相关产品推荐更多 >
万千商家帮你免费找货
0 人在求购买到急需产品
- 详细信息
- 文献和实验
- 技术资料
- 供应商:
上海联迈生物工程有限公司
- 库存:
大量
- 目录编号:
LM-7697R
- 克隆性:
多克隆
- 抗原来源:
Rabbit
- 保质期:
1年
- 抗体英文名:
BS69
- 抗体名:
腺病毒5结合蛋白BS69/骨形态发生蛋白受体相关分子1抗体
- 宿主:
Rabbit
- 适应物种:
Human, Mouse, Rat, Chicken, Dog, Horse, Sheep,
- 免疫原:
KLH conjugated synthetic peptide derived from human Adenovirus 5 E1A binding protein (535-584aa):501-602/602
- 亚型:
IgG
- 形态:
Lyophilized or Liquid
- 应用范围:
ELISA=1:500-1000 IHC-P=1:400-800 IHC-F=1:400-800 IF=1:100-500 (石蜡切片需做抗原修复)
- 浓度:
1mg/ml
- 保存条件:
Store at -20 °C
- 规格:
100ul 200ul
| 英文名称 | BS69 |
| 中文名称 | 腺病毒5结合蛋白BS69/骨形态发生蛋白受体相关分子1抗体 |
| 别 名 | Adenovirus 5 E1A binding protein; Bone morphogenetic protein receptor associated molecule 1; BRAM1; BS69 variant 1; BS69 variant 2; BS69 variant 3; BS69 variant 4; Zinc finger MYND domain containing 11; ZMYND11. |
| 规格价格 | 100ul/1380元 购买 200ul/2200元 购买 大包装/询价 |
| 说 明 书 | 100ul 200ul |
| 研究领域 | 细胞生物 细胞周期蛋白 转录调节因子 表观遗传学 |
| 抗体来源 | Rabbit |
| 克隆类型 | Polyclonal |
| 交叉反应 | Human, Mouse, Rat, Chicken, Dog, Horse, Sheep, |
| 产品应用 | ELISA=1:500-1000 IHC-P=1:400-800 IHC-F=1:400-800 IF=1:100-500 (石蜡切片需做抗原修复) not yet tested in other applications. optimal dilutions/concentrations should be determined by the end user. |
| 分 子 量 | 71kDa |
| 细胞定位 | 细胞核 |
| 性 状 | Lyophilized or Liquid |
| 浓 度 | 1mg/ml |
| 免 疫 原 | KLH conjugated synthetic peptide derived from human Adenovirus 5 E1A binding protein (535-584aa):501-602/602 |
| 亚 型 | IgG |
| 纯化方法 | affinity purified by Protein A |
| 储 存 液 | 0.01M TBS(pH7.4) with 1% BSA, 0.03% Proclin300 and 50% Glycerol. |
| 保存条件 | Store at -20 °C for one year. Avoid repeated freeze/thaw cycles. The lyophilized antibody is stable at room temperature for at least one month and for greater than a year when kept at -20°C. When reconstituted in sterile pH 7.4 0.01M PBS or diluent of antibody the antibody is stable for at least two weeks at 2-4 °C. |
| PubMed | PubMed |
| 产品介绍 | background: The protein encoded by this gene was first identified by its ability to bind the adenovirus E1A protein. The protein localizes to the nucleus. It functions as a transcriptional repressor, and expression of E1A inhibits this repression. Alternatively spliced transcript variants encoding different isoforms have been identified. [provided by RefSeq, Jul 2008] Function: Corepressor of transcription (Probable). May be involved in chromatin remodeling through association with several remodeling factors. Subunit: Interacts (via MYND-type zinc finger) with NCOR1. Interacts (via MYND-type zinc finger) with human adenovirus early E1A protein (via PXLXP motif); this interaction inhibits E1A mediated transactivation. Interacts (via MYND-type zinc finger) with Epstein-Barr virus EBNA2 protein (via PXLXP motif). Interacts (via MYND-type zinc finger) with EZH2. Interacts with E2F6. Subcellular Location: Nucleus. Chromosome. Note=Associates with chromatin and mitotic chromosomes. Tissue Specificity: Ubiquitous. Post-translational modifications: Phosphorylated upon DNA damage, probably by ATM or ATR. Ubiquitinated, leading to proteasomal degradation. Similarity: Contains 1 bromo domain. Contains 1 MYND-type zinc finger. Contains 1 PHD-type zinc finger. Contains 1 PWWP domain. SWISS: Q15326 Gene ID: 10771 Database links: Entrez Gene: 10771 Human Entrez Gene: 66505 Mouse Entrez Gene: 291259 Rat GenBank: NP_006615 Human GenBank: NP_997644 Human Omim: 608668 Human SwissProt: Q15326 Human SwissProt: Q8R5C8 Mouse Unigene: 292265 Human Unigene: 397307 Mouse Unigene: 38301 Rat Important Note: This product as supplied is intended for research use only, not for use in human, therapeutic or diagnostic applications. |
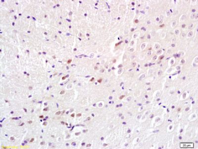
| 产品图片 | ![]() Tissue/cell: rat brain tissue; 4% Paraformaldehyde-fixed and paraffin-embedded; Antigen retrieval: citrate buffer ( 0.01M, pH 6.0 ), Boiling bathing for 15min; Block endogenous peroxidase by 3% Hydrogen peroxide for 30min; Blocking buffer (normal goat serum,C-0005) at 37℃ for 20 min; Incubation: Anti-BS69/Adenovirus 5 E1A binding protein Polyclonal Antibody, Unconjugated (bs-7697R) 1:200, overnight at 4°C, followed by conjugation to the secondary antibody(SP-0023) and DAB(C-0010) staining |
风险提示:丁香通仅作为第三方平台,为商家信息发布提供平台空间。用户咨询产品时请注意保护个人信息及财产安全,合理判断,谨慎选购商品,商家和用户对交易行为负责。对于医疗器械类产品,请先查证核实企业经营资质和医疗器械产品注册证情况。
文献和实验克隆的前癌基因,其转第活性已被证明。 c-myb 禽类成髓细胞增多症病毒辣-转化基因,c-myb的正常细胞性同源物,表达一种细胞核DNA结合蛋白质,被认为调节造血体系统的细胞增生和分化。 c-myc 一种前癌基因,在调节DNA合成、细胞凋亡、分化及细胞周期的进行中起重要作用。c-Myc蛋白质是一种短寿的细胞核磷酸蛋白质,通过联系转录机器和E-合盒无件在转录中起直接作用。c-Myc是一种大性螺旋-环-螺旋亮氨酸的拉链蛋白,相似于USFEY E2F蛋白质家族
技术资料暂无技术资料 索取技术资料











