相关产品推荐更多 >
万千商家帮你免费找货
0 人在求购买到急需产品
- 详细信息
- 文献和实验
- 技术资料
- 供应商:
上海联迈生物工程有限公司
- 库存:
大量
- 目录编号:
LM-2553R
- 克隆性:
多克隆
- 抗原来源:
Rabbit
- 保质期:
1年
- 抗体英文名:
CXCL13
- 抗体名:
B-淋巴细胞趋化因子抗体
- 宿主:
Rabbit
- 适应物种:
Human, Dog,
- 免疫原:
KLH conjugated synthetic peptide derived from human CXCL13:23-109/109
- 亚型:
IgG
- 形态:
Lyophilized or Liquid
- 应用范围:
WB=1:500-2000 ELISA=1:500-1000 IHC-P=1:400-800 IHC-F=1:400-800 IF=1:100-500 (石蜡切片需做抗原修复)
- 浓度:
1mg/ml
- 保存条件:
Store at -20 °C
- 规格:
50ul 100ul 200ul
| 英文名称 | CXCL13 |
| 中文名称 | B-淋巴细胞趋化因子抗体 |
| 别 名 | ANGIE; ANGIE2; B cell attracting chemokine 1; B cell-attracting chemokine 1; B lymphocyte chemoattractant; B-cell chemoattractant; B-cell-attracting chemokine 1; BCA-1; BLC; BLR1L; C-X-C motif chemokine 13; Chemokine (C-X-C motif) ligand 13; Chemokine (C-X-C motif) ligand 13 (B-cell chemoattractant); Chemokine, CXC motif, ligand 13; CXC chemokine BLC; CXCL13; CXL13_HUMAN; SCYB13; Small inducible cytokine B subfamily (Cys-X-Cys motif), member 13 (B-cell chemoattractant); Small inducible cytokine B13; Small inducible cytokine subfamily B, member 13; Small-inducible cytokine B13. |
![]() |
Specific References (3) | bs-2553R has been referenced in 3 publications. [IF=8.98] Pei, Guangchang, et al. "Renal Interstitial Infiltration and Tertiary Lymphoid Organ Neogenesis in IgA Nephropathy." Clinical Journal of the American Society of Nephrology (2013): CJN-01150113. IHC-P ; Human. PubMed:24262509 [IF=4.21] Pimenta, Erica Maria, et al. "IRF5 is a novel regulator of CXCL13 expression in breast cancer that regulates CXCR5+ B-and T-cell trafficking to tumor-conditioned media." Immunology and Cell Biology (2014). other ; Human. PubMed:25533286 [IF=2.07] Lemma, Siria A., et al. "Similar chemokine receptor profiles in lymphomas with central nervous system involvement–possible biomarkers for patient selection for central nervous system prophylaxis, a retrospective study." European Journal of Haematology (2015). IHC-P ; Human. PubMed:26153511 |
| 规格价格 | 50ul/780元 购买 100ul/1380元 购买 200ul/2200元 购买 大包装/询价 |
| 说 明 书 | 50ul 100ul 200ul |
| 研究领域 | 细胞生物 免疫学 趋化因子 b-淋巴细胞 |
| 抗体来源 | Rabbit |
| 克隆类型 | Polyclonal |
| 交叉反应 | Human, Dog, |
| 产品应用 | WB=1:500-2000 ELISA=1:500-1000 IHC-P=1:400-800 IHC-F=1:400-800 IF=1:100-500 (石蜡切片需做抗原修复) not yet tested in other applications. optimal dilutions/concentrations should be determined by the end user. |
| 分 子 量 | 10kDa |
| 细胞定位 | 分泌型蛋白 |
| 性 状 | Lyophilized or Liquid |
| 浓 度 | 1mg/ml |
| 免 疫 原 | KLH conjugated synthetic peptide derived from human CXCL13:23-109/109 |
| 亚 型 | IgG |
| 纯化方法 | affinity purified by Protein A |
| 储 存 液 | 0.01M TBS(pH7.4) with 1% BSA, 0.03% Proclin300 and 50% Glycerol. |
| 保存条件 | Store at -20 °C for one year. Avoid repeated freeze/thaw cycles. The lyophilized antibody is stable at room temperature for at least one month and for greater than a year when kept at -20°C. When reconstituted in sterile pH 7.4 0.01M PBS or diluent of antibody the antibody is stable for at least two weeks at 2-4 °C. |
| PubMed | PubMed |
| 产品介绍 | background: B lymphocyte chemoattractant, independently cloned and named Angie, is a CXC chemokine strongly expressed in the follicles of the spleen, lymph nodes, and Peyer's patches. It preferentially promotes the migration of B lymphocytes (compared to T cells and macrophages), apparently by stimulating calcium influx into, and chemotaxis of, cells expressing Burkitt's lymphoma receptor 1 (BLR1). It may therefore function in the homing of B lymphocytes to follicles. Function: Chemotactic for B-lymphocytes but not for T-lymphocytes, monocytes and neutrophils. Does not induce calcium release in B-lymphocytes. Binds to BLR1/CXCR5. Subcellular Location: Secreted. Tissue Specificity: Highest levels in liver, followed by spleen, lymph node, appendix and stomach. Low levels in salivary gland, mammary gland and fetal spleen. Similarity: Belongs to the intercrine alpha (chemokine CxC) family. SWISS: O43927 Gene ID: 10563 Database links: Entrez Gene: 10563 Human Entrez Gene: 55985 Mouse Entrez Gene: 498335 Rat Omim: 605149 Human SwissProt: O43927 Human SwissProt: O55038 Mouse Unigene: 100431 Human Unigene: 10116 Mouse Unigene: 6917 Rat Important Note: This product as supplied is intended for research use only, not for use in human, therapeutic or diagnostic applications. |
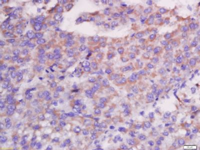
| 产品图片 | ![]() Paraformaldehyde-fixed, paraffin embedded (human liver carcinoma); Antigen retrieval by boiling in sodium citrate buffer (pH6.0) for 15min; Block endogenous peroxidase by 3% hydrogen peroxide for 20 minutes; Blocking buffer (normal goat serum) at 37°C for 30min; Antibody incubation with (CXCL13) Polyclonal Antibody, Unconjugated (bs-2553R) at 1:400 overnight at 4°C, followed by a conjugated secondary (sp-0023) for 20 minutes and DAB staining. |
风险提示:丁香通仅作为第三方平台,为商家信息发布提供平台空间。用户咨询产品时请注意保护个人信息及财产安全,合理判断,谨慎选购商品,商家和用户对交易行为负责。对于医疗器械类产品,请先查证核实企业经营资质和医疗器械产品注册证情况。
文献和实验Nature 重磅:新发脑胶质瘤疫苗初见成效,瞄准肿瘤「阿喀琉斯之踵」
) 结果显示,患者 ID08 的 PSPD 病灶中发现了三组 CD4+T 细胞:调节性 T 细胞、活化的 CD40LG+CD4+T 细胞和 CXCL13+CD4+T 细胞。有研究报道,CXCL13+CD4+T 细胞对抗肿瘤免疫很重要。再结合 TCR 测序结果,研究人员发现 CD40LG+CD4 + 和 CXCL13+CD4+T 细胞簇都由一个 TCR 控制,即 TCR14。TCR14 是 CD4 + 单个 T 细胞谱系中第四丰富的 TCR,而前三位丰富的 CD4+TCR (TCR11-13) 主要表达
人COX-2 48T/96T 2000/3000 进口分装 F0046 ★ 粒细胞集落刺激因子(G-CSF) 48T/96T , 1200/2000 进口分装 F0047 ★ 粒细胞- 巨噬细胞集落刺激因子 (GM-CSF) 48T/96T 1200/2000 进口分装 F0048 粒细胞- 巨噬细胞集落刺激因子抗体 (GM-CSF Ab) 48T/96T 2000/3000 进口分装 F0049 巨噬细胞集落刺激因子(M-CSF) 48
) ELISA 48T/96T 2000/3000 进口分装 F00416 可溶性 CD163 分子 (sCD163) ELISA 48T/96T 2000/3000 进口分装 F00420 环磷酸鸟苷 (cGMP) ELISA 48T/96T 2000/3000 进口分装 F00430 次级淋巴组织趋化因子 6Ckine(CCL21) ELISA 48T/96T 2000/3000 进口分装 F00431 补体 C3a(C3a) ELISA 48T/96T 2000/3000 进口
技术资料暂无技术资料 索取技术资料












