相关产品推荐更多 >
万千商家帮你免费找货
0 人在求购买到急需产品
- 详细信息
- 文献和实验
- 技术资料
- 供应商:
上海联迈生物工程有限公司
- 库存:
大量
- 目录编号:
LM-7581R
- 克隆性:
多克隆
- 抗原来源:
Rabbit
- 保质期:
1年
- 抗体英文名:
ZHX2
- 抗体名:
甲胎蛋白调节蛋白1抗体
- 宿主:
Rabbit
- 适应物种:
Human, Mouse, Rat, Chicken, Dog, Pig, Cow, Horse,
- 免疫原:
KLH conjugated synthetic peptide derived from human ZHX2/Alpha fetoprotein regulator 1:451-550/837
- 亚型:
IgG
- 形态:
Lyophilized or Liquid
- 应用范围:
WB=1:500-2000 ELISA=1:500-1000 IHC-P=1:400-800 IHC-F=1:400-800 IF=1:100-500 (石蜡切片需做抗原修复)
- 浓度:
1mg/ml
- 保存条件:
Store at -20 °C
- 规格:
100ul 200ul
| 英文名称 | ZHX2 |
| 中文名称 | 甲胎蛋白调节蛋白1抗体 |
| 别 名 | AFP regulator 1; AFR1; Alpha fetoprotein regulator 1; RAF; Regulator of AFP; Zinc finger and homeodomain protein 2; zinc fingers and homeoboxes 2; ZHX2_HUMAN. |
| 规格价格 | 100ul/1380元 购买 200ul/2200元 购买 大包装/询价 |
| 说 明 书 | 100ul 200ul |
| 研究领域 | 细胞生物 免疫学 信号转导 转录调节因子 锌指蛋白 |
| 抗体来源 | Rabbit |
| 克隆类型 | Polyclonal |
| 交叉反应 | Human, Mouse, Rat, Chicken, Dog, Pig, Cow, Horse, |
| 产品应用 | WB=1:500-2000 ELISA=1:500-1000 IHC-P=1:400-800 IHC-F=1:400-800 IF=1:100-500 (石蜡切片需做抗原修复) not yet tested in other applications. optimal dilutions/concentrations should be determined by the end user. |
| 分 子 量 | 92kDa |
| 细胞定位 | 细胞核 |
| 性 状 | Lyophilized or Liquid |
| 浓 度 | 1mg/ml |
| 免 疫 原 | KLH conjugated synthetic peptide derived from human ZHX2/Alpha fetoprotein regulator 1:451-550/837 |
| 亚 型 | IgG |
| 纯化方法 | affinity purified by Protein A |
| 储 存 液 | 0.01M TBS(pH7.4) with 1% BSA, 0.03% Proclin300 and 50% Glycerol. |
| 保存条件 | Store at -20 °C for one year. Avoid repeated freeze/thaw cycles. The lyophilized antibody is stable at room temperature for at least one month and for greater than a year when kept at -20°C. When reconstituted in sterile pH 7.4 0.01M PBS or diluent of antibody the antibody is stable for at least two weeks at 2-4 °C. |
| PubMed | PubMed |
| 产品介绍 | background: The members of the zinc fingers and homeoboxes gene family are nuclear homodimeric transcriptional repressors that interact with the A subunit of nuclear factor-Y (NF-YA) and contain two C2H2-type zinc fingers and five homeobox DNA-binding domains. This gene encodes member 2 of this gene family. In addition to forming homodimers, this protein heterodimerizes with member 1 of the zinc fingers and homeoboxes family. [provided by RefSeq, Jul 2008].[FUNCTION] Acts as a transcriptional repressor.[SUBUNIT] Forms homodimers. Also forms heterodimers with ZHX1 and ZHX3. Heterodimerization with ZHX1 is not necessary for repressor activity. Interacts with NFYA.[SUBCELLULAR LOCATION] Nucleus. [TISSUE SPECIFICITY] Ubiquitously expressed. [SIMILARITY] Belongs to the ZHX family. Function: Acts as a transcriptional repressor. Subunit: Forms homodimers. Also forms heterodimers with ZHX1 and ZHX3. Heterodimerization with ZHX1 is not necessary for repressor activity. Interacts with NFYA. Subcellular Location: Nucleus. Tissue Specificity: Ubiquitously expressed. Similarity: Belongs to the ZHX family. Contains 2 C2H2-type zinc fingers. Contains 4 homeobox DNA-binding domains. SWISS: Q9Y6X8 Gene ID: 22882 Database links: UniProtKB/Swiss-Prot: Q9Y6X8.1 Entrez Gene: 22882 Human Omim: 609185 Human SwissProt: Q9Y6X8 Human Unigene: 377090 Human Unigene: 658443 Human Important Note: This product as supplied is intended for research use only, not for use in human, therapeutic or diagnostic applications. |
| 产品图片 |
Paraformaldehyde-fixed, paraffin embedded (Rat breast); Antigen retrieval by boiling in sodium citrate buffer (pH6.0) for 15min; Block endogenous peroxidase by 3% hydrogen peroxide for 20 minutes; Blocking buffer (normal goat serum) at 37°C for 30min; Antibody incubation with (ZHX2) Polyclonal Antibody, Unconjugated (bs-7581R) at 1:400 overnight at 4°C, followed by operating according to SP Kit(Rabbit) (sp-0023) instructionsand DAB staining.
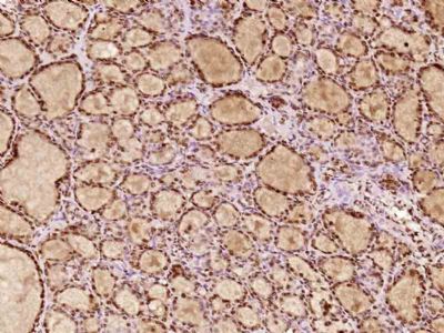
Paraformaldehyde-fixed, paraffin embedded (Rat thyroid); Antigen retrieval by boiling in sodium citrate buffer (pH6.0) for 15min; Block endogenous peroxidase by 3% hydrogen peroxide for 20 minutes; Blocking buffer (normal goat serum) at 37°C for 30min; Antibody incubation with (ZHX2) Polyclonal Antibody, Unconjugated (bs-7581R) at 1:400 overnight at 4°C, followed by operating according to SP Kit(Rabbit) (sp-0023) instructionsand DAB staining.
|
风险提示:丁香通仅作为第三方平台,为商家信息发布提供平台空间。用户咨询产品时请注意保护个人信息及财产安全,合理判断,谨慎选购商品,商家和用户对交易行为负责。对于医疗器械类产品,请先查证核实企业经营资质和医疗器械产品注册证情况。
文献和实验血浆蛋白与凝血 血液由有形成分红细胞、白细胞和血小板,以及无形的液体成分血浆(plasma)组成。血液凝固后析出淡黄色透明液体,称为血清(serum)。血清与血浆的区别在于血清中没有纤维蛋白原,但含有一些在凝血过程中生成的分解产物。 生理情况下,血液经血管在全身不断流动,转运各种物质与组织之间。血浆,组织间液以及其它细胞外液共同构成机体的内环境。因此血液在沟通内外环境,维持内环境的相对稳定(如pH、渗透压、各种化学成分的浓度等),物质的运输(营养
表面有受体: A、膜表面Ig B、SRBC C、C2 D、IgE受体 E、肿瘤细胞受体 2.Bc分化最早标志是: A、DNA重排 B、胞浆IgM C、膜IgD D、膜IgM E、轻链合成 3.何种抗体能鉴定人类的Ts/c: A、抗CD4抗体 B、抗CD8抗体 C、抗CD3抗体 D、抗Lyt-1抗体 E、抗Lyt-2抗体 4.兄弟姐妹间进行器官移植引起排斥反应是: A、异种抗原 B、自身抗原 C、同种异型抗原 D、异嗜抗原 E、手术时细菌
的细胞中。同样,单纯疱疹病毒Ⅰ型的几种自然或构建的突变体仅能在分裂细胞中增殖。基于对腺病毒与细胞周期调节蛋白的相互作用的加深了解,以及把腺病毒作为基因传递媒介来应用所得到的经验,腺病毒也是作为能被改造成具有亲瘤特性的病毒而出现的。尽管腺病毒的肿瘤选择性可在不同水平上得以解决,但是,集中了大多数努力的研究领域可能是发展有条件的增殖性腺病毒(CRAds),将其设计为仅限在肿瘤细胞内增殖。改善CRAds针对局部的和播散性疾病的传递,以及病毒在肿瘤内的传播,是正在成长中的研究领域。最后,相当重要的一点
技术资料暂无技术资料 索取技术资料












