相关产品推荐更多 >
万千商家帮你免费找货
0 人在求购买到急需产品
- 详细信息
- 文献和实验
- 技术资料
- 供应商:
上海联迈生物工程有限公司
- 库存:
大量
- 目录编号:
LM-7636R
- 克隆性:
多克隆
- 抗原来源:
Rabbit
- 保质期:
1年
- 抗体英文名:
FUT1
- 抗体名:
岩藻糖转移酶1抗体
- 宿主:
Rabbit
- 适应物种:
Human, Mouse, Rat, Rabbit,
- 免疫原:
KLH conjugated synthetic peptide derived from human FUT1:291-365/365
- 亚型:
IgG
- 形态:
Lyophilized or Liquid
- 应用范围:
IHC-P=1:400-800 IHC-F=1:400-800 IF=1:100-500 (石蜡切片需做抗原修复)
- 浓度:
1mg/ml
- 保存条件:
Store at -20 °C
- 规格:
100ul 200ul
| 英文名称 | FUT1 |
| 中文名称 | 岩藻糖转移酶1抗体 |
| 别 名 | 2)FT 1; 2-alpha-L-fucosyltransferase; Alpha (1 2) fucosyltransferase; Alpha(1 2)FT 1; Alpha(1 antibody Blood group H alpha 2-fucosyltransferase; fucosyltransferase 1 (galactoside 2-alpha-L-fucosyltransferase); Galactoside 2-alpha-L-fucosyltransferase 1; Fucosyltransferase 1; FUT1; FUT1_HUMAN; Galactoside 2 alpha L fucosyltransferase; Galactoside 2-alpha-L-fucosyltransferase 1; GDP-L-fucose:beta-D-galactoside 2-alpha-L-fucosyltransferase 1; H antibody HH antibody HSC antibody Para Bombay phenotype. |
| 规格价格 | 100ul/1380元 购买 200ul/2200元 购买 大包装/询价 |
| 说 明 书 | 100ul 200ul |
| 研究领域 | 心血管 细胞生物 |
| 抗体来源 | Rabbit |
| 克隆类型 | Polyclonal |
| 交叉反应 | Human, Mouse, Rat, Rabbit, |
| 产品应用 | IHC-P=1:400-800 IHC-F=1:400-800 IF=1:100-500 (石蜡切片需做抗原修复) not yet tested in other applications. optimal dilutions/concentrations should be determined by the end user. |
| 分 子 量 | 40kDa |
| 细胞定位 | 细胞浆 细胞膜 |
| 性 状 | Lyophilized or Liquid |
| 浓 度 | 1mg/ml |
| 免 疫 原 | KLH conjugated synthetic peptide derived from human FUT1:291-365/365 |
| 亚 型 | IgG |
| 纯化方法 | affinity purified by Protein A |
| 储 存 液 | 0.01M TBS(pH7.4) with 1% BSA, 0.03% Proclin300 and 50% Glycerol. |
| 保存条件 | Store at -20 °C for one year. Avoid repeated freeze/thaw cycles. The lyophilized antibody is stable at room temperature for at least one month and for greater than a year when kept at -20°C. When reconstituted in sterile pH 7.4 0.01M PBS or diluent of antibody the antibody is stable for at least two weeks at 2-4 °C. |
| PubMed | PubMed |
| 产品介绍 | background: Creates a soluble precursor oligosaccharide FuC-alpha ((1,2)Galbeta-) called the H antigen which is an essential substrate for the final step in the soluble A and B antigen synthesis pathway. H and Se enzymes fucosylate the same acceptor substrates but exhibit different Km values. Function: Creates a soluble precursor oligosaccharide FuC-alpha ((1,2)Galbeta-) called the H antigen which is an essential substrate for the final step in the soluble A and B antigen synthesis pathway. H and Se enzymes fucosylate the same acceptor substrates but exhibit different Km values. Subcellular Location: Golgi apparatus, Golgi stack membrane; Single-pass type II membrane protein. Similarity: Belongs to the glycosyltransferase 11 family. SWISS: P19526 Gene ID: 2523 Database links: Entrez Gene: 2523 Human Omim: 211100 Human SwissProt: P19526 Human Unigene: 69747 Human Important Note: This product as supplied is intended for research use only, not for use in human, therapeutic or diagnostic applications. |
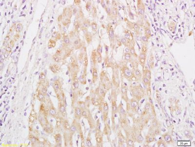
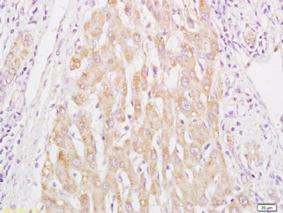
| 产品图片 | ![]() Tissue/cell: human liver carcinoma; 4% Paraformaldehyde-fixed and paraffin-embedded; Antigen retrieval: citrate buffer ( 0.01M, pH 6.0 ), Boiling bathing for 15min; Block endogenous peroxidase by 3% Hydrogen peroxide for 30min; Blocking buffer (normal goat serum,C-0005) at 37℃ for 20 min; Incubation: Anti-FUT1 Polyclonal Antibody, Unconjugated(bs-7636R) 1:200, overnight at 4°C, followed by conjugation to the secondary antibody(SP-0023) and DAB(C-0010) staining |
风险提示:丁香通仅作为第三方平台,为商家信息发布提供平台空间。用户咨询产品时请注意保护个人信息及财产安全,合理判断,谨慎选购商品,商家和用户对交易行为负责。对于医疗器械类产品,请先查证核实企业经营资质和医疗器械产品注册证情况。
文献和实验我 B 型血,老婆 O 型血,这个 AB 型血的孩子是谁的?!
万分之一。 因为这种血型最早由 Y. M. Bhende 于 1952 年在印度孟买发现,故称孟买血型,本质上是缺乏 H 抗原。 H 抗原是一种糖脂,基本分子结构是以糖苷键与多肽链骨架结合的四糖链,即 β-D - 半乳糖、β-D-N - 乙醯葡萄糖胺、β-D - 半乳糖以及在 β-D - 半乳糖 2 - 位连接的抗原决定簇 α-L - 岩藻糖。 决定 H 抗原的 FUT1 基因在 19 号染色体上。FUT1 基因有两个等位基因 H 和 h,H 等位基因编码岩藻糖转移酶,使岩藻糖与糖链末端的半乳糖相连,形成 H
一些与PAMP结构有交叉反应的自身成分。例子之一是ABO血型抗原。该抗原由乙酰氨基葡萄糖及半乳糖基等组成寡糖前体,加上岩藻糖基构成血型H抗原,然后在乙酰氨基半乳糖基转移酶或半乳糖基转移酶的作用下成为红细胞血型A抗原和B抗原。它们与病原体表面的糖类结构十分相似。对此结构,大多数模式识别分子并不与之起反应,因为即使是专一性识别各种糖类的MBI。,如果糖链端部不在特定部位显示羟基结构,则不能被其PRD结构域所识别。然而曾被菌体糖类多表位激发的预存IgM抗体,却有可能发挥作用。所以输血必需配型,防止供者A型血进入
性的糖基转移酶,它们分别催化血型抗原前体特定部位的糖基化反应,使形成相应的特异性抗原。ABO血型中的A抗原和B抗原的前体是H物质,H物质的形成受H基因控制。基因型HH和Hh的个体中有H基因产物L-岩藻糖转移酶-1。这种酶催化在糖蛋白前体物质末端的半乳糖上接上一个L-岩藻糖,使它转变为H物质。ABO座位上IA 基因的产物是N-乙酰-D-半乳糖胺转移酶,IB 基因的产物是D-半乳糖转移酶,前者催化在H物质上加上N-乙酰-D-半乳糖胺使它成为A抗原,后者催化在H物质上加上D-半乳糖使它成为B抗原。O型
技术资料暂无技术资料 索取技术资料










