相关产品推荐更多 >
万千商家帮你免费找货
0 人在求购买到急需产品
- 详细信息
- 文献和实验
- 技术资料
- 供应商:
上海联迈生物工程有限公司
- 库存:
大量
- 目录编号:
LM-19950R
- 克隆性:
多克隆
- 抗原来源:
Rabbit
- 保质期:
1年
- 抗体英文名:
TMEM109
- 抗体名:
跨膜蛋白109抗体
- 宿主:
Rabbit
- 适应物种:
Human, Mouse, Rat, Dog, Pig, Cow, Horse, Rabbit,
- 免疫原:
KLH conjugated synthetic peptide derived from human TMEM109:151-243/243
- 亚型:
IgG
- 形态:
Lyophilized or Liquid
- 应用范围:
WB=1:500-2000 ELISA=1:500-1000 IHC-P=1:400-800 IHC-F=1:400-800 ICC=1:100-500 IF=1:100-500 (石蜡切片需做抗原修复)
- 浓度:
1mg/ml
- 保存条件:
Store at -20 °C
- 规格:
100ul 200ul
| 英文名称 | TMEM109 |
| 中文名称 | 跨膜蛋白109抗体 |
| 别 名 | Mg23; Mitsugumin-23; TM109_HUMAN; TMEM109; Transmembrane protein 109. |
| 规格价格 | 100ul/1380元 购买 200ul/2200元 购买 大包装/询价 |
| 说 明 书 | 100ul 200ul |
| 研究领域 | 细胞生物 信号转导 跨膜蛋白 |
| 抗体来源 | Rabbit |
| 克隆类型 | Polyclonal |
| 交叉反应 | Human, Mouse, Rat, Dog, Pig, Cow, Horse, Rabbit, |
| 产品应用 | WB=1:500-2000 ELISA=1:500-1000 IHC-P=1:400-800 IHC-F=1:400-800 ICC=1:100-500 IF=1:100-500 (石蜡切片需做抗原修复) not yet tested in other applications. optimal dilutions/concentrations should be determined by the end user. |
| 分 子 量 | 23kDa |
| 细胞定位 | 细胞核 细胞浆 |
| 性 状 | Lyophilized or Liquid |
| 浓 度 | 1mg/ml |
| 免 疫 原 | KLH conjugated synthetic peptide derived from human TMEM109:151-243/243 |
| 亚 型 | IgG |
| 纯化方法 | affinity purified by Protein A |
| 储 存 液 | 0.01M TBS(pH7.4) with 1% BSA, 0.03% Proclin300 and 50% Glycerol. |
| 保存条件 | Store at -20 °C for one year. Avoid repeated freeze/thaw cycles. The lyophilized antibody is stable at room temperature for at least one month and for greater than a year when kept at -20°C. When reconstituted in sterile pH 7.4 0.01M PBS or diluent of antibody the antibody is stable for at least two weeks at 2-4 °C. |
| PubMed | PubMed |
| 产品介绍 | Subcellular Location: Nucleus outer membrane. Endoplasmic reticulum membrane. Sarcoplasmic reticulum membrane. SWISS: Q9BVC6 Gene ID: 79073 Database links: Entrez Gene: 79073 Human Entrez Gene: 68539 Mouse Entrez Gene: 361732 Rat SwissProt: Q9BVC6 Human SwissProt: Q3UBX0 Mouse SwissProt: Q6AYQ4 Rat Unigene: 13662 Human Important Note: This product as supplied is intended for research use only, not for use in human, therapeutic or diagnostic applications. |
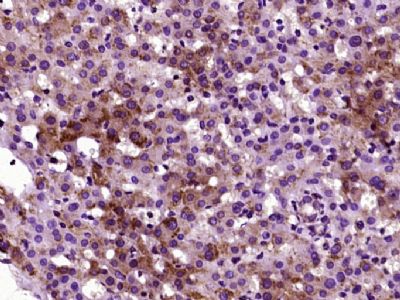
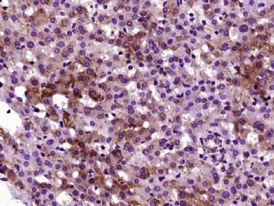
| 产品图片 | ![]() Sample: U251(Human) Cell Lysate at 40 ug Panc-1(Human) Cell Lysate at 40 ug Primary: Anti-TMEM109 (bs-10196R) at 1/300 dilution Secondary: IRDye800CW Goat Anti-Rabbit IgG at 1/20000 dilution Predicted band size: 23 kD Observed band size: 23 kD ![]() Paraformaldehyde-fixed, paraffin embedded (mouse brain tissue); Antigen retrieval by boiling in sodium citrate buffer (pH6.0) for 15min; Block endogenous peroxidase by 3% hydrogen peroxide for 20 minutes; Blocking buffer (normal goat serum) at 37°C for 30min; Antibody incubation with (TMEM109) Polyclonal Antibody, Unconjugated (bs-19950R) at 1:400 overnight at 4°C, followed by operating according to SP Kit(Rabbit) (sp-0023) instructionsand DAB staining. ![]() Paraformaldehyde-fixed, paraffin embedded (human liver tissue); Antigen retrieval by boiling in sodium citrate buffer (pH6.0) for 15min; Block endogenous peroxidase by 3% hydrogen peroxide for 20 minutes; Blocking buffer (normal goat serum) at 37°C for 30min; Antibody incubation with (TMEM109) Polyclonal Antibody, Unconjugated (bs-19950R) at 1:400 overnight at 4°C, followed by operating according to SP Kit(Rabbit) (sp-0023) instructionsand DAB staining. |
风险提示:丁香通仅作为第三方平台,为商家信息发布提供平台空间。用户咨询产品时请注意保护个人信息及财产安全,合理判断,谨慎选购商品,商家和用户对交易行为负责。对于医疗器械类产品,请先查证核实企业经营资质和医疗器械产品注册证情况。
文献和实验跨膜蛋白及药物研发 跨膜蛋白作为细胞膜的重要组成部分, 在物质运输、信号转导和细胞间识别等多种细胞功能中发挥着重要作用。其功能异常往往会导致疾病的发生,这使它们成为理想的药物作用靶点。目前以跨膜蛋白为药物靶点占现阶段己知药物靶点的60%以上。而针对抗体药靶点,膜蛋白几乎占90%以上。 跨膜蛋白在物质运输、信号转导和细胞间识别等多种细胞功能中发挥重要作用 抗原制备 尽管有着重大的意义,针对跨膜蛋白的药物开发仍然具有很大的挑战性,主要是因为跨膜蛋白的疏水结构,使得其在体外很难以可溶
实验室中时常听到这样的困惑,「明明通过免疫荧光(IF)能看到目的蛋白表达在细胞核膜上的表达,但为什么不论用总蛋白还是核蛋白进行 WB 检测,都无法检测到目的蛋白?」 类似这样的问题,你是否也深有感触? 实际操作过程中,是否遇到过免疫荧光有结果而蛋白印迹却没条带的情况?什么原因导致了这种情况?又该如何处理? 一、IF & WB 免疫荧光(IF)和免疫印迹(WB)都是利用抗原和抗体的特异性结合对目的蛋白质进行检测。IF 采用抗体和荧光检测固定细胞或组织中目的
能减少失败的概率,所以同学们做实验时也不要过于有心里负担,怕这怕那的,要保持一个自然的心态,否则容易抑郁。今天我们就来看一看生物信息学的各种神器是如何来帮助我们的 Western blot 实验。大家在查找抗体的时候有没有看见免疫原的序列和这两个图标呢?这个意思就是说厂家在生产这个抗体的时候,先是合成了一段肽链,这个肽链的氨基酸序列是从蛋白质序列里面摘录的,下面 blast with 意思就是分别和 NCBI 的数据库或 Expasy 的蛋白质数据库里的蛋白质氨基酸序列进行比对。这个 blast
技术资料暂无技术资料 索取技术资料












