万千商家帮你免费找货
0 人在求购买到急需产品
- 详细信息
- 文献和实验
- 技术资料
- 库存:
大量
- 靶点:
KNTC1
- 克隆性:
多克隆
- 抗原来源:
Rabbit
- 抗体英文名:
Anti-KNTC1/Kinetochore
- 抗体名:
着丝点关联蛋白1抗体
- 标记物:
HRP,AKP
- 宿主:
人,兔,羊,牛,狗等
- 适应物种:
Human, Mouse, Rat, Dog, Cow, Horse, Sheep
- 免疫原:
KLH conjugated synthetic peptide derived from human KNTC1/Kinetochore
- 亚型:
IgG
- 形态:
冻干或液体
- 应用范围:
WB,ELISA,IP,ICC等
- 浓度:
1mg/1ml
- 保存条件:
-20 °C
- 规格:
0.2ml/200μg
英文名称 Anti-KNTC1/Kinetochore
中文名称 着丝点关联蛋白1抗体
别 名 HsROD; Kinetochore associated 1; KNTC1; ROD; Rough Deal homolog, centromere/kinetochore protein; KNTC1_HUMAN.
浓 度 1mg/1ml
规 格 0.2ml/200μg
抗体来源 Rabbit
克隆类型 polyclonal
交叉反应 Human, Mouse, Rat, Dog, Cow, Horse, Sheep
产品类型 一抗
研究领域 细胞生物 细胞周期蛋白 细胞分化 表观遗传学
蛋白分子量 predicted molecular weight:
251kDa
性 状 Lyophilized or Liquid
免 疫 原 KLH conjugated synthetic peptide derived from human KNTC1/Kinetochore
亚 型 IgG
纯化方法 affinity purified by Protein A
储 存 液 Preservative: 15mM Sodium Azide, Constituents: 1% BSA, 0.01M PBS, pH 7.4
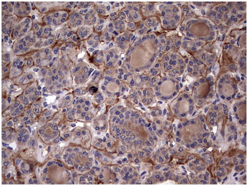
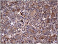
产品应用 WB=1:100-500 ELISA=1:500-1000 IP=1:20-100 IHC-P=1:100-500 IHC-F=1:100-500 IF=1:100-500
着丝点关联蛋白1抗体订购说明:
※关于产品的详细说明书、价格信息,请来电获取;
※关于运输,我司支持各种快递,具体采用什么快递,我们会满足客户的要求,此外,我们还会根据产品的性状采取特殊的保护方式,以减少运输途中的损坏情况;
※关于产品包装,我司支持进口原装,也能按照客户的要求进行分装;
※关于售后,客户在收到货后,先检查产品包装情况,有无破损情况,然后可以按照严格的操作流程,在无菌环境下检测产品质量本身,如有上述疑似情况,请及时联系我司销售部;
※关于技术服务,我司可为您提供抗体标记服务,以及其他检测服务,此外,如遇技术问题,我司还能为您提供答疑解惑的咨询服务。
抗体分子标记技术:
一、氯胺T法
1.用1.5 mi Ependof管,加10u1抗体及pH7.5的0.5mo1/L磷酸钠缓冲液总体积至25μ1
2.加500uCi的Na125I,混匀;
3.加25u12mg/ml氯胺T液,混匀;
4.在室温下培养1分钟;
5.加入50μ1氯胺T反应终止缓冲液;
6.通过凝胶过滤层析分离将碘化抗体与碘化酪氨酸分离;
7.收集、合并含碘化抗体的各管;
8.将1251标记的抗体管放入同位素保护管中,置4℃保存;
二、Iodogen-包被试管法
1. Iodogen以0.5μg/mnl溶于lv仿;
2.将100u1 Iodogen液移入合用的玻璃试管中;
3.试管置通风橱中过夜,在室温下让lv仿蒸发;
4.加入50u1抗体;
5.加500 u ci Na125I到加有抗体的 Iodogen-包被管中,室温保温2分钟;
6.将管中反应液转入1.5 nl eppendof管;
7.通过凝胶过滤层析,将碘化抗体与碘化酪氨酸分离;
8.收集、混合含碘化抗体的各管;
9.将125I标记的抗体置同位素保护管中,放4℃保存。
着丝点关联蛋白1抗体更多相关产品:
RNA聚合酶II多肽G 多克隆抗体 RPB7 Polyclonal Antibody
RNA聚合酶II多肽D 多克隆抗体 RPB4 Polyclonal Antibody
RNA聚合酶III亚基C9 多克隆抗体 RPC9 Polyclonal Antibody
RNA聚合酶III多肽k 多克隆抗体 RPC10 Polyclonal Antibody
RNA聚合酶III多肽F 多克隆抗体 RPC6 Polyclonal Antibody
RNA聚合酶II,TATA框结合蛋白(TBP)关联因子,32kDa 多克隆抗体 TAF9 Polyclonal Antibody
RNA结合基元单链结合蛋白3 多克隆抗体 RBMS3 Polyclonal Antibody
Pyruvate Dehydrogenase抗体 Pyruvate Dehydrogenase Antibody,pyruvate dehydrogenase (lipoamide) E1 component,beta subunit precursor; pyruvate decarboxylase.; pyruvate dehydrogenase,Pyruvic dehydrogenase,Sphing
Pygopus同源物2 多克隆抗体 PYGO2 Polyclonal Antibody
PUMA/bbc3抗体 PUMA/bbc3 Antibody,PUMA/JFY1 ,JFY-1,PUMA,BBC3,bcl-2 binding component 3
PUMA/bbc3多克隆抗体 PUMA/bbc3 Polyclonal Antibody, JFY1; PUMA; FLJ42994; BBC3
PTPRD抗体(N末端) PTPRD Antibody (NT) (Protein tyrosine phosphatase receptor type D, PTPD, RPTPDELTA, R-PTP-delta.)
PTP1B抗体 PTP1B Antibody,Tyrosine-protein phosphatase non-receptor type 1,Protein-tyrosine phosphatase 1B,PTP-1B,PTP1B
PTP1B抗体 PTP1B Antibody,Tyrosine-protein phosphatase non-receptor type 1,Protein-tyrosine phosphatase 1B,PTP-1B,PTP1B
着丝点关联蛋白1抗体鱼类皮质醇(Cortisol)elisa kits试剂盒 96T/48T 免费代测
鱼类超敏C反应蛋白(hsCRP)elisa kits试剂盒 96T/48T 免费代测
鱼骨钙素/骨谷氨酸蛋白(OT/BGP)elisa kits试剂盒 96T/48T 免费代测
绵羊白介素2(IL2)elisa kits试剂盒 96T/48T 免费代测
绵羊主要组织相容性复合体(MHC)elisa kits试剂盒 96T/48T 免费代测
绵羊白介素6(IL6)elisa kits试剂盒 96T/48T 免费代测
人艾杜糖硫酸酯酶(IDS)ELISA试剂盒 96T/48T 免费代测
人艾柯病毒IgM(ECHO IgM)ELISA试剂盒 96T/48T 免费代测
人八聚体转录因子(OTF2A)ELISA试剂盒 96T/48T 免费代测
人八聚体转录因子(OTF2B)ELISA试剂盒 96T/48T 免费代测
人靶向核糖核酸酶(TR)ELISA试剂盒 96T/48T 免费代测
人白喉抗体(Diphtheria Ab)ELISA试剂盒 96T/48T 免费代测
风险提示:丁香通仅作为第三方平台,为商家信息发布提供平台空间。用户咨询产品时请注意保护个人信息及财产安全,合理判断,谨慎选购商品,商家和用户对交易行为负责。对于医疗器械类产品,请先查证核实企业经营资质和医疗器械产品注册证情况。
文献和实验孵育时间进行修正。结果,孵育1分钟即可清晰观察到条带,孵育5分钟则条带浓度达到饱和。 结语PA Tag System是非常强力的亲和标签系统,由于NZ-1抗体原来是人平足蛋白抗体,所以用于人或猴子源的平足蛋白的细胞株(HEK、COS-1、COS-7细胞等)中会有些问题点,不过只要多加注意即可。另外,由于平足蛋白是膜蛋白,不会在细胞外分泌,使用这些细胞株不用担心内因性的平足蛋白可能会受到污染。而且,根据细胞株的不同,即使发现了有平足蛋白,也只会和NZ-1弱结合,可广泛用于膜蛋白和细胞内蛋白。如果将平足蛋白
10%左右),慢性丙型肝炎患者中约 2%~10%也可检测到抗LKM-1抗体,AIH中抗LKM-1抗体阳性患者,较多具有典型的自身免疫现象,大多为青年女性,自身抗体滴度较高,血清免疫球蛋白显著增高,病情比较严重,对激素治疗反应好,欧美地区多见;HCV感染伴有抗LKM-1抗体阳性患者,大多年龄较大,女性并不多见,自身抗体滴度较低,血清免疫球蛋白不高,病情为慢性肝炎表现,对干扰素治疗有反应,地中海地区多见。 抗LKM-2抗体仅见于应用药物替尼酸治疗后诱发
命运真的藏在指纹里?复旦、中科院团队用指纹科学算命,登顶 Cell
细胞类型中显示出明显的激活增强子特征。为「指纹模块现象」这一认知提供了表型组学和遗传学解释。 图片来源:Cell Evi1 突变改变小鼠皮纹模式 接下来,他们利用小鼠模型评估了 Evi1 编码的蛋白质本身在皮纹形成中的重要性。他们分析了 21 日龄的 Evi1 杂合突变体(纯合致死)和野生型同窝动物的手指的皮纹模式。结果发现杂合子在手指 5 上出现了一个小骨刺。并发现在所有突变小鼠的手指中连续脊的频率降低,手指 3 和 4 也携带更多不连续的脊。这些结果直接证明了 EVI1 本身是皮纹模式的调节
技术资料暂无技术资料 索取技术资料









