相关产品推荐更多 >
万千商家帮你免费找货
0 人在求购买到急需产品
- 详细信息
- 文献和实验
- 技术资料
- 供应商:
上海联迈生物工程有限公司
- 库存:
大量
- 目录编号:
LM-19617R
- 克隆性:
多克隆
- 抗原来源:
Rabbit
- 保质期:
1年
- 抗体英文名:
SEC24D
- 抗体名:
转运蛋白SEC24D抗体
- 宿主:
Rabbit
- 适应物种:
Human, Cow,
- 免疫原:
KLH conjugated synthetic peptide derived from human SEC24D:951-1050/1032
- 亚型:
IgG
- 形态:
Lyophilized or Liquid
- 应用范围:
ELISA=1:500-1000 IHC-P=1:400-800 IHC-F=1:400-800 ICC=1:100-500 IF=1:100-500 (石蜡切片需做抗原修复)
- 浓度:
1mg/ml
- 保存条件:
Store at -20 °C
- 规格:
100ul 200ul
| 英文名称 | SEC24D |
| 中文名称 | 转运蛋白SEC24D抗体 |
| 别 名 | KIAA0755; Protein transport protein Sec24D; SC24D_HUMAN; SEC24 family member D; SEC24 related gene family, member D; SEC24-related protein D; SEC24D. |
| 规格价格 | 100ul/1380元 购买 200ul/2200元 购买 大包装/询价 |
| 说 明 书 | 100ul 200ul |
| 研究领域 | 细胞生物 信号转导 转运蛋白 |
| 抗体来源 | Rabbit |
| 克隆类型 | Polyclonal |
| 交叉反应 | Human, Cow, |
| 产品应用 | ELISA=1:500-1000 IHC-P=1:400-800 IHC-F=1:400-800 ICC=1:100-500 IF=1:100-500 (石蜡切片需做抗原修复) not yet tested in other applications. optimal dilutions/concentrations should be determined by the end user. |
| 分 子 量 | 113kDa |
| 细胞定位 | 细胞浆 |
| 性 状 | Lyophilized or Liquid |
| 浓 度 | 1mg/ml |
| 免 疫 原 | KLH conjugated synthetic peptide derived from human SEC24D:951-1050/1032 |
| 亚 型 | IgG |
| 纯化方法 | affinity purified by Protein A |
| 储 存 液 | 0.01M TBS(pH7.4) with 1% BSA, 0.03% Proclin300 and 50% Glycerol. |
| 保存条件 | Store at -20 °C for one year. Avoid repeated freeze/thaw cycles. The lyophilized antibody is stable at room temperature for at least one month and for greater than a year when kept at -20°C. When reconstituted in sterile pH 7.4 0.01M PBS or diluent of antibody the antibody is stable for at least two weeks at 2-4 °C. |
| PubMed | PubMed |
| 产品介绍 | background: The protein encoded by this gene is a member of the SEC24 subfamily of the SEC23/SEC24 family, which is involved in vesicle trafficking. The encoded protein has similarity to yeast Sec24p component of COPII. COPII is the coat protein complex responsible for vesicle budding from the ER. This gene product is implicated in the shaping of the vesicle, and also in cargo selection and concentration. [provided by RefSeq, Jul 2008] Function: Component of the COPII coat, that covers ER-derived vesicles involved in transport from the endoplasmic reticulum to the Golgi apparatus. COPII acts in the cytoplasm to promote the transport of secretory, plasma membrane, and vacuolar proteins from the endoplasmic reticulum to the Golgi complex. Subcellular Location: Cytoplasm. Cytoplasm > perinuclear region. Endoplasmic reticulum membrane. Golgi apparatus membrane. Tissue Specificity: Ubiquitously expressed, with higher amounts in placenta, pancreas, heart and liver. Similarity: Belongs to the SEC23/SEC24 family. SEC24 subfamily. SWISS: O94855 Gene ID: 9871 Database links: Entrez Gene: 9871 Human Entrez Gene: 69608 Mouse Entrez Gene: 310843 Rat Omim: 607186 Human SwissProt: O94855 Human Unigene: 189641 Human Unigene: 29293 Mouse Unigene: 162618 Rat Important Note: This product as supplied is intended for research use only, not for use in human, therapeutic or diagnostic applications. |
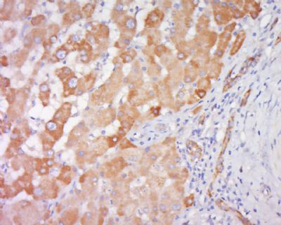
| 产品图片 | ![]() Tissue/cell: human liver carcinoma; 4% Paraformaldehyde-fixed and paraffin-embedded; Antigen retrieval: citrate buffer ( 0.01M, pH 6.0 ), Boiling bathing for 15min; Block endogenous peroxidase by 3% Hydrogen peroxide for 30min; Blocking buffer (normal goat serum,C-0005) at 37℃ for 20 min; Incubation: Anti-SEC24D Polyclonal Antibody, Unconjugated(bs-19617R) 1:500, overnight at 4°C, followed by conjugation to the secondary antibody(SP-0023) and DAB(C-0010) staining |
风险提示:丁香通仅作为第三方平台,为商家信息发布提供平台空间。用户咨询产品时请注意保护个人信息及财产安全,合理判断,谨慎选购商品,商家和用户对交易行为负责。对于医疗器械类产品,请先查证核实企业经营资质和医疗器械产品注册证情况。
文献和实验颜宁团队 2021 首秀+ 2020 年度文章赏析,看大牛如何玩转结构生物学!
2020 年结构生物学突飞猛进,取得了令人瞩目的成就! 疫情初期,面对新型的冠状病毒,结构生物学家们争先恐后的对病毒结构进行了深度解析,一系列的研究成果为后续的抗体检测、中和抗体、疫苗研发等提供了坚实的结构基础; 2020 年 10 月,Nature 「背靠背」发表文章,将人们利用冷冻电镜的观测精度扩展到了原子分辨率级别,高达 1.2 Å 的分辨率下,蛋白原子结构清晰可见,与电子密度图完美契合; 2020 年 12 月,由 Google 旗下 DeepMind 开发的 AI 系统
技术原理与方法|超级色差校正物镜 PLAPON60XOSC 在脑组织四重免疫荧光分析中的应用
种类型的荧光抗体在单个标本中准确展示荧光标记分子的共定位情况。 PLAPON60XOSC 和 UPLSAPO60XO 的性能比较 2. 超级色差校正物镜的应用-脑组织的四重免疫荧光 图 1. 脑组织的四重免疫荧光。 VIAAT 染色(Alexa Fluor405,蓝色);CB1 染色(Alexa Fluor488,绿色);VGluT3 染色(Cy3,红色);DGLα染色(Alexa Fluor647,白色)。 大麻素合成酶 DGLα(白色)和大麻素受体 CB1(绿色)聚集在小鼠
抗原,I region associated antigen): Ir基因编码产物二. 人类HLA复合体受体: (1)kidney移植,排斥 (2)接受多次输血血液中含有与供体白细胞反应的抗体靶分子:MHC(有核细胞表面)人白细胞抗原Human leucocyte antigen, HLA (一). 人类HLA复合体的定位和结构定位:第6号染色体短臂(6p21,3)结构:十分复杂(多基因性polygeny和多态性polymorphism)分成三类基因区: (224个基因座locus, 128个功能
技术资料暂无技术资料 索取技术资料











