相关产品推荐更多 >
万千商家帮你免费找货
0 人在求购买到急需产品
- 详细信息
- 文献和实验
- 技术资料
- 供应商:
上海联迈生物工程有限公司
- 库存:
大量
- 目录编号:
LM-41044R
- 克隆性:
多克隆
- 抗原来源:
Rabbit
- 保质期:
1年
- 抗体英文名:
CRF
- 抗体名:
促肾上腺皮质激素释放因子/促肾上皮质激素释放激素抗体
- 宿主:
Rabbit
- 适应物种:
Human, Mouse, Rat, Dog, Pig, Rabbit, Guinea Pig,
- 免疫原:
KLH conjugated synthetic peptide derived from human CRF:154-194/194
- 亚型:
IgG
- 形态:
Lyophilized or Liquid
- 应用范围:
ELISA=1:500-1000 IHC-P=1:400-800 IHC-F=1:400-800 IF=1:100-500 (石蜡切片需做抗原修复)
- 浓度:
1mg/ml
- 保存条件:
Store at -20 °C
- 规格:
100ul 200ul
| 英文名称 | CRF |
| 中文名称 | 促肾上腺皮质激素释放因子/促肾上皮质激素释放激素抗体 |
| 别 名 | Corticoliberin; Corticoliberin precursor; Corticotropin releasing factor; Corticotropin releasing hormone; Corticotropin releasing hormone deficiency included; crf; crh; crh deficiency included; corticoliberin preproprotein; CRF_HUMAN; Corticotropin-releasing factor; CRH1; CRH; Corticotropin-releasing hormone. |
| 规格价格 | 100ul/1380元 购买 200ul/2200元 购买 大包装/询价 |
| 说 明 书 | 100ul 200ul |
| 研究领域 | 神经生物学 内分泌病 |
| 抗体来源 | Rabbit |
| 克隆类型 | Polyclonal |
| 交叉反应 | Human, Mouse, Rat, Dog, Pig, Rabbit, Guinea Pig, |
| 产品应用 | ELISA=1:500-1000 IHC-P=1:400-800 IHC-F=1:400-800 IF=1:100-500 (石蜡切片需做抗原修复) not yet tested in other applications. optimal dilutions/concentrations should be determined by the end user. |
| 分 子 量 | 5/22kDa |
| 细胞定位 | 分泌型蛋白 |
| 性 状 | Lyophilized or Liquid |
| 浓 度 | 1mg/ml |
| 免 疫 原 | KLH conjugated synthetic peptide derived from human CRF:154-194/194 |
| 亚 型 | IgG |
| 纯化方法 | affinity purified by Protein A |
| 储 存 液 | 0.01M TBS(pH7.4) with 1% BSA, 0.03% Proclin300 and 50% Glycerol. |
| 保存条件 | Store at -20 °C for one year. Avoid repeated freeze/thaw cycles. The lyophilized antibody is stable at room temperature for at least one month and for greater than a year when kept at -20°C. When reconstituted in sterile pH 7.4 0.01M PBS or diluent of antibody the antibody is stable for at least two weeks at 2-4 °C. |
| PubMed | PubMed |
| 产品介绍 | background: This gene encodes a member of the corticotropin-releasing factor family. The encoded preproprotein is proteolytically processed to generate the mature neuropeptide hormone. In response to stress, this hormone is secreted by the paraventricular nucleus (PVN) of the hypothalamus, binds to corticotropin releasing hormone receptors and stimulates the release of adrenocorticotropic hormone from the pituitary gland. Marked reduction in this protein has been observed in association with Alzheimer's disease. Autosomal recessive hypothalamic corticotropin deficiency has multiple and potentially fatal metabolic consequences including hypoglycemia and hepatitis. In addition to production in the hypothalamus, this protein is also synthesized in peripheral tissues, such as T lymphocytes, and is highly expressed in the placenta. In the placenta it is a marker that determines the length of gestation and the timing of parturition and delivery. A rapid increase in circulating levels of the hormone occurs at the onset of parturition, suggesting that, in addition to its metabolic functions, this protein may act as a trigger for parturition. [provided by RefSeq, Nov 2015] Function: This hormone from hypothalamus regulates the release of corticotropin from pituitary gland. Subunit: Interacts (via C-terminus) with CRFR1 (via N-terminalv extracellular domain). Subcellular Location: Secreted. Similarity: Belongs to the sauvagine/corticotropin-releasing factor/urotensin I family. SWISS: P06850 Gene ID: 1392 Database links: Entrez Gene: 1392 Human Entrez Gene: 12918 Mouse Entrez Gene: 81648 Rat Omim: 122560 Human SwissProt: P06850 Human SwissProt: Q8CIT0 Mouse SwissProt: P01143 Rat Unigene: 75294 Human Unigene: 290689 Mouse Unigene: 10349 Rat Important Note: This product as supplied is intended for research use only, not for use in human, therapeutic or diagnostic applications. CRF阳性神经元的胞体广泛分布于下丘脑的室旁核、背缝核和蓝斑核,这些区域也是去甲肾上腺素(NE)神经元与5-羟色胺(5-HT)神经元密集的区域。 CRF既具有神经递质的性质又具有神经激素的性质。CRF是联系神经系统与内分泌系统的桥梁,在情感障碍疾患如焦虑和抑郁的发病中发挥重要作用. |
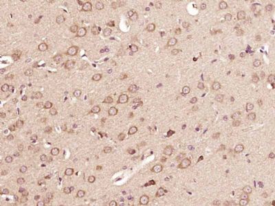
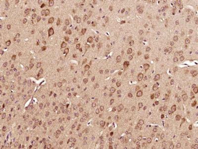
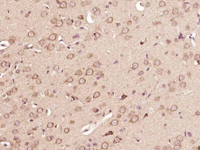
| 产品图片 | ![]() Paraformaldehyde-fixed, paraffin embedded (Mouse brain); Antigen retrieval by boiling in sodium citrate buffer (pH6.0) for 15min; Block endogenous peroxidase by 3% hydrogen peroxide for 20 minutes; Blocking buffer (normal goat serum) at 37°C for 30min; Antibody incubation with (CRF) Polyclonal Antibody, Unconjugated (bs-41044R) at 1:400 overnight at 4°C, followed by operating according to SP Kit(Rabbit) (sp-0023) instructionsand DAB staining. ![]() Paraformaldehyde-fixed, paraffin embedded (Rat brain); Antigen retrieval by boiling in sodium citrate buffer (pH6.0) for 15min; Block endogenous peroxidase by 3% hydrogen peroxide for 20 minutes; Blocking buffer (normal goat serum) at 37°C for 30min; Antibody incubation with (CRF) Polyclonal Antibody, Unconjugated (bs-41044R) at 1:400 overnight at 4°C, followed by operating according to SP Kit(Rabbit) (sp-0023) instructionsand DAB staining. |
风险提示:丁香通仅作为第三方平台,为商家信息发布提供平台空间。用户咨询产品时请注意保护个人信息及财产安全,合理判断,谨慎选购商品,商家和用户对交易行为负责。对于医疗器械类产品,请先查证核实企业经营资质和医疗器械产品注册证情况。
文献和实验促肾上腺皮质激素释放因子 corticotropinreleasing factor
缩写 CRF。在所谓的促激素释放因子( RF)中,是最早肯定其存在的( A. V. Schally等, 1955),是通过丘脑下部 -脑垂体神经分泌系统分泌进入垂体门静脉系统,它直接作用于腺垂体的促肾上腺皮御素( ACTH)分泌细胞,促进 ACTH(别名 corticotropin)的分泌。有α 1 -、α 2 -和β -CRF三种,类似多肽,但详细化学性质尚不清楚。也可从丘脑下部和神经垂体中提取。
促肾上腺皮质激素检测的临床意义: ACTH的分泌受下丘脑激素促皮质释放因子(CRF)和皮质醇的反馈影响。ACTH对于鉴别诊断肾上腺功能减退和分泌亢进很有价值。在原发性肾上腺功能不全中,典型表现是ACTH水平升高,而低水平的ACTH通常见于垂体功能障碍继发的肾上腺功能不全。ACTH检测还能帮助鉴别cushing综合症中皮质醇分泌过多的原因,当皮质醇分泌过多是由肾上腺皮质病变或增生引起时,ACTH水平特征性地降低,而如果是由垂体异位生成ACTH或ACTH分泌过多引起时,ACTH水平
部份是下丘脑的病变或雌激素、多巴胺能阻断剂等药物所引起,临床表现为溢乳-闭经综合征(galactorrhea-amenorrhea syndrome),女性患者有闭经、不育及溢乳,男性患者有性功能降低,少数亦可溢乳。 (三)垂体性Cushing综合征 垂体性Cushing综合征主要由ACTH细胞腺瘤所引起,少数由于下丘脑异常分泌过多的皮质激素释放因子(corticotropine releasing factor,CRF)所致。由于ACTH分泌过多,使两侧肾上腺皮质增生,分泌过多的糖皮质激素
技术资料暂无技术资料 索取技术资料












