相关产品推荐更多 >
万千商家帮你免费找货
0 人在求购买到急需产品
- 详细信息
- 文献和实验
- 技术资料
- 供应商:
上海联迈生物工程有限公司
- 库存:
大量
- 目录编号:
LM-5118R
- 克隆性:
多克隆
- 抗原来源:
Rabbit
- 保质期:
1年
- 抗体英文名:
TUBA1C
- 抗体名:
微管相关蛋白α6抗体
- 宿主:
Rabbit
- 适应物种:
Human, Mouse, Rat, Dog, Pig, Cow, Horse, Rabbit,
- 免疫原:
KLH conjugated synthetic peptide derived from human Tubulin alpha 6:51-150/449
- 亚型:
IgG
- 形态:
Lyophilized or Liquid
- 应用范围:
WB=1:500-2000 ELISA=1:500-1000 IHC-P=1:400-800 IHC-F=1:400-800 Flow-Cyt=1μg/Test IF=1:100-500 (石蜡切片需做抗原修复)
- 浓度:
1mg/ml
- 保存条件:
Store at -20 °C
- 规格:
100ul 200ul
| 英文名称 | TUBA1C |
| 中文名称 | 微管相关蛋白α6抗体 |
| 别 名 | Alpha tubulin 6; Alpha tubulin isotype M alpha 6; bcm948; M[a]6; TUBA1C; Tubulin alpha 1C chain; Tubulin alpha-1C chain; tubulin alpha 6; Tubulin alpha 6 chain; tubulin, alpha 1c; TBA1C_HUMAN; Alpha-tubulin 6; Tubulin alpha-6 chain. |
| 规格价格 | 100ul/1380元 购买 200ul/2200元 购买 大包装/询价 |
| 说 明 书 | 100ul 200ul |
| 研究领域 | 肿瘤 细胞生物 免疫学 转录调节因子 |
| 抗体来源 | Rabbit |
| 克隆类型 | Polyclonal |
| 交叉反应 | Human, Mouse, Rat, Dog, Pig, Cow, Horse, Rabbit, |
| 产品应用 | WB=1:500-2000 ELISA=1:500-1000 IHC-P=1:400-800 IHC-F=1:400-800 Flow-Cyt=1μg/Test IF=1:100-500 (石蜡切片需做抗原修复) not yet tested in other applications. optimal dilutions/concentrations should be determined by the end user. |
| 分 子 量 | 49kDa |
| 细胞定位 | 细胞浆 |
| 性 状 | Lyophilized or Liquid |
| 浓 度 | 1mg/ml |
| 免 疫 原 | KLH conjugated synthetic peptide derived from human Tubulin alpha 6:51-150/449 |
| 亚 型 | IgG |
| 纯化方法 | affinity purified by Protein A |
| 储 存 液 | 0.01M TBS(pH7.4) with 1% BSA, 0.03% Proclin300 and 50% Glycerol. |
| 保存条件 | Store at -20 °C for one year. Avoid repeated freeze/thaw cycles. The lyophilized antibody is stable at room temperature for at least one month and for greater than a year when kept at -20°C. When reconstituted in sterile pH 7.4 0.01M PBS or diluent of antibody the antibody is stable for at least two weeks at 2-4 °C. |
| PubMed | PubMed |
| 产品介绍 | background: Tubulin is the major constituent of microtubules. It binds two moles of GTP, one at an exchangeable site on the beta chain and one at a non-exchangeable site on the alpha chain. Function: Tubulin is the major constituent of microtubules. It binds two moles of GTP, one at an exchangeable site on the beta chain and one at a non-exchangeable site on the alpha chain. Subunit: Dimer of alpha and beta chains. Subcellular Location: Cytoplasm, cytoskeleton. Post-translational modifications: Undergoes a tyrosination/detyrosination cycle, the cyclic removal and re-addition of a C-terminal tyrosine residue by the enzymes tubulin tyrosine carboxypeptidase (TTCP) and tubulin tyrosine ligase (TTL), respectively. Some glutamate residues at the C-terminus are polyglutamylated. This modification occurs exclusively on glutamate residues and results in polyglutamate chains on the gamma-carboxyl group. Also monoglycylated but not polyglycylated due to the absence of functional TTLL10 in human. Monoglycylation is mainly limited to tubulin incorporated into axonemes (cilia and flagella) whereas glutamylation is prevalent in neuronal cells, centrioles, axonemes, and the mitotic spindle. Both modifications can coexist on the same protein on adjacent residues, and lowering glycylation levels increases polyglutamylation, and reciprocally. The precise function of such modifications is still unclear but they regulate the assembly and dynamics of axonemal microtubules (Probable). Acetylation of alpha chains at Lys-40 stabilizes microtubules and affects affinity and processivity of microtubule motors. This modification has a role in multiple cellular functions, ranging from cell motility, cell cycle progression or cell differentiation to intracellular trafficking and signaling. Similarity: Belongs to the tubulin family. SWISS: Q9BQE3 Gene ID: 84790 Database links: Entrez Gene: 84790 Human Entrez Gene: 504244 Cow Entrez Gene: 22146 Mouse Entrez Gene: 300218 Rat SwissProt: Q3ZCJ7 Cow SwissProt: Q9BQE3 Human SwissProt: P68373 Mouse SwissProt: Q6AYZ1 Rat Unigene: 725987 Human Unigene: 88212 Mouse Unigene: 154526 Rat Important Note: This product as supplied is intended for research use only, not for use in human, therapeutic or diagnostic applications. |
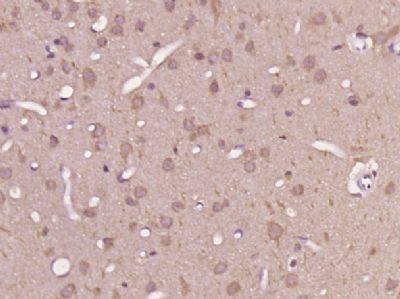
| 产品图片 | ![]() Sample: Cerebrum (Mouse) Lysate at 40 ug Primary: Anti-TUBA1C (bs-5118R) at 1/1000 dilution Secondary: IRDye800CW Goat Anti-Rabbit IgG at 1/20000 dilution Predicted band size: 49 kD Observed band size: 49 kD ![]() Sample: A549 Cell (Human) Lysate at 30 ug Primary: Anti- TUBA1C (bs-5118R)at 1/300 dilution Secondary: IRDye800CW Goat Anti-Rabbit IgG at 1/20000 dilution Predicted band size: 49kD Observed band size: 49kD ![]() Sample: K562(Human) Cell Lysate at 40 ug Hela(Human) Cell Lysate at 40 ug Primary: Anti-TUBA1C (bs-5118R) at 1/300 dilution Secondary: IRDye800CW Goat Anti-Rabbit IgG at 1/20000 dilution Predicted band size: 49 kD Observed band size: 49 kD ![]() Paraformaldehyde-fixed, paraffin embedded (rat brain tissue); Antigen retrieval by boiling in sodium citrate buffer (pH6.0) for 15min; Block endogenous peroxidase by 3% hydrogen peroxide for 20 minutes; Blocking buffer (normal goat serum) at 37°C for 30min; Antibody incubation with (TUBA1C) Polyclonal Antibody, Unconjugated (bs-5118R) at 1:400 overnight at 4°C, followed by operating according to SP Kit(Rabbit) (sp-0023) instructionsand DAB staining. ![]() Blank control(blue): RSC96 (fixed with 2% paraformaldehyde (10 min),then permeabilized with 90% ice-cold methanol for 30 min on ice). Primary Antibody:Rabbit Anti- TUBA1C antibody(bs-5118R), Dilution: 1μg in 100 μL 1X PBS containing 0.5% BSA; Isotype Control Antibody: Rabbit IgG(orange) ,used under the same conditions ); Secondary Antibody: Goat anti-rabbit IgG-PE(white blue), Dilution: 1:200 in 1 X PBS containing 0.5% BSA. |
风险提示:丁香通仅作为第三方平台,为商家信息发布提供平台空间。用户咨询产品时请注意保护个人信息及财产安全,合理判断,谨慎选购商品,商家和用户对交易行为负责。对于医疗器械类产品,请先查证核实企业经营资质和医疗器械产品注册证情况。
文献和实验三句话读懂一篇 CNS:爱的抱抱助力养成「社交牛逼症」?女性肥胖或因爷爷吸烟太早……
availability in bone marrow。 该工作通过分析造血干细胞在稳态以及骨髓再生过程中的表型与功能,揭示了肠道菌群、巨噬细胞和铁元素可获得性之间的相互关联,以及这个全新通路在造血干细胞命运决定中的重要作用! 图 7:来源 Cell Stem Cell 8. Science:微管相关蛋白 MAP7 调控驱动蛋白-1 的结构和功能机制 微管相关蛋白与细胞内转运交流过程紧密相关。 2022 年 1 月 21 日,美国加州大学伯克利分校的 Ahmet Yildiz 和 Eva Nogales
的表达量就很少,此时 β-Actin 就不再适用于这些样本的内参。 【Tubulin】微管蛋白,是细胞的一种骨架蛋白。Tubulin 分为 α、β、γ、δ、ε等多种 tubulin,其中 α-Tubulin 和 β-Tubulin 可以形成异源二聚体,是形成微管的最主要的两种 Tubulin。α-tubulin 和β-tubulin 分子量分别为 55kDa 和 50kDa,其实际检测条带均在 55kDa 左右。作为内参,β-tubulin 的蛋白水平通常不会发生改变,因此被广泛用于 WB 时上样
1-40 和 Aβ1-42 是 Aβ 蛋白的两种最重要的亚型,Aβ1-40 的含量最为丰富。Aβ1-42 倾向于聚集并产生更明显的神经毒性,是第一个显示明显异常的生物标志物。Aβ 单体的聚集可以产生不同类型和大小的聚集体,其中可溶性 Aβ 低聚物的神经毒性更大。 2、Tau 蛋白 Tau 蛋白是一种微管相关蛋白,分子量 50‒75 kDa,主要位于神经元轴突中,是维持骨骼神经元系统稳定性所需的重要分子。正常情况下,其与微管蛋白结合,促进微管的聚合和稳定。然而,在 AD 患者体内,Tau 的过度磷酸
技术资料暂无技术资料 索取技术资料















