万千商家帮你免费找货
0 人在求购买到急需产品
- 详细信息
- 询价记录
- 文献和实验
- 技术资料
- 提供商:
深圳市拓普生物科技有限公司
- 服务名称:
肝纤维化小鼠动物模型
中国是肝病的高发地,肝病的发展历程从肝炎、肝纤维化、肝硬化直到后期引发成肝癌。肝脏纤维化是各种慢性肝病的重要病理特征,是诱发肝硬化和肝癌的危险因素之一。造模方法包括CCl4诱发,酒精诱发,胆管结扎等。大/小鼠肝纤维化模型,造模成功率高,病例特征明显,已经被广泛应用于肝纤维化形成机理研究,抗纤维化药物筛查和功效评估等动物实验中。
案例模型操作和检测方法
部分结果展示

拓普生物科技有限公司是一家致力于为生命科学研究和临床医学研究提供一站式专业服务的公司。在深圳西丽建有3000平方米的研发中心和300平方米的实验动物平台,可以提供动物的饲养繁殖、疾病动物模型构建、动物解剖学试验、病理学检测、药理学试验、生化指标检测、药效评价及药代动力学分析等一体化服务。拥有良好的实验动物平台,拓普生物极力拓展各种动物疾病模型建模服务,包括消化系统疾病模型,肿瘤模型,心血管系统模型和关节炎疾病模型等等。
拓普生物可根据客户的需求,灵活提供和定制各种疾病动物模型。欢迎广大客户前来咨询和洽谈!
案例模型操作和检测方法
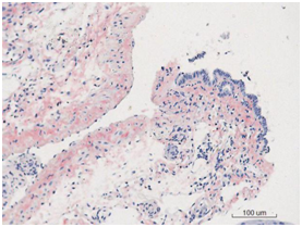
| 动物 | 药物 | 剂量 | 给药方式 | 时间 | 检测指标 |
| C57BL/6J |
CCL4+ 食用油 |
1ml/kg- 2ml/kg |
腹腔注射 | 2月-3月 | HE染色 天狼星红染色 |

对照组 模型组
拓普生物科技有限公司是一家致力于为生命科学研究和临床医学研究提供一站式专业服务的公司。在深圳西丽建有3000平方米的研发中心和300平方米的实验动物平台,可以提供动物的饲养繁殖、疾病动物模型构建、动物解剖学试验、病理学检测、药理学试验、生化指标检测、药效评价及药代动力学分析等一体化服务。拥有良好的实验动物平台,拓普生物极力拓展各种动物疾病模型建模服务,包括消化系统疾病模型,肿瘤模型,心血管系统模型和关节炎疾病模型等等。
拓普生物可根据客户的需求,灵活提供和定制各种疾病动物模型。欢迎广大客户前来咨询和洽谈!
风险提示:丁香通仅作为第三方平台,为商家信息发布提供平台空间。用户咨询产品时请注意保护个人信息及财产安全,合理判断,谨慎选购商品,商家和用户对交易行为负责。对于医疗器械类产品,请先查证核实企业经营资质和医疗器械产品注册证情况。
- 作者
- 内容
- 询问日期
文献和实验相关实验
肝纤维化的生化诊断是关于医学检验职称的生化检验知识,医学|教育网搜集整理了相关内容与考生分享,希望给予大家帮助! 肝纤维化是肝硬化前期的必经阶段,目前常规的肝功能试验无法诊断肝纤维化或早期肝硬化。因此肝纤维化的血清标志物在临床上有重要诊断价值。肝纤维化的实质是细胞外间质的结缔组织增生,其成分主要是胶原蛋白,还有各种糖蛋白和蛋白多糖等。 肝组织中肝实质细胞约占78%,肝窦壁细胞约占6%~7%,由上述细胞合成和分泌的细胞外基质(extracellularmatrix)占肝
Micro-CT检测肿瘤小鼠模型实验报告.pdf
Cell Reports:陈刚/孙朝阳团队揭示补充阿克曼菌可以逆转卵巢癌小鼠模型的肿瘤进展
in Ovarian Cancer 的文章,发现将卵巢癌病人的粪菌移植到卵巢癌的小鼠模型体内,会促进肿瘤进展;但如果在粪菌中补充 Akkermansia(阿克曼菌)可抑制小鼠肿瘤进展。进一步研究证实,在肠道中补充阿克曼菌增强了小鼠的肠道屏障功能,促进肠道稳态,改善抗肿瘤免疫功能,激发了卵巢癌免疫微环境中 CD8+T 细胞的活性(图 1)。 图 1. 卵巢癌患者的粪菌中补充阿克曼菌可以逆转卵巢癌小鼠模型的癌症进展 为了探究肠道菌群与卵巢癌之间的关系,作者通过 16S rRNA 基因测序比较了 40 例卵巢癌患者
技术资料暂无技术资料 索取技术资料
肝纤维化小鼠模型
询价









