相关产品推荐更多 >
万千商家帮你免费找货
0 人在求购买到急需产品
- 详细信息
- 文献和实验
- 技术资料
- 靶点:
IL-21R
- 克隆性:
多克隆
- 抗体英文名:
Anti-IL-21R
- 抗体名:
白介素21受体抗体
- 免疫原:
KLH conjugated synthetic peptide derived from humna IL-21R C-terminus
- 亚型:
IgG
- 形态:
冻干或液体
- 应用范围:
WB,ELISA,IP,ICC等
- 浓度:
1mg/1ml
- 保存条件:
-20 °C
- 规格:
0.2ml/100μg
英文名称 白介素21受体抗体
中文名称 Anti-IL-21R
别 名 IL 21R; IL21 Receptor; IL21R; Interleukin 21 receptor; MGC10967; NILR; IL21R_HUMAN.
浓 度 1mg/1ml
规 格 0.2ml/100μg
抗体来源 Rabbit
克隆类型 polyclonal
交叉反应 Human, Mouse, Rat, Cow
产品类型 一抗
研究领域 免疫学 细胞膜受体
蛋白分子量 predicted molecular weight:
57kDa
性 状 Lyophilized or Liquid
免 疫 原 KLH conjugated synthetic peptide derived from humna IL-21R C-terminus
亚 型 IgG
纯化方法 affinity purified by Protein A
储 存 液 0.01M PBS, pH 7.4 with 10 mg/ml BSA and 0.1% Sodium azide
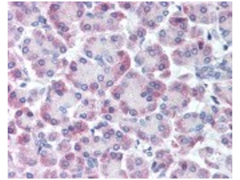
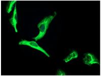
产品应用 WB=1:100-500 ELISA=1:500-1000 IP=1:20-100 IHC-P=1:100-500 IHC-F=1:100-500 IF=1:100-500
白介素21受体抗体订购说明:
| 价格 | 价格以市场走向为准,准确的报价还请客户向我们咨询; |
| 供应 | 我司产品一般都是现货直销,但不排除供应紧张的情况,无论新老客户,提前订购,都能够百分百获得新出厂的批次; |
| 运输 | 支持快递包邮,当天下单即可当天发货; |
| 售后 | 我司提供周到的售后服务,支持退换货,后期如遇技术难题,还可获取我司的技术咨询和帮助。 |
几种抗体概述:
1.抗角蛋白抗体(AKA),又称为抗丝集蛋白抗体或抗角质层抗体。AKA是类风湿关节炎早期诊断和判断预后的指标之一,其对RA患者的诊断的特异性为94% ,而其敏感性为47% ,并是一种鉴别RA和与多发性关节炎相关的丙型肝炎患者的有效检验标记物。
2.抗核周因子( APF), 是定位于口腔黏附膜细胞胞质内的颗粒性蛋白复合物。可在RA患者的血清和关节液中测出,与性别、年龄无关。APF显示了较强的特异性(73%~99%)和敏感性。用间接免疫荧光法检测,方法精密度较差。
3.抗环瓜氨酸肽抗体(CCP),具有相对好的敏感度和特异性。其实,抗核周因子和抗角蛋白抗体,与CCP在化学结构上具有相关性,它们的表位都含有瓜氨酸,称为瓜氨酸相关自身免疫系统。
白介素21受体抗体实验流程:
公司还提供:
兔抗Mapt(phospho-Ser416)多克隆抗体
英文名:Anti-Mapt(phospho-Ser416)rabbitpolyclonalantiboy
冷冻(-20℃)避光
氢钾ATP酶通道蛋白抗体规格:0.1mlAnti-ATP4B/H+K+ ATPase
beta Bax/BCL2 associated X protein BCL2相关X蛋白抗体规格: 0.2ml
兔抗RCC1多克隆抗体
英文名:Anti-RCC1rabbitpolyclonalantiboy
冷冻(-20℃)避光
Rabbit anti-Dog IgG whole serum 兔抗狗IgG抗清规格: 1mlGADD45 gamma 生抑制DNA损伤基因45γ抗体 GADD45γ规格: 0.2ml
兔抗STON1多克隆抗体
英文名:Anti-STON1rabbitpolyclonalantiboy
冷冻(-20℃)避光
PP1A/PP2CA/PPP1CA 蛋白磷酸酶2Cα抗体规格: 0.2ml
白介素21受体抗体GMS15重组腺病毒载体繁殖超级化学感受态细菌进口/国产规格:5 X 100微升
酵母菌完全补充混合(CSM-HOLLENBERG)培养基进口/国产规格:100毫升
无内毒素小量质粒抽提试剂盒进口/国产规格:20/50次
产气荚膜梭菌α毒素(Clostridium perfringens cpa)鉴定16S rDNA PCR扩增检测试剂盒进口/国产规格:20次
水样品内毒素凝胶法定量检测试剂盒进口/国产规格:20次
细胞HPV7(HUMAN PAPILLOMAVIRUS-7)病毒定性检测试剂盒进口/国产规格:20次
体液科萨基病毒B(Coxsackievirus B)定量PCR扩增检测试剂盒进口/国产规格:20次
植物叶绿体外膜脂质薄层色谱(TLC)分析检测试剂盒进口/国产规格:10次
风险提示:丁香通仅作为第三方平台,为商家信息发布提供平台空间。用户咨询产品时请注意保护个人信息及财产安全,合理判断,谨慎选购商品,商家和用户对交易行为负责。对于医疗器械类产品,请先查证核实企业经营资质和医疗器械产品注册证情况。
文献和实验上海西唐生物科技有限公司 021-55229872, 65333639 www.westang.com 人白介素-21 (IL-21)ELISA 试剂盒 ( 用于血清、血浆、细胞培养上清液和其它生物体液内 ) 原理 本实验采用双抗体夹心 ABC-ELISA 法。用抗人 IL-21 单抗包被于酶标板上,标准品和样品中的 IL-21与单抗结合,加入生物素化的抗人 IL
上海西唐生物科技有限公司 021-55229872, 65333639 www.westang.com 小鼠白介素-21 (IL-21)ELISA 试剂盒 ( 用于血清、血浆、细胞培养上清液和其它生物体液内 ) 原理 本实验采用双抗体夹心 ABC-ELISA 法。用抗小鼠 IL-21 单抗包被于酶标板上,标准品和样品中的 IL-21与单抗结合,加入生物素化的抗小鼠
ERLKSLIQKM IHQHLS2, FeaturesDL-IL21-Hu人白介素 21 (IL21) 酶联免疫吸附检测试剂盒预期应用本试剂盒运用双抗体夹心 ELISA 法定量测定人血清、血浆、组织匀浆、细胞裂解液、细胞培养上清液和其他生物液体中 IL21 含量。标本的采集与保存1. 血清:将收集于血清分离管的全血标本在室温放置 2 小时或 4℃ 过夜,然后 1000×g 离心 20 分钟,取上清即可,或将上清置于-20℃ 或-80℃ 保存,但应避免反复冻融。2. 血浆:用 EDTA 或肝素作为抗凝剂采集
技术资料暂无技术资料 索取技术资料









