相关产品推荐更多 >
万千商家帮你免费找货
0 人在求购买到急需产品
- 详细信息
- 文献和实验
- 技术资料
- 供应商:
上海联迈生物工程有限公司
- 库存:
大量
- 目录编号:
LM-3535R
- 克隆性:
多克隆
- 抗原来源:
Rabbit
- 保质期:
1年
- 抗体英文名:
PLK1
- 抗体名:
丝氨酸/苏氨酸蛋白激酶Plk1抗体
- 宿主:
Rabbit
- 适应物种:
Human, Mouse, Rat, Dog, Pig, Rabbit,
- 免疫原:
KLH conjugated synthetic peptide derived from human PLK1 (235-280aa):201-300/603
- 亚型:
IgG
- 形态:
Lyophilized or Liquid
- 应用范围:
WB=1:500-2000 ELISA=1:500-1000 IHC-P=1:400-800 IHC-F=1:400-800 ICC=1:100-500 IF=1:100-500 (石蜡切片需做抗原修复)
- 浓度:
1mg/ml
- 保存条件:
Store at -20 °C
- 规格:
100ul 200ul
| 英文名称 | PLK1 |
| 中文名称 | 丝氨酸/苏氨酸蛋白激酶Plk1抗体 |
| 别 名 | PLK 1; PLK; polio like kinase; Polo like kinase 1; Polo-like kinase 1; Serine/threonine protein kinase 13; Serine/threonine protein kinase PLK1; Serine/threonine-protein kinase; STPK 13; STPK13; Polo like kinase kinase; Cell cycle regulated protein kinase; PLK-1; plk1; PLK1_HUMAN. |
| 规格价格 | 100ul/1380元 购买 200ul/2200元 购买 大包装/询价 |
| 说 明 书 | 100ul 200ul |
| 研究领域 | 肿瘤 细胞生物 免疫学 细胞周期蛋白 转录调节因子 激酶和磷酸酶 |
| 抗体来源 | Rabbit |
| 克隆类型 | Polyclonal |
| 交叉反应 | Human, Mouse, Rat, Dog, Pig, Rabbit, |
| 产品应用 | WB=1:500-2000 ELISA=1:500-1000 IHC-P=1:400-800 IHC-F=1:400-800 ICC=1:100-500 IF=1:100-500 (石蜡切片需做抗原修复) not yet tested in other applications. optimal dilutions/concentrations should be determined by the end user. |
| 分 子 量 | 66kDa |
| 细胞定位 | 细胞核 细胞浆 |
| 性 状 | Lyophilized or Liquid |
| 浓 度 | 1mg/ml |
| 免 疫 原 | KLH conjugated synthetic peptide derived from human PLK1 (235-280aa):201-300/603 |
| 亚 型 | IgG |
| 纯化方法 | affinity purified by Protein A |
| 储 存 液 | 0.01M TBS(pH7.4) with 1% BSA, 0.03% Proclin300 and 50% Glycerol. |
| 保存条件 | Store at -20 °C for one year. Avoid repeated freeze/thaw cycles. The lyophilized antibody is stable at room temperature for at least one month and for greater than a year when kept at -20°C. When reconstituted in sterile pH 7.4 0.01M PBS or diluent of antibody the antibody is stable for at least two weeks at 2-4 °C. |
| PubMed | PubMed |
| 产品介绍 | background: PLK1 (polo-like kinase 1) is a member of the serine/threonine protein kinase family, cdc5/polo subfamily. PLK1 contains two polo box domains with a predicted molecular weight of 68 kDa. PLK1 has been shown to regulate cdc2/cyclin B through phosphorylation and activation of cdc25c phosphatase. PLK1 is modified by phosphorylation at Threonine 210. PLK1 may also be required for cell division. Depletion of PLK1 results in apoptosis and deregulation of expression of PKL1 is correlated with development of many malignancies. Function: Serine/threonine-protein kinase that performs several important functions throughout M phase of the cell cycle, including the regulation of centrosome maturation and spindle assembly, the removal of cohesins from chromosome arms, the inactivation of APC/C inhibitors, and the regulation of mitotic exit and cytokinesis. Required for recovery after DNA damage checkpoint and entry into mitosis. Required for kinetochore localization of BUB1B. Phosphorylates SGOL1. Required for spindle pole localization of isoform 3 of SGOL1 and plays a role in regulating its centriole cohesion function. Phosphorylates BORA, and thereby promotes the degradation of BORA. Contributes to the regulation of AURKA function. Regulates TP53 stability through phosphorylation of TOPORS. Subunit: Interacts with CEP170 and EVI5. Interacts and phosphorylates ERCC6L. Interacts with FAM29A. Interacts with SLX4/BTBD12 and TTDN1. Interacts with BUB1B. Interacts (via POLO-box domain) with the phosphorylated form of BUB1, MLF1IP and CDC25C. Interacts with isoform 3 of SGOL1. Interacts with BORA, KIF2A and AURKA. Interacts with TOPORS and CYLD. Interacts with ECT2; the interaction is stimulated upon phosphorylation of ECT2 on 'Thr-444'. Interacts with PRC1. Interacts with KIF20A/MKLP2 (when phosphorylated), leading to the recruitment at the central spindle. Interacts (via POLO box domains) with PPP1R12A/MYPT1 (when previously phosphorylated by CDK1). Part of an astrin (SPAG5)-kinastrin (SKAP) complex containing SKAP, SPAG5, PLK1, DYNLL1 and SGOL2. Interacts with BIRC6/bruce. Subcellular Location: Nucleus. Chromosome, centromere, kinetochore. Cytoplasm, cytoskeleton, centrosome. Cytoplasm, cytoskeleton, spindle. Midbody. Note=During early stages of mitosis, the phosphorylated form is detected on centrosomes and kinetochores. Localizes to the outer kinetochore. Presence of SGOL1 and interaction with the phosphorylated form of BUB1 is required for the kinetochore localization. Localizes onto the central spindle by phosphorylating and docking at midzone proteins KIF20A/MKLP2 and PRC1. Tissue Specificity: Placenta and colon. Similarity: Belongs to the protein kinase superfamily. Ser/Thr protein kinase family. CDC5/Polo subfamily. Contains 2 POLO box domains. Contains 1 protein kinase domain. SWISS: P53350 Gene ID: 5347 Database links: Entrez Gene: 5347 Human Entrez Gene: 18817 Mouse Entrez Gene: 25515 Rat Omim: 602098 Human SwissProt: P53350 Human SwissProt: Q07832 Mouse SwissProt: Q62673 Rat Unigene: 592049 Human Unigene: 16525 Mouse Unigene: 11034 Rat Important Note: This product as supplied is intended for research use only, not for use in human, therapeutic or diagnostic applications. PLK1(Polo like kinase 1)是一种广泛存在于真核细胞中的丝/苏氨酸激酶, 在细胞周期调控中发挥重要的调控作用。PLK1主要功能包括参与激活cyclin B/CDK1复合体, 协助中心体的功能成熟, 促进染色体正常分离、分配和调控细胞胞质分裂等。 |
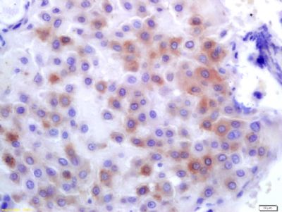
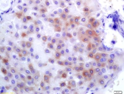
| 产品图片 | ![]() Tissue/cell: human placenta tissue; 4% Paraformaldehyde-fixed and paraffin-embedded; Antigen retrieval: citrate buffer ( 0.01M, pH 6.0 ), Boiling bathing for 15min; Block endogenous peroxidase by 3% Hydrogen peroxide for 30min; Blocking buffer (normal goat serum,C-0005) at 37℃ for 20 min; Incubation: Anti-PLK1 Polyclonal Antibody, Unconjugated(bs-3535R) 1:200, overnight at 4°C, followed by conjugation to the secondary antibody(SP-0023) and DAB(C-0010) staining |
风险提示:丁香通仅作为第三方平台,为商家信息发布提供平台空间。用户咨询产品时请注意保护个人信息及财产安全,合理判断,谨慎选购商品,商家和用户对交易行为负责。对于医疗器械类产品,请先查证核实企业经营资质和医疗器械产品注册证情况。
文献和实验的研究已经成为蛋白质科学的热点之一。 磷酸化多肽(主要指肽链中的酪氨酸、丝氨酸和苏氨酸残基的侧链羟基被磷酸化生成酸式磷酸酯的修饰多肽)是研究蛋白质磷酸化过程的必不可少的工具,它可作为磷酸酶模型底物,或作为可产生抗磷酸化蛋白抗体的抗原,也可以在确定磷酸化蛋白的物理参数时作为参考化合物等[3]。因此磷酸化多肽的合成在过去的几年中吸引了相当大的兴趣,目前已确定了较为成熟的合成路线,使磷酸化多肽的合成趋于常规。目前磷酸化多肽的合成主要有两个策略:后磷酸化法(Global
。如果你研究的蛋白激酶恰好既不是 AMPK 也不是 AKT,那该怎么办呢?办法还是有的。下面就以当前研究得如火如荼的蛋白激酶 mTORC1 为例。mTORC1 是一类丝氨酸 / 苏氨酸蛋白激酶复合物,在细胞增殖、细胞代谢和细胞自噬等生物学过程中发挥重要的调控作用。关于 mTORC1 的研究虽然火热,但目前市面上并没有可用的针对其底物的泛磷酸化抗体。好在 mTORC1 偏好的底物蛋白序列已经由 David Sabatini 实验室在 2011 年的一篇《Science》论文中予以揭示。David
1. 前言 蛋白质翻译后磷酸化修饰是影响真核细胞每一个细胞内活动过程的最丰富的细胞调节形式。一个蛋白质的磷酸化能引起结构、稳定性、酶活,与其他分子之间相互作用的能力或其亚细胞定位的改变。蛋白激酶催化可逆的蛋白质底物的磷酸化,作用在其丝氨 酸、苏氨酸和酪氨酸残基位点上。如在拟南芥中,丝氨酸/苏氨酸激酶占整个蛋白质组 的 4% [1] ,但对它们的生物学功能还不十分了解。因此,我们需要能开展蛋白激酶全球分析的高通量蛋白质组学方法[ 2,3] 来鉴定下游底物。 用于确定磷酸化共有
技术资料暂无技术资料 索取技术资料










