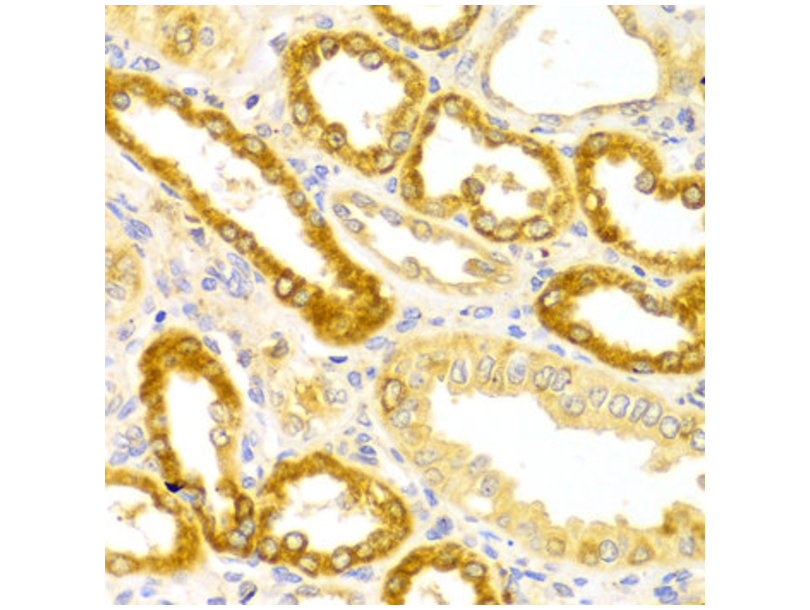
免疫组化结果分析:
1、首先要确定免疫组化技术是否合格,合格的染色结果应该是背景颜色浅淡或无着色,而阳性标志物清晰和定位明确。
切片中的正常组织可以作为最简便的对照来判断染色结果的可靠与否,例如用Vimentin抗体,间质成纤维细胞利血管壁平滑肌细胞胞浆应呈阳性。肯定为阳性的对照组织却呈阴性,待测组织的染色结果也就不可靠;这现象常是由于抗体失效或过度稀释、组织中抗原严重丢失等。
2、不仅要判断所检组织中有或无阳性标记物,还要注意阳性信号的分布部位和形态特征。
一般说来,阳性信号应与被测抗原所在的部位一致,大部分细胞抗原位于胞质内,其中亦有区别,有的阳性颗粒弥散于整个细胞的胞质,有的则呈斑块状局限于胞浆某处。还有些抗原同时分布于胞质和胞膜(如胃肠腺癌细胞的EMA),或核与胞质(如S-100、HMB-45)。同一种抗原在不同类型的细胞可定位不同,因而分布的特点也有一定的鉴别意义。
ATP结合蛋白家族7抗体相关的其他优势产品:
肝再生增强因子抗体
APP/ABPP淀粉样肽前体蛋白抗体
甲胎蛋白单克隆抗体(包被)
甲胎蛋白单克隆抗体(检测)
ADP核糖基化因子结合蛋白1抗体
尿道肿瘤 进口/国产
膀胱肿瘤 进口/国产
皮肤肿瘤 进口/国产
脾脏肿瘤 进口/国产
平滑肌肿瘤 进口/国产
B Raf抗体 Anti-B-Raf WB IHC-P IHC-F IF 100ul
乳腺癌易感基因2抗体 Anti-FANCB WB IHC-P IHC-F IF 100ul
B细胞迁移基因2抗体 Anti-BTG2 WB IHC-P IHC-F IF 100ul
骨形态发生蛋白2抗体 Anti-BMP2 WB IHC-P IHC-F IF 100ul
骨形态发生蛋白7抗体 Anti-BMP7 WB IHC-P IHC-F IF 100ul
胰胨大豆琼脂斜面(TSA)250g培养副溶血性弧菌,做细胞色素氧化酶实验(SN标准)
发光菌培养基 250g 用于发光菌的分离培养。
MKTTn 肉汤 MKTTn Broth 250 用于食品中沙门氏菌检验选择性增菌(ISO标准)
LT脂基础250g/瓶用于化妆品中细菌总数的测定(ISO),每升培养基中需添加204(吐温80)incubationmediaLT脂基础250g/瓶用于化妆品中细菌总数的测定(ISO),每升培养基中需添加204(吐温80)
LBBroth(Lennox)
ATP结合蛋白家族7抗体培养基(改良高氏50g用于的分离培养
20012-043 1000ml incubation media 20012-043 1000ml
甲型副伤寒沙门氏菌 支/瓶
MRSAgar
SabouraudsAgar
英文名称:Anti-ABCB7
库存地:上海库
货期:现货
价格:以咨询为准!
用途:仅供高校实验室以及科研单位使用
公司优势:
1.拥有一批专业高效的团队,专门解决客户在实验过程中遇到的各种难题;
2.多年的应用经验积累;
3. ATP结合蛋白家族7抗体规格牌号齐全,满足不同客户的使用需求;
4.库存充足,供货周期短,能解决客户的急需问题;
5.我们秉承诚信至上、务实做事的信条,是客户值得信赖的合作伙伴。
免疫组化结果分析:
1、首先要确定免疫组化技术是否合格,合格的染色结果应该是背景颜色浅淡或无着色,而阳性标志物清晰和定位明确。
切片中的正常组织可以作为最简便的对照来判断染色结果的可靠与否,例如用Vimentin抗体,间质成纤维细胞利血管壁平滑肌细胞胞浆应呈阳性。肯定为阳性的对照组织却呈阴性,待测组织的染色结果也就不可靠;这现象常是由于抗体失效或过度稀释、组织中抗原严重丢失等。
2、不仅要判断所检组织中有或无阳性标记物,还要注意阳性信号的分布部位和形态特征。
一般说来,阳性信号应与被测抗原所在的部位一致,大部分细胞抗原位于胞质内,其中亦有区别,有的阳性颗粒弥散于整个细胞的胞质,有的则呈斑块状局限于胞浆某处。还有些抗原同时分布于胞质和胞膜(如胃肠腺癌细胞的EMA),或核与胞质(如S-100、HMB-45)。同一种抗原在不同类型的细胞可定位不同,因而分布的特点也有一定的鉴别意义。
ATP结合蛋白家族7抗体相关的其他优势产品:
肝再生增强因子抗体
APP/ABPP淀粉样肽前体蛋白抗体
甲胎蛋白单克隆抗体(包被)
甲胎蛋白单克隆抗体(检测)
ADP核糖基化因子结合蛋白1抗体
尿道肿瘤 进口/国产
膀胱肿瘤 进口/国产
皮肤肿瘤 进口/国产
脾脏肿瘤 进口/国产
平滑肌肿瘤 进口/国产
B Raf抗体 Anti-B-Raf WB IHC-P IHC-F IF 100ul
乳腺癌易感基因2抗体 Anti-FANCB WB IHC-P IHC-F IF 100ul
B细胞迁移基因2抗体 Anti-BTG2 WB IHC-P IHC-F IF 100ul
骨形态发生蛋白2抗体 Anti-BMP2 WB IHC-P IHC-F IF 100ul
骨形态发生蛋白7抗体 Anti-BMP7 WB IHC-P IHC-F IF 100ul
胰胨大豆琼脂斜面(TSA)250g培养副溶血性弧菌,做细胞色素氧化酶实验(SN标准)
发光菌培养基 250g 用于发光菌的分离培养。
MKTTn 肉汤 MKTTn Broth 250 用于食品中沙门氏菌检验选择性增菌(ISO标准)
LT脂基础250g/瓶用于化妆品中细菌总数的测定(ISO),每升培养基中需添加204(吐温80)incubationmediaLT脂基础250g/瓶用于化妆品中细菌总数的测定(ISO),每升培养基中需添加204(吐温80)
LBBroth(Lennox)
ATP结合蛋白家族7抗体培养基(改良高氏50g用于的分离培养
20012-043 1000ml incubation media 20012-043 1000ml
甲型副伤寒沙门氏菌 支/瓶
MRSAgar
SabouraudsAgar
风险提示:丁香通仅作为第三方平台,为商家信息发布提供平台空间。用户咨询产品时请注意保护个人信息及财产安全,合理判断,谨慎选购商品,商家和用户对交易行为负责。对于医疗器械类产品,请先查证核实企业经营资质和医疗器械产品注册证情况。
文献和实验相关实验
美天旎抗体小课堂(一)
Immunity:厦门大学韩家淮团队揭示 PELO 控制 NOD 样受体家族蛋白寡聚化组装和激活的机制
意思的是,NLR 蛋白属于 STAND (signal transduction ATPases with numerous domains) ATPase 家族,其 NACHT 结构域含有保守的 ATP 结合和水解结构域,且 ATPase 活性对于 NLR 的激活至关重要【10】。因此,研究者推测 PELO 通过结合 NLR 蛋白的 NACHT 结构域,可能直接调节 NACHT 结构域的 ATPase 活性,进而影响 NLR 蛋白的寡聚化组装和激活。研究者通过体外 ATPase 活性检测实验,发现 PELO
因子蛋白与DNA互作的检测:使用标签融合转录因子蛋白与dsDNA微阵列反应, 再使用荧光标记抗标签抗体报告结合信息的转录因子蛋白DNA结合; (4)dsDNA微阵列荧光扫描及数据分析。DNA探针上的粗线部分表示待检测的与DNA结合蛋白互作的序列, 如随机k-mer序列
技术资料暂无技术资料 索取技术资料
ATP结合蛋白家族7抗体
询价










