相关产品推荐更多 >
万千商家帮你免费找货
0 人在求购买到急需产品
- 详细信息
- 文献和实验
- 技术资料
- 供应商:
上海联迈生物工程有限公司
- 库存:
大量
- 目录编号:
LM-2540R
- 克隆性:
多克隆
- 抗原来源:
Rabbit
- 保质期:
1年
- 抗体英文名:
GLUT12
- 抗体名:
葡萄糖转运蛋白12抗体
- 宿主:
Rabbit
- 适应物种:
Human, Mouse, Rat, Chicken, Dog, Pig, Cow, Horse, Rabbit, Guinea Pig,
- 免疫原:
KLH conjugated synthetic peptide derived from human GLUT12 (558-588aa):251-350/617 <Extracellular>
- 亚型:
IgG
- 形态:
Lyophilized or Liquid
- 应用范围:
WB=1:500-2000 ELISA=1:500-1000 IHC-P=1:400-800 IHC-F=1:400-800 Flow-Cyt=2μg/Test IF=1:100-500 (石蜡切片需做抗原修复)
- 浓度:
1mg/ml
- 保存条件:
Store at -20 °C
- 规格:
100ul 200ul
| 英文名称 | GLUT12 |
| 中文名称 | 葡萄糖转运蛋白12抗体 |
| 别 名 | GLUT-12; GTR12_HUMAN; Glucose transporter type 12; Glucose transporter type 12; GLUT 12; GLUT8; SLC2A12; Solute carrier family 2 (facilitated glucose transporter) member 12; Solute carrier family 2 facilitated glucose transporter member 12; Solute carrier family 2 member 12. |
![]() |
Specific References (3) | bs-2540R has been referenced in 3 publications. [IF=3.05] Murakami, Ryuta, et al. "Immunoreactivity of glucose transporter 8 is localized in the epithelial cells of the choroid plexus and in ependymal cells." Histochemistry and Cell Biology (2016):1-6 IHC-F ; Mouse. PubMed:27160096 [IF=4.17] Pujol-Gimenez, Jonai, et al. "Expression of the Glucose Transporter GLUT12 in Alzheimers Disease Patients." Journal of Alzheimers Disease (2014). WB ; Human. PubMed:24820014 [IF=2.64] Pujol-Gimenez, Jonai, et al. "Expression of the Glucose Transporter GLUT12 in Alzheimers Disease Patients." Journal of Alzheimers Disease (2014). IHC-P ; Human. PubMed:25561978 |
| 规格价格 | 100ul/1380元 购买 200ul/2200元 购买 大包装/询价 |
| 说 明 书 | 100ul 200ul |
| 研究领域 | 免疫学 转运蛋白 |
| 抗体来源 | Rabbit |
| 克隆类型 | Polyclonal |
| 交叉反应 | Human, Mouse, Rat, Chicken, Dog, Pig, Cow, Horse, Rabbit, Guinea Pig, |
| 产品应用 | WB=1:500-2000 ELISA=1:500-1000 IHC-P=1:400-800 IHC-F=1:400-800 Flow-Cyt=2μg/Test IF=1:100-500 (石蜡切片需做抗原修复) not yet tested in other applications. optimal dilutions/concentrations should be determined by the end user. |
| 分 子 量 | 68kDa |
| 细胞定位 | 细胞浆 细胞膜 |
| 性 状 | Lyophilized or Liquid |
| 浓 度 | 1mg/ml |
| 免 疫 原 | KLH conjugated synthetic peptide derived from human GLUT12 (558-588aa):251-350/617 <Extracellular> |
| 亚 型 | IgG |
| 纯化方法 | affinity purified by Protein A |
| 储 存 液 | 0.01M TBS(pH7.4) with 1% BSA, 0.03% Proclin300 and 50% Glycerol. |
| 保存条件 | Store at -20 °C for one year. Avoid repeated freeze/thaw cycles. The lyophilized antibody is stable at room temperature for at least one month and for greater than a year when kept at -20°C. When reconstituted in sterile pH 7.4 0.01M PBS or diluent of antibody the antibody is stable for at least two weeks at 2-4 °C. |
| PubMed | PubMed |
| 产品介绍 | background: GLUT12 belongs to a family of transporters that catalyze the uptake of sugars through facilitated diffusion. Thirteen different types of glucose/fructose transport carrier proteins designated as Glut 1-13 facilitate glucose/fructose transport across the cell membrane. Individual members of the Glut family have predicted secondary structure characteristic of 12 membrane spanning domains of other transport carriers. Function: Facilitative glucose transporter. Subcellular Location: Endomembrane system; Multi-pass membrane protein. Cytoplasm, perinuclear region. Note=Localizes primarily perinuclear region in the absence of insulin. Tissue Specificity: Predominantly expressed in skeletal muscle, heart and prostate, with lower levels in brain, placenta and kidney. Similarity: Belongs to the major facilitator superfamily. Sugar transporter (TC 2.A.1.1) family. Glucose transporter subfamily. SWISS: Q8TD20 Gene ID: 154091 Database links: Entrez Gene: 154091?/span>Human Entrez Gene: 353169?/span>Mouse Entrez Gene: 308028?/span>Rat Omim: 610372?/span>Human SwissProt: Q8TD20?/span>Human SwissProt: Q8BFW9?/span>Mouse Unigene: 486508?/span>Human Unigene: 473705?/span>Mouse Important Note: This product as supplied is intended for research use only, not for use in human, therapeutic or diagnostic applications. |
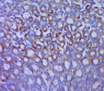
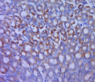
| 产品图片 | ![]() Sample: Heart (Rat) Lysate at 40 ug Primary: Anti- GLUT12 (bs-2540R)at 1/300 dilution Secondary: IRDye800CW Goat Anti-Rabbit IgG at 1/20000 dilution Predicted band size: 68kD Observed band size: 68kD ![]() Paraformaldehyde-fixed, paraffin embedded (rat stomach tissue); Antigen retrieval by boiling in sodium citrate buffer (pH6.0) for 15min; Block endogenous peroxidase by 3% hydrogen peroxide for 20 minutes; Blocking buffer (normal goat serum) at 37°C for 30min; Antibody incubation with (GLUT12) Polyclonal Antibody, Unconjugated (bs-2540R) at 1:400 overnight at 4°C, followed by a conjugated secondary (sp-0023) for 20 minutes and DAB staining. |
风险提示:丁香通仅作为第三方平台,为商家信息发布提供平台空间。用户咨询产品时请注意保护个人信息及财产安全,合理判断,谨慎选购商品,商家和用户对交易行为负责。对于医疗器械类产品,请先查证核实企业经营资质和医疗器械产品注册证情况。
文献和实验颜宁团队 2021 首秀+ 2020 年度文章赏析,看大牛如何玩转结构生物学!
2020 年结构生物学突飞猛进,取得了令人瞩目的成就! 疫情初期,面对新型的冠状病毒,结构生物学家们争先恐后的对病毒结构进行了深度解析,一系列的研究成果为后续的抗体检测、中和抗体、疫苗研发等提供了坚实的结构基础; 2020 年 10 月,Nature 「背靠背」发表文章,将人们利用冷冻电镜的观测精度扩展到了原子分辨率级别,高达 1.2 Å 的分辨率下,蛋白原子结构清晰可见,与电子密度图完美契合; 2020 年 12 月,由 Google 旗下 DeepMind 开发的 AI 系统
警惕!塑料中的这种化学物质可改变精子,对健康的危害竟会延续两代
,接触 DCHP 的 F0 亲本所产生的 F2 后代小鼠中,只有雌性而非雄性小鼠表现出糖耐量受损,但胰岛素耐量结果相当,这表明父本接触 DCHP 对后代代谢健康具有性别特异性的跨代影响。 他们还分析了肝脏基因表达,以了解在 F2 雌性小鼠中葡萄糖不耐受表型的潜在机制,结果发现,包括 Glut2 和 Tlr8 在内的几个基因,在 F1 小鼠中被父系 DCHP 暴露改变,但在 F2 小鼠中没有改变;不过,另一个葡萄糖转运蛋白家族基因 Glut9 在 F2 雌性小鼠的肝脏中被父系 DCHP 暴露显著
快速老化痴呆模型小白鼠SAMP8, SAMP10老化特征研究进展
差别,说明P8脑中葡萄糖的代谢异常增加,而且这种增加与跨膜的葡萄糖转运系统有关;进一步研究表明脑细胞摄取2-脱氧-D-葡萄糖的能力和细胞松弛素B结合脑细胞膜的能力P8比R2显著增加,而且这种增加只发现于4-8周龄的P8皮层中,在大脑的其他区域和其他周龄鼠(2周龄和40-48周龄)中均没有发现,说明在P8生长发育的早期(1-2月龄)即出现葡萄糖代谢异常和转运蛋白异常,可能此为P8脑损伤原因之一。 ⑵ 一氧化氮的异常 一氧化氮(NO)是一种不同于经典神经递质的信息传递物质,是一种自由基性质的气体。参与
技术资料暂无技术资料 索取技术资料













