相关产品推荐更多 >
万千商家帮你免费找货
0 人在求购买到急需产品
- 详细信息
- 文献和实验
- 技术资料
- 供应商:
上海联迈生物工程有限公司
- 库存:
大量
- 目录编号:
LM-1848R
- 克隆性:
多克隆
- 抗原来源:
Rabbit
- 保质期:
1年
- 抗体英文名:
alpha MSH
- 抗体名:
促黑细胞激素α抗体
- 宿主:
Rabbit
- 适应物种:
Human, Mouse, Rat, Rabbit,
- 免疫原:
KLH conjugated synthetic peptide of human Alpha-MSH:138-150/267
- 亚型:
IgG
- 形态:
Lyophilized or Liquid
- 应用范围:
ELISA=1:500-1000 IHC-P=1:400-800 (石蜡切片需做抗原修复)
- 浓度:
1mg/ml
- 保存条件:
Store at -20 °C
- 规格:
50ul 100ul 200ul
| 英文名称 | alpha MSH |
| 中文名称 | 促黑细胞激素α抗体 |
| 别 名 | MSH Alpha; alpha melanocyte stimulating hormone; Alpha MSH; Melanotropin alpha; POMC; proopiomelanocortin;Alpha-MSH; Melanotropin alpha; proopiomelanocortin; COLI_HUMAN. MSH α; MSHα; MSH-α; |
![]() |
Specific References (1) | bs-1848R has been referenced in 1 publications. [IF=2.96] Jussila, Anna, et al. "Narrow-band ultraviolet B radiation induces the expression of β-endorphin in human skin in vivo." Journal of Photochemistry and Photobiology B: Biology (2016). IHC-P ; Human. PubMed:26774381 |
| 规格价格 | 50ul/780元 购买 100ul/1380元 购买 200ul/2200元 购买 大包装/询价 |
| 说 明 书 | 50ul 100ul 200ul |
| 研究领域 | 肿瘤 生长因子和激素 |
| 抗体来源 | Rabbit |
| 克隆类型 | Polyclonal |
| 交叉反应 | Human, Mouse, Rat, Rabbit, |
| 产品应用 | ELISA=1:500-1000 IHC-P=1:400-800 (石蜡切片需做抗原修复) not yet tested in other applications. optimal dilutions/concentrations should be determined by the end user. |
| 分 子 量 | 1.4kDa |
| 细胞定位 | 分泌型蛋白 |
| 性 状 | Lyophilized or Liquid |
| 浓 度 | 1mg/ml |
| 免 疫 原 | KLH conjugated synthetic peptide of human Alpha-MSH:138-150/267 |
| 亚 型 | IgG |
| 纯化方法 | affinity purified by Protein A |
| 储 存 液 | 0.01M TBS(pH7.4) with 1% BSA, 0.03% Proclin300 and 50% Glycerol. |
| 保存条件 | Store at -20 °C for one year. Avoid repeated freeze/thaw cycles. The lyophilized antibody is stable at room temperature for at least one month and for greater than a year when kept at -20°C. When reconstituted in sterile pH 7.4 0.01M PBS or diluent of antibody the antibody is stable for at least two weeks at 2-4 °C. |
| PubMed | PubMed |
| 产品介绍 | background: This gene encodes a polypeptide hormone precursor that undergoes extensive, tissue-specific, post-translational processing via cleavage by subtilisin-like enzymes known as prohormone convertases. There are eight potential cleavage sites within the polypeptide precursor and, depending on tissue type and the available convertases, processing may yield as many as ten biologically active peptides involved in diverse cellular functions. The encoded protein is synthesized mainly in corticotroph cells of the anterior pituitary where four cleavage sites are used; adrenocorticotrophin, essential for normal steroidogenesis and the maintenance of normal adrenal weight, and lipotropin beta are the major end products. In other tissues, including the hypothalamus, placenta, and epithelium, all cleavage sites may be used, giving rise to peptides with roles in pain and energy homeostasis, melanocyte stimulation, and immune modulation. These include several distinct melanotropins, lipotropins, and endorphins that are contained within the adrenocorticotrophin and beta-lipotropin peptides. Mutations in this gene have been associated with early onset obesity, adrenal insufficiency, and red hair pigmentation. Alternatively spliced transcript variants encoding the same protein have been described. [provided by RefSeq, Jul 2008]. Function: ACTH stimulates the adrenal glands to release cortisol. MSH (melanocyte-stimulating hormone) increases thepigmentation of skin by increasing melanin production in melanocytes. Beta-endorphin and Met-enkephalin are endogenous opiates. Subcellular Location: Secreted. Tissue Specificity: ACTH and MSH are produced by the pituitary gland. Similarity: Belongs to the POMC family. SWISS: P01189 Gene ID: 5443 Database links: Entrez Gene: 5443 Human Entrez Gene: 18976 Mouse Entrez Gene: 24664 Rat Omim: 176830 Human SwissProt: P01189 Human SwissProt: P01193 Mouse SwissProt: P01194 Rat Unigene: 1897 Human Unigene: 277996 Mouse Unigene: 108195 Rat Important Note: This product as supplied is intended for research use only, not for use in human, therapeutic or diagnostic applications. |
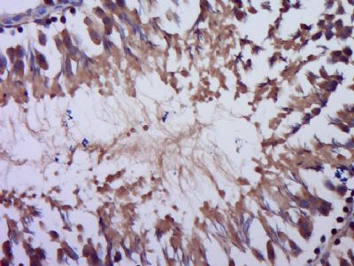
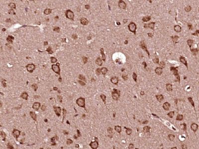
| 产品图片 | ![]() Paraformaldehyde-fixed, paraffin embedded (mouse brain tissue); Antigen retrieval by boiling in sodium citrate buffer (pH6.0) for 15min; Block endogenous peroxidase by 3% hydrogen peroxide for 20 minutes; Blocking buffer (normal goat serum) at 37°C for 30min; Antibody incubation with (alpha MSH) Polyclonal Antibody, Unconjugated (bs-1848R) at 1:400 overnight at 4°C, followed by operating according to SP Kit(Rabbit) (sp-0023) instructionsand DAB staining. ![]() Paraformaldehyde-fixed, paraffin embedded (rat brain tissue); Antigen retrieval by boiling in sodium citrate buffer (pH6.0) for 15min; Block endogenous peroxidase by 3% hydrogen peroxide for 20 minutes; Blocking buffer (normal goat serum) at 37°C for 30min; Antibody incubation with (alpha MSH) Polyclonal Antibody, Unconjugated (bs-1848R) at 1:400 overnight at 4°C, followed by operating according to SP Kit(Rabbit) (sp-0023) instructionsand DAB staining. ![]() Paraformaldehyde-fixed, paraffin embedded (Rat testis); Antigen retrieval by boiling in sodium citrate buffer (pH6.0) for 15min; Block endogenous peroxidase by 3% hydrogen peroxide for 20 minutes; Blocking buffer (normal goat serum) at 37°C for 30min; Antibody incubation with (alpha MSH) Polyclonal Antibody, Unconjugated (bs-1848R) at 1:400 overnight at 4°C, followed by operating according to SP Kit(Rabbit) (sp-0023) instructionsand DAB staining. |
风险提示:丁香通仅作为第三方平台,为商家信息发布提供平台空间。用户咨询产品时请注意保护个人信息及财产安全,合理判断,谨慎选购商品,商家和用户对交易行为负责。对于医疗器械类产品,请先查证核实企业经营资质和医疗器械产品注册证情况。
文献和实验促黑〔素细胞〕激素释放抑制因子MSH-inhibiting factor,MSH release-inhibitingfactor
缩写为 MIF。亦称 MIH( MSH抑制素或 MSH释放抑制素)。是由丘脑下部 -脑垂体神经系统分泌、释放,并直接作用于腺垂体的促黑〔素细胞〕激素( MSH)的分泌细胞,为抑制 MSH分泌的物质。据 Nair等( 1971)的研究, MIF是含脯亮 -甘 -NH2 结构的多肽,但 Bower等( 1971)却认为是: 结构的 tocinoic酸。顺便提一下,前者相当于催产素分子的侧链部分,而后者相当于环的部分。此外,还有的认为
【求助】矛盾的实验结果:IKb alpha和NFKB同时升高
吴佰霖 我的基因过表达,结合文献,推理应该是IKb alpha下降,而NFKB升高 (IKb可磷酸化NFKB,使后者降低) 但现在我的结果是两者同时升高,请问可能的原因有哪些呢? 谢谢 woxingwosu 可否检测一下NFKB的磷酸化情况? erik NFKB是检测核内的吗?检测p65还是p50/ 吴佰霖 检测总蛋白
ALPHA FACTOR ARREST AND RELEASE
Alpha Factor Arrest and Release Alpha factor stock is 10-3 M in 0.1N HCl (i.e. resuspend 5 mg alpha factor in 2.97 ml 0.1N HCl). To arrest BAR1 strains, the pheromone should be diluted to a final concentration
技术资料暂无技术资料 索取技术资料














