相关产品推荐更多 >
万千商家帮你免费找货
0 人在求购买到急需产品
- 详细信息
- 询价记录
- 文献和实验
- 技术资料
- 供应商:
上海联迈生物工程有限公司
- 库存:
大量
- 目录编号:
LM-4181R
- 克隆性:
多克隆
- 抗原来源:
Rabbit
- 保质期:
1年
- 抗体英文名:
p53R2
- 抗体名:
核苷酸还原酶M2B抗体
- 宿主:
Rabbit
- 适应物种:
Human, Mouse, Rat, Pig, Cow, Rabbit,
- 免疫原:
KLH conjugated synthetic peptide derived from human p53R2/RRM2B:131-230/351
- 亚型:
IgG
- 形态:
Lyophilized or Liquid
- 应用范围:
WB=1:500-2000 ELISA=1:500-1000 IHC-P=1:400-800 IHC-F=1:400-800 IF=1:100-500 (石蜡切片需做抗原修复)
- 浓度:
1mg/ml
- 保存条件:
Store at -20 °C
- 规格:
50ul 100ul 200ul
| 英文名称 | p53R2 |
| 中文名称 | 核苷酸还原酶M2B抗体 |
| 别 名 | DKFZp686M05248; MGC102856; MGC42116; MTDPS8A; MTDPS8B; p53 inducible ribonucleotide reductase small subunit 2 homolog; p53 inducible ribonucleotide reductase small subunit 2 like protein; p53 R2; p53-inducible ribonucleotide reductase small subunit 2-like protein; p53R2; Ribonucleoside diphosphate reductase M2 subunit B; Ribonucleoside-diphosphate reductase subunit M2 B; Ribonucleotide reductase M2 B (TP53 inducible); Ribonucleotide reductase M2 B; Ribonucleotide reductase small subunit like 2 p53 inducible; RIR2B_HUMAN; RRM 2B; RRM2B; TP53 inducible ribonucleotide reductase M2 B; TP53-inducible ribonucleotide reductase M2 B. |
| 规格价格 | 50ul/780元 购买 100ul/1380元 购买 200ul/2200元 购买 大包装/询价 |
| 说 明 书 | 50ul 100ul 200ul |
| 研究领域 | 肿瘤 免疫学 染色质和核信号 信号转导 新陈代谢 表观遗传学 |
| 抗体来源 | Rabbit |
| 克隆类型 | Polyclonal |
| 交叉反应 | Human, Mouse, Rat, Pig, Cow, Rabbit, |
| 产品应用 | WB=1:500-2000 ELISA=1:500-1000 IHC-P=1:400-800 IHC-F=1:400-800 IF=1:100-500 (石蜡切片需做抗原修复) not yet tested in other applications. optimal dilutions/concentrations should be determined by the end user. |
| 分 子 量 | 41kDa |
| 细胞定位 | 细胞核 细胞浆 |
| 性 状 | Lyophilized or Liquid |
| 浓 度 | 1mg/ml |
| 免 疫 原 | KLH conjugated synthetic peptide derived from human p53R2/RRM2B:131-230/351 |
| 亚 型 | IgG |
| 纯化方法 | affinity purified by Protein A |
| 储 存 液 | 0.01M TBS(pH7.4) with 1% BSA, 0.03% Proclin300 and 50% Glycerol. |
| 保存条件 | Store at -20 °C for one year. Avoid repeated freeze/thaw cycles. The lyophilized antibody is stable at room temperature for at least one month and for greater than a year when kept at -20°C. When reconstituted in sterile pH 7.4 0.01M PBS or diluent of antibody the antibody is stable for at least two weeks at 2-4 °C. |
| PubMed | PubMed |
| 产品介绍 | background: This gene encodes the small subunit of a p53-inducible ribonucleotide reductase. This heterotetrameric enzyme catalyzes the conversion of ribonucleoside diphosphates to deoxyribonucleoside diphosphates. The product of this reaction is necessary for DNA synthesis. Mutations in this gene have been associated with autosomal recessive mitochondrial DNA depletion syndrome, autosomal dominant progressive external ophthalmoplegia-5, and mitochondrial neurogastrointestinal encephalopathy. Alternatively spliced transcript variants have been described.[provided by RefSeq, Feb 2010]. Function: Plays a pivotal role in cell survival by repairing damaged DNA in a p53/TP53-dependent manner. Supplies deoxyribonucleotides for DNA repair in cells arrested at G1 or G2. Contains an iron-tyrosyl free radical center required for catalysis. Forms an active ribonucleotide reductase (RNR) complex with RRM1 which is expressed both in resting and proliferating cells in response to DNA damage. Subunit: Heterotetramer with large (RRM1) subunit. Interacts with p53/TP53. Interacts with RRM1 in response to DNA damage. Subcellular Location: Cytoplasm. Nucleus. Translocates from cytoplasm to nucleus in response to DNA damage. Tissue Specificity: Widely expressed at a high level in skeletal muscle and at a weak level in thymus. Expressed in epithelial dysplasias and squamous cell carcinoma. DISEASE: Mitochondrial DNA depletion syndrome 8A (MTDPS8A) [MIM:612075]: A disorder due to mitochondrial dysfunction characterized by various combinations of neonatal hypotonia, neurological deterioration, respiratory distress, lactic acidosis, and renal tubulopathy. Note=The disease is caused by mutations affecting the gene represented in this entry. Mitochondrial DNA depletion syndrome 8B (MTDPS8B) [MIM:612075]: A disease due to mitochondrial dysfunction and characterized by ophthalmoplegia, ptosis, gastrointestinal dysmotility, cachexia, peripheral neuropathy. Note=The disease is caused by mutations affecting the gene represented in this entry. Progressive external ophthalmoplegia with mitochondrial DNA deletions autosomal dominant 5 (PEOA5) [MIM:613077]: A disorder characterized by progressive weakness of ocular muscles and levator muscle of the upper eyelid. In a minority of cases, it is associated with skeletal myopathy, which predominantly involves axial or proximal muscles and which causes abnormal fatigability and even permanent muscle weakness. Ragged-red fibers and atrophy are found on muscle biopsy. A large proportion of chronic ophthalmoplegias are associated with other symptoms, leading to a multisystemic pattern of this disease. Additional symptoms are variable, and may include cataracts, hearing loss, sensory axonal neuropathy, ataxia, depression, hypogonadism, and parkinsonism. Note=The disease is caused by mutations affecting the gene represented in this entry. Similarity: Belongs to the ribonucleoside diphosphate reductase small chain family. SWISS: Q7LG56 Gene ID: 50484 Database links: Entrez Gene: 50484 Human Entrez Gene: 382985 Mouse Entrez Gene: 299976 Rat Omim: 604712 Human SwissProt: Q7LG56 Human SwissProt: Q6PEE3 Mouse Unigene: 512592 Human Unigene: 24738 Mouse Important Note: This product as supplied is intended for research use only, not for use in human, therapeutic or diagnostic applications. |
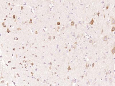
| 产品图片 | ![]() Paraformaldehyde-fixed, paraffin embedded (Rat brain); Antigen retrieval by boiling in sodium citrate buffer (pH6.0) for 15min; Block endogenous peroxidase by 3% hydrogen peroxide for 20 minutes; Blocking buffer (normal goat serum) at 37°C for 30min; Antibody incubation with (p53R2) Polyclonal Antibody, Unconjugated (bs-4181R) at 1:500 overnight at 4°C, followed by a conjugated secondary (sp-0023) for 20 minutes and DAB staining. |
风险提示:丁香通仅作为第三方平台,为商家信息发布提供平台空间。用户咨询产品时请注意保护个人信息及财产安全,合理判断,谨慎选购商品,商家和用户对交易行为负责。对于医疗器械类产品,请先查证核实企业经营资质和医疗器械产品注册证情况。
- 作者
- 内容
- 询问日期
文献和实验差异表现最为明显,不同种属的P450同工酶的组成不同,因此药物在不同种属的动物和人体内的代谢产物可能是不同的。 1.3 药物的Ⅰ相代谢 药物在Ⅰ相代谢反应中主要发生氧化、还原和水解的反应,经过Ⅰ相代谢反应,药物可能带有一些极性基团,如羟基、羧基等。 氧化反应是最多见的第Ⅰ相反应,单加氧酶系是氧化异源物最重要的酶,单加氧酶主要存在于滑面内质网的微粒体中,能催化烷烃、烯烃、芳烃和类固醇等多种物质进行氧化。由细胞色素P450、NADPH+H+、NADPH-细胞色素P450还原酶(以FAD为辅基的黄酶
化学和生物化学测定法要高,因而在细胞凋亡的研究中已被广泛采用。 过氧化物酶标记测定法 原理:脱氧核糖核苷酸衍生物地高辛[(digoxigenin)-11-dUTP]在TdT酶的作用下,可以掺入到凋亡细胞双链或单链DNA的3-OH末端,与dATP形成异多聚体,并可与连接了报告酶(过氧化物酶或碱性磷酸酶)的抗地高辛抗体结合。在适合底物存在下,过氧化物酶可产生很强的颜色反应,特异准确的定位出正在凋亡的细胞,因而可在普通光学显微镜下进行观察毛地黄植物是地高辛的唯一来源。在所有动物组织中几乎不存在能与抗地高
编码70个各异的蛋白质.在HSV-1的72个编码基因中,约半数的基因转录时阅读方向是从左至右的(右向),但有37个基因的阅读方向是从右至左的(左向).在所有基因3'末端的上游,均有多聚腺苷化序列AATAA或ATTAA作为转录的起始. (二)引物设计部位与序列及其意义 1.引物设计部位及意义 人类5种主要的疱疹病毒基因组的全序列测定即将完成,目前的研究资料显示HSV-1和HSV-2在核苷酸水平上有50%的同源性.HSV与EBV在DNA多聚酶,核糖核酸还原酶A、B单位以及糖蛋白B
技术资料暂无技术资料 索取技术资料











