相关产品推荐更多 >
万千商家帮你免费找货
0 人在求购买到急需产品
- 详细信息
- 文献和实验
- 技术资料
- 供应商:
上海联迈生物工程有限公司
- 库存:
大量
- 目录编号:
LM-3400R
- 克隆性:
多克隆
- 抗原来源:
Rabbit
- 保质期:
1年
- 抗体英文名:
phospho-PYK2 (Tyr402)
- 抗体名:
磷酸化富含脯氨酸的酪氨酸激酶2抗体
- 宿主:
Rabbit
- 适应物种:
Human, Mouse, Rat, Dog, Pig, Cow, Horse, Rabbit,
- 免疫原:
KLH conjugated synthesised phosphopeptide derived from human Pyk2/PTK2B around the phosphorylation site of Tyr402:DI(p-Y)AE
- 亚型:
IgG
- 形态:
Lyophilized or Liquid
- 应用范围:
WB=1:500-2000 ELISA=1:500-1000 IHC-P=1:400-800 IHC-F=1:400-800 IF=1:100-500 (石蜡切片需做抗原修复)
- 浓度:
1mg/ml
- 保存条件:
Store at -20 °C
- 规格:
100ul
| 英文名称 | phospho-PYK2 (Tyr402) |
| 中文名称 | 磷酸化富含脯氨酸的酪氨酸激酶2抗体 |
| 别 名 | p-PTK2B(Tyr402); Pyk2(Phospho-Tyr402); PTK2B(phospho Y402); CADTK; CAK beta; CAKB antibody; CAKbeta; Calcium dependent tyrosine kinase; Calcium-dependent tyrosine kinase; Cell adhesion kinase beta; E430023O05Rik; EC 2.7.10.2; FADK 2; FADK2; FAK 2; FAK1; FAK2; Focal Adhesion Kinase 2; MGC124628; PKB; pp125FAK; Proline Rich Tyrosine Kinase 2; Proline-rich tyrosine kinase 2; Protein kinase B; Protein Tyrosine Kinase 2 Beta; PTK 2B; PTK antibody PTK2B; PTK2B protein tyrosine kinase 2 beta; PYK 2; PYK2; RAFTK; Related adhesion focal tyrosine kinase; FAK2_HUMAN; PTK2B protein tyrosine kinase 2 beta. |
![]() |
Specific References (1) | bs-3400R has been referenced in 1 publications. [IF=4.46] Cao, Hui-Juan, et al. "Src blockage by siRNA inhibits VEGF-induced vascular hyperpemeability and osteoclast activity–an< i> in vitro mechanism study for preventing destructive repair of osteonecrosis." Bone (2014). WB ; Mouse. PubMed:25554601 |
| 规格价格 | 100ul/1580元 购买 大包装/询价 |
| 说 明 书 | 100ul |
| 产品类型 | 磷酸化抗体 |
| 研究领域 | 肿瘤 免疫学 细胞凋亡 转录调节因子 激酶和磷酸酶 细胞粘附分子 |
| 抗体来源 | Rabbit |
| 克隆类型 | Polyclonal |
| 交叉反应 | Human, Mouse, Rat, Dog, Pig, Cow, Horse, Rabbit, |
| 产品应用 | WB=1:500-2000 ELISA=1:500-1000 IHC-P=1:400-800 IHC-F=1:400-800 IF=1:100-500 (石蜡切片需做抗原修复) not yet tested in other applications. optimal dilutions/concentrations should be determined by the end user. |
| 分 子 量 | 116kDa |
| 细胞定位 | 细胞核 细胞浆 细胞膜 |
| 性 状 | Lyophilized or Liquid |
| 浓 度 | 1mg/ml |
| 免 疫 原 | KLH conjugated synthesised phosphopeptide derived from human Pyk2/PTK2B around the phosphorylation site of Tyr402:DI(p-Y)AE |
| 亚 型 | IgG |
| 纯化方法 | affinity purified by Protein A |
| 储 存 液 | 0.01M TBS(pH7.4) with 1% BSA, 0.03% Proclin300 and 50% Glycerol. |
| 保存条件 | Store at -20 °C for one year. Avoid repeated freeze/thaw cycles. The lyophilized antibody is stable at room temperature for at least one month and for greater than a year when kept at -20°C. When reconstituted in sterile pH 7.4 0.01M PBS or diluent of antibody the antibody is stable for at least two weeks at 2-4 °C. |
| PubMed | PubMed |
| 产品介绍 | background: This gene encodes a cytoplasmic protein tyrosine kinase which is involved in calcium-induced regulation of ion channels and activation of the map kinase signaling pathway. The encoded protein may represent an important signaling intermediate between neuropeptide-activated receptors or neurotransmitters that increase calcium flux and the downstream signals that regulate neuronal activity. The encoded protein undergoes rapid tyrosine phosphorylation and activation in response to increases in the intracellular calcium concentration, nicotinic acetylcholine receptor activation, membrane depolarization, or protein kinase C activation. This protein has been shown to bind CRK-associated substrate, nephrocystin, GTPase regulator associated with FAK, and the SH2 domain of GRB2. The encoded protein is a member of the FAK subfamily of protein tyrosine kinases but lacks significant sequence similarity to kinases from other subfamilies. Four transcript variants encoding two different isoforms have been found for this gene. [provided by RefSeq, Jul 2008] Function: Non-receptor protein-tyrosine kinase that regulates reorganization of the actin cytoskeleton, cell polarization, cell migration, adhesion, spreading and bone remodeling. Plays a role in the regulation of the humoral immune response, and is required for normal levels of marginal B-cells in the spleen and normal migration of splenic B-cells. Required for normal macrophage polarization and migration towards sites of inflammation. Regulates cytoskeleton rearrangement and cell spreading in T-cells, and contributes to the regulation of T-cell responses. Promotes osteoclastic bone resorption; this requires both PTK2B/PYK2 and SRC. May inhibit differentiation and activity of osteoprogenitor cells. Functions in signaling downstream of integrin and collagen receptors, immune receptors, G-protein coupled receptors (GPCR), cytokine, chemokine and growth factor receptors, and mediates responses to cellular stress. Forms multisubunit signaling complexes with SRC and SRC family members upon activation; this leads to the phosphorylation of additional tyrosine residues, creating binding sites for scaffold proteins, effectors and substrates. Regulates numerous signaling pathways. Promotes activation of phosphatidylinositol 3-kinase and of the AKT1 signaling cascade. Promotes activation of NOS3. Regulates production of the cellular messenger cGMP. Promotes activation of the MAP kinase signaling cascade, including activation of MAPK1/ERK2, MAPK3/ERK1 and MAPK8/JNK1. Promotes activation of Rho family GTPases, such as RHOA and RAC1. Recruits the ubiquitin ligase MDM2 to P53/TP53 in the nucleus, and thereby regulates P53/TP53 activity, P53/TP53 ubiquitination and proteasomal degradation. Acts as a scaffold, binding to both PDPK1 and SRC, thereby allowing SRC to phosphorylate PDPK1 at 'Tyr-9, 'Tyr-373', and 'Tyr-376'. Promotes phosphorylation of NMDA receptors by SRC family members, and thereby contributes to the regulation of NMDA receptor ion channel activity and intracellular Ca(2+) levels. May also regulate potassium ion transport by phosphorylation of potassium channel subunits. Phosphorylates SRC; this increases SRC kinase activity. Phosphorylates ASAP1, NPHP1, KCNA2 and SHC1. Promotes phosphorylation of ASAP2, RHOU and PXN; this requires both SRC and PTK2/PYK2. Subunit: Homodimer, or homooligomer. Interacts with SIRPA and SH2D3C. Interacts with ARHGAP10. Interacts with DLG4 (By similarity). Interacts with NPHP1, ASAP1, ASAP2, ARHGAP26, SKAP2 and TGFB1I1. The Tyr-402 phosphorylated form interacts with SRC (via SH2 domain) and SRC family members. Forms a signaling complex with EPHA1, LCK and phosphatidylinositol 3-kinase; upon activation by EFNA1. Interacts with GRB2 (via SH2 domain). Interacts with P53/TP53 and MDM2. Interacts with MYLK. Interacts with BCAR1. Interacts with PDPK1. Interacts (hypophosphorylated) with PXN. Interacts with RB1CC1. Interacts with RHOU. Interacts with VAV1. Interacts with LPXN and PTPN12. Subcellular Location: Cytoplasm. Cytoplasm, perinuclear region. Cell membrane; Peripheral membrane protein; Cytoplasmic side. Cell junction, focal adhesion. Cell projection, lamellipodium. Cytoplasm, cell cortex. Nucleus. Tissue Specificity: Most abundant in the brain, with highest levels in amygdala and hippocampus. Low levels in kidney (at protein level). Also expressed in spleen and lymphocytes. Post-translational modifications: Phosphorylated on tyrosine residues in response to various stimuli that elevate the intracellular calcium concentration; this activation is indirect and may be mediated by production of reactive oxygen species (ROS). Tyr-402 is the major autophosphorylation site, but other kinases can also phosphorylate Tyr-402. Autophosphorylation occurs in trans, i.e. one subunit of the dimeric receptor phosphorylates tyrosine residues on the other subunit. Phosphorylation at Tyr-402 promotes interaction with SRC and SRC family members, leading to phosphorylation at Tyr-579; Tyr-580 and Tyr-881. Phosphorylation at Tyr-881 is important for interaction with GRB2. Phosphorylated on tyrosine residues upon activation of FGR and PKC. Recruitment by NPHP1 to cell matrix adhesions initiates Tyr-402 phosphorylation. In monocytes, adherence to substrata is required for tyrosine phosphorylation and kinase activation. Angiotensin II, thapsigargin and L-alpha-lysophosphatidic acid (LPA) also induce autophosphorylation and increase kinase activity. Phosphorylation by MYLK promotes ITGB2 activation and is thus essential to trigger neutrophil transmigration during lung injury. Dephosphorylated by PTPN12. DISEASE: Note=Aberrant PTK2B/PYK2 expression may play a role in cancer cell proliferation, migration and invasion, in tumor formation and metastasis. Elevated PTK2B/PYK2 expression is seen in gliomas, hepatocellular carcinoma, lung cancer and breast cancer. Similarity: Belongs to the protein kinase superfamily. Tyr protein kinase family. FAK subfamily. Contains 1 FERM domain. Contains 1 protein kinase domain. SWISS: Q14289 Gene ID: 2185 Database links: Entrez Gene: 2185 Human Entrez Gene: 19229 Muse Entrez Gene: 50646 Rat Omim: 601212 Human SwissProt: Q14289 Human SwissProt: Q9QVP9 Mouse SwissProt: P70600 Rat Unigene: 491322 Human Unigene: 21613 Mouse Unigene: 11025 Rat Important Note: This product as supplied is intended for research use only, not for use in human, therapeutic or diagnostic applications. 富含脯氨酸的酪氨酸激酶 2 (protein richtyro sinekinase 2 ,PYK2 ) ,又称细胞粘附激酶β(cellularadhesionkinaseβ ,CAKβ)、相关粘附聚焦酪氨酸激酶(relatedadhesionfocaltyrosinekinase ,RAFTK) ,是粘着斑激酶 (focaladhesionkinase,FAK)家族的成员之一。PYK2是FAK家族的成员之一 ,是一种钙依赖性酪氨酸激酶 ,在氨基酸序列上与FAK有 4 5 %的同源性。它的活化涉及了多条信号传导通路 ,与离子通道的调节、细胞骨架的联系及细胞增殖、凋亡密切相关。血管紧张素Ⅱ、一氧化氮可调节PYK2的活性。在神经系统中高度表达的蛋白酪氨酸激酶 (Pyk2),其酪氨酸残基因为各种G蛋白偶联受体和胞外信号而被磷酸化,从而增加胞内钙离子的浓度. |
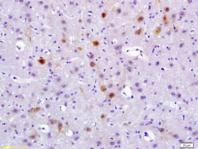
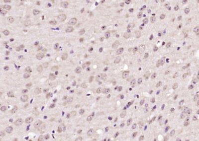
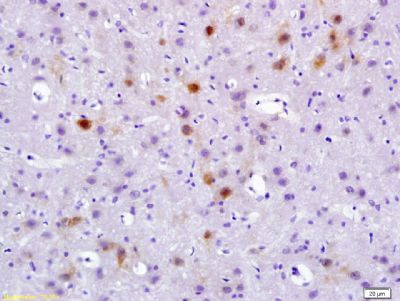
| 产品图片 | ![]() Paraformaldehyde-fixed, paraffin embedded (Mouse brain); Antigen retrieval by boiling in sodium citrate buffer (pH6.0) for 15min; Block endogenous peroxidase by 3% hydrogen peroxide for 20 minutes; Blocking buffer (normal goat serum) at 37°C for 30min; Antibody incubation with (phospho-PYK2 (Tyr402)) Polyclonal Antibody, Unconjugated (bs-3400R) at 1:400 overnight at 4°C, followed by a conjugated secondary antibody (sp-0023) for 20 minutes and DAB staining. ![]() Paraformaldehyde-fixed, paraffin embedded (Rat brain); Antigen retrieval by boiling in sodium citrate buffer (pH6.0) for 15min; Block endogenous peroxidase by 3% hydrogen peroxide for 20 minutes; Blocking buffer (normal goat serum) at 37°C for 30min; Antibody incubation with (phospho-PYK2 (Tyr402)) Polyclonal Antibody, Unconjugated (bs-3400R) at 1:400 overnight at 4°C, followed by a conjugated secondary antibody (sp-0023) for 20 minutes and DAB staining. ![]() Tissue/cell: rat brain tissue; 4% Paraformaldehyde-fixed and paraffin-embedded; Antigen retrieval: citrate buffer ( 0.01M, pH 6.0 ), Boiling bathing for 15min; Block endogenous peroxidase by 3% Hydrogen peroxide for 30min; Blocking buffer (normal goat serum,C-0005) at 37℃ for 20 min; Incubation: Anti-phospho-Pyk2/PTK2B(Tyr402) Polyclonal Antibody, Unconjugated(bs-3400R) 1:200, overnight at 4°C, followed by conjugation to the secondary antibody(SP-0023) and DAB(C-0010) staining |
风险提示:丁香通仅作为第三方平台,为商家信息发布提供平台空间。用户咨询产品时请注意保护个人信息及财产安全,合理判断,谨慎选购商品,商家和用户对交易行为负责。对于医疗器械类产品,请先查证核实企业经营资质和医疗器械产品注册证情况。
文献和实验Using Phospho‐Motif Antibodies to Determine Kinase Substrates
the phosphorylation site; therefore, substrate?directed, phosphorylation?state?sensitive, motif?specific (?phospho?motif?) antibodies represent powerful tools to identify novel kinase substrates and to investigate mechanisms of substrate phosphorylation
网络 第二节 蛋白酪氨酸激酶 蛋白酷氨酸激酶(protein tyrosine kinase,PTK)是一类催化ATP上γ-磷酸转移到蛋白酪氨酸残基上的激酶,能催化多种底物蛋白质酪氨酸残基磷酸化,在细胞生长、增殖、分化中具有重要作用。迄今发现的蛋白酪氨酸激酶中多数是属于致癌RNA病毒的癌基因产物,也可由脊椎动物的原癌基因产。根据PTK是否存在于细胞
signaling公司的Phospho-PI3K p85 (Tyr458)/p55(Tyr199) 我自己分析没有条带无非是细胞状态不好,或者抗体不好,不知道还有没有可能是没有加磷酸化酶抑制剂,以至于磷酸化的蛋白被去磷酸化了? 谢谢啦~ yhwangcams 检测内参蛋白如GAPDH,ACTIN,TUBULIN是否成功? 用PLB裂解细胞得到的蛋白适合做REPORTER,做WESTERN不太合适。建议可以用其他BUFFER裂解蛋白。
技术资料暂无技术资料 索取技术资料













