相关产品推荐更多 >
万千商家帮你免费找货
0 人在求购买到急需产品
- 详细信息
- 文献和实验
- 技术资料
- 供应商:
上海联迈生物工程有限公司
- 库存:
大量
- 目录编号:
LM-2533R
- 克隆性:
多克隆
- 抗原来源:
Rabbit
- 保质期:
1年
- 抗体英文名:
Versican
- 抗体名:
蛋白聚糖Versican抗体
- 宿主:
Rabbit
- 适应物种:
Human, Mouse, Rat, Dog, Pig, Cow, Horse,
- 免疫原:
KLH conjugated synthetic peptide derived from human Versican:3301-3396/3396
- 亚型:
IgG
- 形态:
Lyophilized or Liquid
- 应用范围:
ELISA=1:500-1000 IHC-P=1:400-800 IHC-F=1:400-800 IF=1:100-500 (石蜡切片需做抗原修复)
- 浓度:
1mg/ml
- 保存条件:
Store at -20 °C
- 规格:
50ul 100ul 200ul
| 英文名称 | Versican |
| 中文名称 | 蛋白聚糖Versican抗体 |
| 别 名 | Versican; CSPG2; DKFZp686K06110; ERVR; GHAP; PG-M; WGN; WGN1; versican core protein isoform 1 precursor; ; Large fibroblast proteoglycan; Chondroitin sulfate proteoglycan 2; Chondroitin sulfate proteoglycan core protein 2; CSPG2; Glial hyaluronate binding protein; Glial hyaluronate-binding protein; Large fibroblast proteoglycan; PGM; V1 Neo; VCAN; Versican core protein; Versican proteoglycan; Versican V0; CSPG2_HUMAN. |
| 规格价格 | 50ul/780元 购买 100ul/1380元 购买 200ul/2200元 购买 大包装/询价 |
| 说 明 书 | 50ul 100ul 200ul |
| 研究领域 | 细胞生物 免疫学 信号转导 转录调节因子 |
| 抗体来源 | Rabbit |
| 克隆类型 | Polyclonal |
| 交叉反应 | Human, Mouse, Rat, Dog, Pig, Cow, Horse, |
| 产品应用 | ELISA=1:500-1000 IHC-P=1:400-800 IHC-F=1:400-800 IF=1:100-500 (石蜡切片需做抗原修复) not yet tested in other applications. optimal dilutions/concentrations should be determined by the end user. |
| 分 子 量 | 370kDa |
| 细胞定位 | 细胞外基质 分泌型蛋白 |
| 性 状 | Lyophilized or Liquid |
| 浓 度 | 1mg/ml |
| 免 疫 原 | KLH conjugated synthetic peptide derived from human Versican:3301-3396/3396 |
| 亚 型 | IgG |
| 纯化方法 | affinity purified by Protein A |
| 储 存 液 | 0.01M TBS(pH7.4) with 1% BSA, 0.03% Proclin300 and 50% Glycerol. |
| 保存条件 | Store at -20 °C for one year. Avoid repeated freeze/thaw cycles. The lyophilized antibody is stable at room temperature for at least one month and for greater than a year when kept at -20°C. When reconstituted in sterile pH 7.4 0.01M PBS or diluent of antibody the antibody is stable for at least two weeks at 2-4 °C. |
| PubMed | PubMed |
| 产品介绍 | background: This gene is a member of the aggrecan/versican proteoglycan family. The protein encoded is a large chondroitin sulfate proteoglycan and is a major component of the extracellular matrix. This protein is involved in cell adhesion, proliferation, proliferation, migration and angiogenesis and plays a central role in tissue morphogenesis and maintenance. Mutations in this gene are the cause of Wagner syndrome type 1. Multiple transcript variants encoding different isoforms have been found for this gene. [provided by RefSeq]. Function: May play a role in intercellular signaling and in connecting cells with the extracellular matrix. May take part in the regulation of cell motility, growth and differentiation. Binds hyaluronic acid. Subunit: Interacts with FBLN1 (By similarity). Subcellular Location: Secreted, extracellular space, extracellular matrix. Tissue Specificity: Cerebral white matter and plasma. Isoform V0 and isoform V1 are expressed in normal brain, gliomas, medulloblastomas, schwannomas, neurofibromas, and meningiomas. Isoform V2 is restricted to normal brain and gliomas. Isoform V3 is found in all these tissues except medulloblastomas. Post-translational modifications: Phosphorylation sites are present in the extracellular medium. DISEASE: Defects in VCAN are the cause of Wagner syndrome type 1 (WGN1) [MIM:143200]. WGN is a dominantly inherited vitreoretinopathy characterized by an optically empty vitreous cavity with fibrillary condensations and a preretinal avascular membrane. Other optical features include progressive chorioretinal atrophy, perivascular sheating, subcapsular cataract and myopia. Systemic manifestations are absent in WGN. Similarity: Belongs to the aggrecan/versican proteoglycan family. Contains 1 C-type lectin domain. Contains 2 EGF-like domains. Contains 1 Ig-like V-type (immunoglobulin-like) domain. Contains 2 Link domains. Contains 1 Sushi (CCP/SCR) domain. SWISS: P13611 Gene ID: 1462 Database links: Entrez Gene: 1462 Human Entrez Gene: 13003 Mouse Entrez Gene: 114122 Rat Omim: 118661 Human SwissProt: P13611 Human SwissProt: Q62059 Mouse SwissProt: Q9ERB4 Rat Unigene: 643801 Human Unigene: 715773 Human Unigene: 158700 Mouse Unigene: 410783 Mouse Unigene: 35666 Rat Important Note: This product as supplied is intended for research use only, not for use in human, therapeutic or diagnostic applications. |
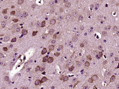
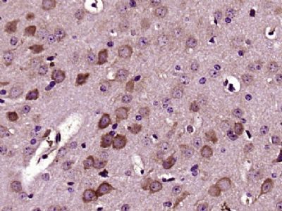
| 产品图片 | ![]() Paraformaldehyde-fixed, paraffin embedded (Rat brain); Antigen retrieval by boiling in sodium citrate buffer (pH6.0) for 15min; Block endogenous peroxidase by 3% hydrogen peroxide for 20 minutes; Blocking buffer (normal goat serum) at 37°C for 30min; Antibody incubation with (Versican) Polyclonal Antibody, Unconjugated (bs-2533R) at 1:400 overnight at 4°C, followed by a conjugated secondary antibody (sp-0023) for 20 minutes and DAB staining. ![]() Paraformaldehyde-fixed, paraffin embedded (Mouse brain); Antigen retrieval by boiling in sodium citrate buffer (pH6.0) for 15min; Block endogenous peroxidase by 3% hydrogen peroxide for 20 minutes; Blocking buffer (normal goat serum) at 37°C for 30min; Antibody incubation with (Versican) Polyclonal Antibody, Unconjugated (bs-2533R) at 1:400 overnight at 4°C, followed by a conjugated secondary antibody (sp-0023) for 20 minutes and DAB staining. |
风险提示:丁香通仅作为第三方平台,为商家信息发布提供平台空间。用户咨询产品时请注意保护个人信息及财产安全,合理判断,谨慎选购商品,商家和用户对交易行为负责。对于医疗器械类产品,请先查证核实企业经营资质和医疗器械产品注册证情况。
文献和实验Mapping of the Wnt/-Catenin/TCF Response Elements in the Human Versican Promoter
Versican, a chondroitin sulfate proteoglycan, is one of the main components of the extracellular matrix and is considered to be crucial to several key cellular processes involved in development and disease. There is differential temporal
, a constitutive and complete inactivation may even preclude any in vivo studies of later expressed splice-variants in mice. To explore function of the tissue-restricted versican V2 isoform during central nervous system maturation, for instance
veratridine|藜芦定,藜芦碱Ⅰ[可作用于钠通道的固醇类生物碱] vernalin|春花素 vernalization|春花 verotoxin|Vero细胞毒素[一种志贺样毒素] verrucarine|疣孢菌素 versican|多功能蛋白聚糖[来自成纤维细胞的一种蛋白聚糖,又称PG-M或PG-350] versicolorin A|杂色曲霉素A vibrio|弧菌
技术资料暂无技术资料 索取技术资料












