相关产品推荐更多 >
万千商家帮你免费找货
0 人在求购买到急需产品
- 详细信息
- 技术资料
- 供应商:
上海抚生
- 库存:
大量
- 靶点:
TLE5
- 克隆性:
多克隆
- 抗原来源:
Rabbit
- 抗体英文名:
Anti-TLE5/Amino-terminal enhancer of split
- 抗体名:
gp130结合蛋白GAM抗体
- 标记物:
HRP,AKP
- 宿主:
人,鼠,猴,鸡,狗,猪等
- 适应物种:
Human, Mouse, Rat, Chicken, Cow, Sheep
- 免疫原:
KLH conjugated synthetic peptide derived from human TLE5/Amino-terminal enhancer of split
- 亚型:
IgG
- 形态:
冻干或液体
- 应用范围:
WB,ELISA,ICC,IP等
- 浓度:
1mg/1ml
- 保存条件:
-20℃
- 规格:
0.2ml/200μg
gp130结合蛋白GAM抗体产品简介:
英文名称 Anti-TLE5/Amino-terminal enhancer of split
中文名称 gp130结合蛋白GAM抗体
别 名 Aes 1; Amino-terminal enhancer of split ; Aes 2; aes; AES_HUMAN; Aes1; Aes2; Amino Enhancer of Split; Amino terminal enhancer of split; Amino-terminal enhancer of split; Esp 1; Esp1; Gp130 associated protein GAM; Gp130-associated protein GAM; GRG 5; GRG; GRG protein; GRG5; Protein ESP 1; Protein ESP1; Protein GRG; TLE 5; TLE5.
浓 度 1mg/1ml
规 格 0.2ml/200μg
抗体来源 Rabbit
克隆类型 polyclonal
交叉反应 Human, Mouse, Rat, Chicken, Cow, Sheep
产品类型 一抗
研究领域 细胞生物 信号转导 干细胞 转录调节因子 表观遗传学
蛋白分子量 predicted molecular weight:22kDa
性 状 Lyophilized or Liquid
免 疫 原 KLH conjugated synthetic peptide derived from human TLE5/Amino-terminal enhancer of split
亚 型 IgG
纯化方法 affinity purified by Protein A
储 存 液 Preservative: 15mM Sodium Azide, Constituents: 1% BSA, 0.01M PBS, pH 7.4
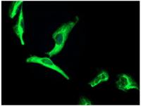
产品应用 WB=1:100-500 ELISA=1:500-1000 IHC-P=1:100-500 IHC-F=1:100-500 ICC=1:100-500 IF=1:100-500
公司优势:
支持。
gp130结合蛋白GAM抗体实验流程:
gp130结合蛋白GAM抗体相关产品:
现货供应 Angiotensin-(1-7) Mas 受体抗体(0.2 ml) Anti-Angiotensin-(1-7) Mas Receptor,请询价
现货供应 Angiotensin-(1-7) Mas 受体抗体(0.2 ml) Anti-Angiotensin-(1-7) Mas Receptor,请询价
现货供应 Angiotensin II 受体 Type-2 (胞外)抗体(50 ul) Anti-Angiotensin II Receptor Type-2 (extracellular),请询价
现货供应 Angiotensin II 受体 Type-2 (胞外)抗体(25 ul) Anti-Angiotensin II Receptor Type-2 (extracellular),请询价
现货供应 Angiotensin II 受体 Type-2 (胞外)抗体(0.2 ml) Anti-Angiotensin II Receptor Type-2 (extracellular),请询价
现货供应 Angiotensin II 受体 Type-1 (胞外)抗体(50 ul) Anti-Angiotensin II Receptor Type-1 (extracellular),请询价
现货供应 Angiotensin II 受体 Type-1 (胞外)抗体(25 ul) Anti-Angiotensin II Receptor Type-1 (extracellular),请询价
现货供应 Angiotensin II 受体 Type-1 (胞外)抗体(0.2 ml) Anti-Angiotensin II Receptor Type-1 (extracellular),请询价
现货供应 Amyloid Beta 1-17抗体(克隆号C4D10) Anti-Human Amyloid Beta 1-17 Antibody (Clone C4D10) (Amyloid beta A4 protein, ABPP, APPI, APP, Alzheimer disease amyloid protein, Cerebral vascular amyloid peptide (CVAP),请询价
gp130结合蛋白GAM抗体大鼠内脂素/内脏脂肪素(visfatin)ELISA试剂盒 进口/原装 英文名称: Rat visfatin ELISA Kit
大鼠尿激酶(UK)ELISA试剂盒 进口/原装 英文名称: Rat urokinase,UK ELISA Kit
大鼠尿激酶型纤溶酶原激活物(uPA)ELISA试剂盒 进口/原装 英文名称: Rat urokinase plasminogen activator,uPA ELISA Kit
大鼠尿激酶型纤溶酶原激活物受体(PLAUR/uPAR)ELISA试剂盒 进口/原装 英文名称: Rat Urokinase-type Plasminogen Activator Receptor,PLAUR/uPAR ELISA Kit
大鼠柠檬酸合酶(CS)ELISA试剂盒 进口/原装 英文名称: Rat Citrate synthase,CS ELISA Kit
大鼠凝聚素(CLU)ELISA试剂盒 进口/原装 英文名称: Rat Clusterin,CLU ELISA Kit
大鼠凝溶胶蛋白(Gelsolin)ELISA试剂盒 进口/原装 英文名称: Rat Gelsolin ELISA Kit
英文名称 Anti-TLE5/Amino-terminal enhancer of split
中文名称 gp130结合蛋白GAM抗体
别 名 Aes 1; Amino-terminal enhancer of split ; Aes 2; aes; AES_HUMAN; Aes1; Aes2; Amino Enhancer of Split; Amino terminal enhancer of split; Amino-terminal enhancer of split; Esp 1; Esp1; Gp130 associated protein GAM; Gp130-associated protein GAM; GRG 5; GRG; GRG protein; GRG5; Protein ESP 1; Protein ESP1; Protein GRG; TLE 5; TLE5.
浓 度 1mg/1ml
规 格 0.2ml/200μg
抗体来源 Rabbit
克隆类型 polyclonal
交叉反应 Human, Mouse, Rat, Chicken, Cow, Sheep
产品类型 一抗
研究领域 细胞生物 信号转导 干细胞 转录调节因子 表观遗传学
蛋白分子量 predicted molecular weight:22kDa
性 状 Lyophilized or Liquid
免 疫 原 KLH conjugated synthetic peptide derived from human TLE5/Amino-terminal enhancer of split
亚 型 IgG
纯化方法 affinity purified by Protein A
储 存 液 Preservative: 15mM Sodium Azide, Constituents: 1% BSA, 0.01M PBS, pH 7.4
产品应用 WB=1:100-500 ELISA=1:500-1000 IHC-P=1:100-500 IHC-F=1:100-500 ICC=1:100-500 IF=1:100-500
公司优势:
| 质量: | 我司提供的的细胞为世界知名品牌ATCC,皆经过严格的检验,保质保量。 |
| 价格: | 价格实惠,量大从优,产品价格随时会变动,实时报价还请来电获取。 |
| 供应: | gp130结合蛋白GAM抗体现货供应,周期短。 |
| 服务: | 提供完整的售前、售后和售中服务,如遇技术难题还可联系我司获取相应的技术支持。 |
gp130结合蛋白GAM抗体实验流程:
gp130结合蛋白GAM抗体相关产品:
现货供应 Angiotensin-(1-7) Mas 受体抗体(0.2 ml) Anti-Angiotensin-(1-7) Mas Receptor,请询价
现货供应 Angiotensin-(1-7) Mas 受体抗体(0.2 ml) Anti-Angiotensin-(1-7) Mas Receptor,请询价
现货供应 Angiotensin II 受体 Type-2 (胞外)抗体(50 ul) Anti-Angiotensin II Receptor Type-2 (extracellular),请询价
现货供应 Angiotensin II 受体 Type-2 (胞外)抗体(25 ul) Anti-Angiotensin II Receptor Type-2 (extracellular),请询价
现货供应 Angiotensin II 受体 Type-2 (胞外)抗体(0.2 ml) Anti-Angiotensin II Receptor Type-2 (extracellular),请询价
现货供应 Angiotensin II 受体 Type-1 (胞外)抗体(50 ul) Anti-Angiotensin II Receptor Type-1 (extracellular),请询价
现货供应 Angiotensin II 受体 Type-1 (胞外)抗体(25 ul) Anti-Angiotensin II Receptor Type-1 (extracellular),请询价
现货供应 Angiotensin II 受体 Type-1 (胞外)抗体(0.2 ml) Anti-Angiotensin II Receptor Type-1 (extracellular),请询价
现货供应 Amyloid Beta 1-17抗体(克隆号C4D10) Anti-Human Amyloid Beta 1-17 Antibody (Clone C4D10) (Amyloid beta A4 protein, ABPP, APPI, APP, Alzheimer disease amyloid protein, Cerebral vascular amyloid peptide (CVAP),请询价
gp130结合蛋白GAM抗体大鼠内脂素/内脏脂肪素(visfatin)ELISA试剂盒 进口/原装 英文名称: Rat visfatin ELISA Kit
大鼠尿激酶(UK)ELISA试剂盒 进口/原装 英文名称: Rat urokinase,UK ELISA Kit
大鼠尿激酶型纤溶酶原激活物(uPA)ELISA试剂盒 进口/原装 英文名称: Rat urokinase plasminogen activator,uPA ELISA Kit
大鼠尿激酶型纤溶酶原激活物受体(PLAUR/uPAR)ELISA试剂盒 进口/原装 英文名称: Rat Urokinase-type Plasminogen Activator Receptor,PLAUR/uPAR ELISA Kit
大鼠柠檬酸合酶(CS)ELISA试剂盒 进口/原装 英文名称: Rat Citrate synthase,CS ELISA Kit
大鼠凝聚素(CLU)ELISA试剂盒 进口/原装 英文名称: Rat Clusterin,CLU ELISA Kit
大鼠凝溶胶蛋白(Gelsolin)ELISA试剂盒 进口/原装 英文名称: Rat Gelsolin ELISA Kit
风险提示:丁香通仅作为第三方平台,为商家信息发布提供平台空间。用户咨询产品时请注意保护个人信息及财产安全,合理判断,谨慎选购商品,商家和用户对交易行为负责。对于医疗器械类产品,请先查证核实企业经营资质和医疗器械产品注册证情况。
技术资料暂无技术资料 索取技术资料
gp130结合蛋白GAM抗体
询价









