相关产品推荐更多 >
万千商家帮你免费找货
0 人在求购买到急需产品
- 详细信息
- 文献和实验
- 技术资料
- 供应商:
上海联迈生物工程有限公司
- 库存:
大量
- 目录编号:
LM-14548R
- 克隆性:
多克隆
- 抗原来源:
Rabbit
- 保质期:
1年
- 抗体英文名:
eIF4A3
- 抗体名:
eIF4A3蛋白抗体
- 宿主:
Rabbit
- 适应物种:
Human, Mouse, Rat, Chicken, Dog, Cow, Horse,
- 免疫原:
KLH conjugated synthetic peptide derived from human eIF4A3:351-411/411
- 亚型:
IgG
- 形态:
Lyophilized or Liquid
- 应用范围:
WB=1:500-2000 ELISA=1:500-1000 IHC-P=1:400-800 IHC-F=1:400-800 ICC=1:100-500 IF=1:100-500 (石蜡切片需做抗原修复)
- 浓度:
1mg/ml
- 保存条件:
Store at -20 °C
- 规格:
100ul 200ul
| 英文名称 | eIF4A3 |
| 中文名称 | eIF4A3蛋白抗体 |
| 别 名 | ATP-dependent RNA helicase DDX48; ATP-dependent RNA helicase eIF4A-3; DDX48; DEAD box protein 48; eIF-4A-III; eIF4A-III; EIF4A3; eIF4AIII; Eukaryotic initiation factor 4A-III; Eukaryotic initiation factor 4A-like NUK-34; EUKARYOTIC TRANSLATION INITIATION FACTOR 4A ISOFORM 3; hNMP 265; IF4A3_HUMAN; NMP 265; NMP265; NUCLEAR MATRIX PROTEIN 265; NUK34. |
| 规格价格 | 100ul/1380元 购买 200ul/2200元 购买 大包装/询价 |
| 说 明 书 | 100ul 200ul |
| 研究领域 | 细胞生物 细胞分化 表观遗传学 |
| 抗体来源 | Rabbit |
| 克隆类型 | Polyclonal |
| 交叉反应 | Human, Mouse, Rat, Chicken, Dog, Cow, Horse, |
| 产品应用 | WB=1:500-2000 ELISA=1:500-1000 IHC-P=1:400-800 IHC-F=1:400-800 ICC=1:100-500 IF=1:100-500 (石蜡切片需做抗原修复) not yet tested in other applications. optimal dilutions/concentrations should be determined by the end user. |
| 分 子 量 | 47kDa |
| 细胞定位 | 细胞核 细胞浆 |
| 性 状 | Lyophilized or Liquid |
| 浓 度 | 1mg/ml |
| 免 疫 原 | KLH conjugated synthetic peptide derived from human eIF4A3:351-411/411 |
| 亚 型 | IgG |
| 纯化方法 | affinity purified by Protein A |
| 储 存 液 | 0.01M TBS(pH7.4) with 1% BSA, 0.03% Proclin300 and 50% Glycerol. |
| 保存条件 | Store at -20 °C for one year. Avoid repeated freeze/thaw cycles. The lyophilized antibody is stable at room temperature for at least one month and for greater than a year when kept at -20°C. When reconstituted in sterile pH 7.4 0.01M PBS or diluent of antibody the antibody is stable for at least two weeks at 2-4 °C. |
| PubMed | PubMed |
| 产品介绍 | background: This gene encodes a member of the DEAD box protein family. DEAD box proteins, characterized by the conserved motif Asp-Glu-Ala-Asp (DEAD), are putative RNA helicases. They are implicated in a number of cellular processes involving alteration of RNA secondary structure, such as translation initiation, nuclear and mitochondrial splicing, and ribosome and spliceosome assembly. Based on their distribution patterns, some members of this family are believed to be involved in embryogenesis, spermatogenesis, and cellular growth and division. The protein encoded by this gene is a nuclear matrix protein. Its amino acid sequence is highly similar to the amino acid sequences of the translation initiation factors eIF4AI and eIF4AII, two other members of the DEAD box protein family. [provided by RefSeq, Jul 2008] Function: ATP-dependent RNA helicase. Component of a splicing-dependent multiprotein exon junction complex (EJC) deposited at splice junction on mRNAs. The EJC is a dynamic structure consisting of a few core proteins and several more peripheral nuclear and cytoplasmic associated factors that join the complex only transiently either during EJC assembly or during subsequent mRNA metabolism. Core components of the EJC, that remains bound to spliced mRNAs throughout all stages of mRNA metabolism, functions to mark the position of the exon-exon junction in the mature mRNA and thereby influences downstream processes of gene expression including mRNA splicing, nuclear mRNA export, subcellular mRNA localization, translation efficiency and nonsense-mediated mRNA decay (NMD). Constitutes at least part of the platform anchoring other EJC proteins to spliced mRNAs. Its RNA-dependent ATPase and RNA-helicase activities are induced by CASC3, but abolished in presence of the MAGOH/RBM8A heterodimer, thereby trapping the ATP-bound EJC core onto spliced mRNA in a stable conformation. The inhibition of ATPase activity by the MAGOH/RBM8A heterodimer increases the RNA-binding affinity of the EJC. Involved in translational enhancement of spliced mRNAs after formation of the 80S ribosome complex. Binds spliced mRNA in sequence-independent manner, 20-24 nucleotides upstream of mRNA exon-exon junctions. Shows higher affinity for single-stranded RNA in an ATP-bound core EJC complex than after the ATP is hydrolyzed. Subcellular Location: Nucleus. Nucleus speckle. Cytoplasm. Nucleocytoplasmic shuttling protein. Travels to the cytoplasm as part of the exon junction complex (EJC) bound to mRNA. Detected in dendritic layer as well as the nuclear and cytoplasmic (somatic) compartments of neurons. Colocalizes with STAU1 and FMR1 in dendrites. Tissue Specificity: Ubiquitously expressed. Similarity: Belongs to the DEAD box helicase family. eIF4A subfamily. Contains 1 helicase ATP-binding domain. Contains 1 helicase C-terminal domain. SWISS: P38919 Gene ID: 9775 Database links: Entrez Gene: 9775 Human Entrez Gene: 515145 CowEntrez Gene: 192170 Mouse Entrez Gene: 688288 Rat Entrez Gene: 399362 Xenopus laevis Entrez Gene: 394053 Zebrafish Omim: 608546 Human SwissProt: Q5ZM36 Chicken SwissProt: Q2NL22 Cow SwissProt: Q4R3Q1 Cynomolgus Monkey SwissProt: P38919 Human SwissProt: Q91VC3 Mouse SwissProt: Q3B8Q2 Rat SwissProt: O42226 Xenopus laevis SwissProt: Q5U526 Xenopus laevis SwissProt: Q7ZVA6 Zebrafish Unigene: 389649 Human Unigene: 197555 Mouse Unigene: 422975 Mouse Unigene: 202617 Rat Unigene: 78203 Zebrafish Important Note: This product as supplied is intended for research use only, not for use in human, therapeutic or diagnostic applications. |
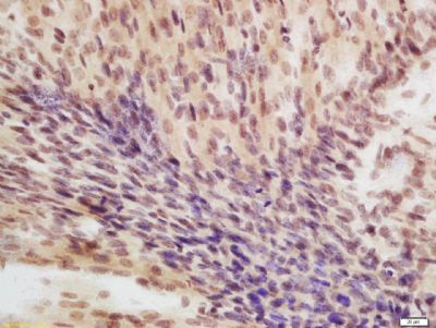
| 产品图片 | ![]() Protein: placenta(mouse) lysate at 40ug; Primary: rabbit Anti-eIF4A3 (bs-14548R) at 1:300; Secondary: HRP conjugated Goat-Anti-rabbit IgG(bs-0295G-HRP) at 1: 5000; Predicted band size: 47 kD Observed band size: 47 kD ![]() Sample: NIH/3T3(Mouse) Cell Lysate at 30 ug Raw264.7(Mouse) Cell Lysate at 30 ug Primary: Anti- eIF4A3 (bs-14548R) at 1/1000 dilution Secondary: IRDye800CW Goat Anti-Rabbit IgG at 1/20000 dilution Predicted band size: 47 kD Observed band size: 47 kD ![]() Sample: MCF-7(Human) Cell Lysate at 30 ug HepG2(Human) Cell Lysate at 30 ug Primary: Anti- eIF4A3 (bs-14548R) at 1/1000 dilution Secondary: IRDye800CW Goat Anti-Rabbit IgG at 1/20000 dilution Predicted band size: 47 kD Observed band size: 47 kD ![]() Sample: Embryo (Mouse) Lysate at 40 ug Primary: Anti- eIF4A3 (bs-14548R) at 1/1000 dilution Secondary: IRDye800CW Goat Anti-Rabbit IgG at 1/20000 dilution Predicted band size: 47 kD Observed band size: 47 kD ![]() Tissue/cell: mouse embryo tissue; 4% Paraformaldehyde-fixed and paraffin-embedded; Antigen retrieval: citrate buffer ( 0.01M, pH 6.0 ), Boiling bathing for 15min; Block endogenous peroxidase by 3% Hydrogen peroxide for 30min; Blocking buffer (normal goat serum,C-0005) at 37℃ for 20 min; Incubation: Anti-eIF4A3 Polyclonal Antibody, Unconjugated(bs-14548R) 1:200, overnight at 4°C, followed by conjugation to the secondary antibody(SP-0023) and DAB(C-0010) staining |
风险提示:丁香通仅作为第三方平台,为商家信息发布提供平台空间。用户咨询产品时请注意保护个人信息及财产安全,合理判断,谨慎选购商品,商家和用户对交易行为负责。对于医疗器械类产品,请先查证核实企业经营资质和医疗器械产品注册证情况。
文献和实验人 抗麦胶蛋白抗体 ( AGA) 酶联免疫分析 试剂盒使用说明书 本试剂仅供研究使用 目的:本试剂盒用于测定人血清,血浆及相关液体样本中 抗麦胶蛋白抗体( AGA) 的 含量。 实验原理: 本试剂盒应用双抗原夹心法测定标本中人 抗麦胶蛋白抗体( AGA) 的 水平。用纯化的 抗原 包被微孔板,制成固相抗原,往包被抗原的微孔中依次加入 抗麦胶蛋白抗体( AGA) ,再与 HRP 标记的 抗原 结合
sunchangzheng 我打算用此抗体通过流式检测细胞表面P糖蛋白的表达量差异。 说明书中说是多抗,这种抗体有单抗的吧? 用于FCM: 1:20-100,这是说用于流式的稀释倍数,是不是稀释倍数越小越好呢? 同型对照抗体是不是必须要做的?如何选择阴型同型对照抗体呢! 我用的抗体是FITC标记的P-糖蛋白抗体 谢谢交流与帮助! freecell 抗体的稀释倍数是需要优化
载脂蛋白抗体的制备 抗原免疫动物产生的抗体是血清γ-球蛋白的一部分。抗体的理化性质及结构与γ-球蛋白相近似。γ-球蛋白是一组结构相似,但又有差异的蛋白质,通称为免疫球蛋白(immunoglobulin,Ig),按其结构和免疫化学性质的差异,又可分为五类,分别称为IgG、IgA、IgM、IgD和IgE。载脂蛋白抗体以IgG最为稳定。因载脂蛋白的体液中含量不同以及分离纯化的难易的差别,可分别采用多克隆抗体制备法和单克隆抗体制备法。 1.多克隆抗体的制备 (1)抗原
技术资料暂无技术资料 索取技术资料














