相关产品推荐更多 >
万千商家帮你免费找货
0 人在求购买到急需产品
- 详细信息
- 文献和实验
- 技术资料
- 供应商:
上海联迈生物工程有限公司
- 库存:
大量
- 目录编号:
LM-4285R
- 克隆性:
多克隆
- 抗原来源:
Rabbit
- 保质期:
1年
- 抗体英文名:
TPX2
- 抗体名:
微管相关同源蛋白TPX2抗体
- 宿主:
Rabbit
- 适应物种:
Human, Mouse, Rat, Dog, Pig, Cow, Horse, Rabbit,
- 免疫原:
KLH conjugated synthetic peptide derived from human TPX2:551-650/747
- 亚型:
IgG
- 形态:
Lyophilized or Liquid
- 应用范围:
WB=1:500-2000 ELISA=1:500-1000 IHC-P=1:400-800 IHC-F=1:400-800 IF=1:100-500 (石蜡切片需做抗原修复)
- 浓度:
1mg/ml
- 保存条件:
Store at -20 °C
- 规格:
100ul 200ul
| 英文名称 | TPX2 |
| 中文名称 | 微管相关同源蛋白TPX2抗体 |
| 别 名 | C20ORF1; C20orf2; Chromosome 20 Open Reading Frame 1; Differentially expressed in cancerous and non-cancerous lung cells 2; Differentially expressed in cancerous and noncancerous lung cells 2; Differentially expressed in lung cells 2; Differentially expressed in lung cells; DIL 2; DIL-2; DIL2; FLS353; GD:C20orf1; HCA 519; HCA519; HCTP 4; HCTP4; Hepatocellular carcinoma associated antigen 519; Hepatocellular carcinoma-associated antigen 519; p100; Preferentially expressed in colorectal cancer; Protein FLS353; REPP 86; repp86; Restricted expression proliferation associated protein 100; Restricted expression proliferation-associated protein 100; Targeting protein for XKLP2; TPX 2; TPX2; TPX2 microtubule associated homolog; TPX2 microtubule associated protein homolog; TPX2_HUMAN. |
| 规格价格 | 100ul/1380元 购买 200ul/2200元 购买 大包装/询价 |
| 说 明 书 | 100ul 200ul |
| 研究领域 | 肿瘤 细胞生物 免疫学 染色质和核信号 细胞周期蛋白 表观遗传学 |
| 抗体来源 | Rabbit |
| 克隆类型 | Polyclonal |
| 交叉反应 | Human, Mouse, Rat, Dog, Pig, Cow, Horse, Rabbit, |
| 产品应用 | WB=1:500-2000 ELISA=1:500-1000 IHC-P=1:400-800 IHC-F=1:400-800 IF=1:100-500 (石蜡切片需做抗原修复) not yet tested in other applications. optimal dilutions/concentrations should be determined by the end user. |
| 分 子 量 | 86kDa |
| 细胞定位 | 细胞核 细胞浆 |
| 性 状 | Lyophilized or Liquid |
| 浓 度 | 1mg/ml |
| 免 疫 原 | KLH conjugated synthetic peptide derived from human TPX2:551-650/747 |
| 亚 型 | IgG |
| 纯化方法 | affinity purified by Protein A |
| 储 存 液 | 0.01M TBS(pH7.4) with 1% BSA, 0.03% Proclin300 and 50% Glycerol. |
| 保存条件 | Store at -20 °C for one year. Avoid repeated freeze/thaw cycles. The lyophilized antibody is stable at room temperature for at least one month and for greater than a year when kept at -20°C. When reconstituted in sterile pH 7.4 0.01M PBS or diluent of antibody the antibody is stable for at least two weeks at 2-4 °C. |
| PubMed | PubMed |
| 产品介绍 | background: TPX2 is essential for spindle pole and mitotic spindle formulation, playing a role in the S and G2 phases of mitosis. It is also critical for the function of protein kinase Aurora A. TPX2 autophosphorylates Aurora A, targeting it to the spindle apparatus and allowing it to function in eukaryotic meiotic and mitotic cell cycles. TPX2 has also been found to be highly expressed in cancer cells. Function: Spindle assembly factor. Required for normal assembly of mitotic spindles. Required for normal assembly of microtubules during apoptosis. Required for chromatin and/or kinetochore dependent microtubule nucleation. Mediates AURKA localization to spindle microtubules. Activates AURKA by promoting its autophosphorylation at 'Thr-288' and protects this residue against dephosphorylation. Subunit: Interacts with AURKA. Subcellular Location: Nucleus. Cytoplasm, cytoskeleton, spindle. Cytoplasm, cytoskeleton, spindle pole. Note=During mitosis it is strictly associated with the spindle pole and with the mitotic spindle, whereas during S and G2, it is diffusely distributed throughout the nucleus. Is released from the nucleus in apoptotic cells and is detected on apoptotic microtubules. Tissue Specificity: Expressed in lung carcinoma cell lines but not in normal lung tissues. Similarity: Belongs to the TPX2 family. SWISS: Q9ULW0 Gene ID: 22974 Database links: Entrez Gene: 22974 Human Entrez Gene: 72119 Mouse Entrez Gene: 311546 Rat Omim: 605917 Human SwissProt: Q9ULW0 Human SwissProt: A2APB8 Mouse Unigene: 244580 Human Unigene: 407737 Mouse Unigene: 161631 Rat Important Note: This product as supplied is intended for research use only, not for use in human, therapeutic or diagnostic applications. |
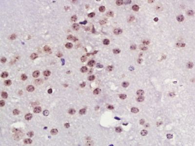
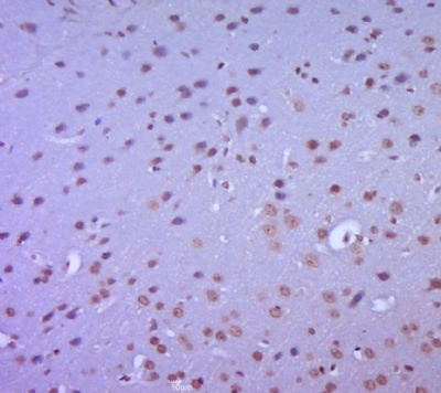
| 产品图片 | ![]() Paraformaldehyde-fixed, paraffin embedded (Mouse brain); Antigen retrieval by boiling in sodium citrate buffer (pH6.0) for 15min; Block endogenous peroxidase by 3% hydrogen peroxide for 20 minutes; Blocking buffer (normal goat serum) at 37°C for 30min; Antibody incubation with (TPX2) Polyclonal Antibody, Unconjugated (bs-4285R) at 1:400 overnight at 4°C, followed by a conjugated secondary antibody (sp-0023) for 20 minutes and DAB staining. ![]() Paraformaldehyde-fixed, paraffin embedded (mouse brain tissue); Antigen retrieval by boiling in sodium citrate buffer (pH6.0) for 15min; Block endogenous peroxidase by 3% hydrogen peroxide for 20 minutes; Blocking buffer (normal goat serum) at 37°C for 30min; Antibody incubation with (TPX2) Polyclonal Antibody, Unconjugated (bs-4285R) at 1:400 overnight at 4°C, followed by a conjugated secondary (sp-0023) for 20 minutes and DAB staining. |
风险提示:丁香通仅作为第三方平台,为商家信息发布提供平台空间。用户咨询产品时请注意保护个人信息及财产安全,合理判断,谨慎选购商品,商家和用户对交易行为负责。对于医疗器械类产品,请先查证核实企业经营资质和医疗器械产品注册证情况。
文献和实验察到组装正常的微管网络(图 3A),而转染突变型 TUBB8,不论是正常还是高水平表达,组装出的微管均呈现出不正常表型,并且会导致微管网络的整体缺失。 这种缺失表型与预测的可能干扰异二聚体稳定性,β-微管蛋白折叠,或者聚合作用的突变(V229A、S176L、M363T、R2K 和 M300I)显着相关。微管组织结构变异表型则由干扰驱动蛋白结合相关的突变(R26Q2 和 D417N)引起(图 3B)。 图 3 HeLa 细胞系中 TUBB8 突变对微管
1-40 和 Aβ1-42 是 Aβ 蛋白的两种最重要的亚型,Aβ1-40 的含量最为丰富。Aβ1-42 倾向于聚集并产生更明显的神经毒性,是第一个显示明显异常的生物标志物。Aβ 单体的聚集可以产生不同类型和大小的聚集体,其中可溶性 Aβ 低聚物的神经毒性更大。 2、Tau 蛋白 Tau 蛋白是一种微管相关蛋白,分子量 50‒75 kDa,主要位于神经元轴突中,是维持骨骼神经元系统稳定性所需的重要分子。正常情况下,其与微管蛋白结合,促进微管的聚合和稳定。然而,在 AD 患者体内,Tau 的过度磷酸
这种缺失表型与预测的可能干扰异二聚体稳定性,β-微管蛋白折叠,或者聚合作用的突变(V229A、S176L、M363T、R2K 和 M300I)显着相关。微管组织结构变异表型则由干扰驱动蛋白结合相关的突变(R26Q2 和 D417N)引起(图 3B)。 图 3 HeLa 细胞系中 TUBB8 突变对微管组织产生影响 细胞系中转染野生型及突变型 TUBB8,然后进行免疫
技术资料暂无技术资料 索取技术资料












