相关产品推荐更多 >
万千商家帮你免费找货
0 人在求购买到急需产品
- 详细信息
- 文献和实验
- 技术资料
- 供应商:
上海联迈生物工程有限公司
- 库存:
大量
- 目录编号:
LM-3674R
- 克隆性:
多克隆
- 抗原来源:
Rabbit
- 保质期:
1年
- 抗体英文名:
PBR
- 抗体名:
外周苯二氮受体抗体
- 宿主:
Rabbit
- 适应物种:
Human, Mouse, Rat, Dog, Pig,
- 免疫原:
KLH conjugated synthetic peptide derived from human PBR:31-130/169
- 亚型:
IgG
- 形态:
Lyophilized or Liquid
- 应用范围:
ELISA=1:500-1000 IHC-P=1:400-800 IHC-F=1:400-800 IF=1:100-500 (石蜡切片需做抗原修复)
- 浓度:
1mg/ml
- 保存条件:
Store at -20 °C
- 规格:
50ul 100ul 200ul
| 英文名称 | PBR |
| 中文名称 | 外周苯二氮受体抗体 |
| 别 名 | BPBS; BZRP; DBI; IBP; Isoquinoline carboxamide-binding protein; MBR; mDRC; Mitochondrial benzodiazepine receptor; PBR; PBS; Peripheral benzodiazepine receptor; Peripheral benzodiazepine receptor-related protein; Peripheral type benzodiazepine receptor; pk18; PKBS; PTBR; Ptbzr; PTBZR02; RATPTBZR02; translocator protein (18kDa); Translocator protein; TSPO; Tspo1; Benzodiazapine receptor (peripheral); Benzodiazepine peripheral binding site. |
| 规格价格 | 50ul/780元 购买 100ul/1380元 购买 200ul/2200元 购买 大包装/询价 |
| 说 明 书 | 50ul 100ul 200ul |
| 研究领域 | 细胞生物 免疫学 神经生物学 转录调节因子 糖尿病 线粒体 |
| 抗体来源 | Rabbit |
| 克隆类型 | Polyclonal |
| 交叉反应 | Human, Mouse, Rat, Dog, Pig, |
| 产品应用 | ELISA=1:500-1000 IHC-P=1:400-800 IHC-F=1:400-800 IF=1:100-500 (石蜡切片需做抗原修复) not yet tested in other applications. optimal dilutions/concentrations should be determined by the end user. |
| 分 子 量 | 18kDa |
| 细胞定位 | 细胞浆 线粒体 |
| 性 状 | Lyophilized or Liquid |
| 浓 度 | 1mg/ml |
| 免 疫 原 | KLH conjugated synthetic peptide derived from human PBR:31-130/169 |
| 亚 型 | IgG |
| 纯化方法 | affinity purified by Protein A |
| 储 存 液 | 0.01M TBS(pH7.4) with 1% BSA, 0.03% Proclin300 and 50% Glycerol. |
| 保存条件 | Store at -20 °C for one year. Avoid repeated freeze/thaw cycles. The lyophilized antibody is stable at room temperature for at least one month and for greater than a year when kept at -20°C. When reconstituted in sterile pH 7.4 0.01M PBS or diluent of antibody the antibody is stable for at least two weeks at 2-4 °C. |
| PubMed | PubMed |
| 产品介绍 | background: PBR (Peripheral type Benzodiazepine Receptor) is a ubiquitous protein (18 kDa) found in most steroidogenic tissues. It is located primarily in the outer mitochondrial membrane of steroid producing tissues and is found in association with a 34 kDa voltage dependent anion channel protein (VDAC). PBR interacts with some benzodiazepines and has different affinities than its endogenous counterpart. PBR appears to be a key factor in the transport of cholesterol from the outer to the inner mitochondrial membrane to permit the initiation of steroid hormone synthesis. It is thought to be part of the mitochondrial permeability transition pore (PT) and to be involved in apoptosis. It is speculated that patients with congenital lipoid adrenal hyperplasia, who cannot make any steroids, might have a genetic lesion in BZRP. A short form, PBRS is also expressed in the same tissues, but at a level about ten times that of PBR. Function: Responsible for the manifestation of peripheral-type benzodiazepine recognition sites and is most likely to comprise binding domains for benzodiazepines and isoquinoline carboxamides. May play a role in the transport of porphyrins and heme. Plays a role in the transport of cholesterol across mitochondrial membranes in steroidogenic cells. Subcellular Location: Mitochondrion membrane. Tissue Specificity: Found in many tissue types. Expressed at the highest levels under normal conditions in tissues that synthesize steroids. Similarity: Belongs to the TspO/BZRP family. SWISS: B1AH88 Gene ID: 706 Database links: Entrez Gene: 706 Human Entrez Gene: 12257 Mouse Omim: 109610 Human SwissProt: B1AH88 Human SwissProt: P30536 Human SwissProt: P50637 Mouse Unigene: 202 Human Unigene: 1508 Mouse Important Note: This product as supplied is intended for research use only, not for use in human, therapeutic or diagnostic applications. 结合抑制因子; DBI能拮抗安定物质:diazepam与脑突触膜相结合 ,故称之为安定结合抑制蛋白(DBI),结合抑制因子(diazepam binding inhibitor,DBI)具有抑制由葡萄糖诱导的胰岛素分泌、促进胆固醇跨线粒体膜转运和调节脂肪酸合成与代谢等多种生理功能。 |
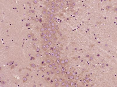
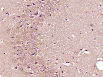
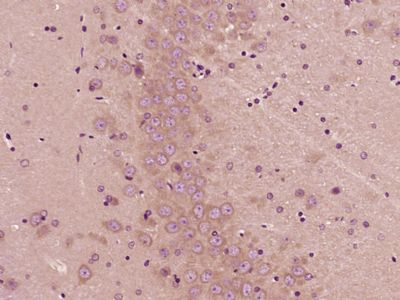
| 产品图片 | ![]() Paraformaldehyde-fixed, paraffin embedded (Mouse brain); Antigen retrieval by boiling in sodium citrate buffer (pH6.0) for 15min; Block endogenous peroxidase by 3% hydrogen peroxide for 20 minutes; Blocking buffer (normal goat serum) at 37°C for 30min; Antibody incubation with (PBR) Polyclonal Antibody, Unconjugated (bs-3674R) at 1:400 overnight at 4°C, followed by operating according to SP Kit(Rabbit) (sp-0023) instructionsand DAB staining. ![]() Paraformaldehyde-fixed, paraffin embedded (Rat brain); Antigen retrieval by boiling in sodium citrate buffer (pH6.0) for 15min; Block endogenous peroxidase by 3% hydrogen peroxide for 20 minutes; Blocking buffer (normal goat serum) at 37°C for 30min; Antibody incubation with (PBR) Polyclonal Antibody, Unconjugated (bs-3674R) at 1:400 overnight at 4°C, followed by operating according to SP Kit(Rabbit) (sp-0023) instructionsand DAB staining. |
风险提示:丁香通仅作为第三方平台,为商家信息发布提供平台空间。用户咨询产品时请注意保护个人信息及财产安全,合理判断,谨慎选购商品,商家和用户对交易行为负责。对于医疗器械类产品,请先查证核实企业经营资质和医疗器械产品注册证情况。
文献和实验概要 中枢神经系统和外周神经系统的很多疾病与抗神经元自身抗体相关,相应的靶抗原包括神经元胞内神经肿瘤抗原和神经元表面抗原。临床上,检测血清或者脑脊液中的这类自身抗体对于疾病诊断具有重要意义。 抗神经肿瘤抗原的自身抗体与不同恶性肿瘤存在一定的对应关系,其实验室检验结果可以为临床医生探查肿瘤提供指导和依据。一系列针对神经元表面抗原的自身抗体阳性发生率高于已知的抗神经元胞内抗原的自身抗体。据国外临床经验显示,全面检测抗神经元自身抗体谱可以有效提高血清检测命中率,比检测单一
自身抗体与自身免疫病 1.天然自身抗体 用荧光标记的自身抗原研究健康人外周循环中的B细胞,发现许多B细胞表达对自身抗原特异的BCR。这一发现诠释了天然自身抗体的起源。健康人和动物血清中含有天然自身抗体(natural autoantibodies)多为IgM类,偶见IgG、IgA类,其识别对象主要为细胞内的抗原、细胞膜或分泌成分,例如肌动蛋白、肌凝蛋白、角蛋白、DNA、细胞色素C、胶原、髓鞘碱性蛋白和IgG等。它们有一定的生理功能,比如帮助清除体内的死亡
宿主菌的 lacY 突变使这种控制成为可能。 选择 pET 载体 所有的 pET 载体均来自 pBR322 ,但彼此间先导序列、表达信号、融合标签、相关限制性位点和其它特点有所不同。有两大类 pET 质粒,即转录载体和翻译载体: 转录载体(包括 pET-21 、 pET-23 和 pET-24 )表达目标 RNA ,但不提供翻译信号。它们用于从自身带有细菌翻译信号的目标基因表达蛋白。(注意:转录载体通过命名后面的一个缺失字母后缀加以区分) 翻译载体
技术资料暂无技术资料 索取技术资料











