相关产品推荐更多 >
万千商家帮你免费找货
0 人在求购买到急需产品
- 详细信息
- 文献和实验
- 技术资料
- 供应商:
上海联迈生物工程有限公司
- 库存:
大量
- 目录编号:
LM-7530R
- 克隆性:
多克隆
- 抗原来源:
Rabbit
- 保质期:
1年
- 抗体英文名:
Creatine Kinase MM
- 抗体名:
肌酸激酶M型抗体
- 宿主:
Rabbit
- 适应物种:
Human, Mouse, Rat, Dog, Pig, Cow, Horse, Rabbit, Zebrafish
- 免疫原:
KLH conjugated synthetic peptide derived from human Creatine Kinase MM:221-330/381
- 亚型:
IgG
- 形态:
Lyophilized or Liquid
- 应用范围:
WB=1:500-2000 ELISA=1:500-1000 IHC-P=1:400-800 IHC-F=1:400-800 ICC=1:100-500 IF=1:100-500 (石蜡切片需做抗原修复)
- 浓度:
1mg/ml
- 保存条件:
Store at -20 °C
- 规格:
100ul 200ul
| 英文名称 | Creatine Kinase MM |
| 中文名称 | 肌酸激酶M型抗体 |
| 别 名 | CKM; CKMM; CK-MM; Creatine kinase M; Creatine kinase M chain; Creatine kinase M type; Creatine kinase M-type; Creatine kinase muscle; KCRM_HUMAN; M-CK; MCK; MS785; Muscle creatine kinase. |
| 规格价格 | 100ul/1380元 购买 200ul/2200元 购买 大包装/询价 |
| 说 明 书 | 100ul 200ul |
| 研究领域 | 心血管 信号转导 激酶和磷酸酶 糖尿病 |
| 抗体来源 | Rabbit |
| 克隆类型 | Polyclonal |
| 交叉反应 | Human, Mouse, Rat, Dog, Pig, Cow, Horse, Rabbit, Zebrafish |
| 产品应用 | WB=1:500-2000 ELISA=1:500-1000 IHC-P=1:400-800 IHC-F=1:400-800 ICC=1:100-500 IF=1:100-500 (石蜡切片需做抗原修复) not yet tested in other applications. optimal dilutions/concentrations should be determined by the end user. |
| 分 子 量 | 43kDa |
| 细胞定位 | 细胞浆 |
| 性 状 | Lyophilized or Liquid |
| 浓 度 | 1mg/ml |
| 免 疫 原 | KLH conjugated synthetic peptide derived from human Creatine Kinase MM:221-330/381 |
| 亚 型 | IgG |
| 纯化方法 | affinity purified by Protein A |
| 储 存 液 | 0.01M TBS(pH7.4) with 1% BSA, 0.03% Proclin300 and 50% Glycerol. |
| 保存条件 | Store at -20 °C for one year. Avoid repeated freeze/thaw cycles. The lyophilized antibody is stable at room temperature for at least one month and for greater than a year when kept at -20°C. When reconstituted in sterile pH 7.4 0.01M PBS or diluent of antibody the antibody is stable for at least two weeks at 2-4 °C. |
| PubMed | PubMed |
| 产品介绍 | background: The protein encoded by this gene is a cytoplasmic enzyme involved in energy homeostasis and is an important serum marker for myocardial infarction. The encoded protein reversibly catalyzes the transfer of phosphate between ATP and various phosphogens such as creatine phosphate. It acts as a homodimer in striated muscle as well as in other tissues, and as a heterodimer with a similar brain isozyme in heart. The encoded protein is a member of the ATP:guanido phosphotransferase protein family. [provided by RefSeq, Jul 2008]. Function: Reversibly catalyzes the transfer of phosphate between ATP and various phosphogens (e.g. creatine phosphate). Creatine kinase isoenzymes play a central role in energy transduction in tissues with large, fluctuating energy demands, such as skeletal muscle, heart, brain and spermatozoa. Subunit: Dimer of identical or non-identical chains. With MM being the major form in skeletal muscle and myocardium, MB existing in myocardium, and BB existing in many tissues, especially brain. Subcellular Location: Cytoplasm. Similarity: Belongs to the ATP:guanido phosphotransferase family. Contains 1 phosphagen kinase C-terminal domain. Contains 1 phosphagen kinase N-terminal domain. SWISS: P06732 Gene ID: 1158 Database links: Entrez Gene: 1158 Human Entrez Gene: 12715 Mouse Entrez Gene: 24265 Rat Omim: 123310 Human SwissProt: P06732 Human SwissProt: P07310 Mouse SwissProt: P00564 Rat Unigene: 334347 Human Unigene: 2375 Mouse Unigene: 10756 Rat Important Note: This product as supplied is intended for research use only, not for use in human, therapeutic or diagnostic applications. |
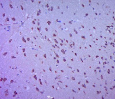
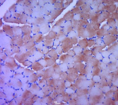
| 产品图片 | ![]() Paraformaldehyde-fixed, paraffin embedded (mouse brain tissue); Antigen retrieval by boiling in sodium citrate buffer (pH6.0) for 15min; Block endogenous peroxidase by 3% hydrogen peroxide for 20 minutes; Blocking buffer (normal goat serum) at 37°C for 30min; Antibody incubation with (Creatine Kinase MM) Polyclonal Antibody, Unconjugated (bs-7530R) at 1:400 overnight at 4°C, followed by a conjugated secondary (sp-0023) for 20 minutes and DAB staining. ![]() Paraformaldehyde-fixed, paraffin embedded (rat skeletal muscle); Antigen retrieval by boiling in sodium citrate buffer (pH6.0) for 15min; Block endogenous peroxidase by 3% hydrogen peroxide for 20 minutes; Blocking buffer (normal goat serum) at 37°C for 30min; Antibody incubation with (Creatine Kinase MM) Polyclonal Antibody, Unconjugated (bs-7530R) at 1:400 overnight at 4°C, followed by a conjugated secondary (sp-0023) for 20 minutes and DAB staining. ![]() Tissue/cell: rat heart tissue; 4% Paraformaldehyde-fixed and paraffin-embedded; Antigen retrieval: citrate buffer ( 0.01M, pH 6.0 ), Boiling bathing for 15min; Block endogenous peroxidase by 3% Hydrogen peroxide for 30min; Blocking buffer (normal goat serum,C-0005) at 37℃ for 20 min; Incubation: Anti-Creatine Kinase MM/KCRM Polyclonal Antibody, Unconjugated(bs-7530R) 1:200, overnight at 4°C, followed by conjugation to the secondary antibody(SP-0023) and DAB(C-0010) staining |
风险提示:丁香通仅作为第三方平台,为商家信息发布提供平台空间。用户咨询产品时请注意保护个人信息及财产安全,合理判断,谨慎选购商品,商家和用户对交易行为负责。对于医疗器械类产品,请先查证核实企业经营资质和医疗器械产品注册证情况。
文献和实验亦称为 ATP磷酸肌酸转移酶。是一种催化将磷酸肌酸的高能磷酸基转移到 ADP上反应的酶, EC2. 7. 3. 2。 磷酸肌酸 ADP肌酸 ATP △ G° =-3.0千卡 该反应在细胞内条件下,有生成 ATP的倾向。因为它是对生物体内能量系统起着重要作用的酶,所以在生物体内各组织中均存在,特别是肌肉中最多。肌肉中的酶已制得结晶(分子量约 8万)。在无脊椎动物中,多代之以精氨酸激酶。于 1934年为 K. Loh- mann发现,故称
Serum Creatine Kinase in Progressive Muscular Dystrophies
Several enzymes originating in muscle show increased activity in the serum of patients affected with different forms of muscular dystrophy (MD). These enzymes include creatine kinase (CK), aldolase, transaminase, and pyruvate kinase (PK
david9931 请问各位大侠,有没有订做过磷酸化的丝氨酸或磷酸化的苏氨酸抗体,哪家公司做的比较好,小弟想订做目的蛋白特异位点的丝氨酸、苏氨酸的磷酸化的抗体,帮忙给指点下,多谢啦 euthor_hsu 这种抗体定做很难。毕竟要的是抗一个特异的氨基酸的磷酸化位点。 就我所知cisbio有anti-phosphothronine 和anti-phosphotyrosine的抗体,PAb和MAb都有,但是没有anti
技术资料暂无技术资料 索取技术资料













