相关产品推荐更多 >
万千商家帮你免费找货
0 人在求购买到急需产品
- 详细信息
- 文献和实验
- 技术资料
- 供应商:
上海抚生
- 库存:
大量
- 靶点:
RACGAP1
- 克隆性:
多克隆
- 抗原来源:
Rabbit
- 抗体英文名:
Anti-RACGAP1
- 抗体名:
RhoGTP酶激活蛋白GAP抗体
- 标记物:
HRP,AKP
- 宿主:
人,鼠,猴,鸡,狗,猪等
- 适应物种:
Human, Mouse, Rat, Dog, Cow
- 免疫原:
KLH conjugated synthetic peptide derived from hu RACGAP1
- 亚型:
IgG
- 形态:
冻干或液体
- 应用范围:
WB,ELISA,ICC,IP等
- 浓度:
1mg/1ml
- 保存条件:
-20℃
- 规格:
0.2ml/200μg
英文名称 Anti-RACGAP1
中文名称 RhoGTP酶激活蛋白GAP抗体
别 名 GAP; Gap1; GTPase activating protein; HsCYK 4; HsCYK4; ID GAP; KIAA1478; MgcRacGAP; Rac GTPase activating protein 1; RACGAP 1; RGAP1_HUMAN.
浓 度 1mg/1ml
规 格 0.2ml/200μg
抗体来源 Rabbit
克隆类型 polyclonal
交叉反应 Human, Mouse, Rat, Dog, Cow
产品类型 一抗
研究领域 细胞生物 信号转导 转录调节因子 细胞分化 G蛋白信号
蛋白分子量 predicted molecular weight:71kDa
性 状 Lyophilized or Liquid
免 疫 原 KLH conjugated synthetic peptide derived from hu RACGAP1
亚 型 IgG
纯化方法 affinity purified by Protein A
储 存 液 Preservative: 15mM Sodium Azide, Constituents: 1% BSA, 0.01M PBS, pH 7.4
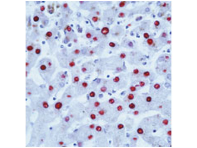
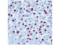
产品应用 WB=1:100-500 ELISA=1:500-1000 IP=1:20-100 IHC-P=1:100-500 IHC-F=1:100-500 IF=1:100-500
RhoGTP酶激活蛋白GAP抗体产品优势:
| ※支持定制服务,客户提前下单,我们根据客户需求进行生产,可保证产品的新批次和应具备的活跃度和灵敏度; ※产品来源正规,由权威保藏中心进行保藏; ※产品价格公允,新老客户皆能享受我司提供的价格优惠,客户可来电获取实时报价; ※我司配备完善的服务体系,详细客户只要与我司达成合作关系,定能感受到我司的诚意。 |
荧光标记抗体实验要点:
1.偶联反应要求在尽可能接近pH9.8的溶液中进行,而且注意在反应过程中要保持此pH水平;
2.要确定在偶联反应缓冲液中不含游离氨基(Tris,氨及叠氮钠均可与FITC反应,因此会降低蛋白质与FITC的偶联率);
3.FITC与蛋白质的比值(F/P),可通过测定495m与280nm吸光度来鉴定;
4.FITC缺限是易被光淬灭,因此复合物必须始终避光保存;
5.如果FITC一复合物对PBS透析不充分,可能造成高本底,对免疫荧光染色产生干扰;
与RhoGTP酶激活蛋白GAP抗体相关的其他产品:
特价促销MyD88 髓样分化蛋白抗体规格 0.1ml
特价促销Mycobacterium human 人结核杆菌菌体蛋白抗体规格 0.2ml
特价促销Mycobacterium bovis 牛结核杆菌菌体蛋白抗体规格 0.2ml
特价促销Mycobacterium 结核分枝杆菌抗体规格 0.2ml
特价促销MYCBP2 MYC结合蛋白2抗体规格 0.2ml
特价促销MYBPC3 心脏肌球蛋白结合蛋白抗体规格 0.2ml
特价促销MYBPC1 肌球蛋白结合蛋白C抗体规格 0.2ml
RhoGTP酶激活蛋白GAP抗体体液羟脯氨酸(HYP)比色法定量检测检测试剂盒 20次 现货供应
体液羟赖氨酸(HYL)含量比色法定量检测检测试剂盒 20次 现货供应
体液前列腺型酸型性磷酸酶(PACP)活性比色法定量检测检测试剂盒 20次 现货供应
体液葡萄糖氧化酶比色法定量检测检测试剂盒 20次 现货供应
体液脯氨酰肽酶(prolinase)比色法定量检测检测试剂盒 20次 现货供应
体液脯氨酸肽酶(prolidase;PLD)紫外比色法定量检测检测试剂盒 20次 现货供应
体液脯氨酸肽酶(prolidase;PLD)克林纳(Chinard)比色法定量检测检测试剂盒 20次 现货供应
体液脯氨酸羟化酶(prolil hydroxylase)活性比色法定量检测检测试剂盒 20次 现货供应
风险提示:丁香通仅作为第三方平台,为商家信息发布提供平台空间。用户咨询产品时请注意保护个人信息及财产安全,合理判断,谨慎选购商品,商家和用户对交易行为负责。对于医疗器械类产品,请先查证核实企业经营资质和医疗器械产品注册证情况。
文献和实验小GTP结合蛋白(small GTP binding protein)
), 它催化GDT同GTP的交换。另一种是GTP 酶激活蛋白(GTPase-activating protein, GAP), 它触发结合的GTP水解。 许多小GTP结合蛋白都有一个共价结合的脂基团, 帮助它们同膜结合。小GTP蛋白包括ras、rab和rho蛋白, 它们在一些重要的的活动中起调节作用, 包括分泌活动和细胞骨架的装配等。
干货 | CUT and Tag 核心酶 Hyperactive PA/PG-Tn5 Transposase 大解密
CUT&Tag(Cleavage Under Targets and Tagmentation)是蛋白-DNA 互作的一大革新技术,它不需要使用甲醛交联以及免疫共沉淀,而是通过针对靶蛋白(如转录因子、染色质重塑蛋白)的抗体和 Protein A/G 的介导,使得与 Protein A/G 融合的 Tn5 酶(Tagmentase)在切割 DNA 片段的同时在序列两端加上测序接头,经 PCR 扩增后即可形成用于高通量测序的文库(见图 1 )。CUT &Tag 技术具有细胞投入量低、信噪
现在各种癌组织中 ras 基因仅在第 12 或 61 密码上发生了点突变(病毒癌基因在第 59 位密码子上)导致氨基酸的取代。 带有GTP的Ras是有活性的,可以作用其靶分子,然后内在的GTPase 活性使 GTP 水解成 GDP ,而 GDP 的 Ras 成为失活状态,从而终止了其作用,有两种蛋白调节 Ras 蛋白从激活状态到失活状态相互间的转变。 (1) GTP 酶激活蛋白 GAP 刺激内在的 RasGTPase 使其水解被结合
技术资料暂无技术资料 索取技术资料









