万千商家帮你免费找货
0 人在求购买到急需产品
- 详细信息
- 询价记录
- 技术资料
- 库存:
大量
- 靶点:
VZV
- 克隆性:
多克隆
- 抗原来源:
Rabbit
- 抗体英文名:
Anti-membrane glycoprotein E(VZV)
- 抗体名:
人水痘带状疱疹gE蛋白抗体
- 标记物:
HRP,AKP
- 宿主:
人,兔,羊,牛,狗等
- 适应物种:
VaricellaZosterVirus
- 免疫原:
KLH conjugated synthetic peptide derived from VZV membrane glycoprotein E C-terminus
- 亚型:
IgG
- 形态:
冻干或液体
- 应用范围:
WB,ELISA,IP,ICC等
- 浓度:
1mg/1ml
- 保存条件:
-20 °C
- 规格:
0.2ml/200μg
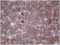
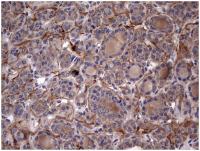
人水痘带状疱疹gE蛋白抗体产品信息:
英文名称 Anti-membrane glycoprotein E(VZV)
中文名称 人水痘带状疱疹gE蛋白抗体
别 名 Human Varicella zoster virus;membrane glycoprotein E; 68; Glycoprotein E; Glycoprotein GI; HHV3; Human Herpesvirus 3; Varicella Zoster Virus gE protein; VZV.
浓 度 1mg/1ml
规 格 0.2ml/200μg
抗体来源 Rabbit
克隆类型 polyclonal
交叉反应 VaricellaZosterVirus
产品类型 一抗
研究领域 细菌及
蛋白分子量 predicted molecular weight:
65kDa
性 状 Lyophilized or Liquid
免 疫 原 KLH conjugated synthetic peptide derived from VZV membrane glycoprotein E C-terminus
亚 型 IgG
纯化方法 affinity purified by Protein A
储 存 液 0.01M PBS, pH 7.4 with 10 mg/ml BSA and 0.1% Sodium azide
产品应用 ELISA=1:500-1000 IP=1:20-100
人水痘带状疱疹gE蛋白抗体订购说明:
※关于产品的详细说明书、价格信息,请来电获取;
※关于运输,我司支持各种快递,具体采用什么快递,我们会满足客户的要求,此外,我们还会根据产品的性状采取特殊的保护方式,以减少运输途中的损坏情况;
※关于产品包装,我司支持进口原装,也能按照客户的要求进行分装;
※关于售后,客户在收到货后,先检查产品包装情况,有无破损情况,然后可以按照严格的操作流程,在无菌环境下检测产品质量本身,如有上述疑似情况,请及时联系我司销售部;
※关于技术服务,我司可为您提供抗体标记服务,以及其他检测服务,此外,如遇技术问题,我司还能为您提供答疑解惑的咨询服务。
抗体的生物素化标记:
1.将待生物素化的蛋白质用0.1mol/L碳酸氢钠缓冲液(pH8.0)或0.5mol/L硼酸缓冲液(pH8.6)稀释到1mg般实验室应用的生物素化体积为1-2.5ml;
2.交互用0.1mo1/L碳酸氢钠缓冲液(pH8.0)或0.5mol/L硼酸缓冲液(pH8.6),对蛋白质充分透析;
3.用 1m1 DMS0溶解 NHSB Img;
4.向1m1蛋白质溶液(即含蛋白质1mg)加入120u1NHSB溶液(即含NHSB120g);
5.在室温下持续搅拌,保温2-4小时;
6.加入9.6μL1mol/LNH41(每25μ g NHSB加1u1),在室温下搅拌10分钟;
7.在4℃,对PBS充分透析,以除去游离的生物素;
8.将样品上1ml的分子筛柱,以PBS缓慢洗脱,收集1ml/管,蛋白质在1-3m1之间洗下;
9.最后,样品加入叠氮钠(终浓度0.5g/L)及1.0g/LBSA。将结合产物置4℃,避光保存,亦可加入50%重蒸甘油,置一20℃保存。
人水痘带状疱疹gE蛋白抗体相关的其他产品:
155195 兔抗PRK1多克隆抗体
英文名:Anti-PRK1 (Ab-910) rabbit polyclonal antiboy
冷冻(-20℃) 避光
163251 兔抗ATN1多克隆抗体
英文名:Anti-ATN1 rabbit polyclonal antiboy
冷冻(-20℃) 避光
20916 兔抗LCAT多克隆抗体
英文名:Anti-LCAT rabbit polyclonal antiboy
冷冻(-20℃) 避光
225060 兔抗RUVBL1多克隆抗体
英文名:Anti-RUVBL1 rabbit polyclonal antiboy
冷冻(-20℃) 避光
260741 兔抗SLC39A6多克隆抗体
英文名:Anti-SLC39A6 rabbit polyclonal antiboy
冷冻(-20℃) 避光
264327 兔抗KCNK18多克隆抗体
英文名:Anti-KCNK18 rabbit polyclonal antiboy
冷冻(-20℃) 避光
英文名:Anti-RASA1 rabbit polyclonal antiboy
冷冻(-20℃) 避光
222975 兔抗RASA4多克隆抗体
161814 兔抗KCNA7多克隆抗体
英文名:Anti-KCNA7 rabbit polyclonal antiboy
冷冻(-20℃) 避光
人水痘带状疱疹gE蛋白抗体Masson三色染色试剂盒 7×50ml 盒
Phosphoglucomutase 磷酸葡萄糖变位酶 400U 瓶
UMP 尿苷酸 10g 瓶
4×dNTPs(100mM) 4×1ml 支
anti-Myc Tag Mouse Monoclonal antibody 100ul 瓶
IgG干粉 10mg 支
40%丙烯酰胺(37.5:1) 500ml 瓶
英文名称 Anti-membrane glycoprotein E(VZV)
中文名称 人水痘带状疱疹gE蛋白抗体
别 名 Human Varicella zoster virus;membrane glycoprotein E; 68; Glycoprotein E; Glycoprotein GI; HHV3; Human Herpesvirus 3; Varicella Zoster Virus gE protein; VZV.
浓 度 1mg/1ml
规 格 0.2ml/200μg
抗体来源 Rabbit
克隆类型 polyclonal
交叉反应 VaricellaZosterVirus
产品类型 一抗
研究领域 细菌及
蛋白分子量 predicted molecular weight:
65kDa
性 状 Lyophilized or Liquid
免 疫 原 KLH conjugated synthetic peptide derived from VZV membrane glycoprotein E C-terminus
亚 型 IgG
纯化方法 affinity purified by Protein A
储 存 液 0.01M PBS, pH 7.4 with 10 mg/ml BSA and 0.1% Sodium azide
产品应用 ELISA=1:500-1000 IP=1:20-100
人水痘带状疱疹gE蛋白抗体订购说明:
※关于产品的详细说明书、价格信息,请来电获取;
※关于运输,我司支持各种快递,具体采用什么快递,我们会满足客户的要求,此外,我们还会根据产品的性状采取特殊的保护方式,以减少运输途中的损坏情况;
※关于产品包装,我司支持进口原装,也能按照客户的要求进行分装;
※关于售后,客户在收到货后,先检查产品包装情况,有无破损情况,然后可以按照严格的操作流程,在无菌环境下检测产品质量本身,如有上述疑似情况,请及时联系我司销售部;
※关于技术服务,我司可为您提供抗体标记服务,以及其他检测服务,此外,如遇技术问题,我司还能为您提供答疑解惑的咨询服务。
抗体的生物素化标记:
1.将待生物素化的蛋白质用0.1mol/L碳酸氢钠缓冲液(pH8.0)或0.5mol/L硼酸缓冲液(pH8.6)稀释到1mg般实验室应用的生物素化体积为1-2.5ml;
2.交互用0.1mo1/L碳酸氢钠缓冲液(pH8.0)或0.5mol/L硼酸缓冲液(pH8.6),对蛋白质充分透析;
3.用 1m1 DMS0溶解 NHSB Img;
4.向1m1蛋白质溶液(即含蛋白质1mg)加入120u1NHSB溶液(即含NHSB120g);
5.在室温下持续搅拌,保温2-4小时;
6.加入9.6μL1mol/LNH41(每25μ g NHSB加1u1),在室温下搅拌10分钟;
7.在4℃,对PBS充分透析,以除去游离的生物素;
8.将样品上1ml的分子筛柱,以PBS缓慢洗脱,收集1ml/管,蛋白质在1-3m1之间洗下;
9.最后,样品加入叠氮钠(终浓度0.5g/L)及1.0g/LBSA。将结合产物置4℃,避光保存,亦可加入50%重蒸甘油,置一20℃保存。
人水痘带状疱疹gE蛋白抗体相关的其他产品:
155195 兔抗PRK1多克隆抗体
英文名:Anti-PRK1 (Ab-910) rabbit polyclonal antiboy
冷冻(-20℃) 避光
163251 兔抗ATN1多克隆抗体
英文名:Anti-ATN1 rabbit polyclonal antiboy
冷冻(-20℃) 避光
20916 兔抗LCAT多克隆抗体
英文名:Anti-LCAT rabbit polyclonal antiboy
冷冻(-20℃) 避光
225060 兔抗RUVBL1多克隆抗体
英文名:Anti-RUVBL1 rabbit polyclonal antiboy
冷冻(-20℃) 避光
260741 兔抗SLC39A6多克隆抗体
英文名:Anti-SLC39A6 rabbit polyclonal antiboy
冷冻(-20℃) 避光
264327 兔抗KCNK18多克隆抗体
英文名:Anti-KCNK18 rabbit polyclonal antiboy
冷冻(-20℃) 避光
英文名:Anti-RASA1 rabbit polyclonal antiboy
冷冻(-20℃) 避光
222975 兔抗RASA4多克隆抗体
161814 兔抗KCNA7多克隆抗体
英文名:Anti-KCNA7 rabbit polyclonal antiboy
冷冻(-20℃) 避光
人水痘带状疱疹gE蛋白抗体Masson三色染色试剂盒 7×50ml 盒
Phosphoglucomutase 磷酸葡萄糖变位酶 400U 瓶
UMP 尿苷酸 10g 瓶
4×dNTPs(100mM) 4×1ml 支
anti-Myc Tag Mouse Monoclonal antibody 100ul 瓶
IgG干粉 10mg 支
40%丙烯酰胺(37.5:1) 500ml 瓶
风险提示:丁香通仅作为第三方平台,为商家信息发布提供平台空间。用户咨询产品时请注意保护个人信息及财产安全,合理判断,谨慎选购商品,商家和用户对交易行为负责。对于医疗器械类产品,请先查证核实企业经营资质和医疗器械产品注册证情况。
- 作者
- 内容
- 询问日期
技术资料暂无技术资料 索取技术资料
人水痘带状疱疹gE蛋白抗体
询价









