相关产品推荐更多 >
万千商家帮你免费找货
0 人在求购买到急需产品
- 详细信息
- 文献和实验
- 技术资料
- 供应商:
上海联迈生物工程有限公司
- 库存:
大量
- 目录编号:
LM-6528R
- 克隆性:
多克隆
- 抗原来源:
Rabbit
- 保质期:
1年
- 抗体英文名:
EZH1
- 抗体名:
组蛋白赖氨酸N-甲基EZH1抗体
- 宿主:
Rabbit
- 适应物种:
Human, Mouse, Rat, Chicken, Dog, Pig, Cow, Rabbit, Guinea Pig,
- 免疫原:
KLH conjugated synthetic peptide derived from human EZH1:471-510/747
- 亚型:
IgG
- 形态:
Lyophilized or Liquid
- 应用范围:
WB=1:500-2000 ELISA=1:500-1000 IHC-P=1:400-800 IHC-F=1:400-800 IF=1:100-500 (石蜡切片需做抗原修复)
- 浓度:
1mg/ml
- 保存条件:
Store at -20 °C
- 规格:
100ul 200ul
| 英文名称 | EZH1 |
| 中文名称 | 组蛋白赖氨酸N-甲基EZH1抗体 |
| 别 名 | Enhancer of zeste homolog 1(Drosophila); Enhancer of zeste homolog 1; ENX-2; ENX2; EZH1; EZH1: enhancer of zeste homolog 1 (Drosophila); EZH1_HUMAN; Histone-lysine N-methyltransferase EZH1; KIAA0388. |
| 规格价格 | 100ul/1380元 购买 200ul/2200元 购买 大包装/询价 |
| 说 明 书 | 100ul 200ul |
| 研究领域 | 肿瘤 染色质和核信号 肿瘤细胞生物标志物 表观遗传学 |
| 抗体来源 | Rabbit |
| 克隆类型 | Polyclonal |
| 交叉反应 | Human, Mouse, Rat, Chicken, Dog, Pig, Cow, Rabbit, Guinea Pig, |
| 产品应用 | WB=1:500-2000 ELISA=1:500-1000 IHC-P=1:400-800 IHC-F=1:400-800 IF=1:100-500 (石蜡切片需做抗原修复) not yet tested in other applications. optimal dilutions/concentrations should be determined by the end user. |
| 分 子 量 | 85kDa |
| 细胞定位 | 细胞核 |
| 性 状 | Lyophilized or Liquid |
| 浓 度 | 1mg/ml |
| 免 疫 原 | KLH conjugated synthetic peptide derived from human EZH1:471-510/747 |
| 亚 型 | IgG |
| 纯化方法 | affinity purified by Protein A |
| 储 存 液 | 0.01M TBS(pH7.4) with 1% BSA, 0.03% Proclin300 and 50% Glycerol. |
| 保存条件 | Store at -20 °C for one year. Avoid repeated freeze/thaw cycles. The lyophilized antibody is stable at room temperature for at least one month and for greater than a year when kept at -20°C. When reconstituted in sterile pH 7.4 0.01M PBS or diluent of antibody the antibody is stable for at least two weeks at 2-4 °C. |
| PubMed | PubMed |
| 产品介绍 | background: Polycomb group (PcG) protein. Catalytic subunit of the PRC2/EED-EZH1 complex, which methylates 'Lys-27' of histone H3, leading to transcriptional repression of the affected target gene. Able to mono-, di- and trimethylate 'Lys-27' of histone H3 to form H3K27me1, H3K27me2 and H3K27me3, respectively. Required for embryonic stem cell derivation and self-renewal, suggesting that it is involved in safeguarding embryonic stem cell identity. Compared to EZH1-containing complexes, it is less abundant in embryonic stem cells, has weak methyltransferase activity and plays a less critical role in forming H3K27me3, which is required for embryonic stem cell identity and proper differentiation. Sequence similarities Belongs to the histone-lysine methyltransferase family. EZ subfamily. Contains 1 SET domain. Function: Polycomb group (PcG) protein. Catalytic subunit of the PRC2/EED-EZH1 complex, which methylates 'Lys-27' of histone H3, leading to transcriptional repression of the affected target gene. Able to mono-, di- and trimethylate 'Lys-27' of histone H3 to form H3K27me1, H3K27me2 and H3K27me3, respectively. Required for embryonic stem cell derivation and self-renewal, suggesting that it is involved in safeguarding embryonic stem cell identity. Compared to EZH1-containing complexes, it is less abundant in embryonic stem cells, has weak methyltransferase activity and plays a less critical role in forming H3K27me3, which is required for embryonic stem cell identity and proper differentiation. Subunit: Component of the PRC2/EED-EZH1 complex, which includes EED, EZH1, SUZ12, RBBP4 and AEBP2. The PRC2/EED-EZH1 is less abundant than the PRC2/EED-EZH2 complex, has weak methyltransferase activity and compacts chromatin in the absence of the methyltransferase cofactor S-adenosyl-L-methionine (SAM). Subcellular Location: Nucleus. Note=Colocalizes with trimethylated 'Lys-27' of histone H3. Similarity: Belongs to the histone-lysine methyltransferase family. EZ subfamily. Contains 1 CXC domain. Contains 1 SET domain. SWISS: Q92800 Gene ID: 2145 Database links: Entrez Gene: 2145 Human Entrez Gene: 14055 Mouse Entrez Gene: 303547 Rat Omim: 601674 Human SwissProt: Q92800 Human SwissProt: P70351 Mouse Unigene: 194669 Human Unigene: 5027 Mouse Unigene: 154549 Rat Important Note: This product as supplied is intended for research use only, not for use in human, therapeutic or diagnostic applications. |
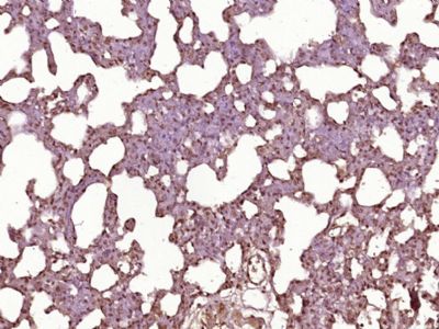
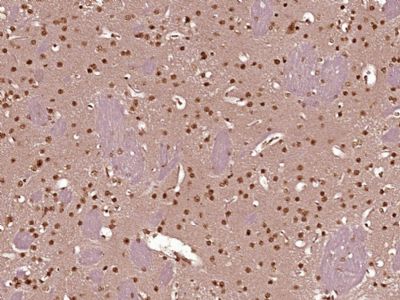
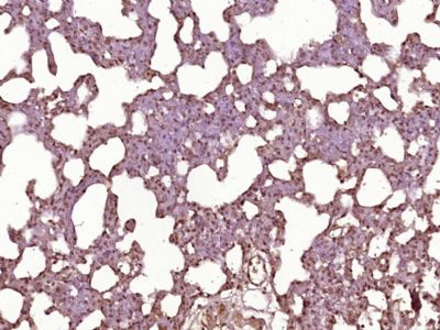
| 产品图片 | ![]() Sample: 293T(Human) Cell Lysate at 30 ug Primary: Anti-EZH1 (bs-6528R) at 1/1000 dilution Secondary: IRDye800CW Goat Anti-Rabbit IgG at 1/20000 dilution Predicted band size: 85 kD Observed band size: 76 kD ![]() Paraformaldehyde-fixed, paraffin embedded (Mouse brain); Antigen retrieval by boiling in sodium citrate buffer (pH6.0) for 15min; Block endogenous peroxidase by 3% hydrogen peroxide for 20 minutes; Blocking buffer (normal goat serum) at 37°C for 30min; Antibody incubation with (EZH1) Polyclonal Antibody, Unconjugated (bs-6528R) at 1:400 overnight at 4°C, followed by operating according to SP Kit(Rabbit) (sp-0023) instructionsand DAB staining. ![]() Paraformaldehyde-fixed, paraffin embedded (Rat lung); Antigen retrieval by boiling in sodium citrate buffer (pH6.0) for 15min; Block endogenous peroxidase by 3% hydrogen peroxide for 20 minutes; Blocking buffer (normal goat serum) at 37°C for 30min; Antibody incubation with (EZH1) Polyclonal Antibody, Unconjugated (bs-6528R) at 1:400 overnight at 4°C, followed by operating according to SP Kit(Rabbit) (sp-0023) instructionsand DAB staining. |
风险提示:丁香通仅作为第三方平台,为商家信息发布提供平台空间。用户咨询产品时请注意保护个人信息及财产安全,合理判断,谨慎选购商品,商家和用户对交易行为负责。对于医疗器械类产品,请先查证核实企业经营资质和医疗器械产品注册证情况。
文献和实验磷酸化就在有丝分裂、细胞死亡、DNA 损伤修复、DNA 复制和重组过程中发挥着直接的作用。 组蛋白翻译后修饰多发生在组蛋白的 N-端尾部,包括甲基化、乙酰化、磷酸化、ADP-核糖基化、泛素化和小分子泛素化修饰,这些修饰有助于其他蛋白质与 DNA 的结合,从而产生协同或者拮抗作用来调控基因转录。例如,乙酰化使组蛋白尾部正电荷减少,从而削弱了与带负电荷 DNA 骨架的作用,而促进染色质呈开放状态, 甲基化激活或抑制基因功能主要依赖于修饰的位点,主要与赖氨酸残基的单甲基化、双甲基化或三甲基化有关。 组蛋白修饰最基本
去乙酰化酶 (HDAC) 酶是共抑制因子,通过降低赖氨酸乙酰化水平和增加染色体凝聚而逆转乙酰化的作用。Sirtuins(沉默信息调节因子)是一组 NAD 依赖性去乙酰化酶,靶向组蛋白。顾名思义,它们通过低乙酰化组蛋白维持基因沉默,据报道有助于维持基因组稳定性。而乙酰化最早是在组蛋白中检测到的,胞浆蛋白也被报道是乙酰化的,因此乙酰化似乎在细胞生物学中发挥着比单纯的转录调控更大的作用。此外,乙酰化修饰和其他翻译后修饰,包括磷酸化、泛素化和甲基化之间的串扰,可以改变乙酰化蛋白的生物学功能。可通过使用乙酰赖氨酸特异性抗体
组蛋白修饰详情 乙酰化 乙酰化是最早发现的影响转录调控的组蛋白修饰之一,因此目前研究的最多。乙酰化使 从核小体伸出 的 N-末端组蛋白尾部的赖氨酸残基带负电荷,这些负电荷会排斥带负电荷的 DNA,导致染色质结构 松弛。开放的染色质构象允许转录因子结合并显著增加基因表达 (Roth et al., 2001)。 组蛋白乙酰化参与细胞周期调控、细胞增殖和凋亡,并在调节细胞分化、DNA 复制和修复、核输入和 神经元抑制等多种细胞过程中发挥重要作用。组蛋白乙酰
技术资料暂无技术资料 索取技术资料













