相关产品推荐更多 >
万千商家帮你免费找货
0 人在求购买到急需产品
- 详细信息
- 文献和实验
- 技术资料
- 供应商:
上海联迈生物工程有限公司
- 库存:
大量
- 目录编号:
LM-3879R
- 克隆性:
多克隆
- 抗原来源:
Rabbit
- 保质期:
1年
- 抗体英文名:
Cytochrome b245 Light Chain
- 抗体名:
细胞色素b245轻链抗体
- 宿主:
Rabbit
- 适应物种:
Human, Mouse, Rat,
- 免疫原:
KLH conjugated synthetic peptide derived from human CK18 Cytochrome b245 Light Chain/p22phox:21-120/195
- 亚型:
IgG
- 形态:
Lyophilized or Liquid
- 应用范围:
WB=1:500-2000 ELISA=1:500-1000 IHC-P=1:400-800 IHC-F=1:400-800 IF=1:100-500 (石蜡切片需做抗原修复)
- 浓度:
1mg/ml
- 保存条件:
Store at -20 °C
- 规格:
50ul 100ul 200ul
| 英文名称 | Cytochrome b245 Light Chain |
| 中文名称 | 细胞色素b245轻链抗体 |
| 别 名 | CYBA; Cytochrome b 245 alpha polypeptide; Cytochrome b 245 light chain; Cytochrome b alpha polypeptide; Cytochrome b(558) alpha chain; Cytochrome b(558) alpha subunit; Cytochrome b558 subunit alpha; Flavocytochrome b 558 alpha polypeptide; Neutrophil cytochrome b 22 kDa polypeptide; p22 phagocyte B-cytochrome; CY24A_HUMAN; p22-phox; p22phox; Superoxide-generating NADPH oxidase light chain subunit; p22-PHOX. |
![]() |
Specific References (4) | bs-3879R has been referenced in 4 publications. [IF=2.86] Yue, Long, et al. "Bletilla striata polysaccharide inhibits angiotensin II-induced ROS and inflammation via NOX4 and TLR2 pathways." International Journal of Biological Macromolecules (2016). WB ; Human. PubMed:27151672 [IF=3.73] Walton, Noah M., et al. "Adult neurogenesis transiently generates oxidative stress." PloS one 7.4 (2012): e35264. IHC-F ; Mouse. PubMed:22558133 [IF=1.72] Yoshida, Toshinori, et al. "Apocynin and enzymatically modified isoquercitrin suppress the expression of a NADPH oxidase subunit p22phox in steatosis-related preneoplastic liver foci of rats." Experimental and Toxicologic Pathology (2016). IHC-P ; Rat. PubMed:27789131 [IF=2.99] Li, A., et al. "Arctigenin suppresses transforming growth factor-β1-induced expression of monocyte chemoattractant protein-1 and the subsequent epithelial-mesenchymal transition through reactive oxygen species-dependent ERK/NF-κB signaling pathway in renal tubular epithelial cells." Free Radical Research (2015): 1-19. other ; PubMed:25968940 |
| 规格价格 | 50ul/780元 购买 100ul/1380元 购买 200ul/2200元 购买 大包装/询价 |
| 说 明 书 | 50ul 100ul 200ul |
| 研究领域 | 肿瘤 细胞生物 免疫学 淋巴细胞 t-淋巴细胞 新陈代谢 |
| 抗体来源 | Rabbit |
| 克隆类型 | Polyclonal |
| 交叉反应 | Human, Mouse, Rat, |
| 产品应用 | WB=1:500-2000 ELISA=1:500-1000 IHC-P=1:400-800 IHC-F=1:400-800 IF=1:100-500 (石蜡切片需做抗原修复) not yet tested in other applications. optimal dilutions/concentrations should be determined by the end user. |
| 分 子 量 | 21kDa |
| 细胞定位 | 细胞膜 |
| 性 状 | Lyophilized or Liquid |
| 浓 度 | 1mg/ml |
| 免 疫 原 | KLH conjugated synthetic peptide derived from human CK18 Cytochrome b245 Light Chain/p22phox:21-120/195 |
| 亚 型 | IgG |
| 纯化方法 | affinity purified by Protein A |
| 储 存 液 | 0.01M TBS(pH7.4) with 1% BSA, 0.03% Proclin300 and 50% Glycerol. |
| 保存条件 | Store at -20 °C for one year. Avoid repeated freeze/thaw cycles. The lyophilized antibody is stable at room temperature for at least one month and for greater than a year when kept at -20°C. When reconstituted in sterile pH 7.4 0.01M PBS or diluent of antibody the antibody is stable for at least two weeks at 2-4 °C. |
| PubMed | PubMed |
| 产品介绍 | background: Mox1 and the glycoprotein gp91-phox are largely related proteins that are essential components of the NADPH oxidase. The superoxide-generating NADPH oxidase is present in phagocytes, neuroepithelial bodies, vascular smooth muscle cells and endothelial cells. It includes a membrane-bound flavocytochrome containing two subunits, gp91-phox and p22-phox, and the cytosolic proteins p47-phox and p67-phox. During activation of the NADPH oxidase, p47-phox and p67-phox migrate to the plasma membrane, where they associate with the flavocytochrome cytochrome b558 to form the active enzyme complex. The p22- and gp91-phox subunits also function as surface O2 sensors that initiate cellular signaling in response to hypoxic conditions. Function: Critical component of the membrane-bound oxidase of phagocytes that generates superoxide. Associates with NOX3 to form a functional NADPH oxidase constitutively generating superoxide. Subunit: Composed of a heavy chain (beta) and a light chain (alpha). Interacts with SH3PXD2A (By similarity). Interacts with DUOX1, DUOX2 and TPO. Interacts with NOX3 and NOX4. Interacts with calprotectin (S100A8/9). Subcellular Location: Cell Membrane Post-translational modifications: The heme prosthetic group could be coordinated with residues of the light chain, the heavy chain, or both, and it is possible that more than one heme is present per cytochrome b-245. [PTM] Phosphorylation at Thr-147 enhances NADPH oxidase activity by promoting p47phox binding (By similarity). DISEASE: Granulomatous disease, chronic, cytochrome-b-negative, autosomal recessive (ARCGD) [MIM:233690]: A disorder characterized by the inability of neutrophils and phagocytes to kill microbes that they have ingested. Patients suffer from life-threatening bacterial/fungal infections. Note=The disease is caused by mutations affecting the gene represented in this entry. Similarity: Belongs to the p22phox family. SWISS: P13498 Gene ID: 1535 Database links: Entrez Gene: 1535 Human Entrez Gene: 13057 Mouse Entrez Gene: 79129 Rat Omim: 608508 Human SwissProt: P13498 Human SwissProt: Q61462 Mouse SwissProt: Q62737 Rat Unigene: 513803 Human Important Note: This product as supplied is intended for research use only, not for use in human, therapeutic or diagnostic applications. p22phox又称中性粒细胞色素b22kDa的多肽,主要用于心血管病及心肺功能的研究。 |
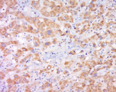
| 产品图片 | ![]() Tissue/cell: human liver carcinoma; 4% Paraformaldehyde-fixed and paraffin-embedded; Antigen retrieval: citrate buffer ( 0.01M, pH 6.0 ), Boiling bathing for 15min; Block endogenous peroxidase by 3% Hydrogen peroxide for 30min; Blocking buffer (normal goat serum,C-0005) at 37℃ for 20 min; Incubation: Anti-CYBA Polyclonal Antibody, Unconjugated(bs-3879R) 1:500, overnight at 4°C, followed by conjugation to the secondary antibody(SP-0023) and DAB(C-0010) staining ![]() The blue histogram is unstained cells(mouse Splenocytes). The green histogram is cells stained with Rabbit Anti-Cytochrome b245 Light Chain antibody (bs-3879R) plus secondary antibody(bs-0295G-FITC). Concentration 1:50. |
风险提示:丁香通仅作为第三方平台,为商家信息发布提供平台空间。用户咨询产品时请注意保护个人信息及财产安全,合理判断,谨慎选购商品,商家和用户对交易行为负责。对于医疗器械类产品,请先查证核实企业经营资质和医疗器械产品注册证情况。
文献和实验Identification of Mutations in mtDNA from Patients Suffering Mitochondrial Diseases
, all of which are subunits of the respiratory chain complexes. Of the 13 structural genes, 7 encode subunits of complex I (NADH-CoQ oxidoreductase), 1 encodes the cytochrome-b subunit of complex III (CoQ-cytochrome-c oxidoreductase), 3 encode subunits of complex IV
Analysis of Human Mitochondrial DNA Mutations
-cytochrome c oxidoreductase), three to Complex IV (cytochrome c oxidase or COX), and two to Complex V (ATP synthase). These subunits are synthesized within the mitochondrion, where they are assembled together with a larger number of subunits encoded
核糖核酸酶 [ribonuclease或RNase] 细胞色素C[cytochrome C] 糜蛋白酶(胰凝乳蛋白酶)[chymotrypsin] 220,000 165,000 130,000 100,000 94,000 68,000 63,000 60,000 57,000 53,000 53,000 50
技术资料暂无技术资料 索取技术资料











