相关产品推荐更多 >
万千商家帮你免费找货
0 人在求购买到急需产品
- 详细信息
- 文献和实验
- 技术资料
- 供应商:
上海联迈生物工程有限公司
- 库存:
大量
- 目录编号:
LM-19382R
- 克隆性:
多克隆
- 抗原来源:
Rabbit
- 保质期:
1年
- 抗体英文名:
Zinc Alpha 2 Glycoprotein
- 抗体名:
锌α2糖蛋白抗体
- 宿主:
Rabbit
- 适应物种:
Human
- 免疫原:
KLH conjugated synthetic peptide derived from human Zinc Alpha 2 Glycoprotein:21-120/295
- 亚型:
IgG
- 形态:
Lyophilized or Liquid
- 应用范围:
ELISA=1:500-1000 IHC-P=1:400-800 IHC-F=1:400-800 ICC=1:100-500 IF=1:100-500 (石蜡切片需做抗原修复)
- 浓度:
1mg/ml
- 保存条件:
Store at -20 °C
- 规格:
100ul 200ul
| 英文名称 | Zinc Alpha 2 Glycoprotein |
| 中文名称 | 锌α2糖蛋白抗体 |
| 别 名 | Alpha 2 glycoprotein 1 zinc; Alpha 2 glycoprotein 1 zinc binding; Alpha 2 glycoprotein zinc; Azgp1; ZA2G; ZA2G_HUMAN; ZAG; Zinc alpha 2 glycoprotein precursor; Zinc-alpha-2-glycoprotein; Zn alpha 2 glycoprotein; Zn alpha 2 GP; Zn alpha2 glycoprotein; Zn-alpha-2-glycoprotein; Zn-alpha-2-GP; ZNGP1. |
| 规格价格 | 100ul/1380元 购买 200ul/2200元 购买 大包装/询价 |
| 说 明 书 | 100ul 200ul |
| 研究领域 | 细胞生物 信号转导 锌指蛋白 |
| 抗体来源 | Rabbit |
| 克隆类型 | Polyclonal |
| 交叉反应 | Human, |
| 产品应用 | ELISA=1:500-1000 IHC-P=1:400-800 IHC-F=1:400-800 ICC=1:100-500 IF=1:100-500 (石蜡切片需做抗原修复) not yet tested in other applications. optimal dilutions/concentrations should be determined by the end user. |
| 分 子 量 | 32kDa |
| 细胞定位 | 分泌型蛋白 |
| 性 状 | Lyophilized or Liquid |
| 浓 度 | 1mg/ml |
| 免 疫 原 | KLH conjugated synthetic peptide derived from human Zinc Alpha 2 Glycoprotein:21-120/295 |
| 亚 型 | IgG |
| 纯化方法 | affinity purified by Protein A |
| 储 存 液 | 0.01M TBS(pH7.4) with 1% BSA, 0.03% Proclin300 and 50% Glycerol. |
| 保存条件 | Store at -20 °C for one year. Avoid repeated freeze/thaw cycles. The lyophilized antibody is stable at room temperature for at least one month and for greater than a year when kept at -20°C. When reconstituted in sterile pH 7.4 0.01M PBS or diluent of antibody the antibody is stable for at least two weeks at 2-4 °C. |
| PubMed | PubMed |
| 产品介绍 | Function: Stimulates lipid degradation in adipocytes and causes the extensive fat losses associated with some advanced cancers. May bind polyunsaturated fatty acids. Subunit: nteracts with PIP. Subcellular Location: Secreted. Tissue Specificity: Blood plasma, seminal plasma, urine, saliva, sweat, epithelial cells of various human glands, liver. Post-translational modifications: N-glycosylated. N-glycan at Asn-128: Hex5HexNAc4. Similarity: Belongs to the MHC class I family. Contains 1 Ig-like C1-type (immunoglobulin-like) domain. SWISS: P25311 Gene ID: 563 Database links: Entrez Gene: 563 Human Entrez Gene: 12007 Mouse Entrez Gene: 25294 Rat Omim: 194460 Human SwissProt: P25311 Human SwissProt: Q64726 Mouse SwissProt: Q63678 Rat Unigene: 546239 Human Unigene: 30061 Mouse Unigene: 5007 Rat Important Note: This product as supplied is intended for research use only, not for use in human, therapeutic or diagnostic applications. |
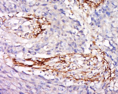
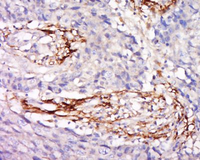
| 产品图片 | ![]() Tissue/cell: Human colon carcinoma; 4% Paraformaldehyde-fixed and paraffin-embedded; Antigen retrieval: citrate buffer ( 0.01M, pH 6.0 ), Boiling bathing for 15min; Block endogenous peroxidase by 3% Hydrogen peroxide for 30min; Blocking buffer (normal goat serum,C-0005) at 37℃ for 20 min; Incubation: Anti-ZA2G Polyclonal Antibody, Unconjugated(bs-19382R) 1:500, overnight at 4°C, followed by conjugation to the secondary antibody(SP-0023) and DAB(C-0010) staining |
风险提示:丁香通仅作为第三方平台,为商家信息发布提供平台空间。用户咨询产品时请注意保护个人信息及财产安全,合理判断,谨慎选购商品,商家和用户对交易行为负责。对于医疗器械类产品,请先查证核实企业经营资质和医疗器械产品注册证情况。
文献和实验2~4 8~12 18~24 早餐或晚餐前1小时,一日1~2次 珠蛋白锌胰岛素 (Globin Zinc Insulin) 皮下 2~4 6~10 12~18 长效 精蛋白锌胰岛素 (Protamine Zinc Insulin) 皮下 3~6 16~18 24~36 早餐或晚餐前1小时,一日1次 【药理作用】胰岛素对代谢过程具有广泛的影响。 1.糖代谢 胰岛素可增加葡萄糖的转运,加速葡萄糖的氧化和酵解,促进糖原的合成和贮存,抑制糖原分解和异生
螺旋对着主沟槽; ( 3 ) α 螺旋的每一锌指单元的 4 个关键位置上的氨基酸残基与 DNA 碱基在特定位置上 1 : 1 的接触; ( 4 ) ( 锌指)多肽的整体排列是与 DNA 主要相互作用股反向平行的 [4~7] 。 基于这些特征,科学家们成功地制造了某些锌指蛋白,如长序列或 AT 序列结合锌指。这样设计的 DNA 结合蛋白,可以期待拥有具髙亲和力和特异性的唯一结合序列。还设计了新的锌指蛋白,如 DNA 弯折锌指和(His)4 型锌指。这些人工的锌指蛋白,在不久的将来
Insulin) 皮下 2~4 8~12 18~24 早餐或晚餐前1小时,一日1~2次 珠蛋白锌胰岛素 (Globin Zinc Insulin) 皮下 2~4 6~10 12~18 长效 精蛋白锌胰岛素 (Protamine Zinc Insulin) 皮下 3~6 16~18 24~36 早餐或晚餐前1小时,一日1次 【药理作用】胰岛素对代谢过程具有广泛的影响。 1.糖代谢 胰岛素可增加葡萄糖的转运,加速葡萄糖的氧化和酵解,促进糖原的合成和贮存,抑制糖
技术资料暂无技术资料 索取技术资料










