万千商家帮你免费找货
0 人在求购买到急需产品
- 详细信息
- 技术资料
- 靶点:
IMP4
- 克隆性:
多克隆
- 抗体英文名:
Anti-IMP4/SPPL2B
- 抗体名:
膜内蛋白酶4抗体
- 免疫原:
KLH conjugated synthetic peptide derived from human SPPL2B (55-135aa)
- 亚型:
IgG
- 形态:
冻干或液体
- 应用范围:
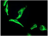
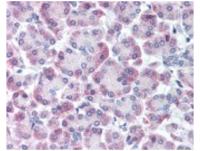
WB,ELISA,IP,ICC等
- 浓度:
1mg/1ml
- 保存条件:
-20 °C
- 规格:
0.2ml/200μg
本品仅供学校实验室使用或者其他科研项目,不做其他用途!
膜内蛋白酶4抗体产品资料:
英文名称 膜内蛋白酶4抗体
中文名称 Anti-IMP4/SPPL2B
别 名 IMP4; Signal peptide peptidase-like 2B; Intramembrane protease 4; Protein SPP-like 2B; SPPL2B; SPP2B_HUMAN.
浓 度 1mg/1ml
规 格 0.2ml/200μg
抗体来源 Rabbit
克隆类型 polyclonal
交叉反应 Human, Mouse, Rat, Dog, Pig, Cow, Horse, Sheep
产品类型 一抗
研究领域 细胞生物 神经生物学 信号转导 细胞粘附分子 泛素 Alzheimer's
蛋白分子量 predicted molecular weight:
65kDa
性 状 Lyophilized or Liquid
免 疫 原 KLH conjugated synthetic peptide derived from human SPPL2B (55-135aa)
亚 型 IgG
纯化方法 affinity purified by Protein A
储 存 液 Preservative: 15mM Sodium Azide, Constituents: 1% BSA, 0.01M PBS, pH 7.4
产品应用 WB=1:100-500 ELISA=1:500-1000 IHC-P=1:100-500 IHC-F=1:100-500 ICC=1:100-500 IF=1:100-500
公司优势:
我司在生物科技领域已立足多年,虽然一路走来很艰难,但是也抗住了大风大浪,并且越来越壮大。专业实力方面,我们的科技人员是专业的,我们的营销人员是专业的,我们的服务是专业的,在实力方面,我们拥有一批爱好钻研的科技人才,攻坚克难就是我们的态度。
我司已经与多家单位建立了合作,包括高等院校、科研院所、医学院以及相关的企业等,合作伙伴多,客户的针对性强,主要服务于生命科学、医学等方面的科研人员以及研究员、学生等;
我司还与国际接轨,代理着许多知名进口品牌,以填补国内需求的空缺。
如需订购,敬请详询我们!
抗体、抗原之间的关系:
抗原是人体免疫系统中需要被清除的东西,诸如病毒、细菌、寄生虫、过敏原等等,而身体里的免疫细胞会主动产生一种专门与其“对抗”或者“结合”抗原的物质,这就是抗体。这种抗原-抗体反应是人体的一种保护机制,使人从疾病中恢复健康或不得病。
有时,抗原和抗体也会相结合,形成抗原-抗体免疫复合物,反而对人体不利,例如乙型溶血性链球菌感染所致的猩红热,在恢复期,由于链球菌与人的肾小球基底膜具有共同的抗原性,就会导致免疫系统产生抗肾小球基底膜抗体,并与肾细胞上的抗原发生结合,形成抗原-抗体免疫复合物,诱导免疫系统,激活补体,导致链球菌感染后的急性肾炎。
大多数情况下,抗原是外来的,抗体是机体免疫系统自产的。但有时,抗原抗体都是机体自产的。如自身免疫性疾病,免疫系统误把自身的细胞当成抗原产生抗体,用自产的抗体和自身的细胞打仗,导致人体的健康问题。有时,抗原是自产的,抗体却可以外来。例如肿瘤细胞就是自产的抗原,人类可以利用单克隆技术制成抗体用于肿瘤的治疗。
抗体和抗原之间的关系复杂,要探究这期间的奥秘,还有漫长的路要走。
与膜内蛋白酶4抗体相关的更多优势产品:
兔抗FARSB多克隆抗体
英文名:Anti-FARSBrabbitpolyclonalantiboy
冷冻(-20℃)避光
兔抗SLIT2多克隆抗体
英文名:Anti-SLIT2rabbitpolyclonalantiboy
冷冻(-20℃)避光
兔抗RPL27A多克隆抗体
英文名:Anti-RPL27Arabbitpolyclonalantiboy
冷冻(-20℃)避光
CCDC80 卷曲螺旋结构域蛋白80抗体规格: 0.2ml
兔抗MRI1多克隆抗体
英文名:Anti-MRI1rabbitpolyclonalantiboy
冷冻(-20℃)避光
兔抗PSCA多克隆抗体
英文名:Anti-PSCArabbitpolyclonalantiboy
冷冻(-20℃)避光
兔抗ENTP7多克隆抗体
英文名:Anti-ENTP7rabbitpolyclonalantiboy
冷冻(-20℃)避光
膜内蛋白酶4抗体胶原蛋白酶消化试剂盒进口/国产规格:20毫升
软琼脂细胞克隆试剂盒进口/国产规格:10/20次
植物线粒体可溶性总蛋白制备试剂盒进口/国产规格:20次
RPMI 1640完全培养液(无抗生素)进口/国产规格:500毫升
冰冻切片TUNEL显色法(DAB)测定试剂盒进口/国产规格:10次
动物细胞β-半乳糖苷酶活性化学发光法定量检测试剂盒进口/国产规格:20次
细胞DNA损伤彗星荧光检测试剂盒进口/国产规格:20次
细胞内氧化应激活性氧(ROS)荧光测定试剂盒(单线态氧气)进口/国产规格:20次
膜内蛋白酶4抗体产品资料:
英文名称 膜内蛋白酶4抗体
中文名称 Anti-IMP4/SPPL2B
别 名 IMP4; Signal peptide peptidase-like 2B; Intramembrane protease 4; Protein SPP-like 2B; SPPL2B; SPP2B_HUMAN.
浓 度 1mg/1ml
规 格 0.2ml/200μg
抗体来源 Rabbit
克隆类型 polyclonal
交叉反应 Human, Mouse, Rat, Dog, Pig, Cow, Horse, Sheep
产品类型 一抗
研究领域 细胞生物 神经生物学 信号转导 细胞粘附分子 泛素 Alzheimer's
蛋白分子量 predicted molecular weight:
65kDa
性 状 Lyophilized or Liquid
免 疫 原 KLH conjugated synthetic peptide derived from human SPPL2B (55-135aa)
亚 型 IgG
纯化方法 affinity purified by Protein A
储 存 液 Preservative: 15mM Sodium Azide, Constituents: 1% BSA, 0.01M PBS, pH 7.4
产品应用 WB=1:100-500 ELISA=1:500-1000 IHC-P=1:100-500 IHC-F=1:100-500 ICC=1:100-500 IF=1:100-500
公司优势:
我司在生物科技领域已立足多年,虽然一路走来很艰难,但是也抗住了大风大浪,并且越来越壮大。专业实力方面,我们的科技人员是专业的,我们的营销人员是专业的,我们的服务是专业的,在实力方面,我们拥有一批爱好钻研的科技人才,攻坚克难就是我们的态度。
我司已经与多家单位建立了合作,包括高等院校、科研院所、医学院以及相关的企业等,合作伙伴多,客户的针对性强,主要服务于生命科学、医学等方面的科研人员以及研究员、学生等;
我司还与国际接轨,代理着许多知名进口品牌,以填补国内需求的空缺。
如需订购,敬请详询我们!
抗体、抗原之间的关系:
抗原是人体免疫系统中需要被清除的东西,诸如病毒、细菌、寄生虫、过敏原等等,而身体里的免疫细胞会主动产生一种专门与其“对抗”或者“结合”抗原的物质,这就是抗体。这种抗原-抗体反应是人体的一种保护机制,使人从疾病中恢复健康或不得病。
有时,抗原和抗体也会相结合,形成抗原-抗体免疫复合物,反而对人体不利,例如乙型溶血性链球菌感染所致的猩红热,在恢复期,由于链球菌与人的肾小球基底膜具有共同的抗原性,就会导致免疫系统产生抗肾小球基底膜抗体,并与肾细胞上的抗原发生结合,形成抗原-抗体免疫复合物,诱导免疫系统,激活补体,导致链球菌感染后的急性肾炎。
大多数情况下,抗原是外来的,抗体是机体免疫系统自产的。但有时,抗原抗体都是机体自产的。如自身免疫性疾病,免疫系统误把自身的细胞当成抗原产生抗体,用自产的抗体和自身的细胞打仗,导致人体的健康问题。有时,抗原是自产的,抗体却可以外来。例如肿瘤细胞就是自产的抗原,人类可以利用单克隆技术制成抗体用于肿瘤的治疗。
抗体和抗原之间的关系复杂,要探究这期间的奥秘,还有漫长的路要走。
与膜内蛋白酶4抗体相关的更多优势产品:
兔抗FARSB多克隆抗体
英文名:Anti-FARSBrabbitpolyclonalantiboy
冷冻(-20℃)避光
兔抗SLIT2多克隆抗体
英文名:Anti-SLIT2rabbitpolyclonalantiboy
冷冻(-20℃)避光
兔抗RPL27A多克隆抗体
英文名:Anti-RPL27Arabbitpolyclonalantiboy
冷冻(-20℃)避光
CCDC80 卷曲螺旋结构域蛋白80抗体规格: 0.2ml
兔抗MRI1多克隆抗体
英文名:Anti-MRI1rabbitpolyclonalantiboy
冷冻(-20℃)避光
兔抗PSCA多克隆抗体
英文名:Anti-PSCArabbitpolyclonalantiboy
冷冻(-20℃)避光
兔抗ENTP7多克隆抗体
英文名:Anti-ENTP7rabbitpolyclonalantiboy
冷冻(-20℃)避光
膜内蛋白酶4抗体胶原蛋白酶消化试剂盒进口/国产规格:20毫升
软琼脂细胞克隆试剂盒进口/国产规格:10/20次
植物线粒体可溶性总蛋白制备试剂盒进口/国产规格:20次
RPMI 1640完全培养液(无抗生素)进口/国产规格:500毫升
冰冻切片TUNEL显色法(DAB)测定试剂盒进口/国产规格:10次
动物细胞β-半乳糖苷酶活性化学发光法定量检测试剂盒进口/国产规格:20次
细胞DNA损伤彗星荧光检测试剂盒进口/国产规格:20次
细胞内氧化应激活性氧(ROS)荧光测定试剂盒(单线态氧气)进口/国产规格:20次
风险提示:丁香通仅作为第三方平台,为商家信息发布提供平台空间。用户咨询产品时请注意保护个人信息及财产安全,合理判断,谨慎选购商品,商家和用户对交易行为负责。对于医疗器械类产品,请先查证核实企业经营资质和医疗器械产品注册证情况。
技术资料暂无技术资料 索取技术资料
膜内蛋白酶4抗体
询价









