相关产品推荐更多 >
万千商家帮你免费找货
0 人在求购买到急需产品
- 详细信息
- 文献和实验
- 技术资料
- 供应商:
上海联迈生物工程有限公司
- 库存:
大量
- 目录编号:
LM-6502R
- 克隆性:
多克隆
- 抗原来源:
Rabbit
- 保质期:
1年
- 抗体英文名:
Testin
- 抗体名:
肿瘤抑制基因Testin抗体
- 宿主:
Rabbit
- 适应物种:
Human, Mouse, Rat, Dog, Pig, Rabbit, Sheep,
- 免疫原:
KLH conjugated synthetic peptide derived from human Testin (161-210aa):161-210/421
- 亚型:
IgG
- 形态:
Lyophilized or Liquid
- 应用范围:
WB=1:500-2000 ELISA=1:500-1000 IHC-P=1:400-800 IHC-F=1:400-800 IF=1:100-500 (石蜡切片需做抗原修复)
- 浓度:
1mg/ml
- 保存条件:
Store at -20 °C
- 规格:
100ul 200ul
| 英文名称 | Testin |
| 中文名称 | 肿瘤抑制基因Testin抗体 |
| 别 名 | Testin; TES; TESS 2; TESS; TESS2; TESS-2; Testis derived transcript (3 LIM domains); Testis derived transcript; TES_HUMAN. |
| 规格价格 | 100ul/1380元 购买 200ul/2200元 购买 大包装/询价 |
| 说 明 书 | 100ul 200ul |
| 研究领域 | 肿瘤 信号转导 转录调节因子 锌指蛋白 表观遗传学 |
| 抗体来源 | Rabbit |
| 克隆类型 | Polyclonal |
| 交叉反应 | Human, Mouse, Rat, Dog, Pig, Rabbit, Sheep, |
| 产品应用 | WB=1:500-2000 ELISA=1:500-1000 IHC-P=1:400-800 IHC-F=1:400-800 IF=1:100-500 (石蜡切片需做抗原修复) not yet tested in other applications. optimal dilutions/concentrations should be determined by the end user. |
| 分 子 量 | 48kDa |
| 细胞定位 | 细胞浆 细胞膜 |
| 性 状 | Lyophilized or Liquid |
| 浓 度 | 1mg/ml |
| 免 疫 原 | KLH conjugated synthetic peptide derived from human Testin (161-210aa):161-210/421 |
| 亚 型 | IgG |
| 纯化方法 | affinity purified by Protein A |
| 储 存 液 | 0.01M TBS(pH7.4) with 1% BSA, 0.03% Proclin300 and 50% Glycerol. |
| 保存条件 | Store at -20 °C for one year. Avoid repeated freeze/thaw cycles. The lyophilized antibody is stable at room temperature for at least one month and for greater than a year when kept at -20°C. When reconstituted in sterile pH 7.4 0.01M PBS or diluent of antibody the antibody is stable for at least two weeks at 2-4 °C. |
| PubMed | PubMed |
| 产品介绍 | background: Cancer-associated chromosomal changes often involveregions containing fragile sites. This gene maps to a commomfragile site on chromosome 7q31.2 designated FRA7G. This gene issimilar to mouse Testin, a testosterone-responsive gene encoding aSertoli cell secretory protein containing three LIM domains. LIMdomains are double zinc-finger motifs that mediate protein-proteininteractions between transcription factors, cytoskeletal proteinsand signaling proteins. This protein is a negative regulator ofcell growth and may act as a tumor suppressor. This scaffoldprotein may also play a role in cell adhesion, cell spreading andin the reorganization of the actin cytoskeleton. Multiple proteinisoforms are encoded by transcript variants of this gene. Function: Scaffold protein that may play a role in cell adhesion,cell spreading and in the reorganization of the actin cytoskeleton.Plays a role in the regulation of cell proliferation. May act as atumor suppressor. Inhibits tumor cell growth. Subunit: Interacts via LIM domain 1 with ZYX. Interacts (via LIMdomain 3) with ENAH and VASP. Interacts with talin, actin,alpha-actinin, GRIP1 and PXN. Interacts (via LIM domain 2) withACTL7A (via N-terminus). Heterodimer with ACTL7A; the heterodimerinteracts with ENAH to form a heterotrimer. Subcellular Location: Cytoplasm. Cell junction, focal adhesion.Note=Detected along actin stress fibers. Tissue Specificity: Ubiquitous. Similarity: Belongs to the prickle / espinas / testin family. Contains 3 LIM zinc-binding domains. Contains 1 PET domain. SWISS: Q9UGI8 Gene ID: 26136 Database links: Entrez Gene: 534965 Cow Entrez Gene: 26136 Human Entrez Gene: 21753 Mouse Entrez Gene: 500040 Rat Omim: 606085 Human SwissProt: Q2YDE9 Cow SwissProt: Q2QLB2 Horse SwissProt: Q9UGI8 Human SwissProt: P47226 Mouse SwissProt: Q2QLE3 Pig SwissProt: Q2LAP6 Rat Unigene: 592286 Human Unigene: 664957 Human Unigene: 436548 Mouse Unigene: 44847 Rat Important Note: This product as supplied is intended for research use only, not for use in human, therapeutic or diagnostic applications. |
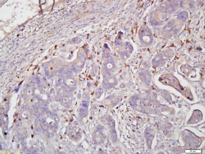
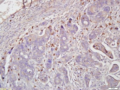
| 产品图片 | ![]() Sample: Lung (Mouse) Lysate at 40 ug Primary: Anti-Testin (bs-6502R) at 1/300 dilution Secondary: HRP conjugated Goat-Anti-rabbit IgG (bs-0295G-HRP) at 1/5000 dilution Predicted band size: 48 kD Observed band size: 48 kD ![]() Tissue/cell: human cervical carcinoma; 4% Paraformaldehyde-fixed and paraffin-embedded; Antigen retrieval: citrate buffer ( 0.01M, pH 6.0 ), Boiling bathing for 15min; Block endogenous peroxidase by 3% Hydrogen peroxide for 30min; Blocking buffer (normal goat serum,C-0005) at 37℃ for 20 min; Incubation: Anti-Testin Polyclonal Antibody, Unconjugated(bs-6502R) 1:500, overnight at 4°C, followed by conjugation to the secondary antibody(SP-0023) and DAB(C-0010) staining |
风险提示:丁香通仅作为第三方平台,为商家信息发布提供平台空间。用户咨询产品时请注意保护个人信息及财产安全,合理判断,谨慎选购商品,商家和用户对交易行为负责。对于医疗器械类产品,请先查证核实企业经营资质和医疗器械产品注册证情况。
文献和实验Science:直击肿瘤命门,Shibin Zhou 等开发靶向 TP53 突变的双特异性抗体
p53-targeted immunotherapyEurekAlert Science NewsR175H,其中 175 位的精氨酸被组氨酸取代,是 TP53 中观察到的最常见的突变,也是任何肿瘤抑制基因中最常见的突变。HMTEVVRHC (带下划线的为突变氨基酸) 来源于 p53R175H,与人类白细胞抗原 (HLA) 等位基因 (A*02:01) 结合,该等位基因存在于超过 40% 的美国高加索人中。近年来,TCR-Mimic (TCRm) 抗体已成为一类靶向肿瘤细胞内蛋白 pHLA(多肽 - MHC 复合
补充精氨酸能抗癌?Nature:用细菌把「肿瘤克星」送到抗癌前线,免疫治疗效果提高 30%
是由于 L-精氨酸非常快速地扩散到了肿瘤之外而没有起到应有的效果。因此,研发另一种可以在肿瘤原位持续增加精氨酸浓度的手段,是非常有必要的。由于细菌可以在肿瘤中生存得很好,因此该团队使用了一个非致病性大肠杆菌菌株 ECN,致力于建立一个肿瘤内部合成生物学基础的细胞疗法,从而可以在肿瘤原位实现高浓度的 L-精氨酸含量。肿瘤代谢的产物常常导致氨的累积,因此研究人员对 ECN 进行了基因改造,使其可以将氨转向精氨酸合成。具体来说,他们删除了该菌株的精氨酸抑制子基因(ArgR),并且由于精氨酸合成的第一个酶
免疫细胞可识别并杀伤有害的靶细胞(如突发性肿瘤细胞),是人体宿主防御机制的一个重要组成部分。抗体依赖性细胞介导的细胞毒性 (ADCC) 和 T 细胞杀伤是细胞介导的免疫应答的两种机制,其中的每个过程都涉及刺激免疫细胞亚群(例如,自然杀伤 (NK) 细胞或细胞毒性 T 淋巴细胞 (CTL)),使它们主动裂解靶细胞。 近期,约翰霍普金斯大学医学院的研究人员在Science期刊发表研究成果[1]。他们发现了靶向TP53突变的新抗原,筛选出一种抗体片段(H2-scFv)特异性识别灭活的肿瘤抑制基因
技术资料暂无技术资料 索取技术资料












