相关产品推荐更多 >
万千商家帮你免费找货
0 人在求购买到急需产品
- 详细信息
- 文献和实验
- 技术资料
- 供应商:
上海联迈生物工程有限公司
- 库存:
大量
- 目录编号:
LM-17704R
- 克隆性:
多克隆
- 抗原来源:
Rabbit
- 保质期:
1年
- 抗体英文名:
MOG1
- 抗体名:
Ran结合蛋白MOG1抗体
- 宿主:
Rabbit
- 适应物种:
Human, Mouse, Rat,
- 免疫原:
KLH conjugated synthetic peptide derived from human MOG1:81-150/186
- 亚型:
IgG
- 形态:
Lyophilized or Liquid
- 应用范围:
ELISA=1:500-1000 IHC-P=1:400-800 IHC-F=1:400-800 ICC=1:100-500 IF=1:100-500 (石蜡切片需做抗原修复)
- 浓度:
1mg/ml
- 保存条件:
Store at -20 °C
- 规格:
100ul 200ul
| 英文名称 | MOG1 |
| 中文名称 | Ran结合蛋白MOG1抗体 |
| 别 名 | DKFZp686F02139; homolog of yeast MOG1; HSPC165; HSPC236; likely ortholog of mouse RAN guanine nucleotide release factor; MGC110973; MOG 1; MOG1; MOG1 homolog; MOG1_HUMAN; RAN guanine nucleotide release factor; Ran-binding protein MOG1; RANGNRF; RANGRF. |
| 规格价格 | 100ul/1380元 购买 200ul/2200元 购买 大包装/询价 |
| 说 明 书 | 100ul 200ul |
| 研究领域 | 心血管 细胞生物 信号转导 结合蛋白 G蛋白信号 |
| 抗体来源 | Rabbit |
| 克隆类型 | Polyclonal |
| 交叉反应 | Human, Mouse, Rat, |
| 产品应用 | ELISA=1:500-1000 IHC-P=1:400-800 IHC-F=1:400-800 ICC=1:100-500 IF=1:100-500 (石蜡切片需做抗原修复) not yet tested in other applications. optimal dilutions/concentrations should be determined by the end user. |
| 分 子 量 | 20kDa |
| 细胞定位 | 细胞核 细胞浆 |
| 性 状 | Lyophilized or Liquid |
| 浓 度 | 1mg/ml |
| 免 疫 原 | KLH conjugated synthetic peptide derived from human MOG1:81-150/186 |
| 亚 型 | IgG |
| 纯化方法 | affinity purified by Protein A |
| 储 存 液 | 0.01M TBS(pH7.4) with 1% BSA, 0.03% Proclin300 and 50% Glycerol. |
| 保存条件 | Store at -20 °C for one year. Avoid repeated freeze/thaw cycles. The lyophilized antibody is stable at room temperature for at least one month and for greater than a year when kept at -20°C. When reconstituted in sterile pH 7.4 0.01M PBS or diluent of antibody the antibody is stable for at least two weeks at 2-4 °C. |
| PubMed | PubMed |
| 产品介绍 | background: This gene encodes a protein that has been shown to function as a guanine nucleotide release factor in mouse and to regulate the expression and function of the Nav1.5 cardiac sodium channel in human. Alternative splicing results in multiple transcript variants. [provided by RefSeq, Apr 2010] Function: May regulate the intracellular trafficking of RAN. In cardiac cells seems to regulate the cell surface localization of SCN5A. Subunit: Monomer (By similarity). Interacts with RAN, RAN-GTP and RAN-GDP. Forms a complex with RAN-GTP and RANBP1 (By similarity). Interacts with the cytoplasmic loop 2 of SCN5A. Subcellular Location: Nucleus. Cytoplasm. Shuttles between the nucleus and cytoplasm. Tissue Specificity: Isoform 1 and isoform 2 are ubiquitously expressed. Similarity: Belongs to the MOG1 family. SWISS: Q9HD47 Gene ID: 29098 Database links: Entrez Gene: 29098 Human Entrez Gene: 57785 Mouse Entrez Gene: 287419 Rat Omim: 607954 Human SwissProt: Q9HD47 Human SwissProt: Q9JIB0 Mouse Unigene: 408233 Human Unigene: 371612 Mouse Important Note: This product as supplied is intended for research use only, not for use in human, therapeutic or diagnostic applications. |
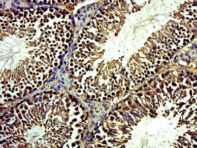
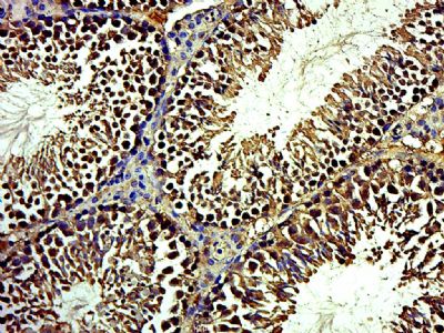
| 产品图片 | ![]() Paraformaldehyde-fixed, paraffin embedded (Mouse brain); Antigen retrieval by boiling in sodium citrate buffer (pH6.0) for 15min; Block endogenous peroxidase by 3% hydrogen peroxide for 20 minutes; Blocking buffer (normal goat serum) at 37°C for 30min; Antibody incubation with (MOG1) Polyclonal Antibody, Unconjugated (bs-17704R) at 1:500 overnight at 4°C, followed by a conjugated secondary (sp-0023) for 20 minutes and DAB staining. ![]() Paraformaldehyde-fixed, paraffin embedded (Rat testis); Antigen retrieval by boiling in sodium citrate buffer (pH6.0) for 15min; Block endogenous peroxidase by 3% hydrogen peroxide for 20 minutes; Blocking buffer (normal goat serum) at 37°C for 30min; Antibody incubation with (MOG1) Polyclonal Antibody, Unconjugated (bs-17704R) at 1:500 overnight at 4°C, followed by a conjugated secondary (sp-0023) for 20 minutes and DAB staining. ![]() Paraformaldehyde-fixed, paraffin embedded (Mouse testis); Antigen retrieval by boiling in sodium citrate buffer (pH6.0) for 15min; Block endogenous peroxidase by 3% hydrogen peroxide for 20 minutes; Blocking buffer (normal goat serum) at 37°C for 30min; Antibody incubation with (MOG1) Polyclonal Antibody, Unconjugated (bs-17704R) at 1:500 overnight at 4°C, followed by a conjugated secondary (sp-0023) for 20 minutes and DAB staining. |
风险提示:丁香通仅作为第三方平台,为商家信息发布提供平台空间。用户咨询产品时请注意保护个人信息及财产安全,合理判断,谨慎选购商品,商家和用户对交易行为负责。对于医疗器械类产品,请先查证核实企业经营资质和医疗器械产品注册证情况。
文献和实验的,但是这结果是不是假阳性呢?还得做个阴性对照。阴性对照如何设置呢?考虑到整个实验体系会出现 beads、抗X抗体、诱饵蛋白 X、靶蛋白 Y(co-IP): 可能出现的假阳性来源 需要的阴性对照 抗 X 抗体结合非特异的蛋白 与 IP 一抗种属亚型相同的免疫球蛋白(比如,抗 X 抗体是 Mouse IgG,阴性对照可使用 Mouse 免疫球蛋白) beads 对蛋白的非特异结合* 同上,此外还可进行 Pre clear,IP 正式实验前排除非特异结合蛋白。如果使用琼脂
一、原理: 免疫共沉淀(co-immunoprecipitation,Co-IP)技术是检测蛋白质间相互作用的经典方法,基本原理是以细胞内源性靶蛋白为诱饵,将靶蛋白抗体与细胞总蛋白进行共孵育,促进免疫复合物的形成;随后加入能够与抗体Fc段结合的proreinA/G(预先结合固化在琼脂糖小珠上),形成“结合蛋白-靶蛋白-靶蛋白抗体-proteinA/G小珠”复合物,纯化该复合物后凝胶电泳分离蛋白,应用Westernblot或者质谱技术鉴定靶蛋白的结合蛋白。 与其它研究方法相比,免疫
染色体免疫共沉淀(Chromatin immunoprecipitation,ChIP)方法程序
),剪切后的DNA小片段与结合蛋白结合(Isolate the chromatin. Shear DNA along with bound proteins into small fragments.) 第三步:用特异性 抗体 与DAN结合蛋白结合,用沉淀法分离复合体。反向交联操作释放出DNA,并消化蛋白质(Bind antibodies specific to the DNA-binding protein to isolate the complex
技术资料暂无技术资料 索取技术资料













