相关产品推荐更多 >
万千商家帮你免费找货
0 人在求购买到急需产品
- 详细信息
- 文献和实验
- 技术资料
- 供应商:
上海联迈生物工程有限公司
- 库存:
大量
- 目录编号:
LM-9430R
- 克隆性:
多克隆
- 抗原来源:
Rabbit
- 保质期:
1年
- 抗体英文名:
HSPB7
- 抗体名:
热休克蛋白β7抗体
- 宿主:
Rabbit
- 适应物种:
Human, Mouse, Rat, Chicken, Dog, Cow, Sheep,
- 免疫原:
KLH conjugated synthetic peptide derived from human HSPB7/cvHSP:101-170/170
- 亚型:
IgG
- 形态:
Lyophilized or Liquid
- 应用范围:
WB=1:500-2000 ELISA=1:500-1000 IHC-P=1:400-800 IHC-F=1:400-800 IF=1:50-200 (石蜡切片需做抗原修复)
- 浓度:
1mg/ml
- 保存条件:
Store at -20 °C
- 规格:
100ul 200ul
| 英文名称 | HSPB7 |
| 中文名称 | 热休克蛋白β7抗体 |
| 别 名 | Cardiovascular heat shock protein; cvHsp; FLJ32733; Heat shock 27kda protein family member 7; Heat shock protein beta 7; Heat shock protein beta-7; Hsp25 2; HspB7; HSPB7_HUMAN; Hypothetical protein flj34956; RP11-5P18.6. |
| 规格价格 | 100ul/1380元 购买 200ul/2200元 购买 大包装/询价 |
| 说 明 书 | 100ul 200ul |
| 研究领域 | 心血管 细胞生物 免疫学 信号转导 细胞骨架 |
| 抗体来源 | Rabbit |
| 克隆类型 | Polyclonal |
| 交叉反应 | Human, Mouse, Rat, Chicken, Dog, Cow, Sheep, |
| 产品应用 | WB=1:500-2000 ELISA=1:500-1000 IHC-P=1:400-800 IHC-F=1:400-800 IF=1:50-200 (石蜡切片需做抗原修复) not yet tested in other applications. optimal dilutions/concentrations should be determined by the end user. |
| 分 子 量 | 19kDa |
| 细胞定位 | 细胞核 细胞浆 |
| 性 状 | Lyophilized or Liquid |
| 浓 度 | 1mg/ml |
| 免 疫 原 | KLH conjugated synthetic peptide derived from human HSPB7/cvHSP:101-170/170 |
| 亚 型 | IgG |
| 纯化方法 | affinity purified by Protein A |
| 储 存 液 | 0.01M TBS(pH7.4) with 1% BSA, 0.03% Proclin300 and 50% Glycerol. |
| 保存条件 | Store at -20 癈 for one year. Avoid repeated freeze/thaw cycles. The lyophilized antibody is stable at room temperature for at least one month and for greater than a year when kept at -20癈. When reconstituted in sterile pH 7.4 0.01M PBS or diluent of antibody the antibody is stable for at least two weeks at 2-4 癈. |
| PubMed | PubMed |
| 产品介绍 | background: The heat shock proteins (HSPs) comprise a group of highly conserved, abundantly expressed proteins with diverse functions, including the assembly and sequestering of multiprotein complexes, transportation of nascent polypeptide chains across cellular membranes and regulation of protein folding. Heat shock proteins (also known as molecular chaperones) fall into six general families: HSP 90, HSP 70, HSP 60, the small HSPs, the immunophilins and the HSP 110 family. HSPB7 (heat shock 27kDa protein family, member 7), also known as cvHSP (cardiovascular heat shock protein) or Heat shock protein beta-7, is a member of the small HSP (sHSP) family expressed in heart and skeletal muscle. Members of the sHSP family contain a conserved C-terminal ?crystallin domain and typically function in homo- or heteromeric complexes. The sHSPs bind to denatured proteins and are responsible for preventing the aggregation of these proteins. In response to muscle fiber transformation and in muscular dystrophy, the expression levels of HSPB7 are drastically increased, suggesting that HSPB7 may be a useful target in therapeutic strategies for preventing age-related muscle wasting. Subunit: Interacts with C-terminal domain of actin-binding protein 280. Subcellular Location: Cytoplasm. Nucleus. Tissue Specificity: Isoform 1 is highly expressed in adult and fetal heart, skeletal muscle, and at a much lower levels in adipose tissue and in aorta. Undetectable in other tissues. Isoform 2 and isoform 3 are poorly detected in heart. Similarity: Belongs to the small heat shock protein (HSP20) family. SWISS: Q9UBY9 Gene ID: 27129 Database links: Entrez Gene: 27129 Human Entrez Gene: 29818 Mouse Entrez Gene: 50565 Rat Omim: 610692 Human SwissProt: Q9UBY9 Human SwissProt: P35385 Mouse SwissProt: Q5FW72 Mouse SwissProt: Q9QUK5 Rat Unigene: 502612 Human Unigene: 46181 Mouse Unigene: 21809 Rat Important Note: This product as supplied is intended for research use only, not for use in human, therapeutic or diagnostic applications. |
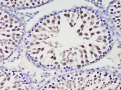
| 产品图片 | ![]() Paraformaldehyde-fixed, paraffin embedded (rat testis); Antigen retrieval by boiling in sodium citrate buffer (pH6.0) for 15min; Block endogenous peroxidase by 3% hydrogen peroxide for 20 minutes; Blocking buffer (normal goat serum) at 37°C for 30min; Antibody incubation with (HSPB7) Polyclonal Antibody, Unconjugated (bs-9430R) at 1:500 overnight at 4°C, followed by a conjugated secondary (sp-0023) for 20 minutes and DAB staining. ![]() Paraformaldehyde-fixed, paraffin embedded (Rat liver); Antigen retrieval by boiling in sodium citrate buffer (pH6.0) for 15min; Block endogenous peroxidase by 3% hydrogen peroxide for 20 minutes; Blocking buffer (normal goat serum) at 37°C for 30min; Antibody incubation with (HSPB7) Polyclonal Antibody, Unconjugated (bs-9430R) at 1:400 overnight at 4°C, followed by operating according to SP Kit(Rabbit) (sp-0023) instructions and DAB staining. |
风险提示:丁香通仅作为第三方平台,为商家信息发布提供平台空间。用户咨询产品时请注意保护个人信息及财产安全,合理判断,谨慎选购商品,商家和用户对交易行为负责。对于医疗器械类产品,请先查证核实企业经营资质和医疗器械产品注册证情况。
文献和实验agents. Interestingly hsp90 have much thing to do with the evolutionary. Keywords: 热休克蛋白90(hsp90) ,分子伴侣 ,癌症,生物进化,格尔德霉素 1.简介 分 子伴侣(chaperon) 是最近十几年才发现的一类非常保守的蛋白家族。它与酶的作用方式类似,能和某些不同的多肽链非特异性结合,催化介导蛋白质特定构象的形成,参与体内蛋白质的折叠、装配和转运,但又不构成其结构的一部分。这类保守的蛋白家族大致
内参就是内部参照,一般是指管家基因编码表达的蛋白,它们在各个组织和细胞中的表达相对恒定,在检测蛋白的表达水平变化时常用它来做参照参。内参则可以校正蛋白质定量、上样过程中存在的误差,保证实验结果的准确性。 此外,内参可以作为空白对照,还可以检测蛋白转膜情况是否完全、整个 WB 显色发光体系是否正常。内参抗体种类很多,比如 β-Actin、β-Tubulin、GAPDH 等,下面简单介绍下如何选择内参。 一、目的蛋白分子量 选择内参抗体时,应该考虑目的蛋白分子量的大小。通常应该保证目的
Science 背靠背!施一公、黄志伟团队同日揭开 B 细胞受体复合物的神秘面纱
载体上,同时使用共表达方式,通过表达内质网蛋白 pERp1,pERp1 可以促进 IgM 二硫键的形成,二硫键有助于 IgM-BCR 正确折叠和结构稳定。 在完成蛋白的表达和纯化后,在溶液中加入抗体偶联药物 Polatuzumab vedotin 的 Fab 片段,最后通过冷冻电镜解析了第一个人源 IgM 同种型 B 细胞受体复合物 3.3Å 的高分辨率结构。 这篇文章所获得的结构,包含了复合物几乎胞外结构域以及所有跨膜区域, 包含一个 mIgM 和一个 Igα/Igβ 异源二聚体复合物。除此之外
技术资料暂无技术资料 索取技术资料











