相关产品推荐更多 >
万千商家帮你免费找货
0 人在求购买到急需产品
- 详细信息
- 文献和实验
- 技术资料
- 供应商:
上海联迈生物工程有限公司
- 库存:
大量
- 目录编号:
LM-6330R
- 克隆性:
多克隆
- 抗原来源:
Rabbit
- 保质期:
1年
- 抗体英文名:
IFNA16/Interferon alpha 16
- 抗体名:
干扰素α16抗体
- 宿主:
Rabbit
- 适应物种:
Human
- 免疫原:
KLH conjugated synthetic peptide derived from human IFNA16:101-189/189
- 亚型:
IgG
- 形态:
Lyophilized or Liquid
- 应用范围:
WB=1:500-2000 ELISA=1:500-1000 IHC-P=1:400-800 IHC-F=1:400-800 IF=1:100-500 (石蜡切片需做抗原修复)
- 浓度:
1mg/ml
- 保存条件:
Store at -20 °C
- 规格:
100ul 200ul
| 英文名称 | IFNA16/Interferon alpha 16 |
| 中文名称 | 干扰素α16抗体 |
| 别 名 | IFN alpha N protein; Interferon alpha WA; Interferon, alpha 16; IFN16_HUMAN. |
| 规格价格 | 100ul/1380元 购买 200ul/2200元 购买 大包装/询价 |
| 说 明 书 | 100ul 200ul |
| 研究领域 | 肿瘤 细胞生物 免疫学 信号转导 干扰素 |
| 抗体来源 | Rabbit |
| 克隆类型 | Polyclonal |
| 交叉反应 | Human, |
| 产品应用 | WB=1:500-2000 ELISA=1:500-1000 IHC-P=1:400-800 IHC-F=1:400-800 IF=1:100-500 (石蜡切片需做抗原修复) not yet tested in other applications. optimal dilutions/concentrations should be determined by the end user. |
| 分 子 量 | 19kDa |
| 细胞定位 | 分泌型蛋白 |
| 性 状 | Lyophilized or Liquid |
| 浓 度 | 1mg/ml |
| 免 疫 原 | KLH conjugated synthetic peptide derived from human IFNA16:101-189/189 |
| 亚 型 | IgG |
| 纯化方法 | affinity purified by Protein A |
| 储 存 液 | 0.01M TBS(pH7.4) with 1% BSA, 0.03% Proclin300 and 50% Glycerol. |
| 保存条件 | Store at -20 °C for one year. Avoid repeated freeze/thaw cycles. The lyophilized antibody is stable at room temperature for at least one month and for greater than a year when kept at -20°C. When reconstituted in sterile pH 7.4 0.01M PBS or diluent of antibody the antibody is stable for at least two weeks at 2-4 °C. |
| PubMed | PubMed |
| 产品介绍 | background: IFNA16 is produced by macrophages and has antiviral activities. Interferon stimulates the production of two enzymes: a protein kinase and an oligoadenylate synthetase. Function: Produced by macrophages, IFN-alpha have antiviral activities. Interferon stimulates the production of two enzymes: a protein kinase and an oligoadenylate synthetase. Subcellular Location: Secreted. Similarity: Belongs to the alpha/beta interferon family. SWISS: P05015 Gene ID: 3449 Database links: Entrez Gene: 3449 Human Omim: 147580 Human SwissProt: P05015 Human Unigene: 56303 Human Important Note: This product as supplied is intended for research use only, not for use in human, therapeutic or diagnostic applications. |
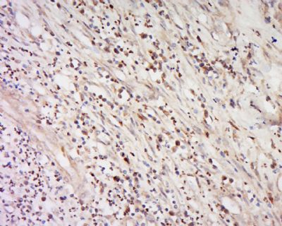
| 产品图片 | ![]() Tissue/cell: human cervical carcinoma; 4% Paraformaldehyde-fixed and paraffin-embedded; Antigen retrieval: citrate buffer ( 0.01M, pH 6.0 ), Boiling bathing for 15min; Block endogenous peroxidase by 3% Hydrogen peroxide for 30min; Blocking buffer (normal goat serum,C-0005) at 37℃ for 20 min; Incubation: Anti-IFNA16/Interferon alpha 16 Polyclonal Antibody, Unconjugated(bs-6330R) 1:500, overnight at 4°C, followed by conjugation to the secondary antibody(SP-0023) and DAB(C-0010) staining |
风险提示:丁香通仅作为第三方平台,为商家信息发布提供平台空间。用户咨询产品时请注意保护个人信息及财产安全,合理判断,谨慎选购商品,商家和用户对交易行为负责。对于医疗器械类产品,请先查证核实企业经营资质和医疗器械产品注册证情况。
文献和实验motifs located prevalently in the 3′ untranslated regions of target messenger RNAs (mRNA). Interferon-alpha-2a (IFNα) induces a large set of protein coding genes mediating antiproliferative and antiviral responses. Here we use a global microarray-based
In situ hybridisation to alpha satellite sequences (chromosome specific)
Alpha satellite sequences, whilst highly repetitive, are specific to each individual chromosome. These sequences flank the centromeres and can present a target measured in megabases. In this protocol a biotin or digoxigenin labelled DNA
盐酸硫胺 4.00 13 L-亮氨酸 105.00 29 盐酸吡哆辛 4.00 14 L-盐酸赖氨酸 146.00 30 葡萄糖 4500.00 15 L-甲硫氨酸 30.00 31 丙酮酸钠 110.00 16 L-苯丙氨酸 66.00 32 酚红 15.00 比较上述三种培养基的成分,我们可以看出alpha-MEM培养基中的成分比MEM和DMEM多很多,因此alpha-MEM培养基的价格也比较高。
技术资料暂无技术资料 索取技术资料











