相关产品推荐更多 >
万千商家帮你免费找货
0 人在求购买到急需产品
- 详细信息
- 文献和实验
- 技术资料
- 供应商:
上海联迈生物工程有限公司
- 库存:
大量
- 目录编号:
LM-9612R
- 克隆性:
多克隆
- 抗原来源:
Rabbit
- 保质期:
1年
- 抗体英文名:
PIBF1
- 抗体名:
孕酮诱导阻断因子1抗体
- 宿主:
Rabbit
- 适应物种:
Human, Mouse, Rat, Dog, Cow, Rabbit, Sheep,
- 免疫原:
KLH conjugated synthetic peptide derived from human PIBF1/C13orf24:551-651/757
- 亚型:
IgG
- 形态:
Lyophilized or Liquid
- 应用范围:
ELISA=1:500-1000 IHC-P=1:400-800 IHC-F=1:400-800 ICC=1:100-500 IF=1:100-500 (石蜡切片需做抗原修复)
- 浓度:
1mg/ml
- 保存条件:
Store at -20 °C
- 规格:
100ul 200ul
| 英文名称 | PIBF1 |
| 中文名称 | 孕酮诱导阻断因子1抗体 |
| 别 名 | PIBF 1; PIBF; PIBF1; PIBF-1; Progesterone immunomodulatory binding factor 1; Progesterone induced blocking factor 1; Progesterone-Induced Blocking Factor 1; RP11 505F3.1; PIBF1_HUMAN; C13orf24. |
| 规格价格 | 100ul/1380元 购买 200ul/2200元 购买 大包装/询价 |
| 说 明 书 | 100ul 200ul |
| 研究领域 | 细胞生物 免疫学 信号转导 激酶和磷酸酶 |
| 抗体来源 | Rabbit |
| 克隆类型 | Polyclonal |
| 交叉反应 | Human, Mouse, Rat, Dog, Cow, Rabbit, Sheep, |
| 产品应用 | ELISA=1:500-1000 IHC-P=1:400-800 IHC-F=1:400-800 ICC=1:100-500 IF=1:100-500 (石蜡切片需做抗原修复) not yet tested in other applications. optimal dilutions/concentrations should be determined by the end user. |
| 分 子 量 | 90kDa |
| 细胞定位 | 细胞核 细胞浆 细胞外基质 分泌型蛋白 |
| 性 状 | Lyophilized or Liquid |
| 浓 度 | 1mg/ml |
| 免 疫 原 | KLH conjugated synthetic peptide derived from human PIBF1/C13orf24:551-651/757 |
| 亚 型 | IgG |
| 纯化方法 | affinity purified by Protein A |
| 储 存 液 | 0.01M TBS(pH7.4) with 1% BSA, 0.03% Proclin300 and 50% Glycerol. |
| 保存条件 | Store at -20 °C for one year. Avoid repeated freeze/thaw cycles. The lyophilized antibody is stable at room temperature for at least one month and for greater than a year when kept at -20°C. When reconstituted in sterile pH 7.4 0.01M PBS or diluent of antibody the antibody is stable for at least two weeks at 2-4 °C. |
| PubMed | PubMed |
| 产品介绍 | background: PIBF is synthesized during pregnancy in response to progesterone by progesterone receptor-positive T lymphocytes (mostly gamma-delta T cells). In the presence of PIBF, natural killer (NK) cells inhibit the release of perforin from storage granules and therefore fail to lyse target cells. In humans, the amount of cells that express PIBF is significantly higher in healthy pregnant women than in women at risk for premature pregnancy termination. Full-length PIBF is associated with the nucleus, whereas secretion of shorter forms is induced by activation of the cell. Research suggests that PIBF functions as a transcription factor in its full-length form, while smaller forms may act as cytokines. The PIBF gene encodes a deduced hydrophilic 757-amino acid alpha-helical protein with an N-terminal signal sequence, a leucine zipper motif, a basic zipper sequence, a PEST sequence, a nuclear localization signal, an endoplasmic reticulum membrane retention signal, and many presumeed N-glycosylation and phosphorylation sites. Function: Mediator of progesterone that by acting on the phospholipase A2 enzyme interferes with arachidonic acid metabolism, induces a Th2 biased immune response, and by controlling NK activity exerts an anti-abortive effect. Tissue Specificity: Expressed at highest levels in testis. Moderate expression is detected in spleen, thymus, prostate, ovary, small intestine, and colon. SWISS: Q8WXW3 Gene ID: 10464 Database links: Entrez Gene: 10464 Human Entrez Gene: 52023 Mouse Omim: 607532 Human SwissProt: Q8WXW3 Human Unigene: 441926 Human Important Note: This product as supplied is intended for research use only, not for use in human, therapeutic or diagnostic applications. |
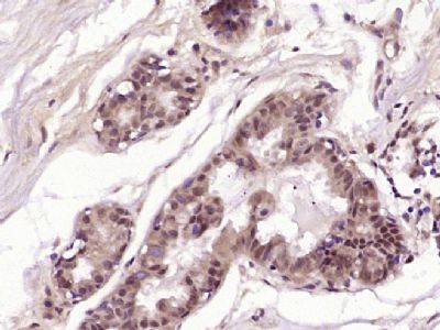
| 产品图片 | ![]() Paraformaldehyde-fixed, paraffin embedded (human breast carcinoma); Antigen retrieval by boiling in sodium citrate buffer (pH6.0) for 15min; Block endogenous peroxidase by 3% hydrogen peroxide for 20 minutes; Blocking buffer (normal goat serum) at 37°C for 30min; Antibody incubation with (PIBF1) Polyclonal Antibody, Unconjugated (bs-9612R) at 1:400 overnight at 4°C, followed by operating according to SP Kit(Rabbit) (sp-0023) instructionsand DAB staining. |
风险提示:丁香通仅作为第三方平台,为商家信息发布提供平台空间。用户咨询产品时请注意保护个人信息及财产安全,合理判断,谨慎选购商品,商家和用户对交易行为负责。对于医疗器械类产品,请先查证核实企业经营资质和医疗器械产品注册证情况。
文献和实验为什么蚁后多子多孙还长寿?最新 Science 揭示让蚂蚁寿命延长 5 倍的奥秘
繁殖,但蚁后的寿命却要比工蚁长得多。研究人员猜测,这背后一定有什么东西可以分别调节繁殖和寿命。 胰岛素信号通路中,有两个主要分支——AKT 和 MAPK。然而,研究人员观察到,在新晋蚁后的脂肪体和卵巢中,是 MAPK 而不是 AKT 具有活性。他们后续发现,新蚁后体内增加的胰岛素会诱导卵巢发育,然后开始产生一种称为 Imp-L2 的胰岛素抑制蛋白,Imp-L2 有助于降低脂肪体和卵巢中的 AKT 磷酸化,阻断 AKT 的信号传导,从而延长蚂蚁的寿命。因为 AKT 通路控制衰老,其活性增加会导致
「体温低」竟能更长寿!Nature Aging 研究揭示低温延寿的关键机制
线虫(Caenorhabditis elegans)中,低温(15℃)能促进激活因子 PSME-3 介导的蛋白酶活性,而且 PSME-3 的表达能延长寿命。研究还表明,将体外培养的人类细胞暴露在适度偏低的体温(36℃)下,能激活人类版本的 PSME-3,并有望减少疾病相关的蛋白质改变。 图片来源:Nature Aging 主要研究内容 寒冷诱导的 PA28γ/PSME3 触发蛋白酶体活性 蛋白酶体(一类蛋白质复合物)可以通过降解不需要的、损坏的和错误折叠的易于聚集的蛋白质,包括与疾病相关的突变蛋白,来预防衰老和病理
有效抑制肿瘤术后复发!浙大顾臻等开发神奇水凝胶,实现缓释型免疫疗法
在那些产生新抗原以及以体细胞突变为特征的肿瘤中是无效的,同时,它引起的自身免疫性疾病等副作用仍然令人担忧。 除此之外,那些经过体外编辑过的 T 细胞也是肿瘤特异性 T 细胞的来源。事实证明,那些表达嵌合抗原受体(Chimeric Antigen Receptor, CAR)的 T 细胞在某些恶性血液肿瘤患者中是特别有效的,而相比之下,在实体肿瘤中应用 CAR-T 细胞治疗仍然具有挑战性。这可能是因为实体肿瘤中的肿瘤微环境具有高度的免疫抑制作用,并可诱导 CAR-T 细胞衰竭。那么,结合 CAR-T
技术资料暂无技术资料 索取技术资料











