万千商家帮你免费找货
0 人在求购买到急需产品
- 详细信息
- 文献和实验
- 技术资料
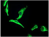
- 靶点:
IDI2
- 克隆性:
多克隆
- 抗体英文名:
Anti-IDI2
- 抗体名:
异戊烯基焦磷酸异构酶2抗体
- 免疫原:
KLH conjugated synthetic peptide derived from human IDI2
- 亚型:
IgG
- 形态:
冻干或液体
- 应用范围:
WB,ELISA,IP,ICC等
- 浓度:
1mg/1ml
- 保存条件:
-20 °C
- 规格:
0.2ml/200μg
异戊烯基焦磷酸异构酶2抗体产品资料:
英文名称 异戊烯基焦磷酸异构酶2抗体
中文名称 Anti-IDI2
别 名 IDI2_HUMAN; Isopentenyl-diphosphate Delta-isomerase 2; Isopentenyl pyrophosphate isomerase 2; IPP isomerase 2; IPPI2.
浓 度 1mg/1ml
规 格 0.2ml/200μg
抗体来源 Rabbit
克隆类型 polyclonal
交叉反应 Human, Mouse, Chicken
产品类型 一抗
研究领域 肿瘤 心血管 细胞生物 免疫学 信号转导 新陈代谢
蛋白分子量 predicted molecular weight:
27kDa
性 状 Lyophilized or Liquid
免 疫 原 KLH conjugated synthetic peptide derived from human IDI2
亚 型 IgG
纯化方法 affinity purified by Protein A
储 存 液 Preservative: 15mM Sodium Azide, Constituents: 1% BSA, 0.01M PBS, pH 7.4
产品应用 WB=1:100-500 ELISA=1:500-1000 IP=1:20-100 IHC-P=1:100-500 IHC-F=1:100-500 ICC=1:100-500 IF=1:100-500
公司优势:
我司在生物科技领域已立足多年,虽然一路走来很艰难,但是也抗住了大风大浪,并且越来越壮大。专业实力方面,我们的科技人员是专业的,我们的营销人员是专业的,我们的服务是专业的,在实力方面,我们拥有一批爱好钻研的科技人才,攻坚克难就是我们的态度。
我司已经与多家单位建立了合作,包括高等院校、科研院所、医学院以及相关的企业等,合作伙伴多,客户的针对性强,主要服务于生命科学、医学等方面的科研人员以及研究员、学生等;
我司还与国际接轨,代理着许多知名进口品牌,以填补国内需求的空缺。
如需订购,敬请详询我们!
抗体、抗原之间的关系:
抗原是人体免疫系统中需要被清除的东西,诸如病毒、细菌、寄生虫、过敏原等等,而身体里的免疫细胞会主动产生一种专门与其“对抗”或者“结合”抗原的物质,这就是抗体。这种抗原-抗体反应是人体的一种保护机制,使人从疾病中恢复健康或不得病。
有时,抗原和抗体也会相结合,形成抗原-抗体免疫复合物,反而对人体不利,例如乙型溶血性链球菌感染所致的猩红热,在恢复期,由于链球菌与人的肾小球基底膜具有共同的抗原性,就会导致免疫系统产生抗肾小球基底膜抗体,并与肾细胞上的抗原发生结合,形成抗原-抗体免疫复合物,诱导免疫系统,激活补体,导致链球菌感染后的急性肾炎。
大多数情况下,抗原是外来的,抗体是机体免疫系统自产的。但有时,抗原抗体都是机体自产的。如自身免疫性疾病,免疫系统误把自身的细胞当成抗原产生抗体,用自产的抗体和自身的细胞打仗,导致人体的健康问题。有时,抗原是自产的,抗体却可以外来。例如肿瘤细胞就是自产的抗原,人类可以利用单克隆技术制成抗体用于肿瘤的治疗。
抗体和抗原之间的关系复杂,要探究这期间的奥秘,还有漫长的路要走。
与异戊烯基焦磷酸异构酶2抗体相关的更多优势产品:
CDC14B 细胞分裂周期蛋白14B抗体规格: 0.2ml
兔抗GPC2多克隆抗体
英文名:Anti-GPC2rabbitpolyclonalantiboy
冷冻(-20℃)避光
兔抗AIG1多克隆抗体
英文名:Anti-AIG1rabbitpolyclonalantiboy
冷冻(-20℃)避光
兔抗VTCN1多克隆抗体
英文名:Anti-VTCN1rabbitpolyclonalantiboy
冷冻(-20℃)避光
兔抗IRGC多克隆抗体
英文名:Anti-IRGCrabbitpolyclonalantiboy
冷冻(-20℃)避光
Phospho-Raptor (Ser792) 磷酸化mTOR相关调控蛋白抗体规格: 0.1ml
兔抗NUFS4多克隆抗体
英文名:Anti-NUFS4rabbitpolyclonalantiboy
冷冻(-20℃)避光
异戊烯基焦磷酸异构酶2抗体猪流感病毒通用型(SIV-U) 核酸检测试剂盒(RT-PCR法) 48T
无形体核酸检测试剂盒(PCR-荧光探针法) 48T
转基因植物NPTⅡ基因核酸检测试剂盒(PCR-荧光探针法) 48T
小鼠转化生长因子β2(TGF-β2)ELISA试剂盒 英文名: TGF-β2 ELISA Kit
小鼠乙酰胆碱酯酶(AchE)ELISA试剂盒 英文名: AchE ELISA Kit
小鼠血管内皮细胞生长因子受体3(VEGFR-3/Flt-4)ELISA试剂盒 英文名: VEGFR-3/Flt-4 ELISA Kit
小鼠透明质酸结合蛋白(HABP)ELISA试剂盒 英文名: HABP ELISA Kit
小鼠神经调节蛋白1(NRG1)ELISA试剂盒 英文名: NRG1 ELISA Kit
风险提示:丁香通仅作为第三方平台,为商家信息发布提供平台空间。用户咨询产品时请注意保护个人信息及财产安全,合理判断,谨慎选购商品,商家和用户对交易行为负责。对于医疗器械类产品,请先查证核实企业经营资质和医疗器械产品注册证情况。
文献和实验染色质的基本结构单位,为核蛋白的结构体。亦称 v体( v body)。核小体为由组蛋白 H2A、 H2B、 H3及 H4各 2分子所形成的组蛋白 8聚体( histone octamer),即在组蛋白核心( histoncore)的周围绕以 DNA。用某种核酸酶处理可分成核小体核心粒子( nucleosome core particle)和具有核粒子间连接作用的连接 DNA( Linker DNA)二部分。核心粒子是由组蛋白核心和绕在周围的有 146个核苷酸对的 DNA所构成
戊烯醇焦磷酸,实际上是活性异戊二烯的前体,此物质与由异构酶作用生成的二甲基丙烯焦磷酸连续地缩合,进一步通过形成环或氧化还原反应等,生物合成出各种异戊二烯化合物。
是因为受者对供者的组织发生了免疫反应。1953年Gorer及Shell首次断定:小鼠的异体移植失败,关键在于H-2抗原不相容。不同近交品系小鼠有不同的H-2型,二个相同H-2型品系小鼠间移植,可不发生排斥反应。 (一)移植的类型 根据供者(Donor)与受者(Recipient)的遗传学关系可以把移植分为四种类型: 1.自体移植(Autograft):为同一个体移植,如自体皮片移植。 2.同系移植(Isograft,Isogenic or Syngeneic
技术资料暂无技术资料 索取技术资料










