相关产品推荐更多 >
万千商家帮你免费找货
0 人在求购买到急需产品
- 详细信息
- 技术资料
- 供应商:
上海抚生
- 库存:
大量
- 靶点:
TMEM173
- 克隆性:
多克隆
- 抗原来源:
Rabbit
- 抗体英文名:
Anti-TMEM173
- 抗体名:
跨膜蛋白173抗体
- 标记物:
HRP,AKP
- 宿主:
人,鼠,猴,鸡,狗,猪等
- 适应物种:
Human, Mouse, Rat, Dog, Pig, Cow, Rabbit
- 免疫原:
KLH conjugated synthetic peptide derived from human TMEM173
- 亚型:
IgG
- 形态:
冻干或液体
- 应用范围:
WB,ELISA,ICC,IP等
- 浓度:
1mg/1ml
- 保存条件:
-20℃
- 规格:
0.2ml/200μg
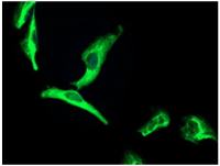
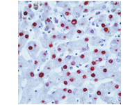
跨膜蛋白173抗体产品介绍:
英文名称 Anti-TMEM173
中文名称 跨膜蛋白173抗体
别 名 Endoplasmic reticulum interferon stimulator; ERIS; FLJ38577; hMITA; hSTING; Mediator of IRF3 activation; MITA; Mitochondrial mediator of IRF3 activation; MPYS; N terminal methionine proline tyrosine serine plasma membrane tetraspanner; Stimulator of interferon genes; Stimulator of interferon genes protein; STING; TM173_HUMAN; Tmem173; Transmembrane protein 173.
浓 度 1mg/1ml
规 格 0.2ml/200μg
抗体来源 Rabbit
克隆类型 polyclonal
交叉反应 Human, Mouse, Rat, Dog, Pig, Cow, Rabbit
产品类型 一抗
研究领域 肿瘤 细胞生物 免疫学 信号转导 转录调节因子 表观遗传学
蛋白分子量 predicted molecular weight:42kDa
性 状 Lyophilized or Liquid
免 疫 原 KLH conjugated synthetic peptide derived from human TMEM173
亚 型 IgG
纯化方法 affinity purified by Protein A
储 存 液 Preservative: 15mM Sodium Azide, Constituents: 1% BSA, 0.01M PBS, pH 7.4
产品应用 ELISA=1:500-1000 IP=1:20-100 IHC-P=1:100-500 IHC-F=1:100-500 IF=1:50-200
公司优势:
跨膜蛋白173抗体操作流程:
我们还提供:
特价促销SEL1L SEL1L抗体规格 0.1ml
特价促销SEK1/MKK4 丝裂原活化蛋白激酶激酶4抗体规格 0.2ml
特价促销SEI2/SERTAD2 调控周期蛋白依赖蛋白激酶SEI2抗体规格 0.2ml
特价促销Securin/PTTG 垂体肿瘤转化基因抗体规格 0.1ml
特价促销SECTM1 分泌和跨膜蛋白1抗体规格 0.2ml
特价促销Secretin receptor 分泌素受体抗体规格 0.2ml
特价促销Secretin 分泌素抗体规格 0.1ml
跨膜蛋白173抗体人磷酸甘油酸变位酶2(PGAM2)ELISA试剂盒 进口/原装 英文名称: Human phosphoglycerate mutase 2,PGAM2 ELISA Kit
人磷酸化蛋白激酶C(P-PKC)ELISA试剂盒 进口/原装 英文名称: Human phospho Protein Kinase C,P-PKC ELISA Kit
人磷酸化核因子κB抑制蛋白α(pIKBα)ELISA试剂盒 进口/原装 英文名称: human phospho-inhibitory subunit of NF-κBα,pIKBα ELISA Kit
人磷酸化细胞外信号调节激酶(pERK)ELISA试剂盒 进口/原装 英文名称: Human phospho-extracellular signal-regulated kinase,pERK ELISA Kit
人磷酸化腺苷酸活化蛋白激酶(AMPK)ELISA试剂盒 进口/原装 英文名称: Human Phosphorylated adenosine monophosphate activated protein kinase,AMPK ELISA Kit
人磷酸化乙酰辅酶A(PaCoA)ELISA试剂盒 进口/原装 英文名称: Human Phosphorylated acetyl CoA,PaCoA ELISA Kit
人磷酸肌醇3激酶(PI3K)ELISA试剂盒 进口/原装 英文名称: Human Phosphotylinosital 3 kinase,PI3K ELISA Kit
英文名称 Anti-TMEM173
中文名称 跨膜蛋白173抗体
别 名 Endoplasmic reticulum interferon stimulator; ERIS; FLJ38577; hMITA; hSTING; Mediator of IRF3 activation; MITA; Mitochondrial mediator of IRF3 activation; MPYS; N terminal methionine proline tyrosine serine plasma membrane tetraspanner; Stimulator of interferon genes; Stimulator of interferon genes protein; STING; TM173_HUMAN; Tmem173; Transmembrane protein 173.
浓 度 1mg/1ml
规 格 0.2ml/200μg
抗体来源 Rabbit
克隆类型 polyclonal
交叉反应 Human, Mouse, Rat, Dog, Pig, Cow, Rabbit
产品类型 一抗
研究领域 肿瘤 细胞生物 免疫学 信号转导 转录调节因子 表观遗传学
蛋白分子量 predicted molecular weight:42kDa
性 状 Lyophilized or Liquid
免 疫 原 KLH conjugated synthetic peptide derived from human TMEM173
亚 型 IgG
纯化方法 affinity purified by Protein A
储 存 液 Preservative: 15mM Sodium Azide, Constituents: 1% BSA, 0.01M PBS, pH 7.4
产品应用 ELISA=1:500-1000 IP=1:20-100 IHC-P=1:100-500 IHC-F=1:100-500 IF=1:50-200
公司优势:
| 1)公司主营生物试剂,皆为科研前沿产品,产品针对性强,主要面向各大高校科研基地、科研机构以及研发性企业的客户。 2)公司拥有资深的专业背景,不仅能与国际接轨,还具备自身的研发实力。我司以一批优秀的专业技术人才,为您提供周到的技术服务和支持。 3)公司提供的细胞为美国保藏中心ATCC的细胞,为世界知名品牌。 4)跨膜蛋白173抗体现货供应,供货周期短,能满足客户的急需,欢迎来电咨询。 |
跨膜蛋白173抗体操作流程:
我们还提供:
特价促销SEL1L SEL1L抗体规格 0.1ml
特价促销SEK1/MKK4 丝裂原活化蛋白激酶激酶4抗体规格 0.2ml
特价促销SEI2/SERTAD2 调控周期蛋白依赖蛋白激酶SEI2抗体规格 0.2ml
特价促销Securin/PTTG 垂体肿瘤转化基因抗体规格 0.1ml
特价促销SECTM1 分泌和跨膜蛋白1抗体规格 0.2ml
特价促销Secretin receptor 分泌素受体抗体规格 0.2ml
特价促销Secretin 分泌素抗体规格 0.1ml
跨膜蛋白173抗体人磷酸甘油酸变位酶2(PGAM2)ELISA试剂盒 进口/原装 英文名称: Human phosphoglycerate mutase 2,PGAM2 ELISA Kit
人磷酸化蛋白激酶C(P-PKC)ELISA试剂盒 进口/原装 英文名称: Human phospho Protein Kinase C,P-PKC ELISA Kit
人磷酸化核因子κB抑制蛋白α(pIKBα)ELISA试剂盒 进口/原装 英文名称: human phospho-inhibitory subunit of NF-κBα,pIKBα ELISA Kit
人磷酸化细胞外信号调节激酶(pERK)ELISA试剂盒 进口/原装 英文名称: Human phospho-extracellular signal-regulated kinase,pERK ELISA Kit
人磷酸化腺苷酸活化蛋白激酶(AMPK)ELISA试剂盒 进口/原装 英文名称: Human Phosphorylated adenosine monophosphate activated protein kinase,AMPK ELISA Kit
人磷酸化乙酰辅酶A(PaCoA)ELISA试剂盒 进口/原装 英文名称: Human Phosphorylated acetyl CoA,PaCoA ELISA Kit
人磷酸肌醇3激酶(PI3K)ELISA试剂盒 进口/原装 英文名称: Human Phosphotylinosital 3 kinase,PI3K ELISA Kit
风险提示:丁香通仅作为第三方平台,为商家信息发布提供平台空间。用户咨询产品时请注意保护个人信息及财产安全,合理判断,谨慎选购商品,商家和用户对交易行为负责。对于医疗器械类产品,请先查证核实企业经营资质和医疗器械产品注册证情况。
技术资料暂无技术资料 索取技术资料
跨膜蛋白173抗体
询价









