相关产品推荐更多 >
万千商家帮你免费找货
0 人在求购买到急需产品
- 详细信息
- 文献和实验
- 技术资料
- 供应商:
上海联迈生物工程有限公司
- 库存:
大量
- 目录编号:
LM-6904R
- 克隆性:
多克隆
- 抗原来源:
Rabbit
- 保质期:
1年
- 抗体英文名:
PRC1
- 抗体名:
胞质分裂调控蛋白1抗体
- 宿主:
Rabbit
- 适应物种:
Human, Mouse, Rat, Dog, Horse,
- 免疫原:
KLH conjugated synthetic peptide derived from human PRC1:75-170/620
- 亚型:
IgG
- 形态:
Lyophilized or Liquid
- 应用范围:
ELISA=1:500-1000 IHC-P=1:400-800 IHC-F=1:400-800 IF=1:100-500 (石蜡切片需做抗原修复)
- 浓度:
1mg/ml
- 保存条件:
Store at -20 °C
- 规格:
100ul 200ul
| 英文名称 | PRC1 |
| 中文名称 | 胞质分裂调控蛋白1抗体 |
| 别 名 | Anaphase spindle elongation 1 homolog; ASE1; PRC1; PRC1_HUMAN; Protein regulating cytokinesis 1; Protein regulator of cytokinesis 1. |
| 规格价格 | 100ul/1380元 购买 200ul/2200元 购买 大包装/询价 |
| 说 明 书 | 100ul 200ul |
| 研究领域 | 细胞生物 细胞周期蛋白 细胞分化 |
| 抗体来源 | Rabbit |
| 克隆类型 | Polyclonal |
| 交叉反应 | Human, Mouse, Rat, Dog, Horse, |
| 产品应用 | ELISA=1:500-1000 IHC-P=1:400-800 IHC-F=1:400-800 IF=1:100-500 (石蜡切片需做抗原修复) not yet tested in other applications. optimal dilutions/concentrations should be determined by the end user. |
| 分 子 量 | 68-71kDa |
| 细胞定位 | 细胞核 细胞浆 |
| 性 状 | Lyophilized or Liquid |
| 浓 度 | 1mg/ml |
| 免 疫 原 | KLH conjugated synthetic peptide derived from human PRC1:75-170/620 |
| 亚 型 | IgG |
| 纯化方法 | affinity purified by Protein A |
| 储 存 液 | 0.01M TBS(pH7.4) with 1% BSA, 0.03% Proclin300 and 50% Glycerol. |
| 保存条件 | Store at -20 °C for one year. Avoid repeated freeze/thaw cycles. The lyophilized antibody is stable at room temperature for at least one month and for greater than a year when kept at -20°C. When reconstituted in sterile pH 7.4 0.01M PBS or diluent of antibody the antibody is stable for at least two weeks at 2-4 °C. |
| PubMed | PubMed |
| 产品介绍 | background: Cross-links antiparrallel microtubules at an average distance of 35 nM. Essential for controlling the spatiotemporal formation of the midzone and successful cytokinesis. Required for KIF14 localization to the central spindle and midbody. Subcellular Location: Nucleus. Cytoplasm. Cytoplasm, cytoskeleton, Similarity: Belongs to the MAP65/ASE1 family. SWISS: O43663 Gene ID: 9055 Important Note: This product as supplied is intended for research use only, not for use in human, therapeutic or diagnostic applications. |
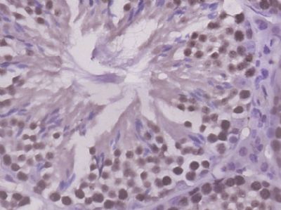
| 产品图片 | ![]() Paraformaldehyde-fixed, paraffin embedded (Rat stomach); Antigen retrieval by boiling in sodium citrate buffer (pH6.0) for 15min; Block endogenous peroxidase by 3% hydrogen peroxide for 20 minutes; Blocking buffer (normal goat serum) at 37°C for 30min; Antibody incubation with (PRC1) Polyclonal Antibody, Unconjugated (bs-6904R) at 1:400 overnight at 4°C, followed by operating according to SP Kit(Rabbit) (sp-0023) instructionsand DAB staining. ![]() Paraformaldehyde-fixed, paraffin embedded (Mouse testis); Antigen retrieval by boiling in sodium citrate buffer (pH6.0) for 15min; Block endogenous peroxidase by 3% hydrogen peroxide for 20 minutes; Blocking buffer (normal goat serum) at 37°C for 30min; Antibody incubation with (PRC1) Polyclonal Antibody, Unconjugated (bs-6904R) at 1:400 overnight at 4°C, followed by operating according to SP Kit(Rabbit) (sp-0023) instructions and DAB staining. |
风险提示:丁香通仅作为第三方平台,为商家信息发布提供平台空间。用户咨询产品时请注意保护个人信息及财产安全,合理判断,谨慎选购商品,商家和用户对交易行为负责。对于医疗器械类产品,请先查证核实企业经营资质和医疗器械产品注册证情况。
文献和实验… 的 结构。 CAP(CRP):由cAMP 激活的正调控蛋白质。对RNA 聚合酶起始E.coli 中一些操纵子(分 解代谢——敏感)是必须的。 Capsid (衣壳):是病毒微粒外部的蛋白质衣壳。 Caspases:一个蛋白质酶家族,其成员在调亡(细胞程序性死亡)中起作用。 Catabolite repression(分解代谢物阻碍):由于葡萄糖增加引起一些细菌操纵子表达降低。是 cAMP 水平降低使CAP 调控蛋白质失活所导致。 cDNA:与RNA 互补的单链DNA
位点):在噬菌体和细菌染色体中将噬菌体插入或切除细菌染色体的位点。 Attenuation (衰减):控制一些细菌启动子表达中涉及的转录终止调控。 Attenuator (衰减子):衰减发生处的一种内部终止子序列。 Autogenous control (自体调控):基因产物减弱(负自体调控)或者激活(正自体调控)其编码基因表达的作用。 Autonomous controlling element (自主控制元件):玉米中一种具有转座能力的转座元件。
的DNA 区域。 Marker (DNA 标记):已知大小的DNA 片段,用来计算琼脂糖凝胶电泳条带。 Marker (genetic ) (遗传标记):在试验中任何感兴趣的等位基因。 Maternal inheritance (母性遗传):指只有一个亲本提供的遗传标记在子代更容易存活。 Mb(兆碱基):106 bp DNA 的缩写。 Meiosis (减数分裂):由两次连续的分裂(减数分裂I期,减数分裂II期),使最初的4n 染色 体减少为4 个1n 染色体的产物细胞。产物
技术资料暂无技术资料 索取技术资料












