相关产品推荐更多 >
万千商家帮你免费找货
0 人在求购买到急需产品
- 详细信息
- 文献和实验
- 技术资料
- 供应商:
上海联迈生物工程有限公司
- 库存:
大量
- 目录编号:
LM-20824R
- 克隆性:
多克隆
- 抗原来源:
Rabbit
- 保质期:
1年
- 抗体英文名:
CK5+CK6
- 抗体名:
细胞角蛋白5+6抗体
- 宿主:
Rabbit
- 适应物种:
Human, Mouse,
- 免疫原:
KLH conjugated synthetic peptide derived from human CK5+CK6:161-220/590
- 亚型:
IgG
- 形态:
Lyophilized or Liquid
- 应用范围:
WB=1:500-2000 ELISA=1:500-1000 IHC-P=1:400-800 IHC-F=1:400-800 Flow-Cyt=1μg/Test ICC=1:100-500 IF=1:100-500 (石蜡切片需做抗原修复)
- 浓度:
1mg/ml
- 保存条件:
Store at -20 °C
- 规格:
100ul 200ul
| 英文名称 | CK5+CK6 |
| 中文名称 | 细胞角蛋白5+6抗体 |
| 别 名 | CK5+6; Cytokeratin 5; Keratin, type II cytoskeletal 5; CK-5; Keratin-5; K5; 58 kDa cytokeratin; KRT5; CK 5; DDD; EBS 2; EBS2; K5; Keratin 5 (epidermolysis bullosa simplex Dowling-Meara/Kobner/Weber-Cockayne types); Keratin 5; Keratin Type II Cytoskeletal 5; Keratin5; KRT 5; KRT 5A; KRT5.KRT6A; CK6A; CK6B; CK6C; CK6D; CK 6E; K6A; K6C; K6D; KRT6C; Cytokeratin 6a; Cytokeratin 6B; Cytokeratin 6C; Cytokeratin 6D; Cytokeratin 6E; Cytokeratin6; k6a keratin; K6B; K6b keratin; K6c keratin; K6d keratin; K6e keratin; k6hf; Keratin 6 isoform K6e; Keratin 6C; Keratin 6E; Keratin K6h; Keratin type II cytoskeletal 6A; Keratin type II cytoskeletal 6B; Keratin type II cytoskeletal 6C; Keratin type II cytoskeletal 6D; Keratin type II cytoskeletal 6E; KRT6; KRT6A; KRT6B; KRT6C; KRT6D; KRT6E; MGC102925. |
| 规格价格 | 100ul/1380元 购买 200ul/2200元 购买 大包装/询价 |
| 说 明 书 | 100ul 200ul |
| 研究领域 | 肿瘤 |
| 抗体来源 | Rabbit |
| 克隆类型 | Polyclonal |
| 交叉反应 | Human, Mouse, |
| 产品应用 | WB=1:500-2000 ELISA=1:500-1000 IHC-P=1:400-800 IHC-F=1:400-800 Flow-Cyt=1μg/Test ICC=1:100-500 IF=1:100-500 (石蜡切片需做抗原修复) not yet tested in other applications. optimal dilutions/concentrations should be determined by the end user. |
| 分 子 量 | 62/60kDa |
| 细胞定位 | 细胞核 细胞浆 细胞膜 |
| 性 状 | Lyophilized or Liquid |
| 浓 度 | 1mg/ml |
| 免 疫 原 | KLH conjugated synthetic peptide derived from human CK5+CK6:161-220/590 |
| 亚 型 | IgG |
| 纯化方法 | affinity purified by Protein A |
| 储 存 液 | Preservative: 15mM Sodium Azide, Constituents: 1% BSA, 0.01M PBS, pH 7.4 |
| 保存条件 | Store at -20 °C for one year. Avoid repeated freeze/thaw cycles. The lyophilized antibody is stable at room temperature for at least one month and for greater than a year when kept at -20°C. When reconstituted in sterile pH 7.4 0.01M PBS or diluent of antibody the antibody is stable for at least two weeks at 2-4 °C. |
| PubMed | PubMed |
| 产品介绍 | background: Keratins 5, 6 are members of type II keratins family that are specifically expressed in the inner root sheath of hair follicles. The type II cytokeratins consist of basic or neutral proteins which are arranged in pairs of heterotypic keratin chains coexpressed during differentiation of simple and stratified epithelial tissues. Keratin 18 is memeber of the type I intermediate filament chain keratin 18. Keratin 18, together with its filament partner keratin 8, are perhaps the most commonly found members of the intermediate filament gene family. SWISS: P02538 Gene ID: 3852 Database links: Entrez Gene: 3852 Human Entrez Gene: 3853 Human Entrez Gene: 3854 Human Omim: 148040 Human SwissProt: P02538 Human SwissProt: P04259 Human SwissProt: P13647 Human Important Note: This product as supplied is intended for research use only, not for use in human, therapeutic or diagnostic applications. 细胞角蛋白5&6是高分子量细胞角蛋白,分子量分别为58KDa和56KDa。其表达在皮肤的基底细胞、棘层细胞和部分前列腺基底细胞。主要用于间皮瘤和腺癌的鉴别诊断,并可辅助诊断前列腺良恶性病变。 |
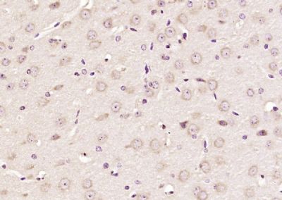
| 产品图片 | ![]() Sample: Esophagus (Mouse) Lysate at 40 ug Primary: Anti-CK5+CK6 (bs-20824R) at 1/300 dilution Secondary: IRDye800CW Goat Anti-Rabbit IgG at 1/20000 dilution Predicted band size: 62/60 kD Observed band size: 62/60 kD ![]() Sample: HepG2(Human) Cell Lysate at 30 ug Primary: Anti-CK5+CK6 (bs-20824R) at 1/300 dilution Secondary: IRDye800CW Goat Anti-Rabbit IgG at 1/20000 dilution Predicted band size: 62/60 kD Observed band size: 62/60 kD ![]() Paraformaldehyde-fixed, paraffin embedded (Mouse liver); Antigen retrieval by boiling in sodium citrate buffer (pH6.0) for 15min; Block endogenous peroxidase by 3% hydrogen peroxide for 20 minutes; Blocking buffer (normal goat serum) at 37°C for 30min; Antibody incubation with (CK5+CK6) Polyclonal Antibody, Unconjugated (bs-20824R) at 1:400 overnight at 4°C, followed by operating according to SP Kit(Rabbit) (sp-0023) instructionsand DAB staining. ![]() Paraformaldehyde-fixed, paraffin embedded (Mouse brain); Antigen retrieval by boiling in sodium citrate buffer (pH6.0) for 15min; Block endogenous peroxidase by 3% hydrogen peroxide for 20 minutes; Blocking buffer (normal goat serum) at 37°C for 30min; Antibody incubation with (CK5+CK6) Polyclonal Antibody, Unconjugated (bs-20824R) at 1:400 overnight at 4°C, followed by operating according to SP Kit(Rabbit) (sp-0023) instructionsand DAB staining. ![]() Blank control (blue line): Hela (fixed with 70% ethanol (Overmight at 4℃) and then permeabilized with 90% ice-cold methanol for 30 min at -20℃). Primary Antibody (green line): Rabbit Anti-CK5+CK6 antibody (bs-20824R), Dilution: 1μg /10^6 cells; Isotype Control Antibody (orange line): Rabbit IgG . Secondary Antibody (white blue line): Goat anti-rabbit IgG-PE,Dilution: 1μg /test. |
风险提示:丁香通仅作为第三方平台,为商家信息发布提供平台空间。用户咨询产品时请注意保护个人信息及财产安全,合理判断,谨慎选购商品,商家和用户对交易行为负责。对于医疗器械类产品,请先查证核实企业经营资质和医疗器械产品注册证情况。
文献和实验天冬酸氨基转移酶和HLA-A)表达上调,2项基因(角蛋白5和磷酸葡糖变位酶)表达下调。这些结果与组织中蛋白分析结果一致。研究结果提示,L-基质素的表达与结肠癌进展等级相一致。L-基质素可能是结肠癌转移的分子标志之一。在包括结肠和肝脏的多种肿瘤中有APC和CTNNBl(β-链蛋白)的改变。这些基因的突变可导致细胞内β-链蛋白的累积,激活WNT信号传递途径的组分,可能与结直肠癌的发生有关。Takahashi等采用cDNA芯片分析了包括β-链蛋白/TCF途径中的基因,向SW480细胞株转染APC从而细胞
技术资料暂无技术资料 索取技术资料















