相关产品推荐更多 >
万千商家帮你免费找货
0 人在求购买到急需产品
- 详细信息
- 文献和实验
- 技术资料
- 供应商:
上海联迈生物工程有限公司
- 库存:
大量
- 目录编号:
LM-18108R
- 克隆性:
多克隆
- 抗原来源:
Rabbit
- 保质期:
1年
- 抗体英文名:
HUS1B
- 抗体名:
检查点蛋白HUS1B抗体
- 宿主:
Rabbit
- 适应物种:
Human, Mouse, Rat,
- 免疫原:
KLH conjugated synthetic peptide derived from human HUS1B:51-150/278
- 亚型:
IgG
- 形态:
Lyophilized or Liquid
- 应用范围:
ELISA=1:500-1000 IHC-P=1:400-800 IHC-F=1:400-800 ICC=1:100-500 IF=1:100-500 (石蜡切片需做抗原修复)
- 浓度:
1mg/ml
- 保存条件:
Store at -20 °C
- 规格:
100ul 200ul
| 英文名称 | HUS1B |
| 中文名称 | 检查点蛋白HUS1B抗体 |
| 别 名 | Checkpoint protein HUS1B; hHUS1B; HUS1 (S. pombe) checkpoint homolog b; HUS1 Checkpoint Homolog B (S. pombe); MGC126746; MGC126748; RP11 532F6.1. |
| 规格价格 | 100ul/1380元 购买 200ul/2200元 购买 大包装/询价 |
| 说 明 书 | 100ul 200ul |
| 研究领域 | 细胞生物 转录调节因子 表观遗传学 |
| 抗体来源 | Rabbit |
| 克隆类型 | Polyclonal |
| 交叉反应 | Human, Mouse, Rat, |
| 产品应用 | ELISA=1:500-1000 IHC-P=1:400-800 IHC-F=1:400-800 ICC=1:100-500 IF=1:100-500 (石蜡切片需做抗原修复) not yet tested in other applications. optimal dilutions/concentrations should be determined by the end user. |
| 分 子 量 | 31kDa |
| 细胞定位 | 细胞核 细胞浆 |
| 性 状 | Lyophilized or Liquid |
| 浓 度 | 1mg/ml |
| 免 疫 原 | KLH conjugated synthetic peptide derived from human HUS1B:51-150/278 |
| 亚 型 | IgG |
| 纯化方法 | affinity purified by Protein A |
| 储 存 液 | 0.01M TBS(pH7.4) with 1% BSA, 0.03% Proclin300 and 50% Glycerol. |
| 保存条件 | Store at -20 °C for one year. Avoid repeated freeze/thaw cycles. The lyophilized antibody is stable at room temperature for at least one month and for greater than a year when kept at -20°C. When reconstituted in sterile pH 7.4 0.01M PBS or diluent of antibody the antibody is stable for at least two weeks at 2-4 °C. |
| PubMed | PubMed |
| 产品介绍 | background: The protein encoded by this gene is most closely related to HUS1, a component of a cell cycle checkpoint protein complex involved in cell cycle arrest in response to DNA damage. This protein can interact with the check point protein RAD1 but not with RAD9. Overexpression of this protein has been shown to induce cell death, which suggests a related but distinct role of this protein, as compared to the HUS1. [provided by RefSeq, Jul 2008] Function: This protein is most closely related to HUS1, a component of a cell cycle checkpoint protein complex involved in cell cycle arrest in response to DNA damage. This protein can interact with the checkpoint protein RAD1 but not with RAD9. Over-expression of this protein has been shown to induce cell death, which suggests a related but distinct role of this protein, as compared to the HUS1. Similarity: Belongs to the HUS1 family. SWISS: Q8NHY5 Gene ID: 135458 Database links: Entrez Gene: 135458 Human Omim: 609713 Human SwissProt: Q8NHY5 Human Important Note: This product as supplied is intended for research use only, not for use in human, therapeutic or diagnostic applications. |
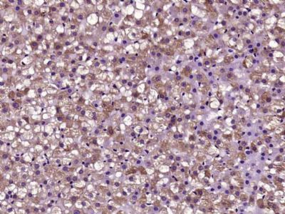
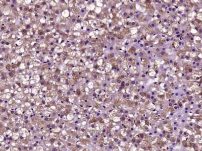
| 产品图片 | ![]() Paraformaldehyde-fixed, paraffin embedded (Rat adrenal gland); Antigen retrieval by boiling in sodium citrate buffer (pH6.0) for 15min; Block endogenous peroxidase by 3% hydrogen peroxide for 20 minutes; Blocking buffer (normal goat serum) at 37°C for 30min; Antibody incubation with (HUS1B) Polyclonal Antibody, Unconjugated (bs-18108R) at 1:400 overnight at 4°C, followed by operating according to SP Kit(Rabbit) (sp-0023) instructionsand DAB staining. |
风险提示:丁香通仅作为第三方平台,为商家信息发布提供平台空间。用户咨询产品时请注意保护个人信息及财产安全,合理判断,谨慎选购商品,商家和用户对交易行为负责。对于医疗器械类产品,请先查证核实企业经营资质和医疗器械产品注册证情况。
文献和实验-2一样,Yervoy可以带来持续的免疫反应。詹姆斯?埃里森(JamesAllison)说,一些参与最初试验的患者已经缓解了13年。但这些奇迹只发生在一小部分(大约8%)的病人身上。虽然Yervoy可以唤醒T细胞来对抗癌症,但是有时也会攻击健康组织。在最大的540人的试验中,多达15%的人有严重的副作用,七例致死。苏珊娜?托帕利安(SuzanneTopalian)说,一些肿瘤学家倾向于不用药物治疗。 尽管如此,Yervoy方面研制出检查点抑制剂,一种抑制检查点蛋白质的药物。这促使研究人员寻找其他潜在
Western免疫印迹(Western Blot)是将蛋白质转移到膜上,然后利用抗体进行检测。对已知表达蛋白,可用相应抗体作为一抗进行检测,对新基因的表达产物,可通过融合部分的抗体检测。本文主要通过以下几个方面来详细地介绍一下Western Blot技术:一、原理二、 分类i.放射自显影 ii.底物化学发光ECL iii.底物荧光ECF iv.底物DAB呈色三、 主要试剂四、 主要步骤五、 实验常见的问题指南1.参考
Western免疫印迹(Western Blot)是将蛋白质转移到膜上,然后利用抗体进行检测。对已知表达蛋白,可用相应抗体作为一抗进行检测,对新基因的表达产物,可通过融合部分的抗体检测。深圳子科生物技术部主要通过以下几个方面来详细地介绍一下Western Blot技术:一、 原理与 Southern或Northern杂交方法类似,但Western Blot采用的是聚丙烯酰胺凝胶电泳,被检测物是蛋白质,“探针”是抗体,“显色”用标记的二抗。经过PAGE分离的蛋白质样品,转移到固相载体(例如硝 酸
技术资料暂无技术资料 索取技术资料











